Background
. In April 2004, the Norwegian Institute of Public Health was notified about an outbreak of a respiratory illness among participants on a cultural-historical theme tour to Central America. One patient was examined in a Swedish hospital where the clinician suspected histoplasmosis, which later was verified by serology and by culture of Histoplasma capsulatum. In order to describe the outbreak and identify the possible source of infection, a clinical and epidemiological study was conducted.
Material and methods
. A questionnaire on symptoms, treatment and participation in various activities was sent to all the tour participants. Reminders were sent by e-mail. In addition, some participants underwent a more detailed clinical examination.
Results
. 19 of the 21 travellers completed the questionnaire. All travellers had visited several caves inhabited by bats in El Salvador and Guatemala. During the last 10 days of the journey, 16 of the respondents (84 %) acquired a respiratory illness that lasted for more than 3 weeks. The diagnosis was confirmed by serology in 8 of the 14 tested cases. Antibacterial therapy was given to 11 patients and antifungal therapy to 3 patients. Only one patient was hospitalised.
Intepretation
. The described outbreak of histoplasmosis was probably caused by exposure to Histoplasma capsulatum during a visit in bat-infested caves. Due to the increasing popularity of adventure and theme travels, this disease may become more frequent in our population. The condition should be considered in travellers with prolonged respiratory illness after visits to caves or other closed environments with little circulation of air that are potentially contaminated with bat or bird droppings. Persons with immunosuppression may develop severe illness, and should consider avoiding places with increased risk.
Histoplasmose er en systemisk soppinfeksjon som kan gi sykdom av varierende alvorlighet. Infeksjonen starter vanligvis i lungene. Flere sopparter kan gi sykdom, viktigst er Histoplasma capsulatum var. capsulatum som særlig finnes i Amerika og Asia, men er mer sjelden i Europa. Sykdommen forekommer ikke endemisk i Skandinavia, og bare sporadiske tilfeller etter reise i Nord- og Sør-Amerika er beskrevet (1). Reservoar for soppen er jordsmonn og dyr, spesielt fugler og flaggermus. Mennesker smittes ved inhalasjon av sporer som frigis fra jordsmonn forurenset av avføring fra dyr. Histoplasmose smitter ikke fra person til person. Infeksjon med H capsulatum er ofte asymptomatisk hos friske mennesker, men utbrudd av sykdom er rapportert, og da særlig etter opphold i grotter med flaggermus (2, 3). Forholdene for soppvekst er gode slike steder, og det antas at eksponering for store mengder soppsporer er nødvendig for at ellers friske mennesker skal bli syke. Hos personer med immunsvikt slik som AIDS, kan histoplasmose gi alvorlige sykdomsbilder (4).
Utbruddsvarsel
Smittevernvakta ved Folkehelseinstituttet fikk i april 2004 en henvendelse fra en lege ved et reisemedisinsk senter i Oslo om en pasient som var blitt syk etter å ha deltatt på en treukers gruppereise i Mellom-Amerika. Pasienten hadde feber og symptomer fra luftveiene og kunne fortelle at flere i reisefølget også hadde fått symptomer på luftveisinfeksjon med hoste og feber i løpet av reisen eller etter hjemkomst. Pasienten var blitt undersøkt for ulike luftveispatogener (bl.a. legionella og mykoplasma), med negativt resultat. Legen var tidligere blitt oppringt fra infeksjonsklinikken ved Sahlgrenska Universitetssjukhuset i Göteborg. De hadde undersøkt en pasient som hadde deltatt på gruppereisen, og der histoplasmose ble vurdert som mulig diagnose. To dager senere mottok vi opplysninger om at denne pasienten hadde fått påvist høyt antistofftiter mot H capsulatum, og dette ble etter noen dager verifisert med en positiv dyrking av denne soppen fra bronkialsekret tatt ved bronkoskopi.
