Background.
Infections in the female pelvis can present clinically in various ways and the causing agent can be difficult to trace. In this paper we present updated knowledge about infections caused by the bacterium Actinomycosis in relation to intrauterine device use.
Material and methods.
The article is based on own clinical experience and literature identified through a non-systematic search in PubMed.
Results.
Actinomycosis in the female pelvis is a rare disease and the pathogenesis is still obscure. The incidence in Scandinavia has not been established. The infection can cause tumor-like structures resulting in bowel and urinary obstruction. The bacteria can be difficult to detect. Preferably the agent should be demonstrated in a specimen from the infected area to ensure the correct diagnosis. However, Actinomyces is a normal inhabitant of the gastrointestinal tract and is also present in 5 % of cervical smears from healthy women. The optimal treatment of actinomycosis is long-term treatment with penicillin, alone or in addition to surgery.
Interpretation.
To avoid unnecessary and potentially difficult surgical procedures, actinomycosis should be a differential diagnosis when women with a longstanding intrauterine device develop signs of infection in addition to a pelvic mass. Intrauterine devices should be replaced every fifth year and should be removed at menopause.
Actinomyces er en anaerobisk, grampositiv, filamentøs, ikke-syrefast bakterie med lavgradig patogenisitet som koloniserer slimhinnene i munnhulen og det meste av gastrointestinaltractus. Den penetrerer ikke intakte slimhinner.
I 1877 påviste den tyske patologen Otto Bollinger (1843 – 1909) Actinomyces bovis hos ku. Året etter oppdaget den tyske kirurgen James Israel (1848 – 1926) den samme bakterien i humant vev og kalte den Actinomyces israelii (A israelii) (1). Ved skader i mucosa kan bakterien invadere og gi sykdom, oftest som del av en blandingsinfeksjon. Det er stor variasjon fra land til land i generell insidens av sykdomsutvikling (1/40 000 i Nederland), og sykdomshyppigheten er tre til fire ganger større hos menn enn hos kvinner (2). Abdominal aktinomykose kan oppstå etter abdominal kirurgi, oftest i forbindelse med appendisitt eller divertikulitt (2). Før antibiotikabehandling var tilgjengelig var perforert appendisitt den hyppigste årsaken til abdominal aktinomykose, og tilstanden var på den tiden som oftest dødelig (3). Før 1972 var det rapportert 260 tilfeller av abdominal infeksjon sannsynligvis forårsaket av A israelii, de fleste hos menn (4).
Genitale infeksjoner ble første gang beskrevet i 1926, og man antok da at A israelii kom fra tarmtractus intraabdominalt (5). I 1967 beskrev Brenner A israelii i genitaliene hos en kvinne med spiral i uterus (6). Etter denne tid har det vært overvekt av kvinner med uterin spiral i de rapporterte materialene (7). Vi ønsker med denne oversiktsartikkelen å bidra til økt kunnskap om Actinomyces i relasjon til bruk av intrauterin spiral.
Materiale og metode
Artikkelen er basert på et ikke-systematisk litteratursøk i PubMed. Vi har gått gjennom de relevante og tilgjengelige artiklene fra dette søket samt utvalgte artikler fra referansene. I vår avdeling har vi behandlet fire kvinner med ulikt klinisk bilde av aktinomykose i bekkenet i løpet av de siste åtte år. Alle hadde hatt spiral innlagt i mer enn fem år. Dette har bidratt til vår kunnskap omkring utredning og diagnostisering av tilstanden.
Epidemiologi
A israelii finnes spredt over hele verden, med store variasjoner i sykdomsinsidens (2). Brown anga i 1973 at insidensen av sykdom forårsaket av bakterien i urbane strøk i var 5/100 000, og at den var ti ganger høyere i rurale områder (8). Insidensen av aktinomykose i bekkenet er usikker. I en stor screeningstudie fra 1982 i USA der 69 925 kvinner ble undersøkt med cytologisk prøve fra cervix, påviste man Actinomyces hos 16 % av spiralbrukerne. Bakterien ble ikke funnet hos noen av dem som ikke brukte spiral (9). I India fant Nayar og medarbeidere at Actinomyces kunne påvises i 2,8 % av alle cervixutstryk fra 350 kvinner med intrauterin spiral. Immunfluorescensteknikk ble brukt for å bekrefte funnene (10). Persson & Holmberg fant i 1984, også ved hjelp av denne teknikken, at A israelii kunne påvises i cytologisk prøve hos 5,9 % av symptomfrie svenske kvinner med spiral (11). I 1987 publiserte Persson i en studie at han hadde funnet A iraelii i cervixutstryk hos 5 % av svenske kvinner, med eller uten spiral (12).
