Background.
A custom-made hip prosthesis is developed at St.Olav´s Hospital and the Norwegian University of Science and Technology (NTNU) in Trondheim. The purpose was to design an uncemented stem for optimal fit of the proximal femur to achieve secure fixation and optimal strain distribution to the bone. A customized hip prosthesis permits reconstruction of the normal joint mechanism, including reconstruction of leg length, a physiological hip centre and a normal lever arm for the major hip muscles. 6 years of experience with the device at the orthopaedic department at Sørlandet Hospital, Arendal is presented.
Material and method.
43 hips in 37 patients were operated. Median time of observation was 3 years (3 months – 6 years). The patients’ age was on average 49 years. 70 % of the hips had hip dysplasia. The patients were followed prospectively, both clinically and radiologically for up to 6 years (median 3 years).
Results.
The operations were performed as planned in all patients with an average operation time of 96 minutes. We have had no re-operations, no post-operative dislocations of the operated hips and no infections. No components have loosened and no patient has complained of thigh pain. One patient had a per-operative femoral fissure that was treated with cerclage, and one patient had an affection of nervus ischiadicus. The mean Harris hip score was 49 pre- and 97 post-operation .
Interpretation.
Our experience with the Norwegian custom-made hip prosthesis is promising and confirms the good results from the Trondheim group.
Total hofteprotese er en av de mest vellykkede og best dokumenterte operasjoner i ortopedisk kirurgi. I Norge settes det inn ca. 7 000 hofteproteser per år. Det nasjonale leddregisteret i Norge har gitt verdifull kunnskap om hvilke protesetyper som har de beste langtidsresultatene (1). For de usementerte acetabularkomponentene har problemene vært plastslitasje og løsning (2). Resultatene for de sementerte og usementerte femurkomponentene har de senere år vært nokså like for de protesetyper som er mest brukt i Norge (3). Problemet har vært resultatene hos unge, aktive pasienter og pasienter med større anatomiske avvik i øvre femur og hofteledd.
For å bedre langtidsresultatene for de usementerte femurkomponentene har flere internasjonale forskningsgrupper utviklet individuelt tilpassede, sementfrie femurkomponenter. Målet har vært å oppnå en mest mulig eksakt tilpasning mellom protese og femurkanal. Det har vært tre forskjellige måter å oppnå dette på:
Mulier og medarbeidere fra Belgia tok intraoperativ avstøpning av femurkanalen og laget deretter ved hjelp av computer en ferdig femurkomponent mens pasient og kirurg ventet på operasjonsstuen (4). De første rapportene om denne protesen var lovende, men senere rapporter har vist en høy revisjonsrate (5, 6).
Konvensjonelle røntgenbilder har også vært brukt for å fremstille individtilpassede femurkomponenter. Dette har imidlertid vist seg å være for unøyaktig (7), og de kliniske resultater har vært skuffende (8).
Den til nå mest presise metode for å lage en individtilpasset femurkomponent er bruk av tredimensjonal CT-fremstilling av femurkanalen og CAD/CAM-teknologi (computer-assisted design/computer-assisted manufacturing) (9, 10). Resultatene til nå har vært varierende (11, 12).
I 1991 ble det startet et samarbeidsprosjekt mellom Ortopedisk avdeling ved St. Olavs Hospital og Norges teknisk-naturvitenskapelige universitet i Trondheim for å utvikle en individtilpasset, sementfri femurkomponent av totalprotese i hoften, også kalt skreddersydd hofteprotese. Protesen ble utviklet først og fremst for lårbein med større anatomiske avvik og til bruk ved avvik av anatomiske eller mekaniske forhold i hofteleddet.
Det er en svær oppgave å skulle utvikle en ny hofteprotese, og flere kjente forskere har foreslått en trinnvis introduksjon av nye implantater. Dette omfatter en preklinisk del med eksperimentelle studier av biokompatibilitet og biomekanikk, deretter små, randomiserte studier med bruk av beintetthetsmåling (DEXA) og radiostereometriske analyser (RSA), multisenterstudier, langtidsstudier og registerstudier (13, 14).
Miljøet i Trondheim utviklet protesen etter disse retningslinjer. Det ble først utviklet en tredimensjonal CT-metode for å fremskaffe bildedata for design og individuell tilpasning av protesen, og det ble gjort en rekke eksperimentelle og biomekaniske studier på lårbeinspreparater før og etter innsetting av proteser. Prosjektet ble initiert og ledet av Pål Benum. Arild Aamodt forsvarte i 1999 sin medisinske doktorgrad med tilknytning til dette prosjektet (15).
