Urografifunn etter total cystektomi og urinavledning

    ()

    sporsmal_grey_rgb
    Abstract
    Bakgrunn

    Bakgrunn

    . Passasjehinder i urinveiene kan skade nyrene, men etter operasjon for kreft i urinblæren er urografibildene vanskelig å tolke.

    Materiale og metode

    Materiale og metode

    . I perioden 1999 – 2004 ble røntgenurografi utført rutinemessig som en del av den kliniske kontrollen etter cystektomi hos 20 pasienter (18 menn). Samtlige pasienter ble fulgt opp med røntgenurografi etter operasjonen. 18 pasienter ble undersøkt innen seks måneder postoperativt, seks av disse ble også fulgt opp senere, mens to først ble undersøkt etter seks måneder. To radiologer vurderte samtlige urografier etter et standardisert skjema, først hver for seg, deretter sammen. Utvidelse av calyces, nyrebekken og ureter ble angitt kategorisk for hver side (ingen, lett, moderat eller uttalt utvidelse).

    Resultater

    Resultater

    . Ved første oppfølgingsundersøkelse hadde seks av 18 pasienter utviklet moderat/uttalt og ti lett utvidelse av samlesystemet. Det var hyppigere utvidet på venstre (n = 7) enn på høyre side (n = 1). Åtte pasienter hadde utvidet samlesystem på begge sider, to moderat/uttalt og seks lett. Av de seks pasientene som ble fulgt opp lenger enn seks måneder, hadde én moderat/uttalt, tre lett og to ingen utvidelse. Det var da henholdsvis tegn til regresjon, remisjon (to av tre) og uendrede forhold. Venstre nyre sviktet helt hos en pasient. Det var godt interobservatørsamsvar.

    Fortolkning

    Fortolkning

    . Lett utvidelse av samlesystemet, spesielt venstre side, ses hyppig ved røntgenurografi etter cystektomi med anlagt urinavledning, men funnene vil hos de fleste pasientene normaliseres innen få måneder. Mer uttalt utvidelse kan innebære en patologisk tilstand, særlig i kombinasjon med andre radiologiske funn, slik som forsinket kontrastutskilling og hindret avløp sett på bilder tatt opptil tre timer etter infusjon.

    Abstract

    Background.

    Urinary tract obstruction may damage the kidneys, but the interpretation of intravenous urograms is difficult after a total cystectomy for bladder cancer. There is a need for practical guidelines for image reading.

    Material and methods.

    Urograms were routinely taken to control 20 patients (18 men) who had been operated for bladder cancer with total cystectomy and urinary diversion between 1999 and 2004. All patients were examined one or several times at irregular time intervals after surgery. 18 patients were examined within six months after surgery, of whom six were also examined later. Two patients were only examined after six months. Two radiologists reviewed the postoperative urograms by first filling in a standardised form independently of each other and thereafter by filling in the form together according to consensus. The extent of dilatation of the collecting system (calyces, kidney pelvis and ureter) was graded as none, mild, moderate or severe for each side separately.

    Results.

    At the first follow-up within six months, six of 18 patients had developed moderate or severe and 10 mild dilatation of the collecting system. The left side was more often dilated (n=7) than the right one (n=1). Both sides were dilated for eight patients; to a moderate/severe degree for two and to a mild degree for six. Of the six patients who were also examined more than 6 months after surgery; one had moderate/severe persistent dilatation and showed signs of regression, three had mild dilatation (two of whom had remission) and two had no dilatation after six months. The patient with a persistently dilated collecting system lost one kidney on the left side despite insertion of a draining ureteral stent. There was a good interobserver agreement concerning the grade of dilatation.

    Interpretation.

    Mild dilatation of the collecting system is common after cystectomy and urinary diversion, especially on the left side, and will normalize within a few months in most patients. Persistent dilatation may signify a pathological condition, especially in combination with other radiological findings, such as delayed contrast excretion and obstructed passage in late images.

