En 61 år gammel mann med isjias

    ()

    sporsmal_grey_rgb
    Abstract

    A 61-year-old man was admitted to our department with radicular back-pain and progressive gait-difficulties. On examination he had flaccid paraparesis and bladder-retention. He subsequently developed palsy of n. oculomotorius, dysarthria, right-sided Bells palsy and weakness of his right arm over a 4-week period. He became disoriented and died without a diagnosis. MRI of the brain and columna were negative. Extensive search for malignancies yielded negative results. Cytology specimens were inconclusive and repeated liquor-examinations showed very low glucose levels, mild pleocytosis, elevated protein. Autopsy revealed a small adenocarcinoma of the lung and meningeal carcinomatosis originating from the adenocarcinoma.

    Artikkel

    En 61 år gammel mann utviklet radierende ryggsmerter, deretter gangvansker. Han ble innlagt med paraparese og blæreparese. Under oppholdet fikk han i tillegg blant annet oculomotorius- og facialisparese, dysartri og parese i en arm. Han døde uten diagnose.

    Pasienten var noen år tidligere blitt utredet for gynekomasti, underhudsblødninger og hemoptyse. Man fant ingen spesifikk årsak til den økte blødningstendensen. Han var tidligere røyker, hadde i perioder hatt høyt alkoholforbruk og opplyste om residiverende veneriske sår og sykdommer. Nylig hadde han fått påvist lungefibrose og var i den sammenheng blitt prednisolonbehandlet de siste åtte uker.

    Pasienten ble innlagt via legevakt i nevrologisk avdeling med diagnosen høyresidig L4-isjias. Han hadde fire uker tidligere fått nakkesmerter, som etter to-tre dager hadde flyttet seg til korsryggen og så strålte ut til knehase. Paralgin forte, klorpromazin og diklofenak hadde hatt bra smertedempende effekt. Ifølge innleggelsesskrivet hadde han fått gradvis sviktende kraft i høyre bein og hadde måttet bruke krykker de tre siste dager. Pasienten anga god matlyst og stabil vekt. Han benektet vannlatingsplager.

    Ved innkomst i nevrologisk avdeling var han i bra allmenntilstand, men hadde lett anstrengelsesdyspné. Man fant gynekomasti og flere blå flekker på huden. Han hadde slapp, generell paraparese av moderat grad proksimalt og mer uttalt distalt. Det var en sannsynlig sensorisk tverrsnittsgrense i nivå Th11/Th12. Han hadde generell arefleksi, bortsett fra venstre patellarrefleks, som så vidt var utløsbar. Det ble målt 800 ml resturin.

    Alarmsymptomer ved isjias er progredierende lammelser i beina og forstyrret vannlatings-, avførings- og seksualfunksjon. MR-undersøkelse for å fremstille medulla, nerver og ev. tumorer må utføres som øyeblikkelig hjelp. Nevrokirurgisk dekomprimerende behandling er også øyeblikkelig hjelp.

    Symptomene hos vår pasient – subakutt innsettende gangvansker ledsaget av radierende smerter, generell slapp paraparese og blæreparese – gir sterk mistanke om trykk på cauda equina. Urinkontinens styres via sympatiske nerver fra nivå Th10-L2 og somatiske nerver fra nivå S2-S4. Miksjonen styres via parasympatiske nerver fra nivå S2-S4. Den sensoriske tverrsnittsgrensen indikerer patologisk tilstand i området til conus medullaris. Hos denne pasienten var det inkonsistens mellom anamnese og funn – han benektet vannlatingsbesvær, men hadde resturin på 800 ml. Dermed var det spesielt viktig med en meget nøye nevrologisk status for å påvise ikke-erkjente multifokale nevrologiske funn.

    MR medulla uten kontrast dagen etter viste bare lette degenerative forandringer i torakalcolumna (fig 1).

    Når det ikke er tegn til strukturelle patologiske forhold ved raskt progredierende slapp paraparese, må infeksiøse og inflammatoriske tilstander mistenkes. Den mest nærliggende diagnose er akutt inflammatorisk demyeliniserende polyradikulonevropati, bedre kjent som Guillain-Barrés syndrom. Forhøyet nivå av totalprotein i cerebrospinalvæsken med relativt normalt celletall vil understøtte denne diagnosen. Mange hvite celler vil derimot indikere annen inflammatorisk eller infeksiøs tilstand.

