67 år gammel mann med parestesier i høyre arm

    ()

    sporsmal_grey_rgb
    Abstract

    A 63-year-old man was admitted to the emergency room with chest pain. He had experienced a painful, tingling sensation in the right arm for the last three months, as well as pain in the right scapula. ECG and standard blood samples were normal. An X-ray of the thorax showed a mass in the superior sulcus on the right side. Further investigation with CT and MRI identified a large tumour, about 6 cm in size, with infiltrative growth involving the upper costae. Biopsy revealed a non-small cell carcinoma of the lung. The patient underwent a tri-modal treatment regimen with induction chemotherapy (two courses of cisplatin and etopside) and concominant radiotherapy (50Gy in 2Gy fractions) before a right upper lobectomy was performed. 1 year after surgery the patient is alive, with no signs of recurrent or metastatic disease. Pancoast tumours are an infrequent subtype of lung cancers. Diagnostic delay is not uncommon. The peripheral location of the tumour generates symptoms that may easily be attributed to other causes, such as those of a musculoskeletal origin. Pre-operative chemo-radiotherapy has showed improved survival outcomes compared to pre-operative radiotherapy alone.

    Artikkel

    Skuldersmerter og parestesier i armen kan skyldes alt fra ufarlige og forbigående tilstander til mer alvorlige sykdommer. En avventende holdning kan ha prognostisk betydning for pasienten.

    En 67 år gammel mann ble innlagt i lokalsykehus grunnet smerter i thorax. Han hadde i over 20 år periodevis hatt smerter i brystveggen, uavhengig av aktivitetsnivå. Disse episodene var vanligvis av et par timers varighet, men var blitt hyppigere og av sterkere intensitet. Han var i fullt arbeid, men hadde tidvis vært sykmeldt grunnet depresjon. Han var normalvektig, brukte ingen faste medisiner og hadde vært dagligrøyker fra 20-årsalderen.

    De foregående tre månedene hadde han hatt en prikkende, stikkende følelse i høyre arm samt smerter i skulderbladet. Han beskrev dette som «tusen knivstikk i armen». Symptomene hadde ikke tidligere vært utredet. Av journalførende lege ble parestesiene beskrevet til å innbefatte hele armen, uten sensibilitetstap eller kraftsvekkelse. EKG og infarktmarkører var upåfallende.

    Listen over differensialdiagnoser ved arm- og skuldersmerter er lang, og inkluderer thoraxapertursyndrom (thoracic outlet syndrome). Ved utgangen av brysthulen, mellom øverste ribbein og kragebeinet (thoracic outlet), er det mulighet for kompresjon av nerver (plexus brachialis) og kar. Forklaringen er i mange tilfeller at scalenusmuskulaturen er blitt unormalt stram, ofte pga. innflammasjonstilstander i skulderen eller nakkeskade. Andre årsaker kan være kragebeinsfraktur, ribbeanomalier og dislokasjon av caput humeri. De vanligste symptomene ved thoraxapertursyndrom er smerter, nummenhet, prikking og tyngdefølelse i den involverte armen. Symptomene er ofte vage og generaliserte, og det er ubehag i hele armen. Det kan også være nakkesmerter og hodepine (1).

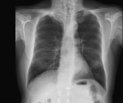
    Røntgen thorax (fig 1) tatt rutinemessig ved innkomst viste en oppfylling i høyre lungetopp. CT collum/thorax/abdomen avdekket en ca. 6 cm stor svulst apikalt i høyre lunge (fig 2a, b). Det var ingen tegn til patologisk forstørrede lymfeknuter eller andre svulster. Bildene viste i tillegg emfysemforandringer og et stort abdominalt aortaaneurisme.

    Oppfyllinger apikalt i thorax kan representere primærsvulster utgående fra lunge, pleura, thyreoidea eller larynx. Andre årsaker kan være infeksjoner, metastaser, myelomatose, lymfom, aneurisme i a. subclavia og amyloidose i pleura (2).

    Pasienten ble bronkoskopert – uten patologiske funn. Det ble ikke funnet maligne celler ved børstecytologi. Han ble henvist til videre utredning ved Oslo universitetssykehus, Rikshospitalet, hvor CT-veiledet finnålsaspirasjonscytologi viste maligne celler forenlig med ikke-småcellet karsinom. CT thorax viste mulig infiltrasjon interkostalt ved de tre øverste ribbeina, men uten sikker skjelettdestruksjon. MR cervikotorakalcolumna viste at svulsten lå an mot de øverste tre torakale virvler, uten beinaffeksjon, men det ble påvist innvekst i tilgrensende costa.