Det er således store variasjoner i de rapporterte tallene. Ettersom påvisningsmetodene varierer i spesifisitet, kan dette forklare noe av variasjonen. Til tross for at Actinomyces kan påvises i cervix, er den en sjelden årsak til bekkeninfeksjon. Vi har ikke funnet noen tall på forekomst av bekkeninfeksjon forårsaket av A israelii i Skandinavia. En slik studie har tidligere vært etterlyst (13). I vår avdeling har vi, med et befolkningsgrunnlag på 150 000 personer, i en åtteårsperiode behandlet fire pasienter med A israelii-infeksjon i bekkenet. Alle fire hadde hatt spiral innsatt lenge, i mer enn fem år.
Uterin spiral og aktinomykose i bekkenet
Kolonisering med A israelii er en forutsetning for at bakterien skal forårsake bekkeninfeksjon, men kolonisering fører ikke nødvendigvis til sykdom. Påvisning av A israelii i cervix er dermed ikke diagnostisk for genital aktinomykose, idet bakterien er en del av normalfloraen. Det er ikke vist at spiralen må fjernes eller at kvinnen må behandles med antibiotika hvis bakterien blir påvist der det ikke er sykdom (7, 14). Vi har funnet bare én kasuistikk fra etter 1972 der en kvinne som aldri hadde brukt spiral, utviklet bekkeninfeksjon der Actinomyces ble påvist (15). Hvorfor noen kvinner utvikler sykdom, er fortsatt uklart. I mange studier er det imidlertid dokumentert at det er økt risiko for sykdomsutvikling når spiralen har sittet inne i mer enn fem år (9, 16, 17). Kun i én studie konkluderes det med at spiralbruk ikke gir økt risiko for bekkeninfeksjon (11). Man har etter hvert antatt at disse infeksjonene er ascenderende og oppstår ved at bakterien når vagina fra perineum eller som en følge av orogenital kontakt (4, 14, 18, 19). Alle studier om relasjonen A israelii og spiral har dreid seg om plastspiraler og kopperspiraler, vi har ikke funnet noen der hormonspiral har vært involvert og evaluert.
Symptomer og klinisk bilde
Klinisk arter bekkeinfeksjonen seg som en suppurativ granulomatøs betennelse, og ofte er det multiple abscesser. Infeksjonen kan også domineres av fibroseutvikling, som kan omfatte alle bekkenorganene. Dette kan føre til stenosering av tarm og urinveier. Fisteldanning i bindevev og muskulatur forekommer, i tillegg til hematogen spredning av infeksjonen til andre organer. Pasientene har som regel feber, magesmerter, vekttap, utflod og funn forenlig med infeksjon i blodprøver. Tilstanden utvikler seg over tid, med gradvis forverring. Carcioembryonalt antigen (Ca-125) er oftest normalt, men kan hos noen være lett forhøyet. Ved klinisk undersøkelse er det tumorforandringer, cystiske eller faste, i det lille bekken, og funnene kan ofte være mer uttalte enn symptomene skulle tilsi (7, 13, 14).
Kliniske differensialdiagnoser kan være appendisittisk infiltrat, divertikulitt, kolorektal kreft, Crohns sykdom med fisteldanning eller kreft utgått fra kvinnelige genitalia. Aktinomykose er beskrevet som en sykdom som til forveksling kan se ut som en malign tumor ved bildediagnostiske undersøkelse hos enkelte av pasientene, særlig i de tilfellene der den fibrøse komponenten av sykdomsbildet dominerer.
Påvisning av bakterien
Det finnes i alt fem ulike typer Actinomyces, men A israelii er den varianten som vanligvis forårsaker sykdom hos mennesker. Bakterien kan være vanskelig å påvise, og mange forfattere hevder at diagnosen vanligvis derfor først kan stilles etter operativ behandling (2, 14, 20).