Siden dette er en sykdom som svært sjelden diagnostiseres i Norge, og økt kunnskap er av betydning for reiserådgivning og diagnostikk, ønsket vi å nærmere kartlegge omfanget av utbruddet og mulige smittekilder. I tillegg var det viktig å informere deltakerne på gruppereisen om at de kunne være smittet, og deltakere på fremtidige reiser om den eventuelle smittefaren. Folkehelseinstituttet tok derfor initiativ til oppfølging og kartlegging av pasientene. Hjemmel for dette finnes i smittevernloven § 7-9, der det heter at instituttet skal gi bistand, råd, veiledning og informasjon til helsepersonell og befolkningen om smittsomme sykdommer og smittevern, herunder i forbindelse med oppklaring og kontroll av utbrudd av smittsom sykdom. Reisearrangøren ga en liste over deltakerne på turen. I forståelse med reisearrangøren ringte vi alle deltakerne umiddelbart etter at diagnosen ble stilt hos den første pasienten og ga dem generell informasjon om sykdommen og anbefalte tiltak hvis de skulle få symptomer.
Materiale og metode
Reisearrangøren ga en oversikt over sted og tid for ulike aktiviteter i løpet av reisen. Vi sendte et spørreskjema per post til alle deltakerne, med påfølgende purring per e-post. Vi spurte om deltakelse på ulike aktiviteter, symptomer, behandling og eventuelle bakenforliggende risikofaktorer som kan ha disponert for sykdommen. Siden dette var en del av utbruddsetterforskningen og ikke et forskningsprosjekt, var det ikke nødvendig med godkjenning fra regional komité for medisinsk forskningsetikk.
18 av pasientene ble tilbudt undersøkelser ved Infeksjonsmedisinsk avdeling, Ullevål universitetssykehus. I påvente av laboratoriebekreftelse brukte vi en klinisk kasusdefinisjon for histoplasmose basert på beskrivelser av symptomer ved utbrudd i utlandet (3, 5) (ramme 1). I etterkant ble dette sammenstilt med resultater fra klinisk utredning ved Ullevål universitetssykehus og Sahlgrenska Universitetssjukhuset i Göteborg.
Klinisk kasusdefinisjon for sannsynlig tilfelle av histoplasmose i forbindelse med utbruddet blant gruppereisende
Deltatt i gruppereisen til Mellom-Amerika mars – april 2004
og
under reisen eller i løpet av to uker etter hjemkomst oppga å ha blitt syk med:
-
langvarig hoste (> 14 dager)
-
eller
-
hoste/pustebesvær og ett eller flere av følgende symptomer: feber, brystsmerter, hodepine eller muskel- og leddsmerter.
Pasientene ved Ullevål universitetssykehus ble vurdert klinisk. Det ble tatt røntgenbilde av lungene på alle, og hos noen ble bildeutredningen supplert med CT av lungene. Det ble tatt orienterende blodprøver og sendt serum til undersøkelse ved Mikrobiologisk avdeling ved Rikshospitalet med tanke på antistoffer mot Blastomyces dermatitidis, Coccidioides immitis/posadasii og H capsulatum. Undersøkelsene ble utført ca. seks og ni uker etter hjemkomst. Antistoff for histoplasmose ble undersøkt med immunodiffusjonstest (ID Fungal Antibody System, Immuno-Mycologics Inc., USA), en test som oppgis å ha sensitivitet og spesifisitet på henholdsvis 90 % og 94 % for pasienter med dyrkings- eller biopsiverifisert histoplasmose (6).
Resultater
Reisen varte i tre uker, og inkluderte besøk i tre land i Mellom-Amerika: El Salvador, Honduras og Guatemala. I løpet av oppholdet var det lagt inn besøk til flere steder av kulturell og historisk interesse: lokale markeder, ruiner, indianerlandsbyer, museer, templer og hellige grotter. Det var totalt 21 deltakere på gruppereisen: fem menn og 16 kvinner. Alle var 40 – 66 år, med unntak av ett barn på 12 år. Gjennomsnittsalderen var 53 år. Totalt 19 av deltakerne (90 %) besvarte skjemaet. Ingen av dem oppga at de led av alvorlige kroniske sykdommer, men to hadde astma og en tredje mild angina pectoris.
De fleste deltakerne deltok på alle fellesaktivitetene under turen. På spørsmål om hvor de selv trodde de var blitt smittet, nevnte flere besøk i grotter i El Salvador, der det hadde vært mye støv og mange flaggermus. Det ble også nevnt enkelte hotell der det hadde vært støvete og der det var observert mange fugler i bur.
