Gravid kvinne med hyperemesis, konfusjon, ataksi og nystagmus

    ()

    sporsmal_grey_rgb
    Artikkel

    En 24 år gammel kvinne, tidligere frisk, førstegangsgravid i uke 18, ble lagt inn på gynekologisk avdeling ved lokalsykehuset med nedsatt allmenntilstand og uttalt svimmelhet. Hun var utredet for barnløshet, hadde androgen overvekt og var blitt gravid etter hormonbehandling. De siste ukene før innleggelsen hadde hun kvalme, gjentatte brekninger og oppkast og hadde derfor fått i seg lite mat. Det siste døgnet var hun sengeliggende og svimmel.

    Ved ankomst var hun våken og orientert og klaget over diffuse magesmerter. Det ble påvist takykardi 150/minutt og hypoton muskulatur. Ultralydundersøkelsen bekreftet intakt graviditet tilsvarende 18. svangerskapsuke. Blodprøvene viste en serumglukose på 13,3 mmol/l, hemoglobin på 10,8 g/100 ml og serumkalium på 3,2 mmol/l, ALAT 160 IE/l.

    Hun fikk behandling med insulin og intravenøst saltvann på grunn av mistanke om svangerskapsdiabetes. Etter to døgn ble hun økende konfus og overflyttet til gynekologisk avdeling ved St. Olavs Hospital.

    De kliniske symptomene og laboratoriefunnene var forenlig med hyperemesis gravidarum, som kjennetegnes av økte leverenzymverdier, lavt serum-kaliumnivå og forhøyet serum-glukose uten at det foreligger svangerskapsdiabetes. Graviditeten var langtkommen og hennes hyperemesis angitt som moderat; dermed ble det ikke lagt stor vekt på dette.

    Ved St. Olavs Hospital ble pasienten på grunn av nedsatt bevissthet overflyttet fra gynekologisk avdeling til intensivavdelingen.

    Ved nevrologisk undersøkelse var pasienten våken, men desorientert. Hun hadde en retrograd amnesi for hele sykdomsforløpet og samarbeidet ikke under undersøkelsen. Det forelå en tydelig ikke-trettbar horisontal blikkretningsnystagmus og dissosierte øyemuskelpareser. Oftalmoskopi var ikke mulig å gjennomføre, fordi pasienten ikke klarte å følge instruksene. Man fikk inntrykk av at hun hadde normalt syn. Det var ingen sikker affeksjon av de øvrige hjernenerver. Hun var hypoton i muskulaturen, og bevegelsene var upresise og ataktiske. Det forelå generell arefleksi av dype senereflekser, og plantarrefleksene var nedadvendte bilateralt. Sensibiliteten virket uaffisert. Hun reagerte med fleksjon på berøring av ekstremitetene og angav normal sensibilitet i ansiktet. Hun klarte ikke å sitte eller gå grunnet uttalt ataksi.

    Ved somatisk undersøkelse ble det påvist takykardi (over 150 slag per minutt), stabilt blodtrykk på 120/80 mm Hg og temperatur på 38,0 °C. Det var for øvrig normale funn ved undersøkelse av lunger og hjerte. Ved palpasjon angav hun diffuse abdominalsmerter, og abdomen var meteoristisk med normale tarmlyder til stede.

    Pasientens konfusjon og nedsatte bevissthet gav mistanke om encefalopati. Ataksi hos en alvorlig syk og sengeliggende pasient på intensivavdelingen er ikke noe uvanlig symptom, og fordi pasienten ikke kunne samarbeide adekvat, kunne øyeundersøkelsen bare vise nystagmus og pareser av konjugerte øyebevegelser. Etter hvert kom det frem at hennes hyperemesis hadde vart i flere uker. Forløpet talte imot en vaskulær genese, mens infeksjon ikke kunne utelukkes, selv om man da ville forvente høy feber og økte infeksjonsmarkører.