Pusset inneholder makroskopisk synlige granula, som representerer kolonier av Actinomyces. Disse er beskrevet som typiske, men er ikke patognomoniske. De finnes bare i 50 % av tilfellene og kan også påvises ved andre typer agens, som Nocardia, stafylokokker og Aspergillus (17). Finnålsbiopsi fra abscess eller tumor kan, ved histologisk undersøkelse, vise kolonier av Actinomyces med forgrening av filamenter (gramfarging) og stavliknende strukturer som stråler ut fra periferien av granula (hematoksylin-eosin-farging) (13). Påvisningen av Actinomycetes i cytologisk prøve fra cervix er uspesifikk. Petitti og medarbeidere gjorde i 1983 en studie der ulike patologer konkluderte forskjellig ved undersøkelse av de samme preparater (21). Dersom Actinomyces-strukturer observeres i et histologisk preparat, kan immunfluorescens (fluoresceinisotiocyanatmerket antiserum) tilsettes. Dette sies å være den mest spesifikke og sensitive metoden for påvisning (17, 22).
Dyrking med påvisning av kultur er vanskelig. Veksten kan ta fem til sju dager, og identifikasjon kan kreve to til fire uker etter at det er konstatert vekst. Dyrking krever anaerobt miljø ved 37 °C. Metronidazol tilsettes mediet fordi Actinomyces er langsomtvoksende, man hindrer da andre anaerobe mikrober i å ta over (23). Dyrking gir likevel færre positive funn enn cytologiske prøver der immunfluorescensteknikk har vært anvendt (22).
Det er ikke utviklet tilgjengelige serologiske tester for påvisning av antistoff mot A israelii, men Persson & Holmberg har publisert to studier der dette ble forsøkt (24, 25). I praksis synes histologisk undersøkelse av finnålsaspirat fra tumor- eller betennelsesforandringer og MR-undersøkelse av bekkenet å være de mest egnede diagnostiske prosedyrer.
Bildediagnostikk
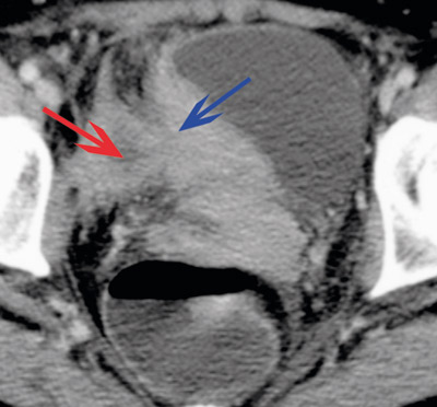
At A israelii gir en granulomatøs, suppurativ betennelse med fibrosedanning, gjenspeiles i bildediagnostiske undersøkelser. Et typisk funn er tykkveggede, cystiske tumorer med dårlig avgrensning til omkringliggende vev. De kan til forveksling likne maligne prosesser (fig 1, fig 2).
Ved computertomografisk (CT) undersøkelse dominerer som oftest solid vev, som har inhomogen kontrastoppladning i 80 % av tilfellene, med innslag av lavere tetthet eller tykkveggede cyster. Ved magnetisk resonanstomografi (MR) ses tilsvarende solid vev med innslag av flytende innhold. Signalet i de solide komponentene varierer med grad av fibrose, ved uttalt fibrose er det lavere T2-signal enn forventet ved maligne prosesser (som vanligvis inneholder mer væske) (26).
A israelii produserer proteolytiske enzymer som gir tendens til betydelig lokal infiltrasjon, som ved CT- og MR-undersøkelser ses som utvisking av normale barrierer og infiltrasjon i omliggende vev (27). Bakteriens størrelse forhindrer lymfespredning, og forstørrede lymfeknuter ses derfor sjelden (27).
