Background.
Tuberous sclerosis complex (TSC) as a syndrome has not previously been reviewed in the Journal of the Norwegian Medical Association. TSC is a genetic disorder characterised by growth of tumours in many organs; most often in the brain, heart, kidneys and skin. The diagnosis is based on revised clinical criteria approved at a consensus conference in 1998.
Material and method.
This is a short summary of the current knowledge about tuberous sclerosis complex, based on relevant literature and our own clinical experience; with special emphasis on diagnosis, treatment, and how to follow up the patients and their relatives.
Results and interpretation.
TSC is an autosomal dominant inherited syndrome. Mutations in tumour suppressor genes on chromosomes 9(TSC1) or 16(TSC2), give rise to different phenotypic expressions. The common denominator is a tendency towards increased cell growth due to inactivation of the gene products hamartin (chromosome 9) or tuberin (chromosome 16). It is assumed that most cases are caused by new somatic mutations. Sneaking symptoms from affected organs necessitate close surveillance of the patients. Both patients and their relatives are in need of information and guidance, both in clinical and genetic matters. In Norway, a centre of competence within TSC has been established to meet such needs.
Tuberøs sklerose-kompleks er en autosomalt dominant arvelig tilstand preget av forstyrret differensiering, proliferasjon og migrasjon av celler tidlig i fosterlivet. Dette resulterer i benigne svulster i flere organsystemer. Selv om tuberøs sklerose fortsatt blir klassifisert som et nevrokutant syndrom, er man i dag enige om at dette er en lite dekkende betegnelse på det som nå anses å være en sykdom som affiserer en rekke organer. Symptomene fra hjernen er ofte de mest iøynefallende – det kan være epilepsi, utviklingshemning, atferdsforstyrrelser eller autisme. Denne oversiktsartikkelen er ment å gi oppdatert kunnskap om tilstanden, med særlig vekt på diagnostikk og behandling, oppfølging og veiledning av pasient og pårørende.
Materiale og metode
Artikkelen er basert på en gjennomgang av eget litteraturarkiv, søk i PubMed og egen klinisk erfaring med pasientgruppen.
Forekomst
Syndromet antas å ramme opptil én av 6 000 levendefødte (1). I Norge regner vi at det fødes 5 – 6 barn med tuberøs sklerose-kompleks hvert år. Ikke alle får diagnosen umiddelbart. Vi har i dag oversikt over 225 personer med syndromet i Norge, men på bakgrunn av nye prevalensstudier burde det være mellom 450 og 500. Over halvparten av pasientene fungerer helt normalt, og mange er bærere av tilstanden uten å ha symptomer. Moderne diagnostiske kriterier for syndromet ble revidert i 1998 (2) – (4).
Symptomer og tegn
Atypiske cellepopulasjoner – hamartomer
Vevsforandringene ved tuberøs sklerose-kompleks kalles hamartomer. Dette er cellegrupper som meget tidlig får en avvikende vekst som stort sett følger veksten i det vev de er gått ut fra. Etter hvert dannes atypiske cellepopulasjoner som kan vokse som benigne svulster. Spesielt i hjertet, hjernen og i nyrene kan disse svulstene gi alvorlige symptomer, noen ganger fatale.
Hudmanifestasjoner
Depigmenterte flekker (fig 1) finnes hos mer enn 90 % av pasientene og kan opptre asymmetrisk over hele kroppen, mest på truncus, sete og ekstremiteter, sjeldnere i ansiktet (5). Flekkene er til stede ved fødselen. Antall, størrelse og form varierer, og de er som regel velavgrenset. På grunn av svak pigmentering i huden det første leveåret ses de lettest i ultrafiolett lys (Woods lampe). Flekkene kan bli borte med årene. Noen likner konfetti – de opptrer som små, hvite flekker symmetrisk på ekstremitetene.