    Laboratorieprøvene viste moderat hypokalemi på 2,9 mmol/l, ALAT 146 IE/l, albumin 28, hemoglobin 11,2 g/100 ml, CRP 39 mg/l, B12 134 pmol/l, folat 4 nmol/l, serum-glukose 7,2 mmol/l, ellers ingen avvik. I spinalvæsken ble det noen timer etter innleggelsen målt totalprotein på 0,83 g/l (normal < 0,5 g/l), spinalvæsken var ellers normal. Det var ingen oppvekst ved dyrking av spinalvæsken, og polymerasekjedereaksjon (PCR) og serologiske prøver på nevrotrope virus og Borrelia var negativ.

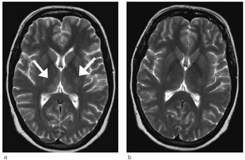
    EEG viste uspesifikk langsom aktivitet over begge hemisfærer uten tegn på encefalitt. Cerebral CT viste normale forhold. Da pasientens bevissthetsnivå var redusert og fordi tilstanden var uavklart, ble det funnet indikasjon for MR-undersøkelse av cerebrum samme natt. Undersøkelsen viste bilaterale symmetriske lesjoner i mediale thalamus, corpora mammillaria, den periakveduktale gråe substans og i bunnen av 4. ventrikkel, forenlig med Wernickes encefalopati (fig 1).

    Omfattende utredning viste i løpet av kort tid at det forelå en encefalopati med konfusjon som hovedsymptom og som maskerte andre nevrologiske symptomer. Pga. langvarig hyperemesis over flere uker ble Wernickes encefalopati en viktig differensialdiagnose. MR-undersøkelse av cerebrum bekreftet denne diagnosen.

    Det ble umiddelbart startet med tiaminbehandling i form av 100 mg intravenøst og 100 mg intramuskulært tiamin hver 12. time, totalt 600 mg i løpet av 36 timer. I tillegg fikk pasienten væske- og elektrolyttsubstitusjonsbehandling. Deretter ble det gitt 100 mg tiamin intramuskulært per døgn i tre uker, 50 mg intramuskulært i fem dager og etter utskrivning 9 mg daglig per os. På grunn av lavt vitamin B12-nivå i serum ble det gitt et multivitamin B-preparat intramuskulært fra tredje dag inntil utskrivning, deretter per os.

    Diagnosen Wernickes encefalopati stilles ofte sent. Tidlig behandling med tiamin er viktig både med tanke på faren for abort og nevrologiske sekveler: Hukommelsesproblemer, men også ataksi og moderat nystagmus kan vedvare (1) – (4). Det er ingen enighet om anbefalt tiamindose ved hyperemesis gravidarum, men av praktiske grunner er det hensiktsmessig å bruke samme prosedyre for behandling av Wernickes encefalopati, uansett årsak. Det anbefales parenteralt tiamin over en periode på 2 – 3 uker, i hvert fall inntil pasienten kan spise normalt. Deretter gis det tiamin per os i flere uker (5). Vi anbefalte vår pasient tiamin profylaktisk per os i et eventuelt senere svangerskap.

    Pasienten klarnet opp allerede 12 timer etter start av tiaminbehandlingen, men hadde fortsatt nedsatt psykomotorisk tempo, uttalt nystagmus og ataksi. Magesmertene vedvarte, og en ny abdominal ultralydundersøkelse viste dødt foster. Pasienten aborterte spontant påfølgende dag, og rester av placenta ble fjernet operativt.

    På grunn av paralytisk ileus ble pasienten overført til gastroenterologisk avdeling. Det tilkom et uventet fall av hemoglobin til 7,5 g/100 ml, og hemofecprøve var positiv. Det ble derfor funnet indikasjon for gastroskopi, som viste akutt hemoragisk gastritt. Pasienten ble derfor satt på lansoprazol per os. Samtidig ble hun behandlet for en antatt sepsis av uklar årsak med intravenøs kefalosporin kombinert med metronidazol. På dette regimet bedret allmenntilstanden seg raskt, og hun ble afebril. Det kom ikke oppvekst av mikrober i blodkultur.

    Ved overflytting til nevrologisk avdeling 17 dager etter innleggelsen var hun velorientert, men hadde redusert nærhukommelse og retrograd amnesi for flere uker. Det forelå ingen øyemuskelpareser, kun lett nystagmus i blikkretningen og lett ataksi i underekstremitetene. Nevrologiske funn for øvrig var normale. Hun klarte å gå med støtte ved overflyttingen, og etter noen få dager gikk hun alene, dog noe ustødig.