Behandling
Kirurgisk inngrep kan være risikofylt på grunn av uttalte fibrøse adheranser og utbredte vevsskader, noe som lett fører til skader på tarm og urinveier peroperativt. Medikamentell behandling er derfor den optimale behandlingsform, kanskje med unntak av de tilfeller der det foreligger større abscesser som bør dreneres (2, 13, 17, 18, 20, 28). Medisinsk behandling er nødvendig for å fjerne bakterien og hindre tilbakefall. Penicillin G er førstevalg, i doser på opptil 6 – 12 g i døgnet de første 4 – 6 uker, etterfulgt av penicillin V 2 – 4 g/døgn eller amoksicillin i 6 – 12 måneder.
Tetrasykliner og erytromycin er adekvate alternativer, f.eks. ved penicillinallergi.
Diskusjon
A israelii penetrerer slimhinnen der denne er skadet, og det er betingelsen for at sykdom oppstår. En skade av uterinslimhinnen kan skje ved spiralinnsettingen. Det at bakterien er lavvirulent kan forklare at den kan være til stede i uterinvegg eller bekken i lengre tid uten sykdomsutvikling. I 1992 ble det i Tidsskriftet beskrevet et tilfelle av abdominal aktinomykose med abscessdanning ti år etter appendektomi (29).
Patogenesen er imidlertid fortsatt uklar. Det er usikkert hva som leder fra kolonisering til sykdom, og uklart hvorfor infeksjonen arter seg så ulikt, fra diffus betennelsesreaksjon til abscessdanninger og fibrøse tumorer. Fiorino publiserte i 1996 et arbeid der han gikk gjennom alle tilgjengelige artikler om kirurgisk behandlede kvinner med A israelii-infeksjoner i bekkenet, i alt 92 tilfeller. Alle hadde hatt sist innsatte spiral i mer enn fem år (gjennomsnitt åtte år). Diagnosen ble stilt preoperativt i bare 17 % av tilfellene, og da ved enten finnålsaspirasjon eller drenering av abscessinnhold. Én pasient fikk diagnosen på klinisk grunnlag uten at det lyktes å påvise bakterien. I 44 tilfeller ble uterus fjernet sammen med adneks, 16 kvinner fikk utført tarmreseksjon, to måtte få fjernet urinblæren i tillegg. Tre av pasientene døde. Det ene dødsfallet skjedde i 1926, før antibiotika var tilgjengelig. Han konkluderer med at det om mulig er viktig å unngå operativ behandling, på grunn av vanskelige operative forhold med stor komplikasjonsrisiko (14). Nozawa og medarbeidere publiserte i 2007 en kasuistikk der en kvinne med store abscesser og tarmstenoserende tumoraktige forandringer i bekkenet ble behandlet konservativt med penicillin – med helt tilfredsstillende resultat. Diagnosen var stilt på bakgrunn av infeksjonstegn, det faktum at hun hadde hatt intrauterin spiral inne lenge (15 år), CT-undersøkelse og påvisning av Actinomyces i cervixutstryk (uten immunfluorescens) (18).
Påvisning av bakterien ved dyrking er betraktet som svært krevende, og dette er en metode med lav sensitivitet (22). Påvisning av Actinomyces i cytologisk prøve fra cervix hos kvinner med bekkeninfeksjon har i mange rapporter vært betraktet som tilfredsstillende grunnlag for diagnosen, sammen med kliniske funn og effekt av penicillinbehandling (18). De fleste er likevel enige om at det optimale diagnosegrunnlaget er påvisning av bakterien i infeksjonsområdet: uterinvegg, abscess/tumorvev eller i fistelgang. Diagnosen stilles likevel i praksis sjelden før kirurgisk behandling (2, 20, 28). Det fremgår ikke av de kasuistikkene vi har gjennomgått hvorvidt man mislyktes med å påvise bakterien preoperativt eller om man ikke hadde overveid aktinomykose som preoperativ diagnose.
At diagnosen er så vanskelig å stille, kan vel også kanskje føre til underdiagnostisering. Ettersom spiral er en utbredt prevensjonsmetode i Skandinavia, kan man ikke utelukke at insidensen i våre land kan være høyere enn i land der man anvender andre prevensjonsmidler.