Av de 19 som svarte på skjemaet, oppga 18 at de var blitt syke i løpet av turen, mens én ble syk dagen etter hjemkomst (fig 1). 16 av disse oppfylte kriteriene for sannsynlig histoplasmose i henhold til den kliniske kasusdefinisjonen. Av dem som oppfylte denne definisjonen, hadde 15 fortsatt symptomer ved tidspunkt for utfylling av spørreskjemaet ca. en måned etter hjemkomst. 11 var blitt behandlet med antibakterielle midler (doksycyklin, erytromycin, clarithromycin, azitromycin, ciprofloksacin), og tre hadde fått soppbehandling (itrakonazol). Åtte av de syke var blitt sykmeldt, men kun én av dem som svarte på spørreskjemaet, hadde vært innlagt i sykehus. Av de tre som ikke oppfylte kasusdefinisjonen, var én med på reisen kun de to siste ukene i Guatemala og den andre var det ene barnet som var med på turen. Den tredje var en person som oppga å ha hatt langvarig feber og ledd- og muskelverk, men ingen luftveissymptomer, og oppfylte dermed ikke den kliniske kasusdefinisjonen. Symptomer og behandling er beskrevet i tabell 1.
Tabell 1
Symptomer og behandling ved utbrudd av histoplasmose under og etter gruppereise til Mellom-Amerika 2004. Symptomer som er inkludert i den kliniske kasusdefinisjonen i kursiv
| Syke¹ (n = 16) |
Friske¹ (n = 3) |
||||
| Symptomer og behandling |
Ja |
Totalt² |
Ja |
Totalt |
|
| Feber ² |
11 |
11 |
1 |
3 |
|
| Hoste |
15 |
16 |
0 |
3 |
|
| Pustebesvær |
11 |
16 |
0 |
3 |
|
| Brystsmerter |
7 |
14 |
1 |
3 |
|
| Hodepine |
9 |
16 |
1 |
3 |
|
| Diaré/oppkast |
5 |
14 |
3 |
3 |
|
| Utslett |
4 |
15 |
0 |
3 |
|
| Ledd- og muskelsmerter |
4 |
12 |
1 |
3 |
|
| Slapp/trøtt |
15 |
16 |
3 |
3 |
|
| Lungebetennelse |
4 |
8 |
0 |
3 |
|
| Symptomer ved intervjutidspunkt³ |
15 |
16 |
0 |
3 |
|
| Kontaktet lege |
15 |
16 |
1 |
3 |
|
| Fikk behandling |
13 |
16 |
0 |
3 |
|
| Antibiotika |
11 |
16 |
0 |
3 |
|
| Soppmidler |
3 |
16 |
0 |
3 |
|
| Innlagt sykehus |
1 |
16 |
0 |
3 |
|
| Sykmeldt |
8 |
15 |
0 |
3 |
|
| [i] | |||||
[i] ¹ Fordelt på dem som oppfyller kriteriene i den kliniske kasusdefinisjonen (syke) og de som ikke oppfyller kriteriene (friske)
² En del har svart vet ikke på enkelte spørsmål og er ikke med i det totale antallet
³ Ca. 30 dager etter hjemkomst
15 av deltakerne ble nærmere utredet ved Ullevål universitetssykehus og én ved Sahlgrenska Universitetssjukhuset i Göteborg.
Det ble funnet mikrobiologisk holdepunkt for histoplasmose hos sju av 13 pasienter undersøkt med antistoffpåvisning ved Ullevål universitetssykehus ca. ni uker etter hjemkomst. Hos kun to av disse ble det påvist antistoff ca. tre uker tidligere, fire var negative mens én ikke var blitt undersøkt tidligere. Hos alle de norske pasientene var dyrkingsprøven negativ, men den var positiv hos den svenske pasienten som også hadde påvist antistoff. Denne pasienten var bronkoskopert, slik at man fikk materiale til dyrking fra nedre luftveier, mens det på det tidspunktet ikke ble funnet indikasjon for å bronkoskopere de norske pasientene (med unntak av én, hvor man imidlertid ikke vurderte histoplasmose da undersøkelsen ble utført).