    Main findings
    Tabell

    Hovedbudskap

    • Vurdering av røntgenurografi etter cystektomi med urinavledning er vanskelig da en viss utvidelse av calyces, nyrebekken og ureter forekommer normalt

    • Behandlingstrengende passasjehinder i urinveiene er viktig å oppdage for å forhindre nyresvikt

    • Forsinket kontrastutskilling kan være tegn på behandlingstrengende passasjehinder, og det bør tas mer hensyn til det enn til utvidelsesgrad

    Artikkel
    Innledning

    I 2004 ble det oppdaget ca. 1 200 nye tilfeller av blærekreft i Norge, de fleste hos eldre menn (1). Dette utgjør 6 – 7 % av alle maligne lidelser hos menn og 2 – 3 % hos kvinner (2). Overgangsepitelcancer er den vanligste histologiske typen (ca. 95 %), og tumor kategoriseres ofte som overflatisk eller muskelinvasiv (3). Behandling avhenger av tumorvekst, pasientens alder og kliniske tilstand. Fjerning av urinblæren (cystektomi) er indisert hos pasienter med muskelinvasiv vekst, mens transuretral reseksjon, ev. i kombinasjon med adjuvant intravesikal kjemoterapi eller immunoterapi, er indisert ved overflatisk type (4). De vanligste operasjonsmetodene for urinavledning der det blir gjort total cystektomi, er inkontinent urinavledning (ileumavledning), kontinent blærereservoar eller ortotopisk blæresubstitutt (5).

    Postoperative komplikasjoner i løpet av de første 30 dagene er ofte relatert til operasjonsmetoden og omfatter blant annet ileus, obstruksjon, lekkasje, øvre urinveisinfeksjoner samt væskeansamlinger som abscesser, urinomer, hematomer og lymfoceler. Senkomplikasjoner omfatter redusert nyrefunksjon, ureteral refluks, hydronefrose, steindanning, fistler, metabolske forstyrrelser, vitamin B12-mangel og retroperitoneal fibrose (6).

    Konvensjonell røntgenurografi blir som regel brukt ved kontroll av pasientene etter total cystektomi med urinavledning, men nytteeffekten er lite dokumentert. Begrunnelsen for regelmessig oppfølging er å oppdage passasjehinder, eventuelt konkrementer, så tidlig at nyreskade kan forhindres, men urografibildene er vanskelig å tolke. Vi ønsket å kartlegge slike funn blant pasienter med blærekreft operert på denne måten og å gjennomgå relevant litteratur for å gi anbefalinger om tolking av funnene.

    Materiale og metode

    Materiale og metode

    I femårsperioden 1999 – 2004 ble røntgenurografi utført rutinemessig som en del av den kliniske kontrollen etter cystektomi hos 20 pasienter (18 menn) ved Akershus universitetssykehus (Ahus). Medianalder ved operasjonstidpunktet var 69 år (spredning 59 – 81 år). Urinavledning ble anlagt som inkontinent ileumblære ad modum Bricker (n = 15) i nedre, høyre kvadrant av abdomen, ortotopisk blæresubstitutt ad modum hemi-Kock (n = 1) eller ortotopisk blæresubstitutt ad modum Studer (n = 4). Etter TNM-klassifisering var 15 pasienter i stadium 3 og fem i stadium 2.

    Samtlige pasienter ble fulgt opp med røntgenurografi etter operasjonen, men til ulike tider. 18 pasienter ble undersøkt innen et halvt år postoperativt, seks av disse ble fulgt opp også etterpå. To pasienter ble kun undersøkt etter at det var gått seks måneder.

    To radiologer vurderte samtlige urografier etter et standardisert skjema, først hver for seg, deretter i konsensus. «Samlesystemet» ble definert som en fellesbetegnelse for calyces, nyrebekken og ureter. Utvidelse av samlesystemet ble angitt kategorisk på en skala fra grad 0 til 3 (ingen, lett, moderat eller uttalt) og som kontinuerlig variabel (arealet av nyrebekken og calyxhalsbredde) i røntgenbildene for hver side. Bredden av største calyxhals samt lengde og bredde av nyrebekken ble målt i millimeter. Arealet av nyrebekkenet ble angitt i cm² som bredde x lengde i en sirkel projisert inne i nyrebekkenet (7). Etter oversiktsbilder med anteroposterior stråleretning som dekket nyrer og urinveier, ble ca. 50 ml ikke-ionisk kontrastmiddel (joheksol) med jodkonsentrasjon på 300 mg I/ml (Omnipaque 300, GE Healthcare) gitt intravenøst. Bilder av nyrer og urinveier ble deretter tatt 5 og 15 minutter etter kontrastinfusjon (standard urografibilder). Ved patologiske funn ble det som regel tatt bilder også etter 30 og 60 minutter, ev. opptil tre timer etter infusjonen (senbilder), dersom radiologen mente det var nødvendig. Alle standardbilder ble tatt liggende i ryggleie, mens supplerende bilder ble tatt stående, skrått eller i bukleie alt etter problemstilling.

    Samsvar mellom observatører i gradering av utvidelse av calyces og ureter ble angitt som prosentandel for identisk resultat og som vektet kappa (8).

