Background.
Osteoarthritis is among the most common causes of functional disability and severe pain, and the prevalence of arthritic symptoms among adults is more than 50 %. The article discusses epidemiology, pathology and treatment options.
Material and methods.
The review is based on a non-systematic search in PubMed and the authors’ experience with treating this patient group.
Results.
Osteoarthritis is a degenerative disease which leads to loss of joint functioning. Symptoms usually present in the hip, hands and knees. Women are affected more often than men and the prevalence increases with increasing age. Some families have an increased prevalence of osteoarthritis, but the genetic etiology is not clear. Mechanic conditions such as overweight and heavy physical work explain some of the pathogenesis, but non-mechanical factors are probably involved as well. Loss of weight is likely to have a preventive effect, and surgical correction of mechanic conditions such as hip dysplasia and varus deformity can prevent development of osteoarthritis. Treatment of symptomatic osteoarthritis includes educating the patient and continues with stretching, physical exercise, weight reduction, technical aids (supporting braces, walking sticks) and analgesics. Subsequent options are treatment with paracetamol, NSAIDs and possibly opiates and finally insertion of an artificial joint. Many patients with disabling osteoarthritis function much better and have markedly less pain with an artificial joint.
Interpretation.
Current treatment options alleviate but do not cure arthritic symptoms; preventive actions should be instigated when possible. Treatment of osteoarthritis involves many medical specialties and treatment modalities.
Artrose er sykdom i et synovialt ledd. Det synoviale leddet er et organ bestående av leddbrusk, subkondralt bein og en leddkapsel, som på innsiden er kledd med synovialmembran og på utsiden er forsterket av ligamenter. Sykdommer som primært rammer én av komponentene i et ledd, vil etter hvert medføre sekundære forandringer i de øvrige (fig 1), og det utvikles en leddsvikt som gir pasienten smerter og nedsatt funksjon. Alle ledd kan rammes, men artrose er vanligst i hånd, hofte og kne. Det følgende er en oversikt over epidemiologiske og patologiske forhold, årsaksmekanismer, utredning og behandling.
Materiale og metode
Artikkelen er basert på ikke-systematiske litteratursøk i PubMed i tillegg til artikler fra forfatternes egne databaser, samlet gjennom flere års forskning.
Epidemiologi
Artrose er svært vanlig. I Ullensaker-undersøkelsen studerte man helseforhold hos et utvalg av normalbefolkningen i alderen 24 – 76 år. Hver åttende deltaker rapporterte at de hadde fått diagnosen artrose stilt av lege (1). I USA er det anslått at 45 % av befolkningen i løpet av livet utvikler symptomatisk kneartrose (2). I en nederlandsk undersøkelse fant man at i aldersgruppen 70 – 80 år hadde 10 – 20 % radiologiske tegn til artrose i hofte, 20 – 40 % artrose i kne og 60 – 80 % i hånd (3).
Mange forhold kan gi artrose. Der årsaken er kjent, kalles artrosen sekundær. De vanligste årsakene til sekundær artrose er skade, infeksjon, tumor, avaskulær beinvevsnekrose og barnehoftelidelsene dysplasi, Calvé-Legg-Perthes sykdom og epifysiolyse. Også ved primært inflammatoriske leddlidelser som revmatoid artritt og Bekhterevs sykdom kan leddforandringene sent i forløpet få fellestrekk med artrose. Oftest finner man imidlertid ingen åpenbar utløsende årsak til artrosen, og 70 – 80 % av norske pasienter som får innsatt kunstig hofte- eller kneledd, blir operert under diagnosen idiopatisk (primær) artrose (4).
Symptomer
Mange artrosepasienter forteller at plagene debuterte plutselig, kanskje i forbindelse med en ubetydelig skade. Vi vet ikke hvorfor symptomene kan komme så brått, siden alt tyder på at de underliggende patologiske forhold har utviklet seg gradvis og over lang tid. Brusk er uten nervefibre, og den direkte kilden til smerteopplevelsen er dårlig forstått (5). For de fleste artrosepasienter varierer graden av plager – for noen svinger plagene lenge rundt det samme nivået, for andre øker de til et invalidiserende nivå. Symptomer og tegn på artrose varierer fra ledd til ledd, men domineres av smerter, hevelse og tap av bevegelighet og kraft. I fingerledd og knær kan instabilitet og feilstilling bli plagsomt, og særlig i kneet kan pasienten oppleve krepitasjoner og opphakninger. Nattsmerter er typisk for uttalt hofteartrose, mens en person med kneartrose kan være smertefri om natten selv om vedkommende har invalidiserende plager ved forsøk på aktivitet. Morgenstivhet ved artrose varer, i motsetning til ved de revmatiske lidelsene, gjerne kortere tid enn 30 minutter (6).
Diagnostikk
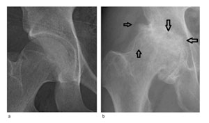
Diagnosen artrose stilles ved anamnese, klinisk undersøkelse og røntgenundersøkelse. Typiske funn på røntgenbilder er osteofytter, cyster og subkondral sklerose (fig 2). Den viktigste artroseindikatoren på vanlige røntgenbilder er avsmalning av leddspalten (7). På røntgenbilder kan man avdekke andre patologiske tilstander, f.eks. tumor og infeksjon. Dersom f.eks. rubor, hevelse eller allmennsymptomer gir mistanke om leddgikt eller krystallartritt, undersøkes leddvæsken med tanke på krystaller, og i serum måles inflammasjonsmarkører og revmatisk faktor. Røntgenundersøkelse er nødvendig for å bekrefte diagnosen artrose, men graden av røntgenforandringer sier lite om hvor mye plager pasienten har (8).
