Introduction.
Skull base surgery is targeted to diseases in the posterior, lateral or anterior skull base. Development of endoscopic paranasal sinus surgery has contributed to expand the indications for transnasal surgery at the anterior skull base. Patients do not have visible scars and have less postoperative pain after endoscopic surgery and a decreased postoperative morbidity in general results in a shorter hospital stay.
Material and methods.
An overview is given of transnasal endoscopic skull base surgery, based on literature retrieved from PubMed and illustrated by three patients operated at the University Hospital of Northern Norway.
Results and interpretation.
Transethmoid meningoencephalocele, pituitary conditions and the need for biopsy from the cavernous sinus are presented as suitable indications for transnasal endoscopic skull base procedures. From an anatomical point of view, the skull base is situated between the orbit, the ear and the paranasal sinuses on one sideand the brain on the other side. Several specialties are therefore involved in skull base surgery, and interdisciplinary cooperation is important. Computer-assisted surgical instruments and navigation systems based on digital imaging enable an improved perioperative orientation and thereby improves the safety of skull base surgery. Endoscopic surgery at the skull base may contribute to reduce surgical morbidity and hospitalization and thereby has a health economic potential.
Endoskopisk bihulekirurgi ble introdusert for ca. 30 år siden (1, 2). Teknikken ble tidlig tatt i bruk i Norge, bl.a. i behandling av pasienter med nesepolypper og kronisk rhinosinusitt (3). Kirurgi i pannebihulene eller kirurgisk fjerning av nasofaryngealt angiofibrom er eksempler der kirurgi med ekstern tilgang nå er blitt mer og mer erstattet av endoskopisk kontrollert kirurgi.
Skallebasiskirurgi har sitt utgangspunkt i en videreutvikling av nevrokirurgi og mikroskopisk mellomørekirurgi (4). Blant mange andre kan retrosigmoidal tilgang, tilgang til fossa infratemporalis eller kraniofacial kirurgi nevnes som kirurgisk tilgang til prosesser ved bakre, midtre og fremre skallebasis. Endoskopisk bihulekirurgi med muligheter for å operere gjennom nesen og bihulene kom senere. Bruken av denne teknikken, rettet mot sykdommer i fremre skallebasis, er blitt utvidet de senere år. For å oppnå et godt resultat, er det nødvendig at inngrep rettet mot fremre skallebasis planlegges tverrfaglig, og samarbeid mellom øre-nese-hals-kirurg, nevrokirurg og oftalmolog kan være aktuelt.
Endoskopisk transnasal kirurgi innebærer en lang læringskurve fordi blødninger gjør orientering vanskelig, og fordi nesekaviteten og sfenoidalsinus viser store anatomiske variasjoner (5).
Belyst ved tre kasuistikker og basert på et ikke-systematisk litteratursøk gis det en oversikt over spekteret av prosesser ved fremre skallebasis som kan diagnostiseres og behandles med transnasal tilgang. Pasientene som presenteres, ble behandlet ved Universitetssykehuset Nord-Norge i perioden 2003 – 06.
Pasient 1
En to år gammel jente hadde renning fra venstre nesebor i ett år. Analyse på betasporprotein (β-trace) med en verdi på 14,6 mg/l var forenlig med rhinolikvoré (6). Hun hadde normalt utseende og normal psykomotorisk utvikling. Computertomografi viste en bløtdelsoppfylling i de fremre etmoidalcellene på venstre side, og diagnosen transetmoidal meningoencefalocele med likvoré ble stilt (fig 1).
Encefalocelet ble fjernet med endoskopisk transnasal teknikk. En åpning i dura på ca. 4 mm i diameter ble dekket med autolog fascia lata etter opprensing av slimhinne rundt defekten. Tamponademateriale fra venstre nese ble fjernet ti dager etter inngrep i dagkirurgisk maskenarkose. Ved telefonisk oppfølging to måneder og sju måneder postoperativt hadde pasienten ingen rhinoré. Hun fikk med et prøveglass for eventuelt å samle opp væske fra nesen. Hun har vært symptomfri i to år etter operasjonen.
