Når personligheten endrer seg

    ()

    sporsmal_grey_rgb
    Abstract

    We describe a nearly 50-year-old man who changed personality due to a frontobasal meningioma (olfactory meningioma). The personality changes came gradually over 7 to 8 years before diagnosis. He lost his job and was separated from his wife because of these changes. The tumour was surgically removed. He had major emotional and psychological disturbances the first year after surgery that recovered gradually over the following years. In our opinion, all patients presenting with a substantially changed personality should be referred to MR for exclusion of intracranial tumour.

    Artikkel

    En grundig anamnese sammen med enkle kliniske undersøkelser kan  gi avgjørende opplysninger, men det krever at informasjonen settes sammen. Dette blir tydelig illustrert i denne sykehistorien om en mann som tilsynelatende bare var blitt vrang, men som i realiteten var alvorlig syk.

    En mann i slutten av 40-årene endret seg i løpet av 7 – 8 år fra å være en aktiv og deltakende familiefar til å bli aggressiv og kverulerende. Han tilbrakte det meste av tiden på sofaen, og situasjonen medførte betydelige problemer i hjemmet og på jobben. På grunn av sin vanskelige atferd mistet han jobben, og etter initiativ fra hans kone søkte paret hjelp hos en parterapeut. I samme periode som atferdsendringene inntraff, erfarte han betydelig økt søvnbehov og tap av luktesans (anosmi). Han hadde ikke tidligere hatt hodetraume eller større infeksjoner, vært eksponert for løsemidler eller vært rammet av andre nevrologiske tilstander.

    Han kontaktet fastlege og ble henvist til spesialist i øre-nese-hals-sykdommer for utredning av anosmi. Øre-nese-hals-lege konkluderte med at anosmien sannsynligvis var en komplikasjon til hans diabetes. Ytterligere utredning ble ikke foretatt.

    Anosmi er en kjent, men meget sjelden komplikasjon til diabetes (1, 2). Anosmi kan også ha svært mange andre årsaker slik som endokrine, nevrologiske, ernæringsmessige eller psykiske sykdommer, lokale sykdommer i nesen, tumorer i hjernen eller nesen, eller infeksjoner.

    Fastlegen hadde samtaler med parterapeut om de relasjonelle og seksuelle problemene. De ulike symptomer ble imidlertid ikke sett i sammenheng, og etter to år med parterapi konkluderte terapeuten med at mannen var vrien, og at han ikke var motivert for å arbeide med samlivsproblemene. Paret valgte å ta ut separasjon, og mannen flyttet på hybel.

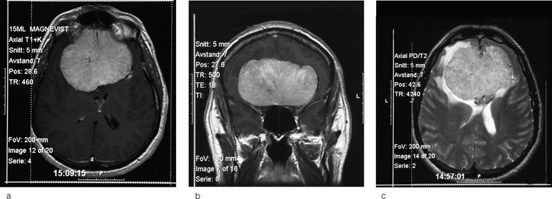
    Etter noen måneder på hybel var hans evne til å ta vare på seg selv betydelig redusert. Det var hele tiden kontakt mellom ham og familien, og hans kone kontaktet fastlegen for å melde sin bekymring. Fastlegen hadde også undret seg da pasienten hadde uteblitt og kommet for sent til timer, noe som var utypisk for ham. Pasienten viste selv liten innsikt i egen situasjon. På grunn av insulinavhengig diabetes mellitus gikk han regelmessig til kontroll hos fastlege. Fastlegen valgte å få utført CT av hjernen, og undersøkelsen avslørte en stor kontrastoppladende lesjon basofrontalt. Lesjonen målte 8 x 7 x 5 cm og det var betydelig hevelse i omkringliggende hjernevev. Radiolog antydet at lesjonen kunne være et olfactoriusmeningeom. Allmenntilstanden var svekket. Han ble innlagt i sykehus og raskt overflyttet til nevrokirurgisk avdeling hvor det ble tatt supplerende MR-bilder (fig 1a-c).