    Pasienten hadde altså lungekreft. Svulsten betegnes som Pancoasts tumor pga. beliggenhet i lungetoppen, med innvekst i brystvegg. Perifer beliggenhet bidrar til at bronkoskopi gir positiv cytologi kun i 10–20 % av tilfellene (3). En Pancoast-svulst er derimot lett tilgjengelig for perkutane transtorakale nålebiopsier, med en suksessrate på opp mot 95 % (2).

    Pancoasts syndrom er en betegnelse på en rekke symptomer assosiert med Pancoast-svulster og inkluderer smerter i skulder og arm, Horners syndrom og svakhet og atrofi i håndmuskulaturen (2). Pancoast-svulstens perifere lokalisasjon gjør at pasienten sjelden har symptomer som hoste, hemoptyse og dyspné.

    Ved slike svulster er skuldersmerter ofte det presenterende symptom, forårsaket av innvekst i plexus brachialis, lungepleura og/eller de øverste ribbeina på affisert side. Pasienten kan ha utstrålende smerter til hode, nakke, aksille eller fremre brystvegg og, som hos vår pasient, til skulder og arm. Affeksjon av C8-rot og nedre del av plexus brachialis kan gi nedsatt kraft i armen, mens smerter svarende til ulnare segment i underarm og hånd tyder på affeksjon av T1-roten (4). Dersom tumor affiserer de sympatiske nervebanene, kan pasienten utvikle Horners syndrom, med unilateral miose, ptose og nedsatt perspirasjon (anhydrose). Dette er blitt rapportert hos opptil 50 % av dem med Pancoasts syndrom (2). Hos et mindre antall kan man også se affeksjon av n. phrenicus eller n. recurrens. Noen utvikler også v. cava superior-syndrom, som innebærer kompresjon av v. cava med symptomer som dyspné, ødem i ansikt, hals og overekstremiteter samt økte kartegninger. MR-undersøkelse er CT-undersøkelse overlegen ved vurdering av involvering av tilliggende bløtvevsstrukturer og bør derfor inkluderes i utredningen (5).

    Pasienten fikk strålebehandling (fig 3) i form av 25 sesjoner à 2 Gy daglig med kurativt siktemål. I løpet av disse fem ukene fikk han også to kurer kjemoterapi (cisplatin og etopsid – PV-kur). Første kur ble gitt ved start av strålebehandlingen, andre kur tre uker senere. På grunn av nøytropen feber etter første kur ble kjemoterapidosen ved andre kur redusert med 25 %. Etter behandlingen var smertene i høyre skulder og arm borte.

    Flere studier viser at pasienter med Pancoast-svulster som får kurativt rettet multimodalt regime med strålebehandling, kjemoterapi og kirurgi har markant bedre overlevelse enn dem som kun får strålebehandling og kirurgi (6). Hos vår pasient ble to kurer platinabasert kjemoterapi gitt i kombinasjon med strålebehandling, i samsvar med en amerikansk multisenterstudie der det ble rapportert om en femårsoverlevelse på 44 % (7).

    Fire uker etter avsluttet behandling ble pasienten reinnlagt til operativ behandling med kurativ intensjon. Ny MR collum/thorax viste fortsatt sannsynlig innvekst i 2. og 3. høyre costa samt mulig tumoraffeksjon av Th 2. Det var ikke tegn til affeksjon av plexus brachialis. CT viste at tumor hadde skrumpet (fig 2c, d). Det ble også utført PET-CT (fig 4). Denne var uegnet til vurdering av lokale forhold pga. pasientens nylig gjennomgåtte strålebehandling, men viste ingen tegn til viabelt tumorvev i thoraxveggen eller malignitet andre steder i kroppen. Basert på PET-CT-funnene ble pasienten etter tverrfaglig vurdering bedømt som operabel, og det ble gjennomført lobektomi av høyre overlapp.

    For å kunne vurdere operabiliteten på et best mulig grunnlag bør evaluering etter kjemoradioterapi inkludere både CT og MR thorax, og helst også PET-CT-undersøkelse, som har vist høyere sensitivitet og spesifisitet enn CT-undersøkelse ved stadieinndeling og deteksjon av ekstrakraniale fjernmetastaser hos pasienter med lungekreft av ikke-småcellet type (8). Dersom pasienten er operabel, bør inngrepet foretas innen fire uker. Om operasjon ikke er aktuelt, anbefales videreføring av stråleterapi til 66 Gy, ev. i kombinasjon med ytterligere en PV-kur. Ved lokal progrediering eller fjernmetastaser bør annen kjemoterapi eller palliativ bestråling av metastasene vurderes.

