Kribling bak øyelokket

    ()

    sporsmal_grey_rgb
    Artikkel

    En ung nigeriansk kvinne som hadde oppholdt seg i Norge i ett år, ble henvist til medisinsk poliklinikk på grunn av tilbakevendende kribling bak øyelokket. Kvinnen oppga å ha sett en orm på innsiden av det øvre øyelokket. Hun hadde ingen kløe andre steder på kroppen. Allmenntilstanden var god. Det var verken glandelsvulst, hudforandringer eller funn ved inspeksjon av øynene eller innsiden av øyelokkene.

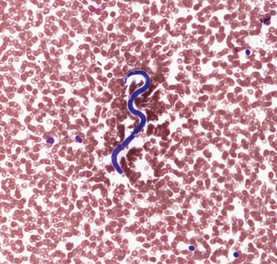
    Ved rutinemessige mikroskopering av blodutstryk fant vi kun eosinofili og hypokrome erytrocytter. Da sykehistorien ga mistanke om loa-loa, ble utstryket vurdert på nytt. Vi fant da en ormeformet parasitt med utseende forenlig med loa-loa-mikrofilarie. Filarieantistoffer (Smittskyddsinstitutet) kunne ikke påvises.

    Loa-loa tilhører rundormene, og er en nær slekting av Onchocerca volvulus, som forårsaker elveblindhet. Den forekommer hyppig i deler av Vest-Afrika. Larvene overføres til mennesker av dagbitende fluer. Voksne parasitter slipper ut mikrofilarier, som igjen tas opp av fluer ved blodsuging. Loa-loa-infeksjoner gir som oftest positiv antistoffreaksjon, men det kan også være negative serologiske funn, som hos vår pasient. Standardbehandlingen er dietylkarbamazin.

    Denne kasuistikken viser at man ved hjelp av en enkel undersøkelse som mikroskopi kan påvise patologiske forhold som ikke blir avdekket ved avanserte laboratorieundersøkelser. Kjennskap til sykehistorien øker sannsynligheten for positive funn. Årvåkenhet overfor tropesykdommer er viktig i et samfunn med økende migrasjon.

    Pasienten har gitt samtykke til at artikkelen blir publisert.

    Oppgitte interessekonflikter:

    Ingen

    Kommentarer  ( 0 )
    PDF
    Skriv ut

    Anbefalte artikler