En 78 år gammel kvinne med smerter øverst i magen

    ()

    sporsmal_grey_rgb
    Abstract

    A 78-year-old woman with upper abdominal pain was admitted to the surgical department. She had suffered constant pain in the right upper quadrant for three months, with an increasing intensity the last days before admission. Her circulation was stable and standard blood samples were normal. An ultrasound examination indicated a tumour in relation to the hepatic artery. Further investigation with CT scanning and DSA demonstrated an aneurysm (with a maximum diameter of 32 mm) in the proper hepatic artery. The circulation in the right and left hepatic arteries was blocked, but the gastroduodenal artery was open. The patient underwent surgery of aneurysmorrhaphy and conservation of the gastroduodenal artery circulation. Liver enzyme levels were not elevated.

    Aneurysms of visceral arteries are infrequent, but they should be considered as a differential diagnosis to other acute abdominal conditions. Visceral aneurysms are likely to rupture, and there is a high mortality after such conditions. Therefore, symptomatic visceral aneurysms and asymptomatic visceral aneurysms with diameters over 2 cm should be treated.

    Artikkel

    En 78 år gammel kvinne ble lagt inn i kirurgisk avdeling med magesmerter i øvre, høyre kvadrant. Flere diagnoser ble stilt. Den mest alvorlige var en sjelden tilstand der kirurgisk intervensjon er påkrevd.

    En 78 år gammel kvinne ble innlagt i kirurgisk avdeling som øyeblikkelig hjelp med diagnosen akutt abdomen. Hun var sprek for alderen og selvhjulpen. Hun var røyker og hadde hatt ufrivillig vekttap på seks kilo det siste halve året. 11 år tidligere var hun satt på platehemmer på grunn av dyp venetrombose i venstre vena femoralis. Halvannet år før den aktuelle innleggelsen ble det, under utredning for atrieflimmer, påvist middels stor trikuspidalinsuffisiens. Hun ble da satt på warfarin i tillegg til sin platehemmer. Hun hadde de siste tre månedene vært plaget av smerter lokalisert til epigastriet, med utstråling mot rygg og mot høyre hypokondrium. Smertene var ikke bevegelses- eller måltidsrelaterte. Magesmertene hadde tiltatt vesentlig de siste fire dagene før innleggelse, men ved innkomst var pasienten likevel afebril og lite smertepåvirket. Hun var respiratorisk ubesværet, og blodtrykket var normalt. Abdomen var bløt, direkte palpasjonsøm i epigastriet og høyre hypokondrium, men ikke slippøm. Tarmlydene var normale og lyskepulsene var sidelike.

    Flere differensialdiagnoser ble vurdert i lys av denne sykehistorien, men akutte tilstander som rumpert eller perforert intraabdominalt hulorgan ble ansett som lite sannsynlig på grunn av lang sykehistorie og forholdsvis fredelig bukstatus. Det var ingen kliniske tegn til peritonitt. Man ønsket å utelukke abdominalt aortaaneurisme, selv om det ikke var kliniske funn som støttet denne diagnosen. I lys av pasientens alder og mangeårige hypertensjon ble også kardial iskemi mistenkt. Ulcussykdom og gallesteinssykdom uten kolecystitt, eventuelt med pankreatitt, ble ansett som viktigste differensialdiagnoser.

    Det ble rekvirert standard kirurgiske blodprøver, myokardmarkører/infarktstatus, EKG og røntgen thorax ved innkomst. På EKG fant man forandringer forenlig med septal iskemi. Blodprøvene viste forhøyet CK-MB og troponin I, med maksimal verdi på henholdsvis 20,0 µg/l og 4,55 µg/l . De resterende blodprøvene var normale, og det var heller ikke patologiske funn på thoraxbildet. Pasienten ble tilsett av indremedisiner og flyttet til medisinsk avdeling med mistanke om hjerteinfarkt uten ST-elevasjon. Ultralydundersøkelse av abdomen viste imidlertid at pasienten kunne ha et aneurisme i forløpet av arteria hepatica.

    I denne situasjonen ble pasientens kardiale situasjon prioritert. Kirurgisk intervensjon er kontraindisert i en situasjon med pågående kardial iskemi. Imidlertid var det ønskelig med videre utredning av det mulige aneurismet på grunn av fare for ruptur.

