Diskusjonen om helseforholdene i Afrika sør for Sahara domineres av hiv, tuberkulose og malaria. Hjerte- og karsykdommer får mye mindre oppmerksomhet, og mange er nok ikke klar over hvilket problem disse sykdommene utgjør. I Afrika rammes unge pasienter i like stor grad som eldre av hjerte- og karsykdom, og sykdomsbildet er veldig forskjellig fra det man ser i den vestlige verden. Det er store utfordringer knyttet til diagnostikk, behandling og oppfølging av hjertesykdommer i disse landene, der helsetjenesten er svært dårlig utbygd.
Jeg har de siste to årene arbeidet ved Princess Marina Hospital i Botswana, men har også erfaring fra Tanzania (1). Mens Tanzania er et av verdens fattigste land, regnes Botswana i dag som et middelinntektsland pga. sine store diamantforekomster. Landet er blant dem som er aller hardest rammet av hivepidemien, og store ressurser er blitt tilført fra de globale hiv/aids-fondene. Behandling av botswanske hivpasienter med antiretrovirale legemidler har fungert som et pilotprosjekt for resten av Afrika. Hivklinikken i hovedstaden Gaborone er en av verdens største, med over 15 000 pasienter som får antiretroviral behandling. Alle botswanske statsborgere med aids får i dag tilbud om gratis behandling, noe som setter Botswana i en særstilling i forhold til andre land i Afrika sør for Sahara.
De viktigste former for hjertesykdom i denne delen av Afrika er ulike former for kardiomyopati, tuberkuløs perikarditt, revmatisk hjertesykdom og hypertensiv hjertesykdom. De to førstnevnte er klart relatert til høy hivprevalens.
Metode
Artikkelen er basert på egen erfaring fra ekkokardiografi og klinisk arbeid, særlig fra Botswana, og på et skjønnsmessig utvalg relevante engelskspråklige artikler identifisert ved litteratursøk i Medline Ovid med søkeordene «heart disease» og «Africa».
Pasient
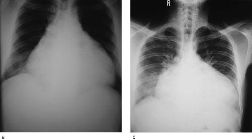
Hivpositiv 41 år gammel mann ble innlagt etter to uker med økende tungpust og ubehag i brystet. Ved undersøkelse var han medtatt, blodtrykk ble målt til 95/65 mm Hg, puls 125/min, respirasjonsrate 44/min. Han hadde ortopné og halsvenestuving. Lungene var klare ved auskultasjon, og det ble påvist hepatomegali uten perifere ødemer. Hjertetonene var fjerne, det var ingen bilyd, og ictus var ikke palpabel. EKG viste sinustakykardi. Røntgen thorax viste uttalt kardiomegali (fig 1a).
De mest aktuelle differensialdiagnosene ble vurdert å være dilaterende/hivassosiert kardiomyopati eller tuberkuløs perikarditt. Røntgen thorax alene er ikke nok til å skille mellom tilstandene (fig 1b). Legen ved lokalsykehuset sto overfor et dilemma: Skulle han satse på diuretika eller gi væske? Diuretika kan være svært uheldig for en pasient med perikardvæske og truende tamponade, som er avhengig av å opprettholde fyllingstrykket. De kliniske tegnene og et normalt EKG gjorde at mistanken om perikardeffusjon var stor.
Pasienten ble overført til regionssykehus. Ekkokardiografi bekreftet en svær perikardeffusjon med fibrintråder typisk for tuberkuløs perikarditt (fig 2), og tegn på hjertetamponade. Det ble gjort perikardiocentese og tappet 750 ml blodig perikardvæske. Tilstanden bedret seg umiddelbart, og pasienten ble på empirisk grunnlag gitt antituberkuløs behandling og prednisolon.
Denne sykehistorien er vanlig i land der hiv og tuberkulose er svært utbredt. Den viser at differensialdiagnostikken ved kardiomegali kan være vanskelig, og at ekkokardiografi, når undersøkelsen er tilgjengelig, ofte er avgjørende for diagnose og behandlingsvalg. Dessverre er tilgangen på kardiologisk ekspertise og ekkokardiografi dårlig eller ikke-eksisterende for store deler av befolkningen i Afrika.
Dilaterende kardiomyopati
Kardiomyopati affiserer myokard og er assosiert med kardial dysfunksjon. Dilaterende kardiomyopati er en sjelden tilstand i vestlige land, men utgjør et stort helseproblem i Afrika. 17 – 48 % av pasienter hospitalisert for hjertesvikt i Afrika har dilaterende kardiomyopati (2) – (4). Sykdommen forekommer ofte i 20 – 30 års alder og er dobbelt så vanlig hos menn som hos kvinner (5).
