En mann i 60-årene med tungpust og hypoksemi

    ()

    sporsmal_grey_rgb
    Artikkel

    Utredning av tungpust er en vanlig, men av og til utfordrende problemstilling både i allmennpraksis og ved indremedisinske poliklinikker og avdelinger. Denne sykehistorien viser at utredningen kan være komplisert og at samarbeid mellom ulike spesialiteter er nyttig.

    En mann i 60-årene ble vurdert ved lungepoliklinikken på et lokalsykehus etter at han de siste to-tre måneder hadde hatt betydelig tungpust, både ved anstrengelse og i hvile. Grunnet tendens til ankelødemer hadde han brukt vanndrivende medisiner en tid forut for konsultasjonen. For øvrig brukte han ingen faste medisiner. Han var tidligere stort sett frisk, bortsett fra en episode med mulig «treskerlunge» (hypersensitivitetspneumonitt) med full tilbakegang.

    Klinisk undersøkelse avdekket hviledyspné, leppe- og neglesengcyanose. Lungeauskultasjon var upåfallende. Det hørtes en systolisk bilyd grad 2/6, andre interkostalrom parasternalt venstre side. Blodgass uten oksygentilskudd viste uttalt hypoksemi med pO₂ 7,11 kPa, pCO₂ 4,1 kPa, pH 7,44 og O₂-saturasjon 88 %. Fingeroksymetri viste 85 % (±4 %) i ro og ved lett bevegelse på pasientrom over tid, uten signifikant endring ved O₂-tilførsel gjennom nese-brille-kateter titrert opp til 4 l O₂ /min. Røntgen thorax og EKG var normale. Spirometriundersøkelsen var normal med forsert vitalkapasitet (FVK) 6,4 l (124 % av forventet), forsert ekspiratorisk volum etter ett sekund (FEV₁) 4,0 l (100 % av forventet). Diffusjonstest (CO) var normal med transferfaktor for karbonmonoksid (DLCO) 80 % av forventet. Høyoppløsnings-CT (HRCT) viste spredte emfysemblærer og noen bronkiektasier.

    Selv om pasienten var tidligere røyker og høyoppløsnings-CT viste beskjedne tegn til emfysemblærer og bronkiektasier, taler normale lungefunksjonsundersøkelser imot betydelig lungeparenkym- eller luftveissykdom som årsak til såpass uttalt hypoksemi. Idiopatisk eller familiær pulmonal arteriell hypertensjon og pulmonal arteriell hypertensjon assosiert med bindevevssykdommer kan gi hypoksemi, men det vil da forventes reduksjon i diffusjonskapasiteten (1). Lungeemboli ble utelukket med CT av lungearterier og ventilasjons-perfusjons-skanning. Cyanotisk hjertefeil er en differensialdiagnose som man kunne avklare med ultralydundersøkelse av hjertet.

    Pasienten ble henvist fra lokalsykehus til lungeavdelingen ved St. Olavs hospital. På grunn av uavklarte funn ved ultralyd av hjertet utført ved lokalsykehus ble det henvist til fornyet ultralydundersøkelse som viste venstre ventrikkel med normale dimensjoner og funksjon. Høyre hjertehalvdel var hyperdynamisk og dilatert. Det var stor lekkasje over trikuspidalklaffen og noe mindre over pulmonalklaffen. Det var tegn til økt trykk i høyre atrium, og det ble estimert et moderat forhøyet systolisk lungearterietrykk på 50 mm Hg.

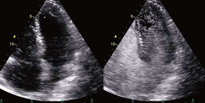
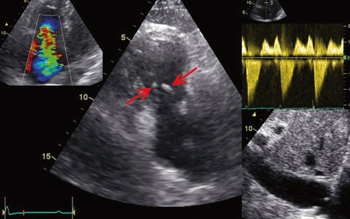
    Siden hypoksemien kunne være utrykk for at blodet ble shuntet fra venøst til systemisk kretsløp, ble det injisert agitert saltvannsoppløsning (luftmikrobobler) i perifer vene. Umiddelbar påvisning av «kontrast» i venstre atrium antydet at det var en stor kontrastpassasje på forkammernivå (fig 1). En slik shunting av venøst blod til venstre hjertekammer kunne forklare pasientens hypoksemi og tungpust. For å kartlegge årsaksforholdene nærmere ble det utført transøsofageal ekkokardiografi da denne metoden gir høyere bildeoppløsning. Undersøkelsen avdekket et åpent (patent) foramen ovale (fig 2).

    Hyppigheten av åpent foramen ovale i normalbefolkningen er 25 – 30 % (2, 3). Ved normale trykkforhold i hjertet vil åpent foramen ovale ikke medføre betydelig grad av shunting av venøst blod (4). Vår pasient hadde flere ekkokardiografiske tegn på trykk-volum-belastning av høyre hjertehalvdel: venestuving, dilatert v. cava, V-bølge, bukende atrieseptum og høye antegrade hastigheter over trikuspidalostiet. Derfor ønsket man bedre visualisering av trikuspidalklaffen.

    I en noe uortodoks projeksjon fremkom det at trikuspidalinsuffiensen var stor (grad 3 – 4/4). Trikuspidalklaffens seil var fortykket, korte og lite mobile. Klaffeseilene sto i halvåpen posisjon i systolen når de skulle være lukket. De påviste forandringene i trikuspidalapparatet ga mistanke om karsinoid hjertesykdom. Ved å plassere ultralydhodet under kostalbuen kunne leveren visualiseres. Leveren var inhomogen med multiple ekkotette lesjoner, slik at mistanken om karsinoid sykdom ble ytterligere forsterket (fig 3).