Det ble påvist antistoff mot Histoplasma hos sju av 11 pasienter som ut fra spørreskjemasvarene oppfylte den kliniske kasusdefinisjonen og som ble testet for antistoffrespons. Hos to som ikke oppfylte kasusdefinisjonen, ble det påvist antistoff mot Histoplasma hos den ene personen som hadde hatt langvarig feber og ledd- og muskelverk, men ikke rapporterte luftveissymptomer (fig 2).
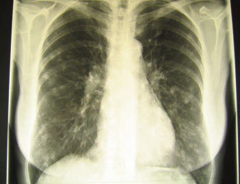
Røntgen thorax viste typiske forandringer med bilaterale nodulære infiltrater hos 13 av 15 pasienter (fig 3).
Diskusjon
Histoplasmose er en sykdom som sjelden diagnostiseres i Norge, og dette er det første utbruddet som er beskrevet blant norske reisende.
De fleste som utsettes for smitte, blir ikke syke, men ved stor eksponering for soppsporer er det rapportert flere utbrudd med høy angrepsrate blant ellers friske personer. Sykdommen kan gi ulike sykdomsbilder (ramme 2) (7). Immunfriske mennesker får sjelden eller aldri de alvorligste sykdomsbildene. De symptomatiske tilfellene i dette utbruddet utviklet sykdom forenlig med akutt lungehistoplasmose, med unntak av én pasient som ble serologisk verifisert og som rapporterte feber og leddsmerter, men var uten luftveissymptomer. Mer alvorlige former ble ikke påvist. Inkubasjonsperioden er vanligvis 3 – 17 dager, men kan noen ganger være lenger. Spennet i inkubasjonstid gjør det vanskelig å bestemme hvilken av grottene som var smittekilde. Selv om vi ikke kan konkludere sikkert, anser vi det allikevel for mest sannsynlig at de reisende ble smittet i den siste grotten på turen, som sjelden blir besøkt av turister. Begrunnelsen for dette er: Det er sannsynlig at grotter som besøkes sjelden eller aldri, kan gi opphav til store bestander av fugler og dyr, og dermed vil store mengder ekskrementer legge forholdene godt til rette for vekst av Histoplasma. Man vil forvente at faren for oppvirvling av støv som inneholder sporer, er særlig stor under slike forhold, både pga. fuglenes, dyrenes og menneskers aktivitet. Hvis en av de mer hyppig besøkte grottene var smittekilden, ville andre besøkende sannsynligvis rapportert sykdom tidligere. En beregnet inkubasjonstid på 7 – 16 dager passer godt med det som anses vanlig. Serokonvertering en stund etter hjemkomst taler for at smitten skjedde sent under oppholdet.
Fakta om histoplasmose
-
Agens
Dimorf sopp; Histoplasma capsulatum
Trives best i nitrogenrikt jordsmonn (ansamlingssteder for flaggermus og fugler)
-
Forekomst
Vanligst rapportert fra Nord-, Mellom- og Sør-Amerika, men også utbredt i Afrika, Asia og Australia. Relativt sjelden i Europa
-
Smittemåte
Inhalasjon av sporer
Smitter ikke fra person til person
-
Inkubasjonstid
3 – 17 dager
-
Klinikk
Fem sykdomsbilder (16):
Asymptomatisk infeksjon (vanlig)
Akutt lungehistoplasmose
Akutt disseminert histoplasmose
Kronisk disseminert histoplasmose
Kronisk lungehistoplasmose
Ellers friske mennesker blir syke ved høy infeksjonsdose
AIDS-pasienter og andre immunsvekkede er mer mottakelige og kan bli alvorlig syke
-
Diagnostikk
Agenspåvisning ved dyrking, mikroskopi eller antigenpåvisning
Serologi
Hudtester
-
Behandling
Ikke nødvendig i de fleste tilfeller
Hos immunsvekkede eller personer med alvorlig eller langvarig symptombilde: systemisk soppbehandling
-
Meldings- og varslingsplikt
Ikke meldingspliktig til MSIS bortsett fra ved aidsdefinerende sykdom
Varslingsplikt ved omfattende eller alvorlige utbrudd
Påvisning av antistoff mot Histoplasma er den mest sensitive mikrobiologiske metoden for diagnostikk av akutt lungehistoplasmose (opptil 90 – 95 %), til sammenlikning med antigenpåvisning (25 – 75 %), mikroskopi (10 %) og dyrking av luftveissekret (15 %) (8). På røntgenbilde kan det ved akutt lungehistoplasmose påvises infiltrater, nodulære lesjoner og forstørrede lymfeknuter i lungehilus. Selv om dyrking er mindre sensitiv enn annen diagnostikk, bør dette likevel forsøkes, siden det gir det mest pålitelige svaret. Prøvene bør fortrinnsvis tas ved bronkoskopi, slik at man får materiale til dyrking fra nedre luftveier. Dersom dyrkingen er negativ, må diagnosen stilles ut fra en samlet vurdering av tilgjengelige opplysninger, dvs. anamnese, kliniske funn, røntgenfunn og serologi.
