Multippel mononevropati kan forekomme ved mange tilstander. En 64 år gammel kvinne med ørebetennelse, miltinfarkt og pleuravæske fikk økende svakhet i begge bein. Hvordan stilles diagnosen?
En 64 år gammel kvinne hadde tidligere vært stort sett frisk. Hun utviklet i løpet av 14 dager smerter i venstre øre og feber og det ble diagnostisert en mellomørebetennelse (CRP 30 mg/l, leukocytter 5,4/ml). Til tross for oppstart med antibiotisk behandling (ciprofloksacin) forverret tilstanden seg etter noen dager (CRP 46 mg/l, leukocytter 7,1/ml) og hun ble tiltakende trett, selv ved vanlig aktivitet. Det tilkom ytterligere redusert allmenntilstand, feberutvikling (39,9 °C), og stigende infeksjonsparameter (CRP 110 mg/l, leukocytter 7,0/l) til tross for intensivert antibiotikabehandling (ciprofloksacin og amoxicillin). Hun ble da innlagt i medisinsk avdeling. Bortsett fra mellomørebetennelsen ble det funnet normal somatisk status.
Otitis media, mellomørebetennelse, er en av de vanligste sykdommer som særlig rammer barn. Sykdommen er vanligvis selvbegrensende. Forekomsten av akutt otitis media i Norge er omkring 200 000 tilfeller per år. Alvorlige komplikasjoner ses hos ca. 5/100 000 barn og er langt sjeldnere hos voksne. Den hyppigste komplikasjonen er akutt mastoiditt, sjeldnere også meningitt eller hjerneabscess. Behandlingen skjer med antibiotika, men økende resistensproblematikk har ført til at Statens helsetilsyn anbefaler antibiotikabruk kun ved høy feber, nedsatt allmenntilstand eller purulent sekresjon fra øret (1).
Som ledd i videre infeksjonsutredning ble det tatt CT abdomen som viste et akutt og komplett miltinfarkt uten at pasienten hadde symptomer på dette. Hun ble overflyttet til kirurgisk avdeling, og milten ble fjernet. Etter operasjonen klaget hun over pustevansker, og fire dager postoperativt også over en svakhet i beina. Dype senereflekser ble vurdert som svake. I tillegg oppsto flere episoder med dobbeltsyn som gjorde at man mistenkte en akutt inflammatorisk demyeliniserende polynevropati (Guillain-Barrés syndrom) med hjernenerveaffeksjon.
Guillain-Barrés syndrom har en insidens på ca. 1 – 2/100 000 og opptrer ofte etter infeksjoner. Den vanligste manifestasjonen er akutt inflammatorisk demyeliniserende sensorimotorisk polynevropati. Akutt aksonal motorisk eller sensorisk polynevropati er sjeldnere. Ved nevrofysiologisk undersøkelse kan det som regel ses demyeliniserende affeksjon. I spinalvæsken finner man vanligvis forhøyet totalprotein og normalt celletall.
Pasienten ble overflyttet til nevrologisk avdeling til videre utredning. Ved nevrologisk undersøkelse hadde hun normale øyebevegelser uten dobbeltsyn, ingen hjernenerveutfall, men tydelig distal svakhet i beina. På Medical Research Council Scale (MRCS) skåret hun følgende kraftgrader: plantarfleksjon i venstre ankel og tå 1; høyre side 4; dorsalfleksjon venstre ankel og tå 3 – 4; høyre side 4 – 5. Ingen pareser for øvrig ble funnet, og det var normal kraft i armene. Dype senereflekser i armer og bein var sidelike og svake (+). Sensorisk hadde hun nedsatt følelse for stikk og berøring distalt i beina opp til knærne og opphevet vibrasjonssans over ankelleddene. Det var normal sensibilitet i armene. Klinisk var det ingen holdepunkter for autonome forstyrrelser som fluktuasjoner i hjerterytme og blodtrykk eller vansker med temperaturregulering. Ved undersøkelsen ble det også for første gang bemerket ulcerasjoner i ganen og aftoide lesjoner på tungen (fig 1). Hun hadde bilaterale ankelødemer, og blodprøver viste lavt totalprotein (6,1 g/dl, referanseområde 6,6 – 8,7 g/dl). Spinalvæskeundersøkelse viste normale funn for protein, celler og glukose. Det var ingen oligoklonale bånd i spinalvæsken.
