En mann med erytrodermi, muskelsvakhet og vekttap

    ()

    sporsmal_grey_rgb
    Abstract

    A man in his late fifties was treated with acitretin for psoriasis. The treatment was discontined when liver enzymes started to increase. He subsequently developed erythrodermia, weakness of proximal muscle groups, heliotrope rash, Gottron’s papules and elevation of creatine kinase to more than 9000 U/L. However, histological examination of a muscle biopsy displayed neuropathic atrophy and only a few scattered necrotic fibers. Alpha 1 foetoprotein was substantially elevated (1600 kU/L) and computed tomography showed two hepatic tumors, lytic lesions in the spine and in the ninth rib. Although no chronic liver disease could be documented, the patient was found to have a hepatocellular carcinoma which presented as dermatomyositis and erythrodermia.

    Artikkel

    En mann med psoriasis utviklet forhøyet nivå av lever- og muskelenzymer, proksimal muskelsvakhet, erytrodermi og nedsatt allmenntilstand. Histologisk undersøkelse av muskelbiopsi viste imidlertid ingen sikre tegn på polymyositt eller dermatomyositt.

    En mann i slutten av 50-årene hadde hatt psoriasis og keratosis palmoplantaris i mange år. Han hadde i flere år blitt behandlet med acitretinkapsler (Neotigason 25–50 mg daglig) og det ble ved rutinekontroll påvist stigning av leverenzymer. Serumkonsentrasjonen av γGT steg i løpet av to år fra 100 U/l (normalt 15–115 U/l) til 300 U/l. Ved kontroll om høsten to år senere var γGT steget til 559 U/l. Han utviklet i løpet av denne høsten erytrodermi og smerter i ledd.

    Pasientens hudlege antok at økningen av γGT skyldtes acitretin, som ofte er levertoksisk (1). Behandlingen med acitretin ble derfor avsluttet. I tillegg ble det ved lokalsykehuset utført MR- og CT-undersøkelse av lever, der man fant normale forhold bortsett fra to større områder tolket som hemangiomer i høyre leverlapp. Det ble anbefalt fra lokalsykehuset at MR-undersøkelsen skulle gjentas om et år.

    Etter seponeringen av acitretin økte det rødflammede utslettet både i intensitet og utbredelse. Utover høsten merket pasienten også stadig feber rundt 38 °C og han følte seg allment syk. Senere tilkom smerter i flere store ledd, og kraften avtok i armer og bein. Han merket spesielt at det ble tyngre å gå i trapper. Pasienten ble derfor innlagt til utredning ved Hudavdelingen ved Rikshospitalet. Det kom da frem at pasienten hadde hatt et vekttap på 10 kg de siste to månedene. Ved innleggelsen ble det påvist periorbitalt ødem med heliotropt erytem, Gottrons papler over de fleste fingerknoker (mellomledd (PIP) og grunnledd ( MCP)) og teleangiektasier i neglesengene. På lår, nedre del av abdomen, øvre del av rygg og i halsutskjæringen fant man dermatittforandringer og enkelte erosive forandringer (fig 1). I håndflatene ble det iakttatt hyperkeratose. Blodtrykket var 96/78 mm Hg. Analyser av blod viste følgende: SR 69 mm/t, CRP 32 mg/l (normalt < 4), ASAT 487 U/l (normalt 15–45), ALAT 110 U/l (normalt 10–70), LD 563 U/l (normalt 105–205), ALP 188 U/l (normalt 35–105), µGT 559 U/l (normalt 15–115), kreatinin 148 µmol/l (normalt 60–105), glomerulær filtrasjonsrate (GFR) 42 ml/min/1,73m², serum-albumin 30 g/l (normalt 36–45), natrium 126 mmol/l (normalt 137–145), kalsium 2,13 mmol/l (normalt 2,15–2,51), kreatinkinase (CK) 9 222 U/l (normalt < 270). Urinstiks viste 3+ på protein. Protein-kreatinin-ratio i urin var 62 g/mmol (normalt < 30). Antinukleære antistoffer ble ikke påvist, heller ikke myosittspesifikke autoantistoffer (anti-Mi-2, anti-Ku, anti-Pm/Scl, anti-Jo-1, anti-PL12 og anti-PL-7). Hudbiopsi viste hud med fokal hyperkeratose, epidermal atrofi og lichenoid betennelse forenlig med dermatomyositt. Immunnedslag ble ikke påvist (anti-hud-IF-negativ). MR-undersøkelse av lår viste uttalte signalforandringer i muskulatur og subkutant vev forenlig med ødem. Bakteriologisk undersøkelse fra hudkruste ga oppvekst av gule stafylokokker.