    Ved spinalpunksjon var det normalt trykk. Det var lett forhøyet celletall (pleocytose) på 28 · 10⁶/l. Væsken var svakt gul, og totalproteinnivået var betydelig forhøyet – til 1,8 g/l. Glukosenivået var ikke målbart lavt, mens serum-glukosenivået var 7,5 mmol/l. Det ble gjort PCR-undersøkelser av cerebrospinalvæsken med tanke på tuberkelbakterier og en rekke virus. Pga. den lave glukosekonsentrasjonen ble pasienten behandlet med ceftriakson (Rocephalin) på mistanke om bakteriell spinal meningitt.

    Svært lave glukoseverdier i cerebrospinalvæske kan ses ved bakterielle meningitter og soppmeningitter, men også ved malignitet, nevrosarkoidose og nevrosyfilis. Imidlertid må man også være oppmerksom på feilmålinger.

    Vi fikk demonstrert CT thorax som nylig var tatt (fig 2), men det viste kun tegn til lungefibrose og ga ikke holdepunkter for verken sarkoidose eller tuberkulose.

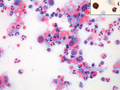
    Paraparesen progredierte. Få dager etter innkomst var pasienten rullestolavhengig. Nevrografifunn fire dager etter innkomst var forenlig med sensorimotorisk polynevropati. Ceftriaksondosen ble økt fra 2 g til 4 g daglig, og pasienten fikk 30 g immunglobulin intravenøst daglig i fem dager med tanke på nevroinflammatorisk tilstand. Han ble spinalpunktert på ny. Proteinnivået hadde steget til 2,34 g/l. Celletallet var nå 12 · 10⁶/l. Glukosenivået var fremdeles ikke målbart. Direkte mikroskopi viste enkelte store, atypiske celler. Cytologisk prøve av cerebrospinalvæsken viste mye degenerasjon og celler som var vanskelig å tolke.

    Dag seks fikk pasienten høyresidig perifer facialisparese. Cerebral MR viste bare vanlige aldersforandringer, ingen patologisk tilstand med relevans for de aktuelle kliniske symptomer og funn. Pasienten ble malignitetsutredet med CT thorax, abdomen og bekken. Bronkialskylling og sternalmargsaspirasjon ble gjort. På CT-bilder av abdomen ble det bemerket noe fyldige binyrer, men for øvrig var malignitetsutredningen komplett negativ.

    PET eller PET-CT kan være nyttige diagnostiske verktøy ved mistanke om kreft uten kjent primærtumor. Vi burde kanskje ha undersøkt muligheten for å ha fått vår pasient utredet med dette.

    Pasienten ble stadig mer trett og sliten. Fra dag ni var han stort sett sengeliggende. Dag 11 ble prednisolon seponert. Fire dager senere ble han tiltakende tungpustet, desorientert og forvirret og fikk frostrier. D-dimer var > 4 mg/l. CT thorax kunne ikke bekrefte lungeemboli, men viste et pneumonisk infiltrat på høyre side.

    Samme kveld ble det plutselig umulig å få kontakt med pasienten, og han kastet opp. Han ble raskt sett på av vakthavende lege, som fant Glasgow Coma Scale (GCS) på 4, generell arefleksi og anisokori. Høyre pupill ble gradvis dilatert over få minutter. Den andre pupillen var ikke dilatert, men venstre øye devierte nedad og lateralt. CT caput ga holdepunkter for hjerneødem.