Kliniske funn var som ved sensorimotorisk polynevropati. Det kliniske bildet hos pasienter med Guillain-Barrés syndrom er vanligvis preget av tiltakende symmetriske perifere pareser, hovedsakelig distale, med sensible og/eller autonome utfall og utslukkede dype senereflekser. Pasientens symptombilde var derimot asymmetrisk og refleksene var bevart. Differensialdiagnosene omfattet derfor andre årsaker til akutt nevropati, som autoimmune tilstander eller vaskulittsykdommer.
Det ble gjort nevrofysiologisk undersøkelse, bestående av nevrografi, elektromyografi, somatosensorisk fremkalte responser og motorisk fremkalte responser. Sistnevnte utføres ved å registrere elektriske svarpotensialer i periferien etter stimulering med magnetfelt over cortex. Nevrografi ble utført for nervus ulnaris venstre side, n. suralis og n. peroneus høyre side og for n. tibialis bilateralt. Nevrografifunn av n. ulnaris viste normale verdier, derimot var det ingen målbar nerveledning i n. suralis og n. tibialis på høyre side. Det var nedsatt nerveledningshastighet for høyre n. peroneus og venstre n. tibialis ved samtidig fraværende F-bølger og forlenget distal motorisk latens. Elektromyografi viste patologisk spontanaktivitet for begge mm. tibialis anteriores uten tegn på voluntær aktivitet på venstre side, ellers normale funn. Somatosensorisk fremkalte responser i tibialis viste patologisk forlengede latenser bilateralt, forenlig med affeksjon fra begge bein. Motorisk fremkalte responser gjenspeilte perifer affeksjon i venstre bein, da det ikke ble funnet nerveledning til venstre m. tibialis anterior. Funnene ved nevrofysiologisk undersøkelse var forenlig med en aksonal sensorimotorisk multippel mononevropati. Videre ble det målt vaskulittparametere i blod (bl.a. antinukleære antistoffer (ANA), cytoplasmatiske (C-ANCA) og perinukleære (P-ANCA) antinøytrofile cytoplasmaautoantistoffer, anti-DNA, komplement, lupus antikoagulans og serum-immunelektroforese).
Hovedårsaker til multippel mononevropati er diabetes mellitus, revmatologisk sykdom eller vaskulitt. Tilstanden kan også ses som et paraneoplastisk fenomen, eventuelt infeksjon (borreliose, HIV, cytomegalovirus, herpes zoster, leptospirose) eller ved sarkoidose.
For å se etter mulige sentrale vaskulittmanifestasjoner ble det gjort en MR-undersøkelse (med MR- angiografi) av hjernen. Denne viste lettgradige kroniske iskemiske forandringer og upåfallende funn ved MR-angiografi. Et døgn etter overflyttingen forverret pasientens tilstand seg respiratorisk. Røntgen av thorax viste bilateral pleuravæske som måtte dreneres. Cytologisk undersøkelse av pleuravæsken viste aktiverte mesotelialceller, makrofager, lymfocytter og nøytrofile leukocytter.
Funnene av multippel mononevropati, systemaffeksjon med ulcerasjoner og pleuravæske i tillegg til lav totalproteinkonsentrasjon i serum (mulig nyreaffeksjon) ga mistanke om en vaskulittisk systemsykdom. Det var ingen kliniske eller parakliniske holdepunkter for sentralnervøs vaskulitt.