Den individuelle femurprotesen, Unique, Scandinavian Customized Prosthesis (SCP), ble tatt i klinisk bruk i 1995. Totalt er det satt inn rundt 1 000 slike proteser. I Trondheim er det satt inn over 500 proteser, og resultatene til nå er meget gode (16). Ved Ortopedisk avdeling, Sørlandet sykehus Arendal startet vi med denne protesen i februar 2000. Til nå har vi operert 43 hofter, og de første pasientene har vært til seksårskontroll.
Vi har et nært samarbeid med miljøet i Trondheim. Røntgenavdelingen i Arendal gjør en tredimensjonal CT-fremstilling av pasientens øvre femur, dataene blir sendt elektronisk til Trondheim, og femurkomponenten fremstilles deretter i en datastyrt produksjonsprosess (fig 1). Protesen er laget av titan. Det tilstrebes at protesen har optimal kontakt til 1,5 – 2 cm nedenfor trochanter minor, det samme område er belagt med hydroksyapatitt på en porøs overflate (fig 2). Collumanteversjonen er standardisert til 10°. Operatøren får tilsendt operasjonsdokumentasjon fra produsenten. Det er ut fra femurkomponentens halslengde og halsvinkel at operatøren kan velge medial offset, fremre offset (fig 3) og bestemme ønsket beinlengde (fig 4). Deretter ferdigstilles den individtilpassede hofteprotesen. Det følger med en reseksjonsmal for collumkuttet, og instruksjon om hvordan malen skal stilles inn for den enkelte pasient. Det følger også med 1 – 2 spesialtilpassede rasper for preparering av femurkanalen (fig 5). Kun femurprotesen er individtilpasset, for acetabulum benyttes standard acetabularproteser.
Materiale og metode
Vi har operert 43 hofter hos 37 pasienter, hvorav 20 kvinner. Alder ved operasjon var 29 – 61 år, gjennomsnitt 49 år. 15 pasienter ble operert i høyre hofte, 17 i venstre og 11 fikk bilateral hofteprotese.
Pasientene ble fulgt prospektivt, klinisk og røntgenologisk to måneder, ett år, tre år og seks år postoperativt og vil bli fulgt systematisk videre. Alle pasientene har møtt til kontroll. Median observasjonstid er tre år (spredning 3 md. – 6 år). Pre- og postoperativ funksjon ble vurdert med Harris’ hofteskår (17).
Pre- og postoperativ beinlengdeforskjell ble målt klinisk og røntgenologisk. Klinisk ble eventuell beinlengdeforskjell vurdert stående ved palpasjon av crista. For røntgenologisk vurdering trakk vi en linje mellom distale del av os pubis på hver side og vurderte senter av trochanter minor i forhold til denne linjen (5).
Den preoperative diagnosen var hoftedysplasi i 30 hofter (70 %), Calvé-Legg-Perthes’ sykdom i fem hofter, primær artrose i fire hofter og fraktursekvele i fire hofter. Graden av hoftedysplasi ble vurdert etter Crowes inndeling (18). 25 hofter hadde dysplasi grad 1 (mild), og fem hofter dysplasi grad 2 (lav dislokasjon). Pasienter med høy dislokasjon ble ikke operert i Arendal, men rutinemessig henvist til Ortopedisk avdeling, Rikshospitalet, der man har lang erfaring med slike nedhentingsoperasjoner (19). Seks av hoftene var tidligere operert med takplastikk, seks var operert med femurosteotomi og fire hofter var tidligere operert for brudd.
Det ble brukt en lateral tilgang til hofteleddet hos alle pasientene. I 41 hofter ble det for acetabulum brukt en sementfri Duraloc-acetabularprotese med polyetyleninnerkopp, i to hofter ble det brukt en sementert Reflection acetabularprotese. I ett tilfelle er det brukt caput 22 mm i diameter, i resten caput 28 mm i diameter. 41 hofter fikk caput av keramikk (Biolox forte), to hofter caput av kromkobolt. Det har vært én hovedoperatør (SS). Pasientene har postoperativt brukt to krykker i to måneder, men har belastet fullt.
Resultater
Operasjonen ble gjennomført som planlagt hos alle pasientene uten behov for konvertering til en sementert femurkomponent ved noen av inngrepene. Operasjonstiden var 75 – 140 minutter, snitt 96 minutter. Den preoperative dokumentasjonen var presis, og collumkuttet var innenfor 3 mm av planlagt nivå hos alle pasientene.
