En eldre kvinne med akutte pareser og synstap

    ()

    sporsmal_grey_rgb
    Abstract

    We present a patient with Posterior Reversible Encephalopathy Syndrome (PRES). A 74-year-old woman was admitted with sepsis, which originated from erysipelas on her neck the following day. She developed respiratory obstruction due to oedema, septic shock, disseminated intravascular coagulation (DIC), acute renal failure and atrial fibrillation. She responded well to treatment and improved rapidly, despite of her serious condition.

    When she had almost fully recovered after 15 days, her general condition worsened, and she developed confusion, blindness and pareses. MRI showed vasogenic oedema in the parietooccipital regions of the brain and in the cerebellum, consistent with PRES.

    PRES is a clinical and radiological diagnosis consisting of headache, confusion, cortical blindness, convulsions and sometimes pareses. MRI of the cerebrum with diffusion-weighted imaging (DWI) and Apparent Diffusion Coefficient (ADC) map are decisive to the diagnosis, and usually shows a characteristic bilateral vasogenic oedema in the parietooccipital region. This can distinguish PRES from brain infarction, which shows a cytotoxic oedema on MRI. We discuss our patient in the light of different conditions leading to PRES, possible pathophysiological factors and treatment options.

    Artikkel

    En 74 år gammel tidligere frisk kvinne ble innlagt i medisinsk avdeling med sepsis utgående fra erysipelas på venstre side av halsen. Dagen etter innleggelsen utviklet hun respirasjonssvikt på grunn av ødem i halsregionen, septisk sjokk, disseminert intravaskulær koagulasjon (DIC), akutt nyresvikt og atrieflimmer. Ødemutviklingen var alvorlig, og hun ble derfor intubert og overflyttet til intensivavdelingen. Pasienten hadde behov for respiratorstøtte i til sammen fem døgn.

    På grunn av septisk sjokk hadde hun initialt lavt blodtrykk, 60 – 70 mm Hg systolisk, og oliguri. Hun fikk blodtrykkshevende behandling i form av intravenøs væsketilførsel og noradrenalin i fem dager, med god effekt. Blodtrykket stabiliserte seg deretter på 140 – 185/60 – 90 mm Hg i resten av akuttfasen. Kreatininnivået steg til 360 µmol/l, s-urinstoffnivået til 19 mmol/l, og dialysebehandling ble startet. Etter to mislykkede forsøk på elektrokonvertering av atrieflimmeren fikk hun overgang til sinusrytme etter infusjon med Amiodaron. Det ble gitt tilskudd av antitrombin III og plasma for å bremse DIC-utviklingen, med god effekt.

    C-reaktivt protein (CRP) ble målt til 485 mg/l ved innkomst, og det var oppvekst av betahemolytiske streptokokker i blodkulturer. Infeksjonen ble behandlet med intravenøs antibiotika i form av klindamycin 600 mg x 4 i 18 dager og benzylpenicillin 5 mill. IE x 4 i åtte dager, deretter cefotaksim 2 g x 3 i stedet for benzylpenicillin de neste 15 dagene. Hydrokortison 100 mg x 3 ble også gitt de første dagene, for å dempe hevelsen i halsen. Kirurgisk intervensjon var ikke nødvendig.

    Pasienten kom seg gradvis, og ble overflyttet til medisinsk sengepost. På dag 15 i sykdomsforløpet var hun i god allmenntilstand – hun satt oppe i stolen og spiste ved egen hjelp. CRP-nivået hadde sunket til 36 mg/l, og hun var afebril. Det var ingen nevrologiske symptomer. Dialysebehandlingen var avsluttet. Kreatininnivået var på 94 µmol/l, urinstoffnivået 13,4 mmol/l. Blodtrykket varierte i området 160 – 185/85 – 105 mm Hg, og hun var respiratorisk og sirkulatorisk helt ubesværet.

    På visitten dagen etter var imidlertid allmenntilstanden dårlig – hun var somnolent, konfus og klaget over nedsatt syn. Det ble funnet nedsatt kraft i alle ekstremiteter, mest på venstre side. Paresegraden ble ikke nærmere angitt.