    Nevropsykologisk testing gjennomført tre uker etter innleggelsen bekreftet dårlig nærhukommelse, men det ble også påvist nedsatte sensomotoriske funksjoner og nedsatt koordinasjon.

    MR-kontroll fire uker etter den første undersøkelsen viste tilbakegang av forandringene i hjernestammen og fortsatt bilateral lesjon i thalamus (fig 2).

    Ved utskrivningen hadde pasienten ingen nystagmus, men lett ataksi, og hukommelsen hadde bedret seg. Ifølge pårørende og henne selv var hun som før sykdommen. Nevropsykologisk testing seks uker etter utskrivning viste bedring av psykomotoriske funksjoner, intakt psykomotorisk tempo og en liten bedring i hukommelsen, som fortsatt var nedsatt. MR viste fullstendig normalisering av signalforandringene i thalamus. Ved kontroll etter fire måneder var pasientens tilstand uforandret med lett ataksi, det var ingen nystagmus eller åpenbar svikt i hukommelsen.

    Diskusjon

    Diskusjon

    Wernickes encefalopati ble første gang beskrevet av den tyske psykiater Karl Wernicke i 1881. Han omtalte en gruppe alkoholmisbrukere som alle hadde utviklet ataksi, konfusjon og øyesymptomer. De fleste tilfeller av Wernickes encefalopati er knyttet til langvarig alkoholmisbruk. I et stort norsk autopsimateriale er det vist at tilstanden i mange tilfeller ikke var klinisk erkjent (4).

    Personer som misbruker alkohol over tid, har et lavt inntak av næring og dermed også av vitaminer og kalorier utenom det alkohol inneholder. Etylalkohol brytes ned uten tiamin, men reduserer også resorpsjonen av vitamin B₁ og øker derved defisitten enda mer. Sykdommen er ikke spesifikk for alkoholmisbruk, men kan være relatert til generell malnutrisjon med mangelfullt inntak eller nedsatt resorpsjon av tiamin, som for eksempel ved langtkommen kreftsykdom, gastrisk snøring (gastric banding), pankreatitt eller hyperemesis gravidarum (6, 7). I vårt tilfelle forelå den uvanlige sykdomspresentasjonen med moderat, men prolongert hyperemesis gravidarum i andre trimester. Den raskt innsettende konfusjonen, som dekket over de andre nevrologiske symptomene, var en diagnostisk utfordring. Vi har funnet om lag 30 publiserte kasuistikker med Wernickes encefalopati som komplikasjon av hyperemesis gravidarum (3).

    Tiamin er et nødvendig koenzym for enzymene transketolase, pyruvatdehydrogenase og ketoglutaratdehydrogenase, som alle spiller en viktig rolle i metabolismen av karbohydrater som energikilde. Hemming av disse enzymene på grunn av mangel på tiamin fører til økt konsentrasjon av glutamat i ekstracellulærrommet i hjerneområder hvor glutamat spiller en viktig rolle som transmitter. Økningen kan skyldes økt sekresjon, men også nedsatt resorpsjon i gliacellene, som er de strukturene som først viser morfologiske forandringer ved tiaminmangel. Økt ekstracellulær glutamatkonsentrasjon anses som nevrotoksisk i spesielt vulnerable områder, først og fremst i mesencefalon og diencefalon (8).

    Tiamin er vannløslig og overskuddet skylles ut via nyrene. Det anses derfor ikke å være toksisk. Daglig minimumsbehov er ca. 1 mg, og ved normal næringsinntak absorberes vanligvis opptil 5 mg daglig. Kjøtt, lever, fisk, hvete og andre grynsorter inneholder mye tiamin. Lagrene i muskulatur, lever, nyrer, hjerte og hjerne inneholder 25 – 30 mg tiamin og er dermed tilstrekkelig for ca. en måneds forbruk. Behovet for tiamin stiger under graviditeten, til ca. 50 % over normalbehovet i tredje trimester, dvs. ca. 1,5 mg i døgnet (5).