Årsakene til dilaterende kardiomyopati er ufullstendig klarlagt. Hiv, myokarditt, autoimmune, metabolske og ernæringmessige forhold, inkludert alkohol, er de antatt viktigste faktorene. Behandling er tradisjonell hjertesviktbehandling, dvs. ACE-hemmere, betablokkere, aldosteronantagonister og slyngediuretika. Tilgjengeligheten av slike legemidler er varierende i Afrika. I Botswana betaler staten medisiner for kronisk syke, i motsetning til i Tanzania der en dagsdose kaptopril i 2003 kostet en gjennomsnittlig daglønn, dvs. 1 amerikansk dollar. Hjertesviktpasienter var der henvist til det dårlige alternativet digitalis og furosemid.
Hivassosiert kardiomyopati
Hivassosiert kardiomyopati omtales ofte som en form for dilaterende kardiomyopati, men systolisk dysfunksjon forekommer også uten dilatasjon av venstre ventrikkel. Prognosen er dårligere enn ved idiopatisk dilaterende kardiomyopati (6). 1,6 % av asymptomatiske hivpositive i vestlige land hadde hivassosiert kardiomyopati før antiretrovirale midler kom i bruk (6). I afrikanske land er prevalensen langt høyere. I en studie fra Rwanda fant man en prevalens på 17,7 % blant 416 hivpositive pasienter som ikke fikk antiretroviral behandling. Langtkommen hivinfeksjon, lavt CD4-tall og høy virusmengde er assosiert med kardiomyopati (7) – (9).
I flere studier har man sett på sammenhengen mellom myokarditt og dilaterende/hivassosiert kardiomyopati. Myokarditt forårsaket av coxsackie-, adeno- og Epstein-Barr-virus er viktig i vestlige land (10). I Afrika antas opportunistiske infeksjoner å spille en større rolle. Histopatologisk har man funnet myokarditt forårsaket av Toxoplasma gondii, Cryptococcus neoformans, Mycobacterium avium, Mycobacterium intracellulare og direkte invasjon av hiv (5).
Introduksjon av retrovirale legemidler har redusert forekomsten av hivassosiert kardiomyopati blant hivsmittede, men neppe bedret prognosen hos dem som allerede har utviklet kardial sykdom (11, 12).
Peripartumkardiomyopati
Peripartumkardiomyopati ses fra siste trimester til seks måneder post partum, vanligst de første månedene post partum. Også denne tilstanden er langt vanligere i Afrika enn i Vesten. Prevalens blant gravide er angitt fra 0,1 % (Sør-Afrika) til opptil 1 % i et høyendemisk område (Nigeria) (13, 14). Risikofaktorer er lav sosioøkonomisk status, hypertensjon i svangerskapet, multiparitet og tvillingsvangerskap. Årsaken er usikker, men eksessivt saltinntak og myokarditt er blant foreslåtte sykdomsmekanismer (5, 15).
Tilstanden fører til global dilatasjon av hjertekamrene og nedsatt kontraktilitet. Hos om lag en firedel av pasientene normaliseres venstre ventrikkel etter en tid. Likevel er tilstanden assosiert med en betydelig dødelighet (15 %) (16). Kvinner som har hatt peripartumkardiomyopati, frarådes vanligvis nye svangerskap, da dette kan forverre eller utløse tilstanden på nytt (17).
Endomyokardial fibrose
Endomyokardial fibrose er en form for restriktiv kardiomyopati som forekommer i tropiske deler av Afrika, tilstanden er uvanlig sør og nord på kontinentet. I Uganda er endomyokardial fibrose den hyppigste årsaken til hjertesvikt og utgjør 20 % av henvisninger til ekkokardiografi (18). Områder med proteinfattig kosthold uten kjøtt, basert på kassava og fisk har høy forekomst (19). Hyppigst rammes unge i alderen 11 – 15 år, særlig de fattige.
Klinisk ses massiv ascites, ofte uten perifere ødemer. I ventriklene dannes organiserte, fibrøse tromber som gir en uttalt diastolisk dysfunksjon og dilatasjon av atriene. Fibrosen kan ramme både høyre og venstre side eller som oftest begge sider. Ekkokardiografifunn er diagnostisk. Tilstanden er assosiert med eosinofili, og ulike parasitter har vært foreslått som årsak. Eksudativ ascites i om lag tre firedeler av tilfellene kan tyde på en inflammatorisk prosess (15).
Prognosen er dårlig og medikamentell behandling har liten effekt. Personen dør som regel i løpet av to år fra diagnosetidspunktet (5).