    Synkende bevissthetsgrad og ensidig pupilldilatasjon representerer truende hjerneherniering inntil ev. noe annet er positivt bekreftet. Dette er en absolutt øyeblikkelig hjelp-situasjon. Ved ekspansive prosesser temporalt kan den mediale delen av temporallappen (uncus) presses ned gjennom den såkalte tentoriumsslissen. Pupilldilatasjonen skyldes direkte trykk på n. oculomotorius (tredje hjernenerve). Ved stor risiko for herniering er lumbalpunksjon kontraindisert. Typisk for lesjon av tredje hjernenerve er pareser i alle ekstraokulære muskler bortsett fra m. rectus superior og m. obliquus superior. I nøytral stilling vil derfor det affiserte øyet se «ned og ut». Parasympatiske fibre som går til m. sphincter pupillae, som forsnevrer pupillen, følger n. oculomotorius på utsiden og klemmes så å si alltid av når tredje hjernenerve blir komprimert.

    En knapp time etter bevissthetstapet var pupillene egale, og pasienten hadde GCS-nivå på 11. Antibiotikabehandlingen ble intensivert. Han ble igjen satt på høydose steroider, og med tanke på herpesinfeksjon fikk han aciklovir. Dagen etter ble han dekket med tre tuberkulostatika. Pasienten var fremdeles uklar. Han hadde dysartri og lettgradig slapp parese i venstre overekstremitet. Ved ny spinalpunksjon var trykket 25,5 cm vannsøyle.

    Til tross for multiple antibiotika trodde vi etter dette at den mest sannsynlige diagnosen var malign sykdom. Da det ikke var påviselige svulster på MR av nevroaksen, kunne det kanskje dreie seg om spredning av kreft til hjernehinnene (leptomeningeal metastasering). Positiv cytologisk prøve av cerebrospinalvæsken ville kunne bekrefte dette. Med begrepet «leptomeningeal» menes de myke hjernehinnene arachnoidea og pia mater. Forverring av pasientens tilstand etter seponering av steroider kunne passe med en slik tilstand. Dersom cytologiske og radiologiske undersøkelser ikke gir avklaring, kan isoelektrisk fokusering og måling av IgG-indeks i cerebrospinalvæske bidra til å skille mellom malignitet og infeksjon. Ved isoelektrisk fokusering sammenliknes IgG-bånd fra cerebrospinalvæske og fra serum. Dersom det er IgG-bånd i cerebrospinalvæsken som ikke gjenfinnes i serum, tyder det på intratekal IgG-produksjon. IgG-indeks ((IgG i cerebrospinalvæske/IgG i serum)/(albumin i cerebrospinalvæske/albumin i serum)) > 0,7 indikerer også intratekal produksjon av IgG. Intratekal IgG-syntese taler mer i retning av infeksjon. MR med gadolinium vil ofte vise oppladning i dura og arachnoidea ved leptomeningeale metastaser. I enkelte tilfeller kan durabiopsi bli nødvendig.

    Kommuniserende hydrocephalus er vanlig ved metastasering til hjernehinnene, sannsynligvis pga. sammenlodninger av det subaraknoidale rommet (araknoiditt) og viskøs cerebrospinalvæske på grunn av høyt proteininnhold.

    Cytologisk prøve av cerebrospinalvæske (fig 3) viste inflammatoriske celler, nekrose og atypiske celler. Immunhistokjemisk analyse av støpt celleblokk av cerebrospinalvæske viste pancytokeratinpositive atypiske celler, forenlig med epitelliknende celler. Således ble mistanken om malignitet styrket i retning av karsinom, men man kunne fremdeles ikke utelukke infeksjon.

    Isoelektrisk fokusering var negativ. En durabiopsi ble sett på som siste diagnostiske utvei, men ble ikke ansett som indisert pga. pasientens alvorlige tilstand. Nevrokirurger ønsket heller ikke å anlegge shunt pga. mistanken om malignitet.

    Bronkialutstryk avgitt dag 20 viste moderat atypiske celler, mulig plateepitel. Histologisk undersøkelse ble anbefalt, og han ble bronkoskopert for andre gang dag 21. Det var usikkert funn grunnet uegnet materiale. Svar på enda en dyrking og PCR, tatt dag 17 av Tbc i spinalvæske, var negativ. Toxoplasma gondii-PCR, nevronantistoff, anti-MAG og GM1 var alle negative.

    Dag 21 fikk pasienten på nytt en høyresidig dilatert lysstiv pupill og redusert bevissthet. CT caput ga holdepunkter for økende hjerneødem. Tuberkulostatika ble seponert dag 24. Pasienten ble gradvis mer redusert og fikk palliativ behandling. Han døde dag 32 uten diagnose.