Pasient 2
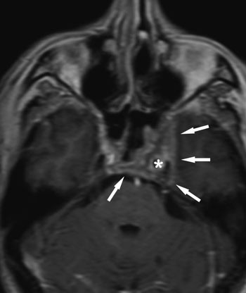
En 69 år gammel mann fikk plutselig dobbeltsyn. Ved nevrologisk undersøkelse ble det funnet venstresidig abducensparese og nedsatt sensibilitet tilsvarende venstre n. maxillaris og mandibularis. Magnettomografi viste en sparsomt kontrastoppladende tumor i venstre sinus cavernosus (fig 2). Svulsten lå rundt a. carotis interna og inn mot clivus. Endoskopisk, transsfenoidal biopsi viste atypiske celler som var positive for prostataspesifikt antigen. Videre utredning bekreftet diagnosen prostatakarsinom med solitær fjernmetastase til sinus cavernosus.
Pasient 3
En 46 år gammel kvinne med kjent hypofysært makroadenom ble etter fire år etter diagnosetidspunktet akutt svimmel med hodepine. Hun hadde synsfeltutfall oppad på ett øye. Magnettomografi av sella viste manglende kontrastoppladning som tegn på apopleksi i hypofyseadenomet og markert vekst. Hun ble operert med bilateral sfenotomi og endoskopisk fjerning av nekrotisk hypofysevev. Hun ble overført fra kirurgisk til endokrinologisk avdeling dagen etterpå.
Diskusjon
Ved transnasal kirurgi kan det benyttes både endoskopisk og mikroskopisk teknikk. Mikroskopisk kontrollert kirurgi gir binokulært syn og dermed kan operatøren se operasjonsfeltet tredimensjonalt. Operatøren har begge hender frie til å styre for eksempel sug og bor samtidig. På den annen side kan operatøren bare se rett frem, og tilgangen gjennom nesen krever en forholdsvis stor diameter. Ved endoskopisk kontrollert kirurgi benyttes vinkeloptikker, og operatøren kan dermed se i alle retninger. Detaljene blir godt synlige når man velger kort avstand mellom linse og struktur. Et ikke-håndholdt endoskop gjør det mulig å operere med begge hender, også ved endoskopisk teknikk. Alternativt kan operasjonen foretas med to operatører og fire hender ved bruk av endoskopkamera og monitor.
Malformasjoner
De fleste meningoencefaloceler er medfødt og forekommer frontalt, oksipitalt eller suboksipitalt. Frontale og større frontoetmoidale meningoencefaloceler opereres med kombinert transkranial tilgang (7). I tilfeller hvor det ikke er nødvendig med kosmetisk korreksjon, kan frontoetmoidale meningoencefaloceler opereres endoskopisk med god og varig effekt (8). Det er ikke uvanlig at diagnosen transetmoidal meningoencefalocele med likvoré stilles etter at et barn har gjennomgått en eller flere episoder med meningitt (9). Ved undersøkelse av betasporprotein i sekret fra nesen og CT kan diagnosen stilles uten invasive prosedyrer allerede før denne farlige komplikasjonen oppstår.
Svulster
Nasofaryngeal angiofibromer er høyvaskulariserte svulster som tar sitt utgangspunkt i fossa pterygopalatina. Forekomsten er sjelden, med 0,05 % av alle svulster i hode-hals-området og finnes nesten utelukkende hos unge menn (10). Svulsten kan vokse mot fossa pterygopalatina og infratemporalis, orbita, kilebein eller kranium. Pasienter med svulster uten affeksjon av endokranium eller sinus cavernosus er blitt operert endoskopisk med godt resultat, men ufullstendig reseksjon med ny utvikling av svulster har vært et kjent problem (11). Svulster som involverer sinus cavernosus, fossa infratemporalis eller endokranium, opereres med kombinert tilgang (12).
Epidermoide svulster med utgangspunkt i apex partis petrosae opereres i økende grad med transnasal endoskopisk tilgang (13).
Malign sykdom i nesen og bihuler har et betydelig histologisk mangfold. De viktigste formene er plateepitelkarsinom, adenokarsinom, adenoidcystisk karsinom, udifferensiert sinonasalt karsinom og olfaktorisk nevroblastom. Ved onkologisk diagnostikk kan morbiditeten reduseres ved bruk av endoskopisk teknikk. Som tilgang ved kirurgisk behandling kan det benyttes enten lateral rhinotomi eller disseksjon av midtre ansikt i sammenheng med kraniofacial kirurgi (14). Åpen kirurgi er indisert for behandling av ondartede svulster med infiltrasjon av dura mater (15). Valg av endoskopisk eller åpen tilgang i terapeutisk sammenheng er i mindre grad avklart. Indikasjonen for endoskopisk kontrollert kirurgi er avhengig av svulstens beliggenhet, størrelse og histologi. På tross av infiltrasjon i skallebasis kan det være aktuelt med endoskopisk kontrollert kirurgi, f.eks. ved behandling av olfaktorisk nevroblastom (16). Når sykdommen er begrenset til bihulene, brukes endoskopisk kirurgi i økende grad. Retrospektiv observasjon tyder på at femårsoverlevelsen ved endoskopisk kontrollert kirurgi for kreft begrenset til bihulene er sammenliknbar med resultatene fra kirurgi med åpen tilgang (17). Resultatene bør tolkes forsiktig fordi datagrunnlaget i litteraturen for endoskopisk behandling av ondartede svulster med relasjon til fremre skallegrop er lite.