    Ved mistanke om intrakranial svulst bør man velge cerebral MR og ikke cerebral CT som første undersøkelse. Sensitiviteten ved MR er høyere, spesielt gjelder dette for lavgradige gliomer, svulster i bakre skallegrop og skallebasissvulster.

    Ved innkomst var han våken, men kun delvis orientert for tid, sted og situasjon. Nevrologisk undersøkelse avslørte ingen sikre fokalnevrologiske utfall, men han samarbeidet dårlig ved undersøkelse av hjernenerver og ved oftalmoskopi. Hans symptomer og tegn var forenlige med den påviste intrakraniale svulsten. Det ble gjort ukomplisert bifrontal kraniotomi og ekstirpasjon av svulsten. Histologisvaret bekreftet meningeomdiagnosen.

    Primære intrakraniale svulster har en insidens på 12/100 000. I den aktuelle aldersgruppen (40 – 50 år) er 25 % av svulstene meningeomer, 25 % er glioblastoma multiforme og 50 % er andre svulsttyper. Meningeomene oppstår fra araknoidale celler i meningene og er godartet hos 95 %. De infiltrerer ikke hjernevevet og forskyver hjernevevet etter som de vokser. De vokser vanligvis langsomt og hjernen kan tilpasse seg veksten. Svulstene kan dermed bli store før de oppdages (3). Når svulsten når en kritisk størrelse, vil den forårsake irritasjon og klemskade av hjernen. De frontale meningeomene oppdages sent særlig fordi de ligger langt unna hjernebark med motoriske eller sensoriske funksjoner, slik at de sjelden gir fokalnevrologiske utfall. Symptomgivende meningeomer fjernes kirurgisk. Omtrent 20 % av meningeomene forekommer frontalt, og olfactoriusmeningeom er en undergruppe av de frontale meningeomene. Som navnet antyder affiserer disse tumorene ofte bulbus olfactorius, og det første symptomet burde således være anosmi. Dette er imidlertid sjelden det første symptomet pasienten rapporterer (4). Andre svulsttyper kan også forekomme frontalt og gi noe av det samme symptombildet.

    Postoperativt kom pasienten seg fort, men hadde et forhøyet stemningsleie. Han var raskt ute av sengen på overvåkingsstuen og så ingen grunn til å være koblet til overvåkingsutstyr. Han var høylytt og vitset med sykepleiere og medpasienter. I de første månedene etter operasjonen utviklet hans forhøyede stemningsleie seg ytterligere. Han utviklet handlemani, og forbruket var større enn inntekten. Han følte uro i kroppen fra morgen til kveld og hadde et betydelig vekttap på kort tid som følge av det høye aktivitetsnivået. Han festet mye og skapte liv og røre, men opplevde at det var vanskelig å finne ut av følelsene sine. Hans fraseparerte kone beskrev sin situasjon lik en «backstagearbeider i et one-man show». Etter konsultasjon med psykiater sju måneder etter operasjonen ble han vurdert til å ha en organisk betinget affektiv lidelse. På grunn av hans maniske symptomer ble han behandlet med antiepileptika for å stabilisere hjerneaktiviteten.

    Per i dag brukes tre forskjellige typer medikamenter i behandling av manier. Disse er litiumpreparater, antiepileptika (valproat eller lamotrigin) og nyere antipsykotika (olanzapin).

    Pasienten opplevde imidlertid bivirkninger av medikamentene, og fastlegen valgte å avslutte medisineringen. Hans maniske symptomer avtok gradvis uten medikamenter.

    Han opplevde store hukommelsesproblemer i dagliglivet og han satte gule lapper overalt for å kompensere for det. I samtale brøt han ofte inn med det han skulle si for ikke  å glemme det. Det var vanskelig for ham å følge med på hva andre sa, noe som kan være uttrykk for redusert arbeidsminne. Nevropsykologisk undersøkelse under rehabiliteringsoppholdet avdekket problemer innen eksekutive og visuospatiale funksjoner. Han har vist noe bedring med hensyn til dette over tid, men har likefullt varige hukommelsesproblemer.