    Pasienten ble overflyttet til Rikshospitalet for invasiv koronarutredning. Det ble ikke påvist signifikant koronarsykdom. Funksjonen i venstre ventrikkel ble ansett som god, og hun ble flyttet tilbake til vår avdeling. Her ble det utført CT-undersøkelse som bekreftet mistanken om et aneurisme i forløpet av a. hepatica. Aneurismet ble beskrevet som tobuklet og det var lokalisert ekstrahepatisk svarende til a. hepatica propria, rett etter avgangen av arteria gastroduodenalis. Største diameter ble målt til 3,2 cm. Man fant ikke kontrastfylning perifert for aneurismet (fig 1).

    Pasientens kardiale tilstand var nå avklart. De kliniske funnene og plagene var forenlig med det CT-verifiserte aneurismet i a. hepatica. Det var derfor indikasjon for videre utredning med tanke på operativ behandling. I mellomtiden var man imidlertid blitt oppmerksom på at pasienten hadde en bilyd på høyre side av halsen, over arteria carotis. Hun hadde ikke hatt nevrologiske symptomer. Det ble utført MR-angiografi av halskar, som viste en høygradig stenose i høyre a. carotis interna. Venstre a. carotis var normal. Man gikk deretter videre med selektiv digital subtraksjonsangiografi av a. hepatica via truncus coeliacus, med innstikk i lysken. Digital subtraksjonsangiografi regnes som gullstandard for preoperativ utredning av viscerale aneurismer (1).

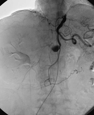
    Digital subtraksjonsangiografi viste åpne forhold til og med den proksimale buklen av aneurismet, med åpen a. gastroduodenalis. Det var tilkommet trombosering av den distale buklen av aneurismet (fig 2). Klinisk var pasientens tilstand uforandret, med symptomer som vi tilskrev aneurismet. Det ble ikke registrert stigning i leverfunksjonsprøver.

    Pasienten hadde altså to tilstander som begge ga indikasjon for operativ behandling, både et leverarterieaneurisme på 3,2 cm og en høygradig unilateral carotisstenose. Et aneurisme er som oftest asymptomatisk, men kan gi trykk- og ekspansjonssymptomer. Ved truende og manifest ruptur blir et aneurisme i de aller fleste tilfeller symptomgivende. Aneurismet ble avdekket etter målrettet utredning, og man anså rupturfaren som relativ høy. Carotisstenosen var et tilfeldig funn, og pasienten hadde ikke hatt nevrologiske symptomer. Med utgangspunkt i litteraturen og i samråd med pasienten fant man indikasjon for operativ behandling av det symptomgivende aneurismet først.

    Hun ble laparatomert via et subkostalt tverrsnitt. Man fant aneurismet lokalisert som forventet. Den mest distalt beliggende del av det tobuklede aneurismet var tynnvegget og trombosert. Den proksimale del var tykkvegget og pulserende. For øvrig var det tydelig puls i a. hepatica sentralt for aneurismet og i a. gastroduodenalis (fig 3). Det var ingen tilbakestrøm av blod fra høyre eller venstre leverarterie. Man vurderte å ligere arteriene proksimalt og distalt for aneurismet, men valgte å bevare sirkulasjonen i a. gastroduodenalis ved å rafe aneurismesekken, som var meget tykk og fibrotisk. Det postoperative forløpet var ukomplisert, uten stigning i leverenzymverdier. Pasienten ble utskrevet etter sju dager uten sine opprinnelige smerter i epigastriet. Histologi viste resektat av aterosklerotisk aneurisme.

    Diskusjon

    Diskusjon

    Aneurismer i viscerale arterier er sjeldne, men viktige å huske, fordi ruptur forekommer relativt hyppig. Ruptur i viscerale kar er forbundet med høy mortalitet (2). Av alle intraabdominale aneurismer er aortaaneurisme og aneurisme i arteria iliaca de mest vanlige, dernest kommer de viscerale aneurismene. Av de viscerale aneurismene utgjør aneurismer i miltarterien rundt 60 %. Miltarterieaneurisme er en viktig differensialdiagnose hos gravide i siste trimester med øvre abdominalsmerter, siden rupturfaren i denne gruppen er stor og fordi mortaliteten da er meget høy for mor og barn (3).