    Man mistenkte at hun hadde fått et hjerneslag, og CT caput ble utført. Undersøkelsen viste ikke noe sikkert patologisk, men mulig antydning til lavattenuasjon i oksipitallappene. Man antok derfor at pasienten hadde fått et hjerneinfarkt som ikke kunne ses på CT så tidlig i forløpet. Nevrolog ble tilkalt dagen etter for å vurdere pasienten.

    Da nevrologen kom, var pasienten sengeliggende, i nedsatt allmenntilstand, somnolent og konfus. Blodtrykket var 180/100 mm Hg. Hun anga å ha mistet synet på begge øyne, og ved undersøkelse klarte hun ikke fingertelling på en meters avstand. Hun var tilnærmet paralytisk i underekstremitetene og i venstre overekstremitet, men hun klarte å klemme med høyre hånd og løfte den. Det var ingen spastisitet, og både de dype senerefleksene og plantarrefleksene var utslukket.

    Flere differensialdiagnoser ble overveid. I og med at pasienten var somnolent, konfus og blind, var det klinisk mistanke om en patologisk prosess i sentralnervesystemet. Slappe pareser og arefleksi kan være uttrykk for skade i det perifere nervesystem, men funnene ses også ofte i akuttfasen av en sentralnervøs skade, og det siste ble funnet mest sannsynlig i dette tilfellet. I første omgang ble det mistenkt hjerneinfarkt forårsaket av trombe eller embolus i a. basilaris. Septisk emboli og kardial emboli etter atrieflimmer kunne være mulige utløsende årsaker. Sinusvenetrombose ble også vurdert som en mulig differensialdiagnose, spesielt trombose i sinus sagittalis superior. MR cerebrum og hjernestamme med diffusjonsvektede sekvenser ble derfor bestilt for å utrede disse tilstandene nærmere.

    Da pasienten nylig hadde hatt en alvorlig infeksjon, ble muligheten for infeksiøs meningitt og encefalitt overveid. CRP-nivået var imidlertid uendret og spinalvæskeundersøkelser normale. Infeksiøs årsak ble derfor ansett som lite sannsynlig. På grunn av det alvorlige sykdomsforløpet og intensivbehandlingen mistenkte man også metabolsk encefalopati. Det ble tatt en rekke blodprøver for å utrede denne muligheten. Natriumverdien var forhøyet, 150 mmol/l, men den hadde ligget stabilt i øvre normalområde under hele sykdomsforløpet, og det ble antatt at denne sannsynligvis ikke hadde innvirkning på tilstanden. De øvrige prøvene var normale, inkludert kalium og glukose.

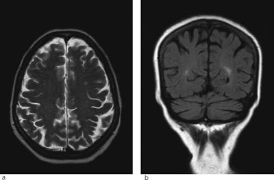
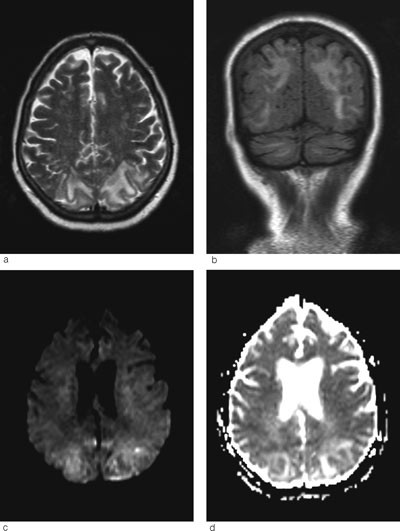
    Senere samme dag ble det gjort MR-undersøkelse. Denne viste vasogent ødem parietooksipitalt, cerebellart og delvis i hjernestammen (fig 1a-d). Det var ingen tegn til infarkt eller sinusvenetrombose. Funnene var best forenlig med posterior reversibel encefalopati-syndrom (PRES). Pasienten ble overflyttet nevrologisk avdeling for videre behandling.