    Pasienten hadde initialt et spinalt syndrom, men sykdommen affiserte etter hvert hele nevroaksen. Til tross for klare nevrologiske utfall og funn var radiologisk utredning negativ. Autopsi var nødvendig.

    Makroskopisk obduksjon viste arraktig fibrose i høyre lunge (fig 4a). I undersøkelse av ryggmarg, og spesielt cauda equina, var det upåfallende funn (fig 5a) og det ble gjort en kartografisk undersøkelse for detaljert histologisk kartlegging.

    Først ved grundig histologisk undersøkelse fant man et lavt differensiert adenokarsinom i høyre lunge, forenlig med et bronkioalveolært karsinom (fig 5a) med diffus metastatisk meningeal karsinomatose i form av mikroskopisk spredning til spinale og cerebrale nerverøtter (fig 4b) og arachnoidea. Som bifunn fant man metastase til binyre. Immunhistokjemisk undersøkelse viste samme profil for tumorceller i lunge og sentralnervesystemet.

    Diskusjon

    Diskusjon

    Leptomeningeal metastasering forekommer hos om lag 5 % av kreftpasienter i autopsistudier (1). De vanligste forårsakende solide tumorer er brystkreft, lungekreft og melanom, men også lymfomer og leukemier kan danne svulster i meningene (1) – (4). Adenokarsinom er den vanligste histologitypen ved meningeal karsinomatose, men også småcellet lungekreft forekommer hyppig (1) – (3). De maligne cellene kan spres til cerebrospinalvæsken på flere måter – det kan være hematogen spredning til araknoidalkar eller (antakelig mindre vanlig) plexus choroideus eller direkte innvekst fra skjelett- og hjernemetastaser.

    Multifokale funn fra sentralnervesystemet er et kjennetegn ved leptomeningeal metastasering. Cerebrospinalvæskevolumet er om lag 150 ml, og per døgn produseres det rundt 500 ml, noe som medfører et stort spredningspotensial når cerebrospinalvæskerommet først er nådd av maligne celler. Dette forklarer multifokalitet av symptomer og funn som kan utvikles over kort tid. Ved kjent primærtumor og multifokale nevrologiske utfall må man mistenke leptomeningeal metastasering. Utredningen bør da være MR med kontrast av de symptomatiske områdene før spinalpunksjon for ikke å få iatrogen oppladning på MR som følge av spinalpunksjonen (3). Ved kjent primærtumor og åpenbare funn på MR kan spinalpunksjon utelates (3). Ved manglende primærtumor, men multifokale nevrologiske utfall uten annen kjent årsak må leptomeningeal metastasering være en differensialdiagnose. Her bør det gjøres både MR og spinalpunksjon. Sistnevnte bør ved negativt funn gjentas minst to ganger, og det bør tas minst 10 ml væske for å øke sensitiviteten betraktelig (3, 5). Lavt glukosenivå i cerebrospinalvæske er et typisk funn. Øvrige vanlige funn ved spinalpunksjon er åpningstrykk > 16 cm H₂O, mild pleocytose, forhøyet proteinnivå, og ved malignt melanom kan det foreligge xantokromi (3) (tab 1).

    Ved negativ cytologisk prøve kan måling av tumormarkører være diagnostisk nyttig. En høyere konsentrasjon av tumormarkører i cerebrospinalvæske enn i serum gir sterk mistanke om leptomeningeal metastasering. Både spesifikke (f.eks. MART-1 og MAGE-3 ved malignt melanom) og uspesifikke (f.eks. LDH-isoenzymer) tumormarkører kan benyttes. Selv om diagnosen leptomeningeal metastasering kan være svært vanskelig å stille når det ikke er kjent kreftsykdom, er det uvanlig at gjentatte radiologiske og cytologiske undersøkelser ikke gir diagnosen, slik tilfellet var hos vår pasient.

    Oppgitte interessekonflikter:

    Ingen

    Kommentarer  ( 0 )
    PDF
    Skriv ut

    Anbefalte artikler