Angiofibromer i ansiktet (fig 2) opptrer hos 75 – 90 % av pasientene og har utbredelse symmetrisk over nesen ut mot kinnene i et sommerfuglmønster. De synes gjerne fra 2 – 5 års alder. Veksten fortsetter, særlig i puberteten. Fargen kan være gulhvit eller rosarød, avhengig av om det er bindevevet eller karkomponenten som dominerer. Histologisk ses hyperplasi av begge vevstypene i dermis. Talgkjertlene er ikke forstørret, slik den tidligere betegnelsen adenoma sebaceum indikerte. Angiofibromene kan behandles med pulset fargelaser (dye laser) med godt kosmetisk resultat, men residiv forekommer. Fibrøse plakk i pannen er angiofibromer hvor den vaskulære komponenten er mindre fremtredende. Plakkene er bløte, flate, hudfarget til rødlige, lett eleverte hudlesjoner på fra få millimeter til flere centimeter i diameter. Plakkene opptrer hos 36 % av pasientene (6) og kan være den første kutane presentasjonen. Fibromer (Koehnens svulster) finnes i neglesengen eller under neglene (fig 3), i størrelse fra få millimeter opp til centimeteren. De er ofte ledsaget av langsgående groper eller striper i neglene. Fibromene debuterer gjerne rundt puberteten, men kan også ses i barnealder. Forekomsten øker med alderen, og i uselekterte pasientmaterialer er den funnet å være 17 – 52 %.
Lærhud i lumbosakralregionen (shagreen patch) kan minne om innsiden av skinn eller appelsinskall. Lesjonene er lett eleverte og av farge gulrøde til rosabrune. De opptrer gjerne asymmetrisk på ryggen, mer sjelden fortil på truncus, skuldre eller sete. Størrelsen varierer fra få millimeter til over 10 cm i diameter. Lærhud er sett hos pasienter ned til fem måneders alder, og forekomsten øker med alderen. Hos voksne ses lærhud hos 40 – 55 %.
Fibrøse mollusker (skin tags) er særlig lokalisert til nakkeområdet. Café-au-lait-flekker opptrer ikke hyppigere enn i normalbefolkningen.
Patologiske forhold i hjernen
Hos om lag 95 % av pasientene med syndromet er det forandringer i sentralnervesystemet (7). Det er ved MR-teknikk funnet fire typer forandringer i hjernen: kortikale og subkortikale tubera, subependymale knuter (fig 4), kjempecelleastrocytomer og migrasjonslinjer i hvit substans. Antall tubera varierer, størst antall finnes frontalt, deretter temporalt, parietalt og oksipitalt. Tubera kan forekomme i cerebellum. De er til stede ved fødselen, vokser ikke og øker ikke i antall. Tubera ses lettest på MR-bilder med FLAIR-teknikk. Histologisk undersøkelse av tubera viser distinkte karakteristika, som ødelagt cellearkitektur og laminering, variabelt celleinnhold og oppblåste astrocytter med store og/eller multiple kjerner (ballongceller). Pyramidecellene ligger rotete til og viser degenerative forandringer (8).
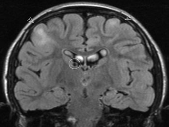
Subependymale knuter er rester av gliaceller som har stoppet i vandringen fra matriks. De er lokalisert til ventrikkelveggen, hyppigst mellom nucleus caudatus og thalamus. Knutene har meget stor affinitet til kalk og er derfor lett synlige på CT-bilder. Størrelsen varierer fra få millimeter til noen centimeter. De opptrer hos ca. 80 % av pasientene. En subependymal knute kan vokse utover sin opprinnelige begrensning og danne et kjempecelleastrocytom. Dette skjer hos 10 – 15 % av pasientene, hyppigst ved slutten av første dekade. Evnen til å vokse på denne måten avtar først når pasienten når 20 – 30 års alder (9). Skjer dette med knuter som ligger nær foramen Monroi, kan det oppstå en kompromittert sirkulasjon av cerebrospinalvæsken og dermed økt intrakranialt trykk. Trykksymptomer, nye fokalnevrologiske utfall og forverring i anfallssituasjonen skal vekke mistanke om en slik utvikling. En slik tilstand må vurderes med tanke på nevrokirurgisk behandling. Svulstene residiverer sjelden. Radiale migrasjonslinjer i hvit substans er et radiologisk fenomen som påvises ved MR-undersøkelse. Det skyldes dysplastiske nevroner og gliaceller som har stoppet opp i vandringen mot cortex. Histologisk ses likhetstrekk med tubera.
Epilepsi
Epileptiske anfall er ofte det første symptomet på tuberøs sklerose-kompleks. Opptil 80 – 90 % av pasientene får diagnosen epilepsi (10). Alle typer epileptiske anfall forekommer, bortsett fra rene absenser. Anfall kan opptre i alle aldre, men hyppigst hos barn. Infantile spasmer opptrer i spedbarnsalderen. Blant mange mulige årsaker til infantile spasmer er tuberøs sklerose-kompleks en av de viktigste. Wests syndrom inkluderer infantile spasmer, manglende psykomotorisk utvikling og multifokal hypsarytmi i EEG. Behandling med vigabatrin har som oftest god effekt når tuberøs sklerose-kompleks er årsaken til infantile spasmer. God anfallskontroll er viktig grunnet en påvist assosiasjon mellom anfallsdebut, -frekvens, -lengde, alvorlighetsgrad og utviklingshemning.