    Den aktive formen, tiaminpyrofosfat, er kjemisk instabil og vanskelig å måle i serum. Blodprøven må beskyttes mot lys og kan oppbevares maksimalt 12 timer i kjøleskap før analysering. Prøven må sendes til spesiallaboratorium i frossen tilstand. En bedre metode for kvantifisering av tiamin er måling av transketolaseaktiviteten i erytrocytter. Den såkalte transketolaseeffekten betegner stigning av aktiviteten etter in vitro-tilførsel av tiaminpyrofosfat. Denne metoden er lite tilgjengelig og har dermed ingen praktisk betydning.

    Kvalme og brekninger i graviditeten kan føre til meget lavt netto matinntak. Hyperemesis i første trimester er sjelden problematisk, fordi tiaminbehovet fortsatt er lavt og lagrene store. Med fosterets økende vekst og økende energiforbruk vil behovet for tiamin øke etter som graviditeten skrider frem. Ved vedvarende hyperemesis gravidarum vil lagrene kunne tømmes i løpet av 3 – 4 uker(1, 3).

    Det er meget viktig å merke seg at tilførsel av glukose øker metabolismen av karboanhydrater og dermed behovet for tiamin. Pasienter som legges inn i sykehus med hyperemesis gravidarum, og som får intravenøs tilførsel av glukose, vil dermed kunne utvikle en rask forverring av Wernickes encefalopati (1, 2, 5). Vår pasient hadde ikke fått intravenøs tilførsel av glukoseholdige væsker verken ved lokalsykehuset eller regionsykehuset, men hadde muligens hatt ensidig kosthold basert på karbohydrater over lengre tid.

    Det finnes ingen sikre tall som viser hyppigheten av misdannelser eller nevrologiske sekveler hos nyfødte av mødre med Wernickes encefalopati i svangerskapet, men det er anført at tidlig diagnose og behandling vil kunne forhindre abort.

    Hyperemesis gravidarum disponerer for utvikling av Wernickes encefalopati, spesielt i perioden etter 12. uke av svangerskapet, da forbruket av tiamin øker betydelig. Særlig i denne perioden er det viktig å være oppmerksom på nevrologiske symptomer, spesielt triaden konfusjon, dobbeltsyn og ataksi, men også isolert konfusjon eller øyesymptomer (3, 5, 9).

    Vi baserte diagnosen på den nevnte triaden konfusjon, øyemuskelpareser og ataksi samt karakteristiske MR-funn (10). Denne pasienten hadde symmetriske områder med forhøyet T2-signal i dorsomediale thalamus, periakveduktalt i mesencefalon, i hypothalamus og i corpora mammillaria, noe som er typisk for Wernickes encefalopati (10) – (12). Hos enkelte pasienter vil man se kontrastopptak i disse lesjonene, men dette er ikke obligat. Hos vår pasient ble det ikke gitt intravenøs kontrast. Diffusjonsvektede MR-bilder er en sensitiv metode for å påvise intracellulært ødem hvor diffusjonen er redusert. Ved hjerneinfarkter betyr redusert diffusjon som regel en irreversibel vevsskade, som utvikles til nekrose. Det er de siste årene kommet flere rapporter som viser at enkelte av pasientene med Wernickes encefalopati har redusert diffusjon i mediale thalamus (11, 12). I utgangspunktet vil et slikt MR-funn indikere en alvorligere prognose med større risiko for vevshenfall. Hos vår pasient ble det ikke påvist redusert diffusjon. Det er også typisk å se en tydelig tilbakegang av signalforandringene ved MR-undersøkelse etter få dagers behandling med tiamin (10). Hos vår pasient observerte vi dette. Ved den første kontrollundersøkelsen var det en begynnende normalisering, og etter 2 1/2 måneder var normaliseringen fullstendig.

    Fordi det kliniske bildet ved Wernickes encefalopati kan være vanskelig å vurdere og fordi MR-funnene ofte er karakteristiske, vil magnetisk resonanstomografi være et nyttig diagnostisk verktøy hos pasienter hvor denne tilstanden mistenkes.

    Manuskriptet ble godkjent 27.4. 2005.

    Oppgitte interessekonflikter: Ingen

    Kommentarer  ( 0 )

    Anbefalte artikler