Kontaktallergi i munnhulen

    ()

    sporsmal_grey_rgb
    Abstract

    Kontaktallergiske reaksjoner i munnslimhinne er relativt sjeldent, men kan være årsak til sykdom i munnslimhinnen. Orale lichenoide reaksjoner etter kontakt med tannrestaureringer, særlig amalgamfyllinger, er blant de vanligste kliniske reaksjoner. Subjektive symptomer, slik som brennende munn-syndrom, kan ha en kontaktallergisk komponent, men etiologien er uklar og kompleks. Tilsetningsstoffer i matvarer og orale hygieneprodukter kan forårsake munnslimhinnereaksjoner av kontaktallergisk natur. Epikutantest er et diagnostisk standardverktøy og brukes av hudleger. Testen har begrenset verdi alene. Riktig tolking av testresultatets kliniske relevans er avgjørende.

    Abstract

    Contact allergy is not frequently seen in the oral mucosa. Oral lichenoid reactions in conjunction with dental restorations, particularly amalgam fillings, are among the most common affections. Subjective symptoms such as burning mouth syndrome, could have an allergic component, but the etiology is unclear and complex. Food additives and oral hygiene products can cause oral lesions of allergic nature. Patch testing is the routine diagnostic tool used by dermatologists, though the interpretation of the clinical relevance is crucial.

    Artikkel

    Kontaktallergi oppstår når det utvikles en hypersensitivitetsreaksjon mot en småmolekylær substans som penetrerer hud eller slimhinne. Den småmolekylære substansen (haptenet) danner et kompleks med autologt HLA-protein. Dette hapten-protein-komplekset blir så av antigenpresenterende celler (langerhansceller) i hud eller slimhinne presentert for T-lymfocytter, som sensibiliseres. De prolifererer, og i løpet av 7 – 10 dager er det et tilstrekkelig antall slike sensibiliserte T-lymfocytter til at de kan sette i gang en kontaktallergisk reaksjon (type IV-reaksjon) ved ny eksponering for antigenet.

    For europeere er nikkel og parfymekomponenter de vanligste kontaktallergenene, bedømt ut fra resultater av epikutantester (1). Flere av disse substansene brukes også i odontologisk virksomhet, f.eks. eugenol, som inngår i parfymemiks i europeisk standard epikutanserie.

    Kontaktallergiske reaksjoner i munnslimhinnen er likevel relativt sjeldent forekommende, og munnslimhinnen synes generelt å være mer resistent mot slike reaksjoner enn huden (2). Dette kan delvis skyldes forskjeller mellom hud og slimhinne når det gjelder anatomi og lokalt miljø. I munnslimhinnen er det ikke noe hornlag med barrierefunksjon og lagringskapasitet (unntatt i tannkjøtt og den harde gane). Der er ingen lipidsekresjon, men i stedet en kontinuerlig salivaflom som vasker bort fremmede substanser. Det er ukjent om disse forskjellene er relevante som forklaring på den lave forekomsten av kontaktallergiske reaksjoner på slimhinner. De cellulære komponentene som er nødvendige for en type IV-reaksjon, er til stede også i munnslimhinnen. Det er ikke fastslått om man kan sensibiliseres for stoffer ved eksponering gjennom munnslimhinne alene eller om det kun skjer en utløsning av eksisterende sensibilitet. Induksjon av toleranse (hos ikke-sensibiliserte) kan muligens skje via munnslimhinnen (3).

    Intraoral kontaktallergi kan inndeles i tre kategorier: allergi forårsaket av odontologiske biomaterialer, allergi forårsaket av matvarer og allergi forårsaket av orale hygieneprodukter (4). Kliniske tegn på kontaktallergi kan være lichenoide kontaktlesjoner, generalisert stomatitt, systemisk kontaktdermatitt eller kun subjektive manifestasjoner som hypersialoré og brennende munn-syndrom (burning mouth syndrome) (4, 5).