    Karsinoide avleiringer på trikuspidalseilene hadde medført progredierende trikuspidalinsuffisiens. Dette førte videre til økt trykk i atriet med stor shunting av blod gjennom det åpenstående foramen ovale. Pulmonalklaffen, aortaklaffen og mitralklaffen hadde kun mindre insuffisienser, uten tegn til karsinoide forandringer. Karsinoide tumorer kan produsere en rekke ulike substanser, bl.a. serotonin som er sentralt i patogenesen ved karsinoid hjertesykdom. Serotonin aktiverer myofibroblaster som lager karakteristiske kollagenavleiringer i hjertets klaffeapparat (5, 6). Da serotonin inaktiveres i pulmonalkretsløpet, rammes hyppigst det høyresidige klaffeapparatet, og trikuspidalklaffen affiseres hyppigere enn pulmonalklaffen. Affeksjon av det venstresidige klaffeapparatet er mer sjeldent, og er assosiert med åpent foramen ovale, bronkial karsinoid eller utbredt metastasering (6, 7).

    Diagnosen karsinoid sykdom ble bekreftet med CT abdomen, skyhøye serotoninmetabolitter i urin, 5-hydroksyindoleddiksyre (U-5-HIAA) 1 400 µmol/l, kraftig forhøyet kromogranin-A (s-CgA 367 nmol/l) og oktreotid tumorscintigrafi. CT abdomen viste lever gjennomsatt av karrike svulster. Oktreotid tumorscintigrafi viste somatostatinreseptorpositiv tumor i tynntarm. De vanligste karsinoide symptomer som rødming, diaré, bronkospasme og labilt blodtrykk var ikke fremtredende hos denne pasienten. Pasienten hadde imidlertid hatt diarétendens over lengre tid, og av og til hatt episoder med varmefølelse i ansiktet.

    Det ble startet opp med syntetisk somatostatinanalog (sandostatin LAR). Preoperativ koronarangiografi viste noe uventet moderat uttalt trekarssykdom. Pasienten ble akseptert for kombinert hjertekirurgisk inngrep med implantasjon av biologisk trikuspidalventil og aortokoronar bypass, samt suturering av åpent foramen ovale. Det postoperative forløpet var ukomplisert og pasientens hypoksemi og dyspnésymptomer bedret seg raskt. Kort tid etter det hjertekirurgiske inngrepet var pasienten i vesentlig bedre form enn forut for inngrepet, og ca. fire måneder senere ble det utført reseksjon av karsinoid tumor i distale ileum. Pasienten er nå i god form og det er videre planlagt leverembolisering og eventuell kjemoterapi senere.

    Diskusjon

    Diskusjon

    I en studie basert på Kreftregisteret, som Hauso og medarbeidere nylig har presentert, er insidensen av nevroendokrine svulster i Norge 3 – 4/100 000/år (8). Ca. 50 % av pasienter med karsinoid syndrom utvikler karsinoid hjertesykdom. Høye nivåer av U-5-HIAA, kardial affeksjon og spesielt høyresidig hjertesvikt er assosiert med dårlig prognose (6, 7). Moderne behandling (inkludert hjertekirurgi) har bedret prognosen betydelig ved karsinoid hjertesykdom. I et materiale fra Mayo-klinikken er det observert økt median overlevelse fra 1,5 år til 7,1 år i løpet av siste to tiår (9). Det er uvanlig at diagnosen karsinoid syndrom stilles på bakgrunn av hypoksemiutredning og funn ved ultralydundersøkelse av hjertet. Ved erkjent karsinoid syndrom er derimot kombinasjonen karsinoid hjertesykdom og shunt gjennom åpent foramen ovale relativt hyppig omtalt i litteraturen. I en prospektiv studie av 54 pasienter med karsinoid hjertesykdom fikk hele 41 % påvist åpent foramen ovale, noe som var signifikant høyere forekomst enn i kontrollgruppen (10). Kombinasjonen karsinoid hjertesykdom og åpent foramen ovale er assosiert med dårlig prognose bl.a. pga. fare for utvikling av venstresidig hjertesykdom. Det anbefales lukking av symptomgivende åpent foramen ovale i denne populasjonen. Derfor vil vi anbefale at det undersøkes om pasienter med karsinoid hjertesykdom har et åpent foramen ovale. Samtidig vil vi minne om at karsinoid hjertesykdom er en differensialdiagnose ved høyresidig hjertesvikt og at åpent foramen ovale kan gi hypoksemi ved samtidig volumbelastning av høyre atrium.

    Utredning og behandling stilte krav til samarbeid og god koordinering på tvers av spesialistgrensene. Vår pasient hadde åpenbar nytte av vurdering av flere subspesialister innenfor indremedisin, kirurgi og onkologi, med til dels høyspesialisert kompetanse. Likevel var utgangspunktet en vanlig problemstilling – dyspné – og helhetstenkning og bred utredning var nødvendig for å komme frem til riktig diagnose.

    Pasienten har gitt samtykke til at artikkelen blir publisert.

    Oppgitte interessekonflikter:

    Ingen

    Kommentarer  ( 0 )
    PDF
    Skriv ut

    Anbefalte artikler