Hypofysekirurgi
Hypofysekirurgi er et godt eksempel på overgang fra mikroskopisk til endoskopisk kontrollert kirurgi (18). Transseptal eller sublabial tilgang til hypofysen kan føre til skade på neseseptum med risiko for neseobstruksjon eller langvarig skorpedanning, spesielt etter gjentatte inngrep. Ved endoskopisk hypofysekirurgi utføres en utvidet sfenotomi uten større kirurgi på neseseptum. Tilgangen til sfenoidalsinus forblir åpen, og samme tilgang kan med fordel brukes ved gjentatte operasjoner. Forekomst av diabetes insipidus etter endoskopisk hypofysekirurgi ser ut til å være mindre enn etter mikroskopisk teknikk (19). En mer skånsom tilgang gjennom nesen åpner mulighet for kortere hospitalisering ved hypofysekirurgi.
Likvoré
Endoskopisk lukking av cerebrospinalvæskelekkasje er tidligere omtalt i Tidsskriftet (20, 21). I en metaanalyse med et materiale på 289 pasienter var behandlingen vellykket hos 90 % (22). To områder har vært lite tilgjengelig med endoskop: bakre vegg av frontalsinus og lateralvegg av en lateralt utvidet sfenoidalsinus. Endoskopisk kirurgi i en lateral recess av sfenoidalsinus er blitt mulig ved hjelp av endoskopisk, transpterygoid tilgang, og de første beskrivelsene tyder på god behandlingseffekt med lav mortalitet (23). De operative mulighetene for gamle pasienter er blitt forbedret, fordi endoskopisk teknikk gir lav kirurgisk morbiditet. Vi har nylig beskrevet ikke-traumatisk cerebrospinalvæskelekkasje i en lateralt utvidet sfenoidalsinus hos en 76 år gammel kvinne (24). Når endoskopisk lukning er teknisk umulig på grunn av defektens beliggenhet, kan det være aktuelt med nevrokirurgisk kraniotomi og lukning av lekkasjen med perikranium.
Konklusjon
Utvikling av nye bor, lange endoskop og navigasjonssystemer har bidratt til å videreutvikle endoskopisk kontrollert kirurgi ved fremre skallebasis. Computerassistert navigasjon gir støtte til orientering i et trangt operasjonsområde, hvor blant annet a. carotis interna og hjernenerver befinner seg i umiddelbar nærhet av sykdomsprosesser. Maligne svulster ved skallebasis har et stort histologisk mangfold, og sykdommer ved skallebasis forekommer i alle aldersgrupper. Både kirurgiske og medisinske spesialiteter er involvert i behandlingen av sykdom i dette anatomiske området. Tverrfaglig samarbeid, høy kompetanse og et tilstrekkelig pasientgrunnlag knyttet til et behandlingssenter er viktige faktorer for å oppnå gode resultater.
Jeg takker Rune Hennig ved Nevrokirurgisk avdeling og Ole Vik ved Øre-nese-halsavdelingen for konstruktivt samarbeid og utvikling av endoskopisk kontrollert kirurgi ved fremre skallebasis i Tromsø, og Gunnar Oltmanns, Radiologisk senter, for hjelp ved beskrivelse av bildediagnostikk.
Oppgitte interessekonflikter:
Ingen
Tabell
| Hovedbudskap |
|
- 1.
Messerklinger W. Diagnosis and endoscopic surgery of the nose and its adjoining structures. Acta Otorhinolaryngol Belg 1980; 34: 170 – 6.
- 2.
Wigand ME, Steiner W. Endonasale Kieferhöhlenoperation mit endoskopischer Kontrolle. Laryngol Rhinol Otol (Stuttg) 1977; 56: 421 – 5.
- 3.
Vik O, Elverland HH. Kirurgi i nese og bihuler. Tidsskr Nor Lægeforen 1991; 111: 1473 – 6.
- 4.