Tuberkuløs perikarditt
Over to millioner mennesker dør årlig av tuberkulose, de aller fleste (98 %) i Afrika, Asia eller Latin-Amerika. I likhet med tuberkulose generelt øker insidensen av tuberkuløs perikarditt som et resultat av hivepidemien (20, 21). I Sør-Afrika er halvparten av pasienter med tuberkuløs perikarditt hivpositive (22).
Det er vanskelig å påvise tuberkelbasiller ved perikarditt. Direkte påvisning eller dyrking av syrefaste staver i sputum eller perikardvæske, perikardbiopsi og adenindeaminase (ADA) har lav sensitivitet og er ofte uhensiktsmessige og sjelden tilgjengelige ved afrikanske sykehus. Ofte behandles det empirisk for tuberkulose ved store effusjoner (21).
Røntgen thorax viser kardiomegali hos 90 %, og rundt 30 % har samtidig tegn på pulmonal tuberkulose. EKG kan gi viktig tilleggsinformasjon med low voltage, STT-forandringer eller elektrisk alternans (21, 23). Ekkokardiografi gir en sikker diagnose ved perikardeffusjon. Tilstanden utvikler seg over tid og perikard tøyes. Derfor kan man se svære effusjoner med flere liter perikardvæske uten at det foreligger hjertetamponade.
Antituberkuløs behandling i åtte måneder er standardbehandling, men dødeligheten er fortsatt stor, opptil 40 %. I praksis brukes ofte kortikosteroider, men det er usikkert om dette har en gunstig effekt på dødelighet, reakkumulering av effusjon eller utvikling av konstriktiv perikarditt (21) – (24).
Terapeutisk perikardiocentese bør kun gjøres ved store og dårlig tolererte effusjoner og ved hjertetamponade, der behandlingen er livreddende. Utover dette er det ikke vist at perikardiocentese bedrer prognosen (6, 24). I Botswana utføres perikardiocentese stort sett bare ved Princess Marina Hospital. Det er sjelden tilrådelig å gjøre inngrepet med mindre man er sikker på at det foreligger en effusjon, noe som krever ekkokardiografi eller ultralydapparat og kompetanse til å bruke det.
Revmatisk feber og revmatisk hjertesykdom
Revmatisk feber eller giktfeber var vanlig i Norge og resten av Europa frem til midten av 1900-tallet. Med økende velferd og effektiv antibiotikabehandling har prevalensen av revmatisk feber i Vesten sunket dramatisk til om lag en per 100 000 innbyggere. I Afrika sør for Sahara er revmatisk hjertesykdom fortsatt kanskje den viktigste formen for hjertesykdom. Årlig dør et stort antall barn og unge (15, 25). Tilstanden er assosiert med trangboddhet og dårlige sosiale kår. Prevalensen blant fattige skolebarn i Soweto i Sør-Afrika var i 1970-årene så høy som 1,9 % (26).
Akutt revmatisk feber kan i Afrika ses i en fulminant form, med refraktær hjertesvikt pga. mitralinsuffisiens og pankarditt. Kronisk revmatisk hjertesykdom utvikler seg ved gjentatte reaktiveringer av revmatisk feber ved nye streptokokkinfeksjoner. I Afrika er kronisk revmatisk hjertesykdom ofte hurtig progredierende og kan vise seg som langtkommen hjertesvikt tidlig i tenårene (25).
Mitralstenose, alene eller predominerende, foreligger hos ca. 40 % av pasienter med kronisk revmatisk hjertesykdom (fig 3 og 4). Konservativ medikamentell behandling er diuretika og betablokkere, mens ballongvalvuloplastikk av stenotisk klaff er den kirurgiske behandlingen (25). Mitralinsuffisiens ses ofte kombinert med stenose.
Bortsett fra i Sør-Afrika utføres hjertekirurgi kun ved svært få sentre sør for Sahara. Den store majoriteten av pasienter med revmatisk hjertesykdom har derfor ikke tilgang til livreddende klaffekirurgi, og mange dør av hjertesvikt i ung alder. Også her er Botswana i en særstilling i og med at landet kan tilby gratis kirurgisk behandling i nabolandet Sør-Afrika.