Konklusjon
Aktinomykose i bekkenet hos kvinner har en varierende og uspesifikk klinisk presentasjon. Det er en sjelden sykdom, men den bør være differensialdiagnose der kvinner med spiral som har ligget inne i lang tid utvikler infeksjonstegn og bekkentumor. Slik kan man unngå unødvendig og potensielt mutilerende kirurgi. Påvisning av bakterien kan være vanskelig. Behandling er penicillin intravenøst i ca. fire uker, etterfulgt av peroralt penicillin i minst seks måneder, eventuelt med tillegg av kirurgi der det foreligger store abscesser som bør dreneres. Det synes indisert å bytte spiral etter anbefalt brukstid, fem år, og å fjerne den hos kvinner med sikker menopause. Påvisning av A israelii i cervix hos en kvinne uten sykdomstegn er ikke indikasjon for å fjerne spiral eller å gi antibiotikabehandling.
Oppgitte interessekonflikter:
Ingen
Tabell
| Hovedbudskap |
|
- 1.
Dhom G. Geshichte des Histopathologie. Berlin: Springer, 2001.
- 3.
Berard R. Abdominal actinomycosis. Surg Gynecol Obstet 1979; 49: 257 – 66.
- 4.
Henderson S. Pelvic actinomycosis associated with an intrauterine device. Obstet Gynecol 1973; 41: 726 – 32. [PubMed]
- 6.
Brenner R, Gehring S. Pelvic actinomycosis in the prescence of an endocervical contraceptiv device. Obstet Gynecol 1967; 29: 71 – 3.
- 7.
Lippes J. Pelvic actinomycosis: a review and preliminary look at prevalence. Am J Obstet Gynecol 1999; 180: 265 – 9. [PubMed]
- 10.
Nayar M, Chandra M, Chitraratha K et al. Incidence of actinomycetes infection women using intrauterine contraceptive devices. Acta Cytol 1985; 29: 111 – 6. [CrossRef]
- 11.
Persson E, Holmberg K. A longitudinal study of Actinimyces israelii in the female genital tract. Acta Obstet Gynecol Scand 1984; 63: 207 – 16. [PubMed]
- 12.
Persson E. Genital actinomycosis and actinomyces israelii in the female genital tract. Adv Contracept 1987; 3: 115 – 23. [PubMed]
- 13.
Pedersen B, Petersen I, Hansen B. Genital actinomycosis – diagnose og behandling. Ugeskr Læger 2004; 166: 472 – 5. [PubMed]
- 15.
Petrone L, Sivalingam J, Vaccaro A. Actinomycosis – an unusual case of an uncommon disease. Am Board Fam Pract 1999; 12: 158 – 61. [PubMed]
- 16.
Curtis E, Pine L. Actinomyces in the vaginas of women with and without intrauterine contraceptive device. Am J Obstet Gynecol 1981; 140: 880 – 4. [PubMed]
- 17.
Evans D. Actinomyces israelii in the female genital tract: a review. Genitourin Med 1993; 69: 54 – 9. [PubMed]
- 20.
Marella V, Hakiman O, Wise G et al. Pelvic actinimycosis, urologic perspective. Int Braz J Urol 2004; 30: 367 – 76. [PubMed]
- 22.
Leslie D, Garland S. Comparison of immunofluorescence and culture for the detection of Actinomyces israelii in wearers of intra-uterine contraceptive devices. J Med Microbiol 1991; 35: 224 – 8. [PubMed]
- 23.
Traynor R, Parrat D, Duguid H et al. Isolation of actinomycetes from cervical specimens. J Clin Pathol 1981; 34: 914 – 6. [PubMed]
- 25.
Persson E, Holmberg K. Study of precipitation reactions to Actinimyces israelii antigens in uterine secretions. J Clin Pathol 1985; 38: 99 – 102. [PubMed]
- 26.
Hawnaur J, Reynolds K, McGettigan C. Magnetic resonance imaging of actinomycosis presenting as pelvic malignancy. Br J Radiol 1999; 72: 1006 – 11. [PubMed]
- 28.
Hamid D, Baldauf J, Cuenin C et al. Treatment strategy for pelvic actinomycosis: case report and review of the literature. Eur J Gynaecol Oncol 2000; 89: 197 – 200.
- 29.
Moosmayer S. Abdominal aktinomykose. Tidsskr Nor Lægeforen 1992; 112: 2857 – 8.