    Kontaktallergi av odontologiske biomaterialer

    Kontaktallergi av odontologiske biomaterialer

    Munnslimhinneaffeksjon i form av allergisk kontaktstomatitt eller allergiske lichenoide kontaktlesjoner er beskrevet for ulike metaller: kvikksølv i amalgamfyllinger (6, 7), nikkel eller krom i apparatur for tannregulering eller kroner/broer, kobolt i partielle proteser med metallskjelett, palladium i kroner/broer (8) og gull (9) – (11). Også andre restaureringsmaterialer, f.eks. plast, kan være årsak til slike reaksjoner (12, 13). Subjektive plager av typen brennende munn-syndrom kan ha en allergisk komponent, men generelt er det komplekse, uklare og usikre årsaksforhold ved slike plager (14).

    Nikkel og krom

    Nikkel og krom

    Disse er blant de vanligste kontaktallergenene (1). De inngår i materialer for tannregulering (ortodonti). Hos eldre personer er det aktuelt å bruke kobolt-krom-legeringer i delproteser (partielle proteser). For fastsittende proteser, dvs. kroner og broer, har det ikke vært vanlig å bruke nikkelbaserte legeringer i Norge, men bruken av slike legeringer øker, blant annet i forbindelse med tannbehandling utført i utlandet (15).

    Apparatur for tannregulering er ofte laget av rustfritt stål, dvs. nikkel, krom, molybden og jern. Det kan bli frigitt bl.a. nikkel, og det forekommer reaksjoner en sjelden gang, oftest der apparaturen er i kontakt med hud (16). Spørsmålet om utvikling av immunologisk toleranse er interessant. Det er forhold som tyder på at en forutgående oral eksponering for nikkel, f.eks. fra tannregulering, kan indusere en toleranse mot senere nikkelrelaterte reaksjoner, f.eks. i forbindelse med piercing og bruk av nikkelholdige smykker (16, 17).

    Amalgam

    Amalgam

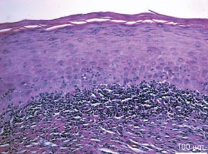
    Dette er et tannfyllingsmateriale som brukes stadig mindre, men amalgamfyllinger har lang varighet, og derfor er det mange slike fyllinger i befolkningen. Lokale reaksjoner ved amalgamfyllinger er blant de hyppigste materialrelaterte reaksjonene i munnslimhinnen. Begrepet orale lichenoide kontaktlesjoner brukes om lokaliserte lichen planus-liknende forandringer som utvikles i kontakt med tannrestaureringer (fig 1). Kliniske tegn og histopatologiske forandringer assosiert med slike lichenoide kontaktlesjoner og oral lichen planus er svært like (fig 2). Det finnes ingen sikker metode som kan skille disse tilstandene.

    Amalgam kan utløse orale lichenoide kontaktlesjoner, og kvikksølv er den viktigste etiologiske faktor (18, 19). Utskiftning av amalgamrestaureringer gir resolusjon eller bedring av slike lesjoner i mange tilfeller. Den topografiske relasjon mellom orale lichenoide kontaktlesjoner og amalgamrestaurering er en nyttig prognostisk markør, men ikke en konklusiv indikator på utfall av amalgamfjerning (20). Resultater fra observasjonsstudier viser også at epikutantesting har begrenset verdi som indikator på om utskiftning av amalgamrestaureringer vil gi bedring. 90 % av dem med orale lichenoide kontaktlesjoner og positiv epikutantest blir bedre etter fjerning av amalgamrestaureringer, men det gjør også 68 % av dem som har negative epikutantester. Uavklarte lokale immunologiske effekter av annen karakter enn kontaktallergi kan være årsaken til orale lichenoide kontaktlesjoner utløst av amalgam hos personer med negativ epikutantest (20).