Hypertensjon, diabetes og koronar hjertesykdom
De siste 20 – 30 årene har Afrika sør for Sahara nærmest hatt en epidemi av hypertensjon og diabetes. Urbanisering har endret kosthold og aktivitetsnivå med bl.a. eksessivt saltinntak og overvekt som resultat. Minst 30 % av svarte sør-afrikanske kvinner er i dag overvektige. Svarte i Sør-Afrika har større kardiovaskulær dødelighet enn hvite – i tillegg er dødeligheten forventet å øke sterkt de to neste tiår (27). Hypertensjon og diabetes arter seg ofte mer dramatisk i Afrika enn i Vesten. Alvorlig endeorganskade med uremi, hjerneblødning og hjertesvikt med venstre ventrikkel-hypertrofi og dilatasjon er vanlig (28, 29).
Koronar hjertesykdom har imidlertid ikke fått fotfeste i Afrika sør for Sahara – foreløpig. I flere tiår har forskere interessert seg for hvorfor svarte ikke i samme grad rammes av koronarsykdom som av hjerneslag, hypertensjon og diabetes (30) – (33). En teori har vært at svarte har en immunitet mot koronar hjertesykdom. Den høye forekomsten av risikofaktorer sammen med en lav forekomst av koronar hjertesykdom støtter denne teorien. I 2005 påviste man likevel en sterk assosiasjon mellom hjerteinfarkt hos svarte i Sør-Afrika og risikofaktorer som røyking, diabetes, hypertensjon og overvekt – selv om insidensen av hjerteinfarkt fortsatt var lav (29). Andre mener at den lave forekomsten av koronar hjertesykdom skyldes at befolkningen i Afrika ligger etter Vesten i urbanisering og demografisk transisjon. Man kan dermed forvente samme dramatiske økning her som det man har sett ellers i verden, f.eks. blant afroamerikanere i USA, der hjerteinfarkt var 15 ganger vanligere blant hvite enn blant svarte i 1973, mens forekomsten i dag er høyere blant svarte enn blant hvite (29, 32).
Det er likevel ikke sikkert det samme vil skje i Afrika. Hivepidemien har senket forventet levealder betydelig, og færre lever lenge nok til å bli rammet av koronar hjertesykdom. Dessuten lever fortsatt store deler av befolkningen i fattigdom. Disse faktorene kan gjøre at økningen av koronar hjertesykdom i Afrika vil skje langsommere enn det man har sett i Vesten.
Avslutning
Det er stor mangel på helsepersonell og medisinsk utstyr i afrikanske land. Her ligger det betydelige utfordringer både for Afrika og for verdenssamfunnet. Afrika vil antakelig ikke oppleve at livsstilssykdommer erstatter infeksjonssykdommer med det første, slik Nord-Amerika og Europa har gjort. Det afrikanske kontinentet kan i stedet få en dobbelt sykdomsbyrde.
Jeg takker kolleger i Norge og i Botswana, Are von der Lippe og Ketil Størdal, for hjelp og gode innspill.
Oppgitte interessekonflikter:
Ingen
Tabell
| Hovedbudskap |
|
- 1.
Schwartz T. Indremedisinsk hverdag sør for Sahara Tidsskr Nor Lægeforen 2003; 123: 2752 – 3.
- 2.
Hakim JG, Manyemba J. Cardiac disease distribution among patients referred for echocardiography in Harare, Zimbabwe. Cent Afr J Med 1998; 44: 140 – 4.
- 3.
Amoah AG, Kallen C. Aetiology of heart failure as seen from a national cardiac referral centre in Africa. Cardiology 2000; 93: 11 – 8.
- 4.
Maharaj B. Causes of congestive heart failure in black patients at King Edward VIII Hospital, Durban. Cardiovasc J S Afr 1991; 2: 31 – 2.
- 5.
Sliwa K, Damasceno A, Mayosi BM. Epidemiology and etiology of cardiomyopathy in Africa. Circulation 2005; 112: 3377 – 83.
- 6.
Barbaro G. Cardiovascular manifestations of HIV infection. Circulation 2002; 106: 1420 – 5.
- 7.
Magula NP, Mayosi MB. Cardiac involvement in HIV-infected people living in Africa: a review. Cardiovasc J S Afr 2003; 14: 231 – 7.
- 8.
Ntsekhe M, Hakim J. Impact of human immunodeficiency virus infection on cardiovascular disease in Africa. Circulation 2005; 112: 3602 – 7.
- 9.
Twagirumukiza M, Nkeramihigo E, Seminega B et al. Prevalence of dilated cardiomyopathy in HIV infected African patients not receiving HAART: a multicentre, observational, prospective cohort study in Rwanda. Curr HIV Res 2007; 5: 29 – 37.
- 10.
Barbaro G, Lipshultz SE. Pathogenesis of HIV-associated cardiomyopathy. Ann N Y Acad Sci 2001; 946: 57 – 81.
- 11.