    Resultater

    Resultater

    Pasientene ble fulgt opp i median 1,5 måneder etter operasjonen (spredning ti dager –  27,5 måneder) hvis man tar utgangspunkt i når første urografi ble tatt etter operasjon. Ved første oppfølgingsundersøkelse innen seks måneder hadde seks av 18 pasienter utviklet moderat/uttalt utvidelse av samlesystemet og ti lett utvidelse. Samlesystemet var hyppigere utvidet på venstre (n = 7) enn på høyre side (n = 1). Åtte pasienter hadde utvidet samlesystem på begge sider, to moderat/uttalt og seks lett. Av de seks pasientene som ble fulgt opp lenger enn seks måneder, hadde én moderat/uttalt, tre lett og to ingen utvidelse, og hadde da henholdsvis tegn til regresjon, remisjon (to av tre) og uendrede forhold. Venstre nyre sviktet helt hos pasienten med persisterende utvidet samlesystem til tross for innleggelse av ureterstent, antakelig pga. samtidig nyrebekkenkonkrementer og infeksjon.

    Calyxhalsbredde økte gradvis fra utvidelsesgrad 0 til 2, men økte ikke ytterligere til grad 3 (tab 1). For nyrebekkenareal ble det påvist en jevn økning fra grad 0 til 3. Hos seks pasienter som ble undersøkt både innen og etter seks måneder etter kontrastinfusjon, økte calyxhalsbredde og nyrebekkenarealet fra fem- til 15-minuttersbildet, og videre fra 15- til 60-minuttersbildet (tab 2). Verdiene var gjennomgående lavere etter seks måneder for nyrebekkenareal, men ikke for calyxhalsbredde.

    Tabell 1  

    Gjennomsnittsverdier og standarddeviasjoner (SD) for calyxhalsbredde og nyrebekkenareal for ulike utvidelsesgrader (n = antall urografier)

    Utvidelsesgrad

    Calyxhalsbredde (mm)

    Nyrebekkenareal (cm²)

    0 (Ingen)

    6,5 ± 2,4 (n = 68)

    3,5 ± 1,4 (n = 63)

    1 (Lett)

    8,7 ± 3,6 (n = 54)

    5,1 ± 2,1 (n = 56)

    2 (Moderat)

    12,9 ± 5,2 (n = 19)

    7,6 ± 3,0 (n = 19)

    3 (Uttalt)

    12,3 ± 3,8 (n = 4)

    11,8 ± 1,4 (n = 4)

    Tabell 2  

    Størrelse av calyxhalsbredde og nyrebekkenareal sett i relasjon til tid etter kontrastinfusjonen hos seks pasienter der undersøkelsen var tilgjengelig både før (tidlig fase) og etter seks måneder (senfase)

    Postinjeksjonstid

    Calyxhalsbredde (mm)

    Nyrebekkenareal (cm²)

    Tidlig fase

    Senfase

    Tidlig fase

    Senfase

    5 minutter

    6,5 ± 2,3

    7 ± 1,9

    4,4 ± 1,6

    3,6 ± 1,5

    15 minutter

    7,4 ± 2,4

    7,3 ± 2,4

    5,0 ± 1,7

    4,1 ± 1,6

    60 minutter

    10,4 ± 3,5

    10,5 ± 2,6

    6,6 ± 1,8

    5,8 ± 1,4

    Interobservatørsamsvar mellom to radiologer med hensyn til utvidelsesgrad ble vurdert som god: 73 % for calyces (vektet kappa = 0,65) og 77 % for ureter (vektet kappa = 0,74) (8).

    Diskusjon

    Diskusjon

    Residiv i øvre urinveier etter operasjon for blærekreft er sjelden å se første seks måneder etter operasjon. I en studie av Stein og medarbeidere var median tidsintervall fra operasjon til residiv i øvre urinveier to år og forekom hos 6 % av pasientene (9).

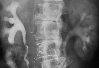
    Begrunnelsen for å følge opp pasientene med røntgenurografi de første månedene etter operasjonen er å påvise passasjehinder som kan skade nyrene (fig 1 – 3). Vi fant lett utvidelse hos over halvparten av pasientene som ble undersøkt innen seks måneder etter operasjon. Dette er i samsvar med en studie av Thoeny og medarbeidere, der utvidelse forekom i 80 % av tilfellene. I deres studie var imidlertid alle grader av utvidelse tatt med og kun pasienter med ortotopisk blæresubstitutt var inkludert, mens vi tok med pasienter med ulike typer urinavledning.

    Oppgitte interessekonflikter: Ingen

    Kommentarer  ( 0 )
    PDF
    Skriv ut

    Anbefalte artikler