I dette utbruddet ble det kun påvist antistoff hos tre av 13 undersøkte (23 %) etter seks uker, mens totalt åtte av 14 undersøkte (57 %) var seropositive ni uker etter hjemkomst. Forklaringen på dette kan være at sensitiviteten ved testen under de gitte forhold var reelt lav eller at kasusdefinisjonen har vært for sensitiv. Det siste anser vi som mindre sannsynlig, siden tidspunkt for sykdomsutbrudd og sykdomsbilde var likt både for dem som fikk og ikke fikk påvist antistoff. Lav sensitivitet ved antistofftesting kan skyldes egenskaper ved selve testen eller lav antistoffrespons hos de undersøkte. Selv om andre har påvist opp mot 90 % sensitivitet for den brukte immundiffusjonstesten (6), er dette angitt for pasienter med sykdom som er verifisert med dyrking eller biopsi. Vi anser det sannsynlig at den lavere sensitiviteten i vårt materiale kan skyldes mildere sykdom hos våre pasienter. Det er kjent at antistoffpåvisning er positivt korrelert med grad av sykdom (9). En stor andel av pasientene serokonverterte først etter ni uker, og det er mulig at enda flere ville ha serokonvertert om testen var blitt utført senere. Ved akutt histoplasmose kan det ta lang tid før pasientene serokonverterer (8, 10) og diagnosen bør derfor ikke utelukkes ved negativ serologi i de første ukene av sykdomsforløpet. Man ville imidlertid normalt sett forvente serokonvertering før ni uker etter signifikant eksponering.
En av pasientene ble verifisert med en positiv dyrking av H capsulatum fra bronkialsekret tatt med bronkoskopi. Siden Histoplasma anses som et høyrisikoagens i laboratoriemiljø, er det viktig at mistanken om histoplasmose skrives på rekvisisjonen ved innsending av prøver fra pasienter der denne diagnosen kan være aktuell.
Hos de fleste går akutt lungehistoplasmose over uten behandling, og soppbehandling anbefales kun ved alvorlig eller langvarig sykdom ut over fire uker (11). Intravenøst amfotericin B er forbeholdt de mest alvorlige sykdomstilfellene, mens itrakonazol peroralt anbefales til pasienter med mild eller moderat sykdom i mer enn fire uker. Av våre pasienter var det kun tre pasienter som fikk behandling med soppmiddel. Mange pasienter fikk imidlertid empirisk antibakteriell behandling, noe som illustrerer at diagnosen er vanskelig på klinisk grunnlag alene.
Differensialdiagnosene er mange, og inkluderer bl.a. legionellose, psittakose, coccidioidomykose, mykoplasmainfeksjon og virale luftveisinfeksjoner.
Utbrudd av histoplasmose er tidligere rapportert etter besøk i grotter med mye flaggermus (3, 12, 13). Tilfeller av histoplasmose er hyppigst rapportert fra sentrale og midtvestlige deler av USA, Mellom- og Sør-Amerika (fig 4) (14). Det er også rapportert sporadiske tilfeller fra enkelte områder i Sør- og Øst-Europa, deler av Afrika, Asia og Australia, men utbrudd der flere er blitt rapportert syke etter en enkel eksponering, er sjelden rapportert utenfor Amerika (15, 16).