    Posterior reversibel encefalopati-syndrom kan skyldes en rekke bakenforliggende årsaker, men hos denne pasienten fantes det ingen åpenbare enkeltfaktorer. Det ble derfor antatt at flere tilstander kunne ha bidratt til utviklingen av syndromet. Hypertensjon var én mulig årsak, men pasienten hadde kun hatt lettgradig hypertensjon i dagene før symptomene startet. Endringen fra hypotensjon i starten av forløpet til lettgradig hypertensjon senere kan muligens ha bidratt. Det er kjent at nyresvikt og uremi kan utløse syndromet, og urinstoffnivået var forhøyet helt frem til symptomstart. Sepsis kan muligens også ha vært en medvirkende årsak. Ingen av de medikamentene hun ble behandlet med, er kjent for å kunne utløse syndromet, men kritisk sykdom og intensivbehandling kan kanskje i seg selv ha innvirkning på utviklingen av tilstanden.

    Det ble vurdert ytterligere behandling av de mulige utløsende årsakene, men blodtrykket, infeksjons- og nyreprøver normaliserte seg imidlertid spontant det første døgnet, slik at ingen videre behandling ble gitt. Pasienten ble raskt bedre, og etter noen dager fikk hun gradvis synet tilbake. Paresene bedret seg langsomt, og hun var oppegående etter noen uker. Ved kontroll etter fire måneder var hun helt symptomfri, og det var ingen patologiske funn ved nevrologisk undersøkelse. MR cerebrum viste at ødemforandringene hadde gått helt tilbake (fig 2a-b).

    Diskusjon

    Diskusjon

    Posterior reversibel encefalopati-syndrom ble første gang beskrevet av Hinchey og medarbeidere under tittelen A reversible posterior leukoencephalopathy syndrome i 1996 (1). Betegnelsen «leukoencefalopatisyndrom» henspiller på affeksjon av hvit substans i hjernen. Siden man i ettertid har sett at tilstanden også rammer grå substans, er «encefalopatisyndrom» en riktigere betegnelse. Diagnosen bygger på kliniske og radiologiske funn.

    Det kliniske bildet er karakterisert av hodepine, konfusjon, kortikal blindhet, krampeanfall og i uttalte tilfeller motoriske utfall (1, 2). Kvalme og oppkast forekommer også hyppig. Symptomene oppstår som oftest subakutt over noen timer, men kan likne akutte symptomer på hjerneslag fra bakre kretsløps forsyningsområde, som er den viktigste differensialdiagnosen. MR cerebrum med diffusjonsvekting og ADC-kart (apparent diffusion coefficient) er avgjørende for å kunne stille diagnosen. Det er som regel karakteristiske funn, med vasogent ødem parietooksipitalt. Radiologisk atskiller syndromet seg fra hjerneinfarkt, hvor MR hovedsakelig viser cytotoksisk ødem. Det er viktig å skille posterior reversibel encefalopati-syndrom fra hjerneinfarkt, da tilstandene krever ulik behandling, noe som kan være avgjørende for utfallet.

    Det har vært stilt spørsmål ved om man kan omtale dette som et syndrom og om det alltid er reversibelt (3). Med bakgrunn i vår gjennomgang av litteraturen mener vi kasuistikkene fremstår med relativt like kliniske og radiologiske funn – noe som kan forsvare betegnelsen posterior reversibel encefalopati-syndrom og fremstillingen av dette som et syndrom. For de fleste vil riktig behandling gi tilbakegang av forandringene, og pasienten vil kunne bli helt restituert (1, 4). Syndromet er sjeldent, og det finnes ikke epidemiologiske data. I og med at syndromet er beskrevet relativt nylig, er det rimelig å anta at økt oppmerksomhet rundt tilstanden vil kunne avdekke flere tilfeller.

    Radiologisk diagnostikk

    Radiologisk diagnostikk

    Ved MR cerebrum er det som regel karakteristiske funn ved posterior reversibel encefalopati-syndrom med vasogent ødem parietooksipitalt bilateralt (5). I uttalte tilfeller, som hos vår pasient, kan man se slike forandringer i hjernestammen og cerebellum, sjeldnere i fremre deler av cerebrum (6). T2-vektede MR-bilder og FLAIR-sekvenser er sensitive for ødem, som vises som høysignalforandringer (fig 1a-b).