Det oppsto ikke behov for reoperasjon, og det ble ikke registrert luksasjoner eller infeksjoner. Én pasient fikk peroperativt en proksimal fissur av femur i calcarregionen, behandlet med cerclage, men dette hadde ingen betydning for opptrening eller sluttresultat. Det oppsto ingen postoperative femurfrakturer, og det har ikke vært løsning av komponentene til nå. Ingen pasienter har klaget over lårsmerter. En pasient fikk en affeksjon av n. ischiadicus. Ingen pasienter fikk tromboemboliske komplikasjoner.
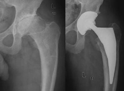
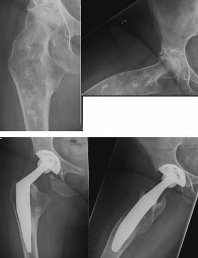
Harris’ hofteskår ble målt preoperativt og postoperativt etter ett år. Gjennomsnittlig skår preoperativt var 49 (spredning 27 – 66) og postoperativt 97 (spredning 76 – 100). Preoperativt var det aktuelle bein kortere (1 – 3 cm) hos 20 pasienter. Postoperativt var beina like lange hos 35 pasienter, hos én pasient var beinet fortsatt 1 cm for kort, og hos én pasient var beinet blitt 1 cm for langt (overkorreksjon). Eksempler på bruk av den individtilpassede hofteprotesen fremgår av figur 6, figur 7 og e-figur 8.
Diskusjon
Våre erfaringer med den individtilpassede hofteprotesen har vært gode og bekrefter de gode resultatene som er dokumentert fra Trondheim (16). Sammenliknet med materialet derfra er pasientene ved vårt sykehus litt yngre og en betydelig større andel har hoftedysplasi (henholdsvis 70 % og 42 %).
Den elektroniske overføring av data fra CT-opptak på røntgenavdelingen i Arendal til firmaet i Trondheim har fungert godt. Den preoperative dokumentasjonen har vært presis, og de røntgenologiske og kliniske postoperative resultater har vært som ønsket, vurdert ut fra presisjon av collumkutt, korreksjon av beinlengde og funksjon (Harris’ hofteskår). Ingen av pasientene fikk luksasjoner postoperativt eller løsninger senere.
Seks års lengste oppfølging er selvfølgelig for kort til å si noe om langtidsresultater. Det finnes få publikasjoner om individtilpassede hofteproteser med opp mot ti års oppfølging. Publikasjonen med lengst oppfølging (snitt åtte år) er fra Sveits og viser meget gode resultater uten løsning av hofteprotesen i 62 opererte hofter (20).
Konseptet med individtilpasset hofteprotese er interessant for en hoftekirurg. Kirurgen deltar aktivt i produksjonsprosessen for å lage en protese som skal gi en mest mulig normalt fungerende hofte. For oss har dette vært stimulerende og lærerikt. Det er to hovedgrunner til å bruke en individtilpasset hofteprotese. Hos pasienter med anatomiske avvik i øvre femurende og/eller hofteledd vil en slik protese normalisere de geometriske forhold i hofteleddet og derved bidra til utvikling av en tilnærmet normal muskelfunksjon og en bedret gangfunksjon. Ved å oppnå en optimal tilpasning av protese til femurkanal oppnås dessuten en bedre stabilitet mellom protese og bein. Målet er at dette skal gi gunstigere remodellering og bedre langtidsresultater.
På grunn av den kompliserte produksjonsprosessen er prisen på den aktuelle protesen ca. 50 % høyere enn den mest brukte usementerte femurprotesen i Norge (Corail). Selv om resultatene til nå er gode, og selv om de første protesene som er satt inn ved St. Olavs Hospital, er fulgt i over ti år, er det foreløpig ingen langtidsresultater som viser om den individtilpassede femurkomponenten er bedre enn de beste standard femurkomponenter på markedet. Det er til nå neppe tilstrekkelige data for å bruke den individtilpassede hofteprotesen som eneste sementfrie hofteprotese ved en vanlig ortopedkirurgisk avdeling. Ved Sørlandet sykehus Arendal har vi derfor valgt å bruke den individtilpassede protesen hos pasienter med spesielle hofter, om lag 70 % av disse har vært pasienter med hoftedysplasi. Vi har de senere år til sammen operert 150 – 200 hofteproteser i året, og av disse har vi brukt den individtilpassede protesen i 5 – 10 hofter per år.