Psykisk utviklingshemning og lærevansker
Psykisk utviklingshemning forekommer hos om lag 50 % og er relatert til tidlig debut av epilepsi (11). Personer med tuberøs sklerose-kompleks og normale intellektuelle evner har økt risiko for spesifikke nevropsykologiske utfall i oppmerksomhets- og eksekutivfunksjoner. Slike utfall kan ha store konsekvenser for pasientenes fungering i dagliglivet. Det er ikke holdepunkter for å anta at pasientene taper funksjoner over tid (12).
Atferdsforstyrrelser og psykiske problemer
Autisme opptrer hos ca. 25 %, autismespektertilstander hos opptil 50 % og ADD eller AD/HD hos over 50 % av pasientene med tuberøs sklerose-kompleks. Dette gjelder også personer uten psykisk utviklingshemning. I ungdomsalder og voksen alder forekommer angst og depresjon hos ca. 20 % (12).
Søvnforstyrrelser
Søvnproblemer rapporteres hyppig av foreldre til barn med tuberøs sklerose-kompleks, hovedsakelig som tidlig oppvåkning, søvnrelaterte anfall eller diurnal hypersomni. I en polysomnografistudie ble det hos pasienter med syndromet påvist endret søvnarkitektur – med kortere total søvntid, hyppigere oppvåkninger og nedsatt REM-søvn – sammenliknet med kontrollpersoner (13).
Kardiale manifestasjoner
Hjertesvulster i form av rabdomyomer forekommer hos om lag 50 %. Svulstene ses i selve hjertemuskelen, i papillemuskulaturen, i septum som pendulerende svulster ut i kavitetene og på hjertets overflate. De kan påvirke hjertets rytme (supraventrikulær takykardi, Wolf-Parkinson-Whites syndrom) og pumpeevne og kan således være livstruende. Veksten er østrogenavhengig. Ved fødselen går tumorveksten ned, og tumor forsvinner som regel i løpet av 2 – 3 år. Noen svulster må fjernes kirurgisk.
Oftalmologiske manifestasjoner
Retinale hamartomer vokser fra netthinnen inn i øyeeplet som en halvkule. De kan være forkalket. Formen er buklet eller flat. De finnes hos ca. 50 % av pasientene. Funn av retinale hamartomer er viktig rent diagnostisk, men de har liten praktisk betydning fordi de meget sjelden affiserer synsfunksjonen. De vokser i samme takt som vevet de går ut fra. Retinale depigmenteringer kan også forekomme.
Nyreaffeksjoner
Tre ulike forandringer i nyrene (som forekommer hos 60 – 90 %) er kjent: solitære eller multiple cyster, angiomyolipomer (benigne svulster sammensatt av kar-, muskel- og fettvev) og nyrekreft. Forekomsten av cyster øker med alderen, og er i autopsimaterialer funnet hos 50 %. Multiple cyster kan være til stede ved fødselen, slik man ser ved polycystisk nyrelidelse. Angiomyolipom er den hyppigste nyresvulsten og er vanligst i første dekade. Ofte er det multiple og bilaterale svulster. Svulststørrelsen øker med alderen. Nyresymptomer melder seg ofte ikke før i tredje dekade. De kan ytre seg som smerter, kvalme, brekninger, urinveisinfeksjoner, hematuri, hypertensjon og nyresvikt. CT- og MR-undersøkelser kan avklare funn gjort ved ultralyd. Ved angiomyolipom over 4 cm i diameter er det stor risiko for hurtig vekst og blødning. Aktuell behandling er embolisering, partiell eller total nefrektomi og eventuelt nyretransplantasjon. Medikamentet rapamycin er under utprøvning for å hindre tumorvekst. Forekomsten av nyrekreft er ikke økt hos pasienter med syndromet, men nyrekreft kan utvikle seg tidligere enn det som er gjennomsnittlig alder på diagnosetidspunkt i befolkningen for øvrig (14, 15).