    Klinisk forelå det en erytrodermi, og funnet av Gottrons papler, V-tegn (erytematøst utslett på fremre thorax omkring halsutringningen), teleangiektasier, heliotropt utslett, nedsatt allmenntilstand, kraftsvikt i proksimal muskulatur, svelgproblemer og forhøyede muskelenzymer tydet sterkt på dermatomyositt. Signalforandringene i muskulatur (ødem) påvist ved MR var også forenlig med betennelsesaktig muskelsykdom. Pasienten ble derfor overflyttet til revmatologisk avdeling for videre utredning og behandling. Det ble her påvist nedsatt kraft i proksimal ekstremitetsmuskulatur, som forsterket mistanken om inflammatorisk muskelsykdom. Man fant det lite sannsynlig at utvikling av en slik sykdom kunne settes i sammenheng med tidligere acitretinbehandling. Manifestasjoner som erytrodermi og begynnende nyresvikt kunne ikke forklares ut fra diagnosen dermatomyositt. Det relativt langtrukne forløpet talte imot rabdomyolyse.

    Man mente at årsaken til den reduserte nyrefunksjonen mest sannsynlig var en kombinasjon av dehydrering og bruk av angiotensin II-antagonisten irbesartan. Dette hadde gitt hypotensjon og prerenal nyresvikt. Man valgte derfor å øke væsketilførselen og seponere irbesartan. Det ga raskt normalisering av nyrefunksjonen.

    Som ledd i den videre utredningen av pasientens muskelidelse ble det tatt biopsi fra musculus vastus lateralis. Denne viste tverrstripet muskulatur med nevrogen atrofi, noen få spredte nekrotiske fibre og fokal økt oppregulering av MHC-1 (Major Histocompatibility Complex klasse 1). Det ble ikke sett perifascikulær atrofi eller inflammatoriske celler. Det histologiske bildet ga altså ingen sikre holdepunkter for dermatomyositt. Det var derfor behov for ytterligere utredning av pasienten.

    De stafylokokkinfiserte hudlesjonene ble behandlet med dikloksacillin 500 mg fire ganger daglig, og for å bedre allmenntilstanden ble det startet behandling med intravenøs metylprednisolon (Solu-Medrol) 1 000 mg. Dagen etter var allmenntilstanden bedret og hudlesjonene noe avbleket. Verdiene for CK falt de neste tre dagene fra 9 222 U/l til 2 246 U/l .

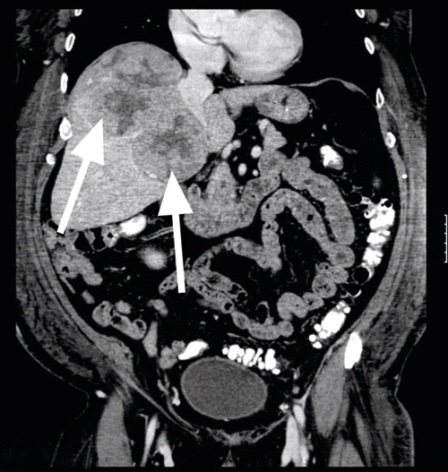
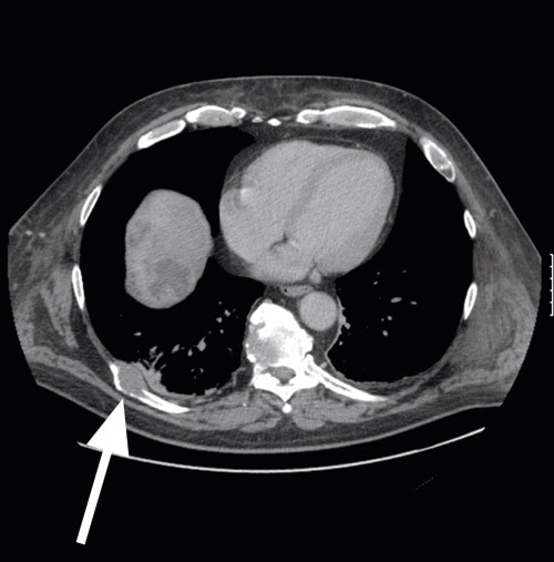
    Pasienten ble så vurdert av øre-nese-hals-lege, som ikke fant tegn til malign sykdom i munnhule, hals eller svelg. Undersøkelse av perifert blod viste uttalt lymfopeni, men ellers normal mikroskopi og immunofenotyping. Undersøkelse av beinmarg viste kun uttalt lymfopeni, og ved immunofenotyping ble det ikke funnet patologiske forhold. CT-undersøkelse av abdomen viste imidlertid en stor tumor i høyre leverlapp (diameter 143 x 168 x 150 mm) og en liten tumor i venstre leverlapp (diameter 7 x 14 x 10 mm) (fig 2). CT-undersøkelse av thorax viste utstansede lesjoner i de tre første lumbalvirvlene forenlig med skjelettmetastaser. Baktil i høyre niende ribbein ble det påvist en destruerende tumoroppfylning som ekspanderte og infiltrerte åttende interkostalrom (fig 3). Alfaføtoprotein (AFP) var sterkt forhøyet (1 440 kU/l og steg senere til 1 600 kU/l)(normalt < 14).