    I litteraturen er det beskrevet lite kognitive utfall ved frontale meningeomer 4 – 9 måneder postoperativt (5).

    Pasienten gjennomgikk en omfattende kartlegging av symptomer og personlighet både ti måneder og nesten tre år etter operasjonen. Ved første måling var profilen preget av anspenthet, angst og tvang, og dette ble vurdert som en sekundæreffekt av tumor. Han skåret også lavt på vennlighet og kontakt med følelser, og høyt på fiendtlighet. Da undersøkelsen ble gjentatt to år senere, viste profilen en klar tendens til normalisering med mindre stress, angst og tvang.

    Dette viser at personlighetstrekkene som var endret som følge av den frontale hjernesvulsten, til en viss grad var reversible. Hjernen kan tåle trykk over tid og likevel oppnå delvis normalisering over år etter trykkavlastning (5). For enkelte pasienter vil noen av endringene være irreversible hvis trykket har stått for lenge (6).

    Pasienten gjennomgikk atferdsendringer som det er rimelig å betegne som en endring av personlighet. En alminnelig definisjon av personligheten er at det er vår måte å tenke, føle og handle på i en rekke ulike situasjoner over en lengre tidsperiode (7). Likevel kan sentrale personlighetstrekk endre seg over tid, spesielt ved patologiske forhold som rammer frontallappene. Hos vår pasient oppsto de første personlighetsendringene mer enn sju år før tumor ble oppdaget. Deretter hadde han en endring i det første året etter operasjonen hvor han var blidere og mer ukritisk enn før. Til slutt endret han seg igjen tilbake til en tilstand som liknet mer på den han var i utgangspunktet. Når personlighetsendring kommer langsomt, er man spesielt avhengig av komparentopplysninger fra pårørende. Det er imidlertid ofte en høy terskel for pårørende før de kontakter helsepersonell for å melde sin bekymring over psykiske og personlighetsmessige avvik hos sine nære.

    Familien var mye sammen i månedene etter operasjonen og gradvis bedret de ulike symptomene seg. Pasienten tok etter hvert mer ansvar og stilte opp for familien. Paret hadde fem samtaler hos psykolog med psykoedukativ og kognitiv tilnærming, og de opplevde dette som god hjelp. Da det nærmet seg et år etter operasjonen, var situasjonen tilnærmet slik den var i tiden før pasienten endret seg. Barna viste større tilfredshet og bedret resultatene på skolen. Nesten ett år etter operasjonen valgte paret å trekke separasjonen og gå videre sammen som familie. Han fungerer nå godt i hverdagen, men selv seks år etter operasjonen har han daglig hodepine og en dårligere hukommelse enn tidligere.

    Diskusjon

    Diskusjon

    Olfactoriusmeningeom er en sjelden lidelse. Det er viktig at denne type svulster diagnostiseres så tidlig som mulig for å unngå irreversible skader på hjernen. Imidlertid oppdages de ofte sent, noe som blant annet skyldes langsom vekst med forskyvning av hjernen uten fokale nevrologiske utfall. Primære symptomer kan være hodepine, synsutfall, endret personlighet, nedsatt hukommelse og tap av luktesans (anosmi) (8). Når pasienten mister luktesansen, kan tumor allerede være 3 – 4 cm (9).

    Ved personlighetsendringer hos middelaldrende mennesker vil frontale hjernesvulster være en differensialdiagnose og MR bør rekvireres. Undersøkelse av luktesans er noe som hører med ved en nevrologisk undersøkelse, og denne pasienthistorien illustrerer hvor viktig denne enkle undersøkelsen er.

    Vi takker Bilde- og intervensjonsklinikken ved Rikshospitalet-Radiumhospitalet for at de har stilt MR-bildene til disposisjon.

    Oppgitte interessekonflikter: Ingen

    Se kommentar side 2248 og kunnskapsprøve på www.tidsskriftet.no/quiz

    Kommentarer  ( 0 )
    PDF
    Skriv ut

    Anbefalte artikler