Lungeaffeksjoner
Lymfangioleiomyomatose i lungene er bare beskrevet hos 2 – 5 % av fertile kvinner med tuberøs sklerose-kompleks. Symptomene debuterer i gjennomsnitt i 30-årsalderen og kan ytre seg som dyspné, gjentatte bronkitter og pneumonier, astma, spontan pneumothorax og chylothorax. Lungevevet erstattes av bindevev iblandet muskelceller, som ved angiomyolipom i nyrene. Lungevevet får på røntgen et bikubeaktig utseende, og histologisk ses mange små cystiske forandringer. Pasientene dør av hjerte-/lungesvikt etter omtrent ti år. Behandlingen består av antiøstrogener, prednisolon og lungetransplantasjon. Pasienter med isolert og tuberøs sklerose-kompleksassosiert lymfangioleiomyomatose har ofte også angiomyolipom i nyrene. Genetiske funn støtter teorien om benign metastasering av muskelceller fra nyre til lunge (15, 16).
Affeksjon av tenner
Både i første og annet tannsett kan man se emaljedefekter, såkalte groper (pits). Dette er små utstansninger i tannemaljen som ofte blir mistolket som karies og behandlet som det. Tannkjøttsfibromer er vanlig. Pasienter med diagnosen får fri konserverende tannbehandling gjennom hele livet. Tuberøs sklerose kompetansesenter har gjennom mange år samarbeidet om pasientenes tannhelse med Tannhelse kompetanse senter for sjeldne medisinske diagnoser (TAKO) ved Lovisenberg Diakonale Sykehus i Oslo.
Affeksjon av andre organer
Det er også påvist hamartøse forandringer i lever, milt, bukspyttkjertel, galleblære, lymfekjertler, de lange rørknokler og i genitalia. Aneurismer er beskrevet i bukaorta, aortabuen, carotis interna og i de intrakraniale kar. I tarmsystemet forekommer det rektale polypper, som blør lett.
Diagnose
Diagnosen tuberøs sklerose-kompleks kan være vanskelig å stille pga. uttalte variasjoner i klinisk presentasjon og alvorlighetsgrad. Særlig gjelder dette i barnealder og hos personer med lettgradig affeksjon. Gjeldende diagnosekriterier er vist i tabell 1 (5). Det finnes ikke et eneste patognomonisk tegn på tuberøs sklerose-kompleks. En endring fra tidligere diagnosekriterier er at både epilepsi og psykisk utviklingshemning er utelatt – på grunn av lav spesifisitet og høy forekomst i den generelle befolkningen. Genetiske funn kan bekrefte den kliniske diagnosen. Elementer som inngår i utredningen, finnes i ramme 1.
Tabell 1
Diagnostiske kriterier for tuberøs sklerose-kompleks
| Hovedkriterier |
Sekundære kriterier |
| Angiofibromer i ansikt eller plakk i panne |
Multiple, spredte flekker på tannemaljen |
| Fibromer i negleseng |
Fibromer i tannkjøtt |
| Depigmenterte flekker (> 3) |
Polypper i rectum (C) |
| Lærhud (shagreen patch) |
Cyster i bein (D) |
| Multiple, retinale, nodulære hamartomer |
Radiale migrasjonslinjer i hvit substans (A, D) |
| Kortikale tubera (A) |
Hamartomer i andre organer (C) |
| Subependymale knuter |
Hamartomer i øyet |
| Kjempecelleastrocytom |
Hudforandringer av konfettitype |
| Rabdomyomer i hjertet, enkle eller multiple |
Multiple cyster i nyrene (C) |
| Angiomyolipomer i nyrene (B) |
|
| Lymfangioleiomyomatose i lungene (B) |
|
| A Når kortikal dysplasi og migrasjonslinjer opptrer samtidig, regnes dette for ett hovedkriterium | |
| B Når nyre- og lungeaffeksjon opptrer samtidig, regnes dette for ett hovedkriterium | |
| C Histologisk bekreftelse er ønskelig | |
| D Radiologisk bekreftelse er tilstrekkelig | |
| Sikker diagnose: 2 hovedkriterier eller 1 hovedkriterium og 2 sekundære kriterier | |
| Sannsynlig diagnose: 1 hovedkriterium og 1 sekundærkriterium | |
| Mulig diagnose: 1 hovedkriterium eller ≥ 2 sekundære kriterier | |
Utredning av pasienter med tuberøs sklerose-kompleks eller der det er mistanke om dette
Primærutredning
Anamnese
Klinisk undersøkelse, inkludert nevrologisk status
Inspeksjon av hud
Woods lampe
EEG ved mistanke om epilepsi
EKG ved mistanke om kardial lidelse