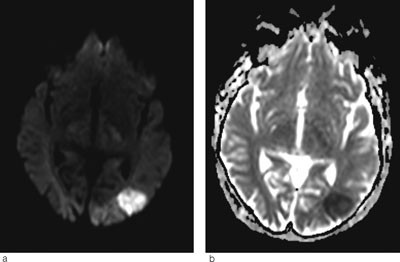
    Hjerneødem kan være cytotoksisk (cellulært) eller vasogent (interstitielt). Ofte foreligger det en kombinasjon. Ved hjerneinfarkt dominerer det cytotoksiske ødemet og celledød (fig 3a-b). Ved posterior reversibel encefalopati-syndrom får man et vasogent ødem som i utgangspunktet er reversibelt, men som uten behandling kan utvikles til cytotoksisk ødem og gi permanent cellulær skade. Ved hjelp av MR med diffusjonsvekting (DWI) og ADC-kart kan man skille mellom cytotoksisk og vasogent ødem. Ved MR med diffusjonsvekting er det høyt signal ved cytotoksisk ødem, mens det vanligvis er lavt signal eller ingen signalendringer ved vasogent ødem. I noen tilfeller får man likevel høyt signal ved posterior reversibel encefalopati-syndrom. Dette skyldes at DWI-resultatet er satt sammen av bidrag fra både T2-vekting og diffusjonsvekting. Høyt signal på T2 kan derfor skinne igjennom til diffusjonsbildet. Dette var også tilfellet hos vår pasient (fig 1c). Det er derfor viktig med ADC-kart, hvor bidraget fra T2 er fjernet og man får et rent diffusjonsbilde (7). ADC-kart viser alltid lavt signal ved cytotoksisk ødem og høyt signal ved vasogent ødem, som ved posterior reversibel encefalopati-syndrom (fig 1d).

    Årsaker og patofysiologi

    Årsaker og patofysiologi

    Posterior reversibel encefalopati-syndrom kan skyldes en rekke sykdommer og medikamenter (1). Den vanligste årsaken er hypertensjon, og tilstanden kan betraktes som en undergruppe av hypertensiv encefalopati. Man vet imidlertid ikke sikkert hva som forårsaker ødemforandringene. Den mest omtalte patofysiologiske teorien har vært at hypertensjon fører til at middelarterieblodtrykket overskrider den øvre grense for autoreguleringen, som dermed bryter sammen. Dette gir økt permeabilitet av blod-hjerne-barrieren, og vasogent ødem kan utvikles. Teorien er omstridt, fordi det er publisert flere studier som ikke viser økt cerebral perfusjon og økt cerebral blodstrøm ved posterior reversibel encefalopati-syndrom (8).

    Man vet heller ikke sikkert hvorfor ødemet utvikler seg hyppigst i de parietooksipitale deler av hjernen. Én mulig forklaring er at bakre kretsløp er mest disponert på grunn av lavere tetthet av sympatiske nervefibre til blodkarene og dermed dårligere autoregulering (9). Andre viktige årsaker til syndromet er eklampsi, nyresvikt og bruk av immunsupprimerende medikamenter. Ved eklampsi vil hypertensjon, krampeanfall og hemodynamiske forhold under graviditeten sannsynligvis være medvirkende til utvikling av syndromet (1, 4). Ved nyresvikt tror man at urinstoff kan ha toksisk påvirkning på endotelcellene i blod-hjerne-barrieren og dermed forårsake vasogent ødem. Den samme mekanismen kan gjelde for immunsupprimerende medikamenter. Ciklosporin er mest omtalt blant disse, og det er kjent at midlet kan ha en toksisk effekt på endotelceller (10). Det er mulig at bruk av immunsupprimerende medikamenter etter nyretransplantasjon gir økt risiko for å utvikle posterior reversibel encefalopati-syndrom på grunn av tidligere uremi.

    I tillegg foreligger det en rekke kasuistikker der tilstander og medikamenter som man tror kan føre til utvikling av syndromet, deriblant en del cytostatika, er omtalt. Det må også foreligge predisponerende faktorer, da noen utvikler syndromet, andre ikke, under samme påvirkning.