    Tumor ble peroperativt klassifisert som T1N0M0, stadieinndelingen var således ikke i samsvar med preoperativ MR-beskrivelse. Det ble utført glandeltoalett subkarinalt samt mot oesophagus. Histologisk undersøkelse viste at det forelå et mucinøst adenokarsinom (ikke-småcellet) uten fri reseksjonsrand mot pleura. Det ble ikke påvist tumorceller i noen av 11 uttatte lymfeknuter. Postoperativt oppsto det komplikasjoner i form av pneumothorax, med vedvarende luftlekkasje i thoraxdren. Dette medførte fire ukers drenbehandling.

    Ved kontroll to måneder postoperativt hadde pasienten hatt et vekttap på i overkant av 20 % siden behandlingsstart. Han hadde høyt CRP-nivå og stigende SR. CT thorax viste væskelokulament med luftbobler apikalt i høyre lunge. Han var fremdeles sliten etter behandlingen og ønsket ikke noe nytt kirurgisk inngrep. Bredspektret antibiotikabehandling ble igangsatt, hvorpå han kom seg fint, med normalisering av infeksjonsvariablene.

    Ved kontroll ni måneder etter operasjonen ble det utført CT thorax og caput på bakgrunn av thoraxsmerter og hodepine. CT caput var negativ, CT thorax viste en brem apikalt på høyre side, som mest sannsynlig representerte arrforandringer etter operasjonen. Pasienten kontrolleres foreløpig hver tredje måned ved lokalsykehusets onkologiske poliklinikk.

    Diskusjon

    Diskusjon

    Maligne svulster i lungetoppen har fått sitt eponym etter den amerikanske radiologen Henry Pancoast (1875–1939), som i 1932 publiserte en studie med sju slike pasienter (9). Historisk har disse svulstene vært assosiert med svært dårlig prognose, og de var lenge ansett som inoperable. Pancoast-svulster utgjør under 5 % av alle lungekrefttilfeller (3) og er nesten alltid av ikke-småcellet type (2).

    På grunn av beliggenheten kan disse svulstene være vanskelig å oppdage ved konvensjonell røntgenundersøkelse. Det ses ofte kun apikal pleurafortykkelse med asymmetri av lungetoppene. Fordi skuldersmerter er et av de mest typiske symptomene, blir mange initialt behandlet for antatte muskel-skjelett-plager, og symptomene kan vedvare i måneder før videre utredning igangsettes. Forsinket diagnose bidrar til at de fleste av disse svulstene oppdages i et avansert stadium – noe som har konsekvenser for overlevelsen (2). I et materiale fra Attar og medarbeidere var median overlevelse ved T3-sykdom 36,8 måneder, 6,4 måneder ved T4-sykdom (10).

    Pancoast-svulster bør utredes grundig før oppstart av multimodal behandling, da slik kurativt rettet terapi forutsetter lokalisert sykdom. Den hyppigste lokalisasjon ved fjernmetastaser er hjernen, og hjernemetastaser forekommer hos opptil 40 % under eller etter gjennomgått behandling (11). Utredningen bør derfor inkludere MR caput i tillegg til MR-undersøkelse av tumorområdet både før og etter kjemoradioterapi for preoperativ vurdering av tumorutbredelse.

    Behandling av lungekreft representerer en utfordring, idet man knapt har sett bedret overlevelse de siste 40 årene, til tross for bedre diagnostikk, mer avanserte kirurgiske teknikker og strålebehandling. Pancoast-svulster kan ubehandlet gi et stort smerteproblem pga. lokal innvekst i nerver og andre strukturer. Det er derfor grunn til å behandle aggressivt, selv der kun pallativ behandling er indisert. Dersom man ikke oppnår tilfredsstillende smertelindring med multimodal eller konvensjonell palliativ behandling, kan cervikal kordotomi vurderes (12).

    Studier publisert i 1960-årene påviste en viss bedring i resultater hos Pancoast-pasienter som fikk strålebehandling etterfulgt av kirurgisk reseksjon (13). De siste årene har flere rapporter pekt på at cellegiftbehandling gitt sammen med strålebehandling før operasjon øker sannsynligheten for komplett patologisk respons og bedret overlevelse uten uakseptable bivirkninger (6). Man kan dermed ha mulighet for kurasjon på tross av avansert sykdom.

    Det er i regi av Norsk lungekreftgruppe planlagt en fase 2-studie som tilsvarer behandlingsopplegget denne pasienten mottok. Selv om det gjenstår flere spørsmål når det gjelder stråledosering, cellegifttype og -dosering, vil implementering av multimodal behandling i Norge forhåpentlig bidra til bedret overlevelse for denne pasientgruppen.

    Pasienten har gitt samtykke til at artikkelen blir publisert.

    Oppgitte interessekonflikter:

    Ingen

    Kommentarer  ( 0 )
    PDF
    Skriv ut

    Anbefalte artikler