Ekkodoppler i sped- og småbarnsalder
Ultralyd urinveier
Cerebral MR
Oftalmologisk undersøkelse
Utredning ved Tannhelse kompetanse senter for sjeldne medisinske diagnoser
Genetisk veiledning
DNA-testing for mutasjoner i TSC1- og TSC2-genene etter avtale
Familieutredning
Samme som ved primærutredning
TSC1 og TSC2
Tuberøs sklerose-kompleks er knyttet til genene TSC1 på kromosom 9 og TSC2 på kromosom 16. Mer enn 500 forskjellige mutasjoner som gir syndromet er kjent (tab 2). Genene klassifiseres som tumorsuppressorgener. Hamartin (TSC1) og tuberin (TSC2) danner et intracellulært kompleks som regulerer proteindanning, cellevekst, celleoverlevelse, cellemigrasjon og celleadhesjon, blant annet gjennom hemning av kinasen «mammalian target of rapamycin» (mTOR) (15). To tredeler av tilfellene av tuberøs sklerose-kompleks antas å skyldes nye somatiske mutasjoner, resten skyldes arvede (17). Ved den arvelige formen har som regel alle affiserte familiemedlemmer samme mutasjon, men den fenotypiske variasjon kan være stor. Ved genetisk testing kan mutasjon i beste fall påvises i ett av disse genene hos 85 – 90 % ved bruk av flere deteksjonsmetoder (18).
Tabell 2
Genetikk ved tuberøs sklerose-kompleks
| Ulike egenskaper |
||
| Tuberøs sklerose-kompleks, type |
TSC1 |
TSC2 |
| Kromosom lokalisasjon |
9q34 |
16p13.3 |
| Proteinprodukt |
Hamartin |
Tuberin |
| Struktur |
23 eksoner |
41 eksoner |
| Sporadisk forekomst |
10 – 15 % |
60 – 70 % |
Det er hittil ikke påvist noen sikker assosiasjon mellom genotype og fenotype. I den største studien til nå fant man høyere forekomst og/eller alvorligere sykdomsbilde ved TSC2- enn ved TSC1-mutasjoner (19). Ved TSC2 forekom hyppigere epileptiske anfall, alvorlig utviklingshemning, subependymale knuter, tubera, angiomyolipomer i nyrene, angiofibromer i ansiktet, fibrøse plakk i pannen og retinale hamartomer. TSC2-genet er nærliggende til genet for polycystisk nyresykdom (PKD1), hvilket kan gi såkalt kontinuerlig gen-syndrom.
DNA-testing kan nå gjøres ved Avdeling for medisinsk genetikk, Ullevål universitetssykehus. Prenatal bærerdiagnostikk er mulig i 10. uke ved chorionbiopsi, forutsatt at den familiære mutasjonen er kjent.
Oppfølging
Tuberøs sklerose kompetansesenter er etablert som en seksjon ved Spesialsykehuset for epilepsi i Bærum. Det er et tett samarbeid mellom kompetansesenteret, pasientforeningen, spesialsykehuset og landets forskjellige barneavdelinger, nevrologiske avdelinger og habiliteringsteam. Kompetansesenteret har landsfunksjon, og man er behjelpelig med utredning, opplæring og behandling av pasienter med tuberøs sklerose-kompleks. Virksomheten er basert på interne og eksterne kurs for brukerne, deres pårørende og deres nettverk i primær- og spesialisthelsetjenesten.
Grad av oppfølging avhenger til dels av sykdomsaffeksjonen. Alle bør ha årlig rutinekontroll hos både fastlege og spesialist. Barn bør følges opp av (nevro)pediater. Voksne kan trenge kontakt med flere medisinske spesialister. Enkelte symptomer og funn kan være potensielt livstruende og/eller tilgjengelig for behandling, hvilket krever hyppigere undersøkelser. Dette gjelder særlig funn i hjerte, hjerne og nyrer og oppfølging av iverksatt epilepsibehandling. Hjertefunn hos sped- og småbarn kontrolleres av barnekardiologer. Nyrekontroll med ultralyd (livslang) og cerebral MR (til 30 års alder) bør gjøres årlig/hvert tredje år. Indikasjonen må veies mot belastningen ved gjennomføring av undersøkelser for pasienter med utviklingshemning og autisme og avgjøres i samråd med pårørende. Karakteristiske funn ved cerebral CT er ikke tilstrekkelig for å etablere en diagnose, men CT-undersøkelser kan inngå i et kontrollopplegg. Rutinemessig øyelegekontroll er ikke nødvendig. Hudlege kontaktes ved behov. Dialog mellom fastlegen og spesialisthelsetjenesten er avgjørende for god oppfølging.