    Legeringer av gull og andre edelmetaller

    Legeringer av gull og andre edelmetaller

    Gullallergi har fått mye oppmerksomhet i medisinsk og odontologisk litteratur i løpet av det siste tiåret. I noen undersøkelser er gull det hyppigste kontaktallergenet nest etter nikkel (21). Studier tyder på at kontaktallergi overfor gull er korrelert til tilstedeværelse av dentalt gull (10, 11). Dentale legeringer kan ha et gullinnhold som varierer mellom 10 % og nesten 90 % i vekt. Det er holdepunkter for å tro at gull kan frigjøres i små mengder fra dentale gullegeringer i et biologisk miljø (22). Det viser seg imidlertid at den kliniske relevans av en påvist kontaktallergi overfor gull samlet sett er liten. Ved lokale inflammatoriske reaksjoner, derimot, har kontaktallergi overfor gull vist seg å kunne være klinisk relevant, vurdert ut fra kasuistiske rapporter. Aktuelle kliniske funn er orale lichenoide kontaktlesjoner eller lokal stomatitt topografisk relatert til gullholdige tannrestaureringer. Ved stomatitt uten klar topografisk relasjon eller ved subjektive symptomer alene, f.eks. brennende munn-syndrom, er sannsynligheten langt mindre for at en eventuell samtidig gullallergi er klinisk relevant (10). Det finnes dog kasuistiske meddelelser der man omtaler bedring av brennende munn-syndrom etter fjerning av dentalt gull der gullallergi er påvist (5).

    Edelmetallet palladium benyttes i enkelte dentale legeringer. Det er en tendens til at nikkel og palladium begge gir reaksjoner i samme epikutantest (23, 24), noe som begrunner fraråding av bruk av palladiumholdige legeringer hos nikkelallergikere.

    Plaststoffer

    Plaststoffer

    Plaststoffer, som ofte inneholder metakrylater, brukes i økende grad i tannfyllingsmaterialer og tilhørende materialer som skal binde fyllingene til tannsubstansen («bonding»). I ureagert form har mange av disse stoffene potente allergene egenskaper (25). Herdede metakrylater, derimot, har ikke sterke allergene egenskaper som gir intraorale kontaktallergiske reaksjoner, selv om det er rapportert enkelttilfeller (26) – (28). Det er antydet at brennende munn-syndrom i forbindelse med plastmaterialer i avtakbare proteser kan skyldes en kontaktallergi (29), men etiologien er uavklart (14).

    Det er foreløpig ingen alarmerende økning av rapporter om pasientreaksjoner på plastbaserte tannfyllingsmaterialer, men man ønsker å overvåke utviklingen (30). Uherdede plaststoffers allergene egenskaper innebærer derimot en risiko for tannhelsepersonell. I Finland er tannlegene den yrkesgruppen som har høyest risiko for å utvikle en yrkesrelatert allergisk kontaktdermatitt (31). Allergisk kontaktdermatitt overfor metakrylater presenterer seg oftest som et fingertuppeksem som kan påvirke den yrkesmessige funksjon i betydelig grad.

    Matvarer og orale hygieneprodukter

    Matvarer og orale hygieneprodukter

    Av hyppig forekommende kontaktallergener blant parfymestoffer er kanelalkohol og kanelaldehyd. Kanel er mye brukt som krydder i matvarer, sukkertøy, tyggegummi, tannpasta og munnskyllemidler. Det er vanligvis smaksstoffer som er involvert i reaksjoner mot for eksempel tannpasta (32, 33).

    Det er rapportert intraorale kontaktallergiske reaksjoner hos personer med parfymeallergi. Det kliniske bildet er heterogent og kan omfatte erytem, deskvamasjon, urtikariell hevelse og brennende smerte (4). Lesjonene har gjerne et fokalt preg, med aksentuasjon der eksponeringen mot allergenet er størst. Labial og bukkal slimhinne og lateralsider av tungen er hyppigst affisert, men munngulv og gingiva kan også være involvert. Sjeldnere forekommer en mer generalisert stomatitt (4).

    Systemisk kontaktdermatitt

    Systemisk kontaktdermatitt

    Det er antatt at metaller fra tannrestaureringer i sjeldne tilfeller kan gi systemisk kontaktdermatitt, med eller uten samtidig intraoral affeksjon (11, 34). Noen få enkelttilfeller er publisert, og det dreier seg da om nikkel eller gull. I en dobbeltblind, placebokontrollert klinisk studie er det vist at oral nikkeleksponering kan utløse hudreaksjoner hos nikkelsensitive personer (35).