    Funnene av leversvulster sammen med metastaser til virvler og ribbein samt sterkt forhøyet alfa-1-føtoprotein var nærmest diagnostisk for hepatocellulært karsinom. Pasienten ble vurdert inoperabel både med hensyn til tumorreseksjon og levertransplantasjon.

    Diskusjon

    Diskusjon

    Pasienten hadde hatt psoriasis i flere år. Han responderte godt på acitretin, som imidlertid måtte seponeres på grunn av stigende nivå av leverenzymer. Leverenzymverdiene fortsatte imidlertid å stige etter seponeringen. Ved CT-undersøkelse av leveren ved lokalsykehus fant man to lesjoner i høyre leverlapp som ble tolket som hemangiomer. Med tid utviklet pasienten symptomer og funn som i sterk grad tydet på inflammatorisk muskelsykdom, og da spesielt dermatomyositt. Histologisk forelå det imidlertid ingen sikre tegn på en slik sykdom. Det ble derfor vurdert at det kliniske bildet av dermatomyositt kunne være ledd i en malign sykdom. Videre utredning viste at pasienten hadde hepatocellulært karsinom.

    Dermatomyositt hos voksne er en velkjent paraneoplastisk tilstand (1). Oftest diagnostiseres kreftsykdom i tidsrommet fire år før til fire år etter start av muskelsykdommen (2). Hos pasienter med dermatomyositt ses malign sykdom 2–4 ganger hyppigere enn hva som forventes i denne aldersgruppen (1). De kreftformer som ses i sammenheng med dermatomyositt er de samme som utvikles i samme aldersklasse i befolkningen generelt, kanskje med overvekt av ovarialkreft (3). Alle pasienter med nyoppstått dermatomyositt etter 40-årsalderen bør derfor undersøkes med tanke på kreftsykdom.

    Hepatocellulært karsinom er den vanligste primære formen for leverkreft og ses ofte i sammenheng med levercirrhose (3). Vår pasient hadde imidlertid ingen forhistorie med leversykdom. Pasienten hadde økte verdier av leverenzymer, sterkt forhøyet alfa-1-føtoprotein, lytiske forandringer i ribbein og ryggvirvler samt to typiske leversvulster påvist ved CT. Man mente derfor at leverbiopsi ikke var nødvendig for å bekrefte diagnosen.

    Det skal imidlertid bemerkes at pasienten var tidligere undersøkt med CT og MR av lever, men funnet ble den gang oppfattet som hemangiomer. Dette viser at den radiologiske diagnostikken ved denne type svulster kan være vanskelig og at radiologiske funn bør sammenholdes med kliniske funn. At leverenzymverdien fortsatte å stige etter seponeringen av acitretin, burde nok ha ført til ytterligere utredning på et tidligere tidspunkt. En bedre kommunikasjon mellom radiolog og kliniker ville kunne ha avslørt at hemangiomer i lever ikke kunne forklare de kliniske og laboratoriemessige funnene.

    Vi synes pasientens historie illustrerer dermatomyositt som en paraneoplastisk tilstand. Pasienter med systemiske bindevevssykdommer har ofte manifestasjoner fra både hud, bevegelsesapparatet og indre organer. Det er derfor svært viktig å ha et nært og godt samarbeid på tvers av medisinske spesialiteter i omsorgen for disse pasientene. Et tett samarbeid ville kunne sikre ensartede prosedyrer for utredning, diagnostikk og behandling av slike sjeldne tilstander. Man bør også vurdere om omsorgen for denne type sykdommer kan bedres ytterligere hvis den tas hånd om av avdelinger som innehar tilstrekkelig erfaring og kompetanse.

    Pasienten har gitt samtykke til at artikkelen blir publisert.

    Oppgitte interessekonflikter:

    Ingen

    Kommentarer  ( 0 )
    PDF
    Skriv ut

    Anbefalte artikler