Oppgitte interessekonflikter: Ingen
Hovedbudskap
En individtilpasset hofteprotese er utviklet i Trondheim
Protesen egner seg spesielt for hofter med avvikende anatomi, som sekvele av hoftedysplasi
- 1.
Havelin LI, Espehaug B, Lie SA et al. The Norwegian Artroplasty Register. 11 years and 73,000 arthroplasties. Acta Orthop Scand 2000; 71: 337 – 53.
- 2.
Havelin LI, Espehaug B, Engesæter LB. The performance of two hydroxyapatite-coated acetabular cups compared with Charnley cups. From the Norwegian Arthroplasty Register. J Bone Joint Surg (Br) 2002; 84: 839 – 45.
- 3.
Furnes O, Espehaug B, Lie SA et al. Prospective studies of hip and knee prostheses. The Norwegian Arthroplasty Register 1987 – 2004. Scientific exhibition presented at the 72nd Annual meeting of the American Academy of Orthopaedic Surgeons, Washington DC, USA, February 23 – 27, 2005. (www.haukeland.no/nrl (!9.4.2006).)
- 4.
Mulier JC, Mulier M, Brady LP et al. A new system to produce intraoperatively custom femoral prosthesis from measurements taken during the surgical procedure. Clin Orthop 1989; 249: 97 – 112.
- 5.
Robinson RP, Clark JE. Unsemented press-fit total hip artroplasty using the Identifit custom-molding technique. J Arthroplasty 1996; 11: 247 – 54.
- 6.
Lombardi AV, Mallory TH, Eberle RW et al. Failure of intraoperative customized non-porous femoral components inserted without cement in total hip arthroplasty. J Bone Joint Surg (Am) 1995; 77: 1836 – 44.
- 7.
Rubin PJ, Leyvraz PF, Aubaniac JM et al. The morphology of the proximal femur. A three-dimensional radiographic analysis. J Bone Joint Surg (Br) 1992; 74: 28 – 32.
- 8.
Mohan B, Nixon JR, Doran E. Uncemented custom-made femoral components. Hip International 2002; 12: 365 – 70.
- 9.
Robertson DD, Walker PS, Granholm JW et al. Design of custom hip stem prosthesis using three-dimensional CT modeling. J Comput Assist Tomogr 1987; 11: 804 – 9.
- 10.
Stulberg SD, Stulberg BN, Wixson RL. The rationale, design characteristics, and preliminary results of a primary custom total hip prosthesis. Clin Orthop 1989; 249: 79 – 96.
- 11.
Bargar WI. Custom design and robotic insertion of unsementet femoral prosthesis. I: Callaghan JJ, Rosenberg AG, Rubash HE, red. The adult hip. Philadelphia: Lippincott-Raven, 1998; 1093 – 104.
- 12.
Bert JM. Custom total hip arthroplasty. J Arthroplasty 1996; 11: 905 – 15.
- 13.
Huiskes R. Failed innovation in total hip replacement. Diagnosis and proposal for cure. Acta Orthop Scand 1993; 64: 699 – 716.
- 14.
Malchau H. On the importance of stepwise introduction of new hip implant technology. Göteborg: Göteborg University, 1995.
- 15.
Aamodt A. Development and pre-clinical evaluation of a custom-made femoral stem. Doktoravhandling. Trondheim: Universitetet i Trondheim, 1999.
- 16.
Benum P, Aamodt A, Persen L et al. Nær 10 års kliniske erfaringer med sementfrie individtilpassede femurkomponenter ved totalproteser i hofteledd. Oslo: Norsk kirurgisk forening, Vitenskapelige forhandlinger, 2005: 287.
- 17.
Harris WH. Traumatic arthritis of the hip after dislocation and acetabular fractures. Treatment by mold artroplasty. J Bone Joint Surg (Am) 1969; 51: 737 – 55.
- 18.
Crowe JF, Mani VJ, Ranawat CS. Total hip replacement in congenital dislocation and dysplasia of the hip. J Bone Joint Surg (Am) 1979; 61: 15 – 23.
- 19.
Reikeraas O, Lereim P, Gabor I et al. Femoral shortening in total arthroplasty for completely dislocated hips. 3 – 7 year results in 25 cases. Acta Orthop Scand 1996; 67: 33 – 6.
- 20.
Wettstein M, Mouhsine E, Argenson JN et al. Three-dimensional computed cementless custom femoral stems in young patients. Clin Orthop 2005; 437: 169 – 75.