Pugliese A, Isnardi D, Saini A et al. Impact of highly active antiretroviral therapy in HIV-positive patients with cardiac involvement. J Infect 2000; 40: 282 – 4.
- 12.
Makotoko M. The human immunodeficiancy virus and cardiac disease. Cardiovasc J S Afr 2003; 14: 231 – 7.
- 13.
Desai D, Moodley J, Naidoo D. Peripartum cardiomyopathy: experience at King Edward Hospital, Durban, South Africa and a review of literature. Trop Doct 1995; 25: 118 – 23.
- 14.
Davidson NM, Parry EH. Peri-partum cardiac failure. Q J Med 1978; 47: 431 – 61.
- 15.
Freers J, Hakim J, Myanja-Kizza H et al. The heart. I: Parry E, Godfrey R, Mabey D et al, red. Principles of medicine in Africa. 3. utg. Cambridge: Cambridge University Press, 2004: 837 – 86.
- 16.
Sliwa K, Förster O, Libhaber E. Peripartum cardiomyopathy: inflammatory markers as predictors of outcome in 100 prospectively studied patients. Eur Heart J 2005; 27: 441 – 6.
- 17.
Elkayam U. Pregnant again after peripartum cardiomyopathy: to be or not to be? Eur Heart J 2002; 23: 753 – 6.
- 18.
Freers J, Mayanja-Kizza H, Ziegler JL et al. Echocardiographic diagnosis of heart disease in Uganda. Trop Doct 1996; 26: 125 – 8.
- 19.
Rutakingirwa M, Ziegler JL, Newton R et al. Poverty and eosinophilia are risk factors for endomyocardial fibrosis (EMF) in Uganda. Trop Med Int Health 1999; 4: 229 – 35.
- 20.
Cegielski JP, Ramaiya K, Lallinger GJ et al. Pericardial disease and human immunodeficiency virus in Dar es Salaam, Tanzania. Lancet 1990; 335: 209 – 12.
- 21.
Mayosi BM, Burgess L, Doubell AF. Tuberculous pericarditis. Circulation 2005; 112: 3608 – 16.
- 22.
Hakim JG, Ternouth I, Mushangi E et al. Double blind randomised placebo controlled trial of adjunctive prednisolone in the treatment of effusive tuberculous pericarditis in HIV seropositive patients. Heart 2000; 84: 183 – 8.
- 23.
Mayosi BM, Wiysonge CS, Ntsekhe M et al. Clinical characteristics and initial management of patients with tuberculous pericarditis in the HIV era: the Investigation of the Management of Pericarditis in Africa (IMPI Africa) registry. BMC Infect Dis 2006; 6: 2.
- 24.
Strang JIG, Kakaza HHS, Gibson DG et al. Controlled clinical trial of complete open surgical drainage and of prednisolone in treatment of tuberculous pericardial effusion in Transkei. Lancet 1988; 2: 759 – 64.
- 25.
Essop MR, Nkomo VT. Heart disease in Africa, rheumatic and nonrheumatic valvular heart disease, epidemiology, management, and prevention in Africa. Circulation 2005; 112: 3584 – 91.
- 26.
McLaren MJ, Hawkins DM, Koornhof HJ et al. Epidemiology of rheumatic heart disease in black school children of Soweto, Johannesburg. BMJ 1975; 3: 474 – 8.
- 27.
Kengne AP, Amoah AGB, Mbanya JC. Cardiovascular complications in diabetes in sub-Saharan Africa. Circulation 2005; 112: 3592 – 601.
- 28.
Opie LH, Seedat YK. Hypertension in sub-Saharan African populations. Circulation 2005; 112: 3562 – 8.
- 29.
Steyn K, Sliwa K, Hawken S et al. Risk factors assosiated with myocardial infarction in Africa: The INTERHEART Africa study. Circulation 2005; 112: 3554 – 61.
- 30.
Hakim JG, Odwee MG, Siziya S et al. Acute myocardial infarction in Zimbabwe: the changing scene of coronary artery disease. Centr Afr J Med 1995; 41: 303 – 8.
- 31.
Chesler E, Mitha AS, Weir EK et al. Myocardial infarction in the black population of South Africa: coronar arteriographic findings. Am Heart J 1978; 95: 691 – 6.
- 32.
Walker ARP, Sareli P. Coronary heart disease: outook for Africa. J R Soc Med 1997; 90: 23 – 7.
- 33.
Sliwa K, Wilkinson D, Hansen C et al. Spectrum of heart disease and risk factors in a black urban population in South Africa (the Heart of Soweto Study): a cohort study. Lancet 2008; 371: 915 – 22.