Fisch U. Infratemporal fossa approach to tumours of the temporal bone and base of the skull. J Laryngol Otol 1978; 92: 949 – 67.
- 5.
Kelley RT, Smith JL, Rodzewicz GM. Transnasal endoscopic surgery of the pituitary: modifications and results over 10 years. Laryngoscope 2006; 116: 1573 – 6.
- 6.
Risch L, Lisec I, Jutzi M et al. Rapid, accurate and non-invasive detection of cerebrospinal fluid leakage using combined determination of beta-trace protein in secretion and serum. Clin Chim Acta 2005; 351: 169 – 76.
- 7.
Meling TR, Due-Tønnessen BJ, Helseth E et al. Frontoethmoidale meningoencephaloceler Tidsskr Nor Lægeforen 2000; 120: 2250 – 2.
- 8.
Zuckerman J, Stankiewicz JA, Chow JM. Long-term outcomes of endoscopic repair of cerebrospinal fluid leaks and meningoencephaloceles. Am J Rhinol 2005; 19: 582 – 7.
- 9.
Garg P, Rathi V, Bhargava SK et al. CSF rhinorrhea and recurrent meningitis caused by transethmoidal meningoencephaloceles. Indian Pediatr 2005; 42: 1033 – 6.
- 10.
Schick B, Plinkert PK, Prescher A. Die vaskuläre Komponente: Gedanken zur Entstehung des Angiofibroms. Laryngorhinootologie 2002; 81: 280 – 4.
- 11.
Hofmann T, Bernal-Sprekelsen M, Koele W et al. Endoscopic resection of juvenile angiofibromas – long term results. Rhinology 2005; 43: 282 – 9.
- 12.
Tyagi I, Syal R, Goyal A. Staging and surgical approaches in large juvenile angiofibroma – study of 95 cases. Int J Pediatr Otorhinolaryngol 2006; 70: 1619 – 27.
- 13.
Kassam AB, Gardner P, Snyderman C et al. Expanded endonasal approach: fully endoscopic, completely transnasal approach to the middle third of he clivus, petrous bone, middle cranial fossa, and infratemporal fossa. Neurosurg Focus 2005; 19: E6.
- 14.
Lund VJ, Howard DJ, Wei WI et al. Craniofacial resection for tumors of the nasal cavity and paranasal sinuses – a 17-year experience. Head Neck 1998; 20: 97 – 105.
- 15.
Boysen M, Due-Tønnesen B, Helseth E et al. Reseksjon av maligne svulster med relasjon til fremre skallegrop Tidsskr Nor Lægeforen 2001; 121: 1688 – 91.
- 16.
Unger F, Walch C, Stammberger H et al. Olfactory neuroblastoma (esthesioneuroblastoma): report of six cases treated by a novel combination of endoscopic surgery and radiosurgery. Minim Invasive Neurosurg 2001; 44: 79 – 84.
- 17.
Bockmuhl U, Minovi A, Kratzsch B et al. Stellenwert der endonasalen mikro-endoskopischen Tumorchirurgie. Laryngorhinootologie 2005; 84: 884 – 91.
- 18.
Jho HD. The expanding role of endoscopy in skull-base surgery. Indications and instruments. Clin Neurosurg 2001; 48: 287 – 305.
- 19.
Shah S, Har-El G. Diabetes insipidus after pituitary surgery: incidence after traditional versus endoscopic transsphenoidal approaches. Am J Rhinol 2001; 15: 377 – 9.
- 20.
Elverland HH, Hennig R, Ulvestad E et al. Lekkasje av cerebrospinalvæske. Diagnostikk og behandling. Tidsskr Nor Lægeforen 1996; 116: 3098 – 101.
- 21.
Bachmann G, Elverland HH, Sørheim SI et al. Diagnostikk og kirurgisk behandling av likvoré Tidsskr Nor Lægeforen 2003; 123: 3190 – 2.
- 22.
Hegazy HM, Carrau RL, Snyderman CH et al. Transnasal endoscopic repair of cerebrospinal fluid rhinorrhea: a meta-analysis. Laryngoscope 2000; 110: 1166 – 72.
- 23.
Bolger WE, Osenbach R. Endoscopic transpterygoid approach to the lateral sphenoid recess. Ear Nose Throat J 2004; 78: 36 – 46.
- 24.
Bachmann-Harildstad G, Kloster R, Bajic R. Transpterygoid trans-sphenoid approach to the lateral extension of the sphenoid sinus to repair a spontaneous CSF leak. Skull Base 2006; 16: 207 – 12.