Vi takker Karl Otto Nakken og Kari Mette Lillestølen for gjennomlesing og bearbeiding av manuskriptet.
Oppgitte interessekonflikter: Ingen
Hovedbudskap
Tuberøs sklerose er et autosomalt dominant arvelig syndrom som gir svulstvekst i mange organer, hyppigst i hud, hjerne, hjerte og nyrer
Diagnostikk og behandling bør skje innenfor en tverrfaglig ramme
Oppfølgingen av pasientgruppen forutsetter god dialog mellom fastlege og spesialisthelsetjeneste
- 1.
O’Callaghan FJ, Shiell AW, Osborne JP et al. Prevalence of tuberous sclerosis estimated by capture-recapture analysis. Lancet 1998; 351: 1490.
- 2.
Roach ES, Smith M, Huttenlocher P et al. Report of the diagnostic criteria committee of the National Tuberous Sclerosis Association. J Child Neurol 1992; 7: 221 – 4.
- 3.
Roach ES, Gomez MR, Northrup H. Tuberous sclerosis complex consensus conference: revised clinical diagnostic criteria. J Child Neurol 1998; 13: 624 – 8.
- 4.
Hyman MH, Whittemore VH. National Institutes of Health consensus conference: tuberous sclerosis complex. Arch Neurol 2000; 57: 662 – 5.
- 5.
Roach ES, Sparagana SP. Diagnosis of tuberous sclerosis complex. J Child Neurol 2004; 19: 643 – 9.
- 6.
Webb DW, Clarke A, Fryer A et al. The cutaneous features of tuberous sclerosis: a population study. Br J Dermatol 1996; 135: 1 – 5.
- 7.
DiMario F. Brain abnormalities in tuberous sclerosis. J Child Neurol 2004; 19: 650 – 7.
- 8.
Mizuguchi M, Hino O. Neuropathology. I: Curatolo P, red. Tuberous sclerosis complex. London: Mac Keith Press, 2003: 264 – 78.
- 9.
Torres O, Roach E, Delgado M et al. Early diagnosis of subependymal giant cell astrocytoma in patients with tuberous sclerosis. J Child Neurol 1998; 13: 173 – 7.
- 10.
Thiele E. Managing epilepsy in tuberous sclerosis complex. J Child Neurol 2004; 19: 680 – 6.
- 11.
Joinson C, O’Callaghan F, Osborne J et al. Learning disability and epilepsy in an epidemiological sample of individuals with tuberous sclerosis complex. Psychol Med 2003; 32: 335 – 44.
- 12.
de Vries P, Humphrey A, McCartney D et al. Consensus clinical guidelines for the assessment of cognitive and behavioural problems in tuberous sclerosis. Eur Child Adolesc Psychiatry 2005; 14: 183 – 90.
- 13.
Bruni O, Cortesi F, Gianotti F et al. Sleep disorders in tuberous sclerosis: a polysomnographic study. Brain Dev 1995; 17: 52 – 6.
- 14.
Jozwiak S. Renal involvement. I: Curatolo P, red. Tuberous sclerosis complex. London: Mac Keith Press, 2003: 180 – 95.
- 15.
Crino PB, Nathanson KL, Henske EP. The tuberous sclerosis complex. N Engl J Med 2006; 355: 1345 – 56.
- 16.
Henske EP. Metastasis of benign tumor cells in tuberous sclerosis complex. Genes Chromosomes Cancer 2003; 38: 376 – 81.
- 17.
Au KS, Williams AT, Gambello MJ et al. Molecular genetic basis of tuberous sclerosis complex: from bench to bedside. J Child Neurol 2004; 19: 699 – 709.
- 18.
Kwiatkowski DJ, Reeve MP, Cheadle JP et al. Molecular genetics. I: Curatolo P, red. Tuberous sclerosis complex. London: Mac Keith Press, 2003: 228 – 63.
- 19.
Dabora SL, Jozwiak S, Franz DN et al. Mutational analysis in a cohort of 224 tuberous sclerosis patients indicates increased severity of TSC2 compared with TSC1 disease in multiple organs. Am J Hum Genet 2001; 68: 64 – 80.