    Å diagnostisere en slik eventuell systemisk kontaktdermatitt og skille den fra andre former for generalisert dermatitt utgjør i seg selv en betydelig klinisk utfordring. En positiv epikutantest i en slik situasjon har lav positiv prediktiv verdi. Systemisk kontaktdermatitt blir i praksis å betrakte som en eksklusjonsdiagnose.

    Epikutantesting

    Epikutantesting

    Dette er hudlegenes standardverktøy for å belyse kontaktallergi. Testen legges og avleses av hudlege i henhold til dermatologisk etablerte prosedyrer. Lappetester med de aktuelle standardiserte allergener festes på pasientens rygg og fjernes etter to døgn. Testen avleses tre, eventuelt også sju døgn etter at den ble anlagt.

    Det er viktig å være klar over epikutantestens begrensninger som diagnostisk hjelpemiddel. En test alene vil kun avsløre om det foreligger en kontaktallergi, ikke om denne har sammenheng med pasientens symptomer. Således må en kontaktallergisk reaksjon påvist ved epikutantest alltid sammenholdes med en vurdering av klinisk relevans. Denne kliniske vurderingen bør gjøres forut for eventuell epikutantesting, gjerne i samråd mellom allmennlege, tannlege og hudlege.

    Det finnes ulike testserier for ulike grupper av substanser. Standardserien inneholder de vanligste allergenene vi eksponeres for i dagliglivet. Denne inneholder blant annet nikkel og parfymestoffer. I tillegg finnes det mange spesialserier, f.eks. parfymeserie, kosmetikkserie og akrylatserie og en serie for dentalmaterialer – dentalserien. Denne er aktuell for å teste mot ulike substanser som kan finnes i en rekke odontologiske materialer. Norske hudleger har utarbeidet retningslinjer for indikasjoner for epikutantesting ved mistanke om kontaktallergi overfor odontologiske materialer (ramme 1) (36).

    Ramme 1

    Indikasjoner for epikutantest ved mistanke om kontaktallergi overfor odontologiske materialer (36)

    • Objektive forandringer i munnslimhinne, klinisk forenlig med kontaktreaksjon eller lichenoid reaksjon og topografisk relatert til tannrestaureringer

    • Utbrudd av eksem i forbindelse med tannbehandling der annen etiologi ikke er påvist

    • Klinisk begrunnet mistanke om kontaktallergi (allergisk kontakteksem) mot en substans som planlegges brukt i tannbehandling

    Bidrag fra folketrygden ved reaksjon på tannmateriale

    Bidrag fra folketrygden ved reaksjon på tannmateriale

    Pasientens tannlege er den viktigste samarbeidspartneren i forbindelse med orale reaksjoner. Bivirkningsgruppen for odontologiske biomaterialer (www.uib.no/bivirkningsgruppen) kan bistå i forbindelse med spørsmål om reaksjoner på materialer.

    Personer som reagerer på tannmaterialer, kan under visse forutsetninger få bidrag til utskifting av materialer. Det er pasientens tannlege som er ansvarlig for slike søknader. I tilfelle av lokale lichenoide reaksjoner kreves det at en lege godtgjør at reaksjonene «mest sannsynlig» ikke skyldes en bakenforliggende sykdom. For legen er det i praksis gjerne et spørsmål om en vurdering ut fra kjente medisinske opplysninger og i samråd med pasientens tannlege (37). Når det gjelder trygdebidrag for «fjernreaksjoner», f.eks. systemisk kontaktdermatitt, må det foreligge erklæring fra spesialist i hudsykdommer. Det er ikke et krav at det er utført epikutantesting, men det er ofte naturlig.

    Oppgitte interessekonflikter: Ingen

    Kommentarer  ( 0 )
    PDF
    Skriv ut

    Anbefalte artikler