    Differensialdiagnostikk

    Differensialdiagnostikk

    Klinisk vil man ofte få mistanke om hjerneslag fra bakre kretsløps forsyningsområde. Dette kan utelukkes ved MR-undersøkelse, som tidligere beskrevet. Dersom MR cerebrum viser vasogent ødem, må også andre mulige årsaker enn de som er kjent å kunne utløse posterior reversibel encefalopati-syndrom vurderes.

    Det finnes en rekke tilstander som kan gi vasogent ødem i ulike deler av hjernen, og vi vil ikke gi noen fullstendig oversikt over disse. I første rekke bør man imidlertid tenke på metabolsk encefalopati, oftest i form av forstyrrelser i glukose- og natriumbalansen. I tillegg bør man overveie muligheten for encefalitt, sinusvenetrombose, subduralt hematom, anoksisk encefalopati, progredierende multifokal leukoencefalopati og mitokondriesykdom i form av MELAS (mitokondrie-encephalopathy, lactacidose and strokelike episodes). Ødemforandringer kan også ses postoperativt etter carotisendarterektomi og cerebral karkirurgi på grunn av hyperperfusjon i cerebrale kar.

    Behandling

    Behandling

    Når diagnosen er stilt, er det viktig å komme raskt i gang med behandlingen, da det er fare for varige skader hvis ødemet ikke går bort (5). Behandlingen retter seg mot underliggende årsak og epileptiske anfall. Epileptiske anfall behandles etter vanlige retningslinjer. Har pasienten hypertensjon, bør man få blodtrykket ned. Det finnes ingen anbefalinger om hvilket preparat som bør brukes, men det bør kunne gis intravenøst for rask effekt. Det er viktig å skille tilstanden fra hjerneinfarkt, da man ved infarkt i motsetning til ved posterior reversibel encefalopati-syndrom vanligvis ønsker å opprettholde et høyt blodtrykk i akuttfasen. Utvikles syndromet i forbindelse med eklampsi, er behandlingen som ved eklampsi alene. Nyresviktpasienter bør få optimalisert dialysebehandlingen.

    Hvis man mistenker at det er medikamenter som er årsaken, bør disse seponeres, eller dosen bør reduseres hvis seponering ikke er mulig. Da man ikke vet sikkert hva som utløser syndromet og behandlingen kun baserer seg på antatte patofysiologiske mekanismer og i hovedsak erfaringer fra enkeltkasuistikker, bør man optimalisere all behandling av pasienten. Ved gjennomgang av litteraturen har vi ikke funnet noen anbefaling om generell antiødembehandling. Hos en del pasienter finner det også sted en spontan bedring uten behandling, som tilfellet var hos vår pasient.

    Avslutning

    Avslutning

    Posterior reversibel encefalopati-syndrom er en sjelden klinisk og radiologisk diagnose med utvikling av vasogent ødem i bakre deler av hjernen. Klinisk består syndromet av hodepine, konfusjon, synstap, kramper og i uttalte tilfeller pareser. MR cerebrum med diffusjonsvekting og ADC-kart er avgjørende for å kunne stille diagnosen, disse viser vasogent ødem parietooksipitalt. Syndromet kan skyldes en rekke sykdomstilstander og medikamenter, hvor hypertensjon, nyresvikt, eklampsi og bruk av immunsupprimerende medikamenter er de viktigste. Hjerneinfarkt er den viktigste differensialdiagnosen – og tilstandene kan skilles fra hverandre på diffusjonsvektede MR-bilder.

    Behandlingen retter seg mot underliggende eller utløsende årsak og eventuelle krampeanfall. Det er viktig raskt å skille posterior reversibel encefalopati-syndrom fra mulige differensialdiagnoser, da disse ofte krever ulik behandling og dette kan påvirke sykdomsutfallet. Spesielt er dette viktig med tanke på blodtrykksbehandling, da man ved hjerneinfarkt vanligvis ønsker å opprettholde et høyt blodtrykk i akuttfasen og ved posterior reversibel encefalopati-syndrom ønsker å senke det. I de fleste tilfellene er tilstanden reversibel, men irreversible skader kan forekomme i uttalte tilfeller og ved forsinket behandling.

    Oppgitte interessekonflikter: Ingen

    Se kommentar side 596

    Kommentarer  ( 0 )
    PDF
    Skriv ut

    Anbefalte artikler