    Aneurismer i leverarterien utgjør 20 % av alle viscerale aneurismer. Denne formen for aneurisme ble først beskrevet i 1819 (Wilson). Insidensen er ukjent (1). Av leverarterieaneurismene er 80 % lokalisert ekstrahepatisk, hvorav rundt 60 % i a. hepatica communis og 30 % i a. hepatica dextra. 5 % opptrer i venstre leverarterie og 5 % i begge leverarterier. Arteriosklerose, mediadegenerasjon og traumer er viktige patogenetiske faktorer, men mykotiske aneurismer ses også etter bl.a. endokarditt og ved intravenøst narkotikamisbruk. Kolecystitt og pankreatitt kan også lede til aneurismedanning (1). Ledsagende aneurismer i andre arterier forekommer hyppig, også hos pasienter uten disponerende lidelser som Marfans syndrom og Ehlers-Danlos’ syndrom (4).

    Kliniske funn hos vår pasient var typisk for symptomatiske aneurismer av denne typen. Smerter i øvre, høyre kvadrant av abdomen, med utstråling til ryggen og uten relasjon til måltider, blir oppgitt som hovedsymptom. Man finner sjelden palpabel masse eller auskultatorisk bilyd. Kompresjon og obstruksjon av gallegangene kan gi ikterus og kolikksmerter. Erosjon av aneurismet til galletreet gir hemobili. Erosjon til duodenum eller vena porta er også beskrevet. Ruptur av aneurismet skjer hos ca. 30 % og medfører som regel sirkulatorisk kollaps, fordi rupturen oftest skjer til fri bukhule. Mortaliteten er da 100 %. Det er derfor indikasjon for rask behandling av symptomgivende viscerale aneurismer. En aggressiv kirurgisk tilnærming er anbefalt, også ved asymptomatiske aneurismer med største diameter over 2 cm (5), fordi den postoperative mortalitet og morbiditet da er lav.

    Endovaskulær behandling i form av embolisering var tidligere forbeholdt utvalgte tilfeller, som elektiv behandling av intrahepatiske aneurismer eller traumatiske aneurismer med pågående blødning (4) – (6). Slik utviklingen er innen karkirurgi og intervensjonsradiologi, er det imidlertid grunn til å tro at en økende andel av viscerale aneurismer vil behandles endovaskulært i fremtiden.

    Den kirurgiske behandlingen spenner fra ligatur og utsjalting av aneurismet, via rafing av aneurismet, til rekonstruksjoner/bypass med vene- eller kunsttransplantat. Ved aneurisme i a. hepatica communis gir proksimal og distal omstikning et tilfredsstillende resultat når a. gastroduodenalis bevares. Ved aneurisme i a. hepatica propria bør man utføre en bypassprosedyre med vene- eller kunsttransplantat for å bevare leversirkulasjonen. Hos vår pasient er det sannsynlig at vekst av aneurismet med påfølgende truende ruptur og senere delvis trombosering, var årsak til pasientens tiltakende magesmerter forut for og under innleggelsen. Okklusjon av høyre og venstre leverarterie kan også ha forårsaket smerte på grunn av leveriskemi. Da leveren også forsynes med oksygenfattig blod fra portakretsløpet, kan dette organet hos enkelte fungere til tross for opphør av sirkulasjonen i leverarteriene. I lys av gjentatte prøvesett med normale leverenzymverdier, er det imidlertid ikke holdepunkter for at pågående leveriskemi var årsak til pasientens aktuelle smerter.

    Hos vår pasient, der høyre og venstre leverarterie var trombosert, kunne vi ha ligert a. hepatica communis. Vi valgte imidlertid å rafe den proksimale delen av aneurismesekken for å bevare sirkulasjonen i a. gastroduodenalis, da dette karet var av signifikant størrelse. Rafing av et slikt aneurisme eliminerer kanskje ikke rupturfaren fullstendig, men karveggens beskaffenhet var imidlertid svært god, slik at dette kan forsvares (1).

    Konklusjon

    Konklusjon

    Viscerale aneurismer oppdages ofte tilfeldig. De er sjeldne, men de representerer en viktig differensialdiagnose ved abdominalsmerter hos personer over 50 år. Kirurgisk behandling anbefales på grunn av signifikant rupturfare og høy mortalitet.

    Takk til kollega Ole Christian Olsen for hjelp med figurer.

    Oppgitte interessekonflikter:

    Ingen

    Kommentarer  ( 0 )
    PDF
    Skriv ut

    Anbefalte artikler