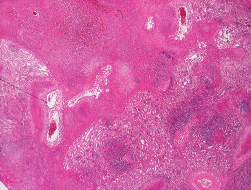
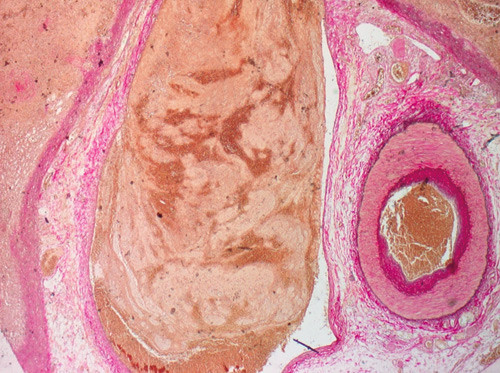
Histologisk undersøkelse av milten viste nekrose med partiell karnekrose (fig 2), histiocystiske granulomer og, sekundært til dette, trombotiske vener (fig 3). Resultatene ble tolket som mulig Wegeners granulomatose. En biopsi fra nesesvelget viste karulcerasjoner og blandet granulomatøs inflammasjon. I tillegg fant man en proteinuri (1,5 g/døgnurin) som gjenspeilte nyreaffeksjonen. Oftalmologisk og dermatologisk undersøkelse viste ellers normale funn. Vaskulittprøver i blod viste forhøyet C-ANCA (12U/ml, normalt < 6 U/ml). Kliniske, histologiske og biokjemiske funn førte til diagnosen Wegeners granulomatose.
Behandling med 75 mg prednisolon daglig førte til rask bedring av pasientens pareser og sensibilitetstap. På grunn av nyreaffeksjon startet man også med cyklofosfamid (seks kurer à 750 mg), som bedret de nevrologiske symptomene ytterligere. Etter avslutning av cyklofosfamidkuren ble det innledet immunsuppressiv behandling i form av prednisolon 5 mg og azatioprin 50 mg daglig. En måned etter oppstart av behandling viste pasientens pareser fortsatt klinisk bedring, mens nevrofysiologiske funn var vesentlig uendrede.
Diskusjon
Wegeners granulomatose er en alvorlig og sjelden systemisk granulomatøs, nekrotiserende vaskulitt i små kar, sjeldnere med affeksjon av store kar. Man mistenker autoimmun etiologi, og sykdommen har en insidens på ca. 0,6/100 000 (2). Sykdommen affiserer hovedsakelig øvre og nedre luftveier og nyrene. Andre organmanifestasjoner, for eksempel milt, som i pasientens tilfelle, er sjeldnere. For å kunne stille diagnosen må minst to av følgende symptomer foreligge:
purulente eller blodige nasale lesjoner eller orale ulcuser
noduler, fikserte infiltrater eller kaviteter i lungene
mikrohematuri
granulomatøs inflammasjon ved biopsi
Biopsier viser ofte uspesifikke forandringer (3). Kliniske symptomer inkluderer feber, leddsmerter og utmattelse (4). Nyresvikt er den hyppigste dødsårsaken og er ofte forårsaket av en glomerulonefritt. Mellomørebetennelse forekommer hos 7 – 33 % av alle pasienter. Laboratoriefunn er ofte uspesifikke, men CRP kan korrelere med sykdomsaktivitet. C-ANCA, som reagerer mot protease-3 i azurofilisk granulat, har høy spesifitet for aktiv Wegeners granulomatose (nær 100 %) (5) og har en sensitivitet på 50 % tidlig i sykdomsforløpet (6). P-ANCA, som reagerer mot myeloperoksidase i nøytrofile granulocytter, er vanligvis assosiert med andre vaskulittformer (7), men P-ANCA-positiv Wegeners granulomatose forekommer (8).
Affeksjon av nervesystemet ved Wegeners granulomatose er rapportert hos 20 – 55 % av pasientene (9, 10). I en prospektiv kohortstudie av 128 pasienter med Wegeners granulomatose hadde 7 % symptomer fra sentralnervesystemet og 44 % fra det perifere nervesystemet (9). Destruerende granulomer i skallebasis kan føre til skade av hjernenervene, eksoftalmus og diabetes insipidus. Systemisk vaskulitt kan gi hjerneinfarkt, hjerneblødning og subaraknoidalblødning.