I utbruddet vi her beskriver, hadde gruppen i løpet av inkubasjonsperioden for histoplasmose besøkt flere grotter i El Salvador og Guatemala hvor de kan være blitt eksponert for store mengder sporer. Opplevelsesreiser til eksotiske områder blir stadig mer populære, og det er viktig at reiserådgivningen følger opp med hensyn til dette. Spesielt utsatte grupper, bl.a. personer som er immunsupprimerte eller har kroniske sykdommer, gravide og eldre bør få informasjon, slik at de vet hvordan de kan unngå særlig smittefarlige situasjoner under reisen. Reisearrangører må vurdere om besøk i grotter bør inngå som besøksmål for gruppereiser til histoplasmoseendemiske områder. Dette gjelder særlig hvis det er snakk om grotter som vanligvis ikke besøkes av turister. Hvis det anses nødvendig å besøke grotter der det foreligger særlig høy risiko for eksponering for histoplasmoseaerosol, bør det vurderes å bruke åndedrettsvern (P3-maske).
Henvisning til spesialist i lungesykdommer eller infeksjonsmedisin anbefales for reisende som får langvarige eller alvorlige luftveissymptomer de første to til tre uker etter besøk i grotter med mye flaggermus eller andre områder med risiko for histoplasmose.
Vi takker Mikrobiologisk institutt ved Rikshospitalet for assistanse med den mikrobiologiske diagnostikken av pasientene.
Oppgitte interessekonflikter: Ingen
- 1.
Zettergren L, Larsson S, Olling S. Histoplasmosis – a review in connection to some imported cases. Lækartidningen 1991; 88: 3283 – 5.
- 2.
Weinberg M, Weeks J, Lance-Parker S et al. Severe histoplasmosis in travelers to Nicaragua. Emerg Infect Dis 2003; 9: 1322 – 5.
- 3.
Ashford DA, Hajjeh RA, Kelley MF et al. Outbreak of histoplasmosis among cavers attending the National Speleological Society Annual Convention, Texas, 1994. Am J Trop Med Hyg 1999; 60: 899 – 903.
- 4.
Wheat J. Endemic mycoses in aids – a clinical review. Clin Microbiol Rev 1995; 8: 146 – 59.
- 5.
Morgan J, Cano MV, Feikin DR et al. A large outbreak of histoplasmosis among American travelers associated with a hotel in Acapulco, Mexico, spring 2001. Am J Trop Med Hyg 2003; 69: 663 – 9.
- 6.
Bauman DS, Smith CD. Comparison of immunodiffusion and complement fixation tests in the diagnosis of histoplasmosis. J Clin Microbiol 1976; 2: 77 – 80.
- 7.
Joseph WL. Current diagnosis of histoplasmosis. Trends Microbiol 2003; 11: 488 – 94.
- 8.
Davies SF. Serodiagnosis of histoplasmosis. Semin Respir Infect 1986; 1: 9 – 15.
- 9.
Wheat J, French ML, Kohler RB et al. The diagnostic laboratory tests for histoplasmosis: analysis of experience in a large urban outbreak. Ann Intern Med 1982; 97: 680 – 5.
- 10.
Wheat J, Sarosi G, McKinsey D et al. Practice guidelines for the management of patients with histoplasmosis. Infectious Diseases Society of America. Clin Infect Dis 2000; 30: 688 – 95.
- 11.
Buxton JA, Dawar M, Wheat LJ et al. Outbreak of histoplasmosis in a school party that visited a cave in Belize: role of antigen testing in diagnosis. J Travel Med 2002; 9: 48 – 50.
- 12.
Lottenberg R, Waldman RH, Ajello L et al. Pulmonary histoplasmosis associated with exploration of a bat cave. Am J Epidemiol 1979; 110: 156 – 61.
- 13.
Panackal AA, Hajjeh RA, Cetron MS et al. Fungal infections among returning travelers. Clin Infect Dis 2002; 35: 1088 – 95.
- 14.
Craven SA, Benatar SR. Histoplasmosis in the Cape Province. A report of the second known outbreak. S Afr Med J 1979; 55: 89 – 92.
- 15.
Rippon JW. Medical mycology: the pathogenic fungi and the pathogenic actinomycetes. 3. utg. Philadelphia: WB Saunders, 1988: 385.
- 16.
American Public Health Association. Control of communicable diseases manual. Washington: The Association, 2004.