Epileptiske anfall og hodepine i kombinasjon med hjernenerveutfall er ofte uttrykk for en kronisk, hypertrofisk hjernehinnebetennelse og forekommer ofte ved C-ANCA-negativ Wegeners granulomatose (5, 8). Noen pasienter uten fokale nevrologiske utfall kan ha nevropsykologiske symptomer som abstrakte tanke- og hukommelsesforstyrrelser (11). Perifer nevropati er den hyppigste manifestasjonen av nervesystemet ved Wegeners granulomatose og skyldes systemisk vaskulitt og granulomatøs infiltrasjon. Klinisk og nevrofysiologisk dreier det seg hovedsakelig om symmetriske akutte eller subakutte aksonale sensorimotoriske nevropatier eller multippel mononevropati, først og fremst i beina. Andre akutte og subakutte demyeliniserende polynevropatier og blanding av aksonale og demyeliniserende polynevropatier er beskrevet, men er sjeldne ved Wegeners granulomatose (9).
Standardterapi ble lansert i 1983 av Fauci og medarbeidere og innebærer kombinert behandling med glukosteroider og cyklofosfamid (4). Imidlertid brukes det også andre cytostatiske medikamenter som azatioprin, metotreksat og rituksimab. Med denne behandlingen er 90 % av pasientene i live etter fire år. Pasienter med ubehandlet Wegeners granulomatose har en gjennomsnittlig overlevelsestid på omtrent fem måneder etter sykdomsdebut.
Konklusjon
Wegeners granulomatose er en sjelden nekrotiserende granulomatøs vaskulitt som hovedsaklig affiserer luftveiene. 20 – 50 % av pasientene har affeksjon av nervesystemet, og multippel mononevropati er et typisk funn. Utredning av Wegeners granulomatose omfatter mange differensialdiagnoser. Det er viktig med rask utredning og immunsuppresiv behandling, da ubehandlet Wegeners granulomatose har høy mortalitet og morbiditet, særlig ved nyreaffeksjon.
Vi takker Petra Reinecke for arbeidet og tolkingen av de histologiske snittene.
Oppgitte interessekonflikter: Ingen
Se kunnskapsprøve på www.tidsskriftet.no/quiz
- 1.
Berild D, red. Veileder i antibiotikabruk i allmennpraksis. Oslo: Statens helsetilsyn, 2000.
- 2.
Andrassy K. Therapeutic modalities in patients with generalized Wegener’s granulomatosis (WG) and related diseases. APMIS Suppl 1990; 19: 47.
- 3.
Kalina PH, Lie JT, Campbell RJ et al. Diagnostic value and limitations of orbital biopsy in Wegener’s granulomatosis. Ophthalmology 1992; 99: 120 – 4.
- 4.
Fauci AS, Haynes BF, Katz P et al. Wegener’s granulomatosis: prospective clinical and therapeutic experience with 85 patients for 21 years. Ann Intern Med 1983; 98: 76 – 85.
- 5.
Reinhold-Keller E, de Groot K, Holl-Ulrich K et al. Severe CNS manifestations as the clinical hallmark in generalized Wegener’s granulomatosis consistently negative for antineutrophil cytoplasmic antibodies (ANCA). A report of 3 cases and a review of the literature. Clin Exp Rheumatol 2001; 19: 541 – 9.
- 6.
Tervaert JW, van der Woude FJ, Fauci AS et al. Association between active Wegener’s granulomatosis and anticytoplasmic antibodies. Arch Intern Med 1989; 149: 2461 – 5.
- 7.
Younger DS. Vasculitis of the nervous system. Curr Opin Neurol 2004; 17: 317 – 36.
- 8.
Nagashima T, Maguchi S, Terayama Y et al. P-ANCA-positive Wegener’s granulomatosis presenting with hypertrophic pachymeningitis and multiple cranial neuropathies: case report and review of literature. Neuropathology 2000; 20: 23 – 30.
- 9.
de Groot K, Schmidt DK, Arlt AC et al. Standardized neurologic evaluations of 128 patients with Wegener granulomatosis. Arch Neurol 2001; 58: 1215 – 21.
- 10.
Nishino H, Rubino FA, Parisi JE. The spectrum of neurologic involvement in Wegener’s granulomatosis. Neurology 1993; 43: 1334 – 7.
- 11.
Mattioli F, Capra R, Rovaris M et al. Frequency and patterns of subclinical cognitive impairment in patients with ANCA-associated small vessel vasculitides. J Neurol Sci 2002; 195: 161 – 6.