MR-undersøkelse kan utdype det patoanatomiske bildet, men hos dem som er over 50 år, er MR-undersøkelse ved kroniske knesmerter oftest uten klinisk betydning (9). Dersom det etter klinisk undersøkelse, røntgenundersøkelse og ev. blodprøver er et utypisk eller uavklart bilde, er MR-undersøkelse eller diagnostisk artroskopi aktuelt.
Patologiske tegn
Som andre typer bindevev består leddbrusken av en lav konsentrasjon celler (kondrocytter) innbakt i en stor mengde ekstracellulær matriks. Hovedkomponentene i den ekstracellulære matriksen er kollagen type 2 og aggrekan. Kollagenmolekylene danner nettverk av lange tråder orientert i hovedretningen for belastning. Kollagennettverket holdes utspent av aggrekan, som er et bruskunikt proteoglykan. Ved artrose domineres bruskmetabolismen av katabole prosesser med nedbrytning og tap av vevskomponenter. Tidlig i prosessen tapes aggrekan særlig i overflatenære områder. Etter hvert skades også kollagennettverket, og det karakteristiske histologiske bildet av overflatefibrillering etableres (fig 3).
Tidlig oppstår det også forandringer i det subkondrale beinet, som fortykkes gjennom økt beincelleaktivitet. Osteofytter er forbeinede bruskpåleiringer langs leddets randsone. De kan tolkes som en anabol prosess og et forsøk på å bevare leddfunksjonen selv om hyalinbrusken er patologisk/skadet (10).
Etiologi og risikofaktorer
Det er betydelig familiær opphopning av artrose, og tvillingstudier tyder på at 40 – 60 % av alle tilfeller av primær artrose kan forklares genetisk (11). Likevel har man ikke funnet ett enkelt gen som forklarer den alminnelige primære artrosen. Artrose er vesentlig hyppigere hos kvinner enn hos menn, og insidensen av leddproteseoperasjoner i hofte og kne er omtrent fordoblet hos kvinner (1).
Risikofaktorene for artrose varierer noe med lokalisasjonen: I kne og hofte øker risikoen med overvekt, tungt fysisk arbeid, feilstilling, redusert styrke i m. quadriceps femoris og tidligere skade. Idrettslige aktiviteter ser i liten grad ut til å føre til artrose så lenge man ikke skader seg (12). Også artrose i hånd er assosiert med overvekt (13). Mekaniske betraktninger alene forklarer ikke denne sammenhengen – heller ikke hvorfor det er mindre vanlig med artrose i ankel enn i hofte/kne eller hvorfor det er så store kjønnsforskjeller.
Man har spurt seg om det foreligger en genetisk samvariasjon mellom overvekt og generell artrose eller om biokjemiske eller hormonelle forhold kan knytte overvekt til håndartrose. Det er foreslått at artrose kan inngå i et metabolsk syndrom som også inkluderer overvekt, hypertensjon, dyslipidemi, diabetes og insulinresistens (14), men undersøkelser har i liten grad bekreftet hypotesen (15).
I 1960-årene observerte man at pasienter med lårhalsbrudd sjelden hadde artrose, og spekulerte på om artrose, i motsetning til osteoporose, var assosiert med høy beintetthet (16). Heller ikke for denne hypotesen er det funnet entydig støtte i kliniske undersøkelser (17). Røyking, D-vitaminstatus og østrogenbehandling har vært foreslått som risikofaktorer, men vesentlige sammenhenger er ikke påvist. Vi vet nå at både genetiske forhold og livsstilsforhold i stor grad bestemmer hvem som blir rammet av artrose. Det finnes gode forklaringsmodeller for de mekaniske årsaksfaktorene, men vi vet lite om årsakskjeden for de andre risikofaktorene, inkludert arv. Kunnskapen om risikofaktorer tyder på at forebyggende tiltak bør rettes mot overvekt og tungt fysisk arbeid, og det er viktig å korrigere mekaniske feilstillinger i skjelettet.
Behandling
Til tross for mye forskning er det ennå ikke funnet noen behandling som kan reversere leddforandringene ved etablert artrose (18). I erkjennelsen av at artroseterapi er en sammensatt utfordring, er det publisert europeiske anbefalinger for multidisiplinær håndtering av artrose i blant annet knær (19), hofter (20) og hender (21). Dette dreier seg i hovedsak om rådgivning, hjelpemidler, fysioterapi/trening, vektreduksjon, medikamentell behandling og kirurgi (fig 4) (22). Kostholdsråd og alternative behandlingsformer er studert i varierende grad, men noe av dette kan muligens gi smertelindring (23, 24).
Hjelpemidler og trening
Pasienter med kne- og hofteartrose har redusert muskelstyrke og bevegelighet i den affiserte ekstremiteten, noe som bidrar til nedsatt funksjon (25). I en Cochrane-gjennomgang fra 2008 (26) samt i anbefalinger fra Osteoarthritis Research Society International (27) er konklusjonen at øvelsesbehandling med vekt på styrketrening av underekstremiteten gir mindre smerte og bedre funksjon hos dem med kneartrose. Nasjonalt kunnskapssenter for helsetjenesten konkluderte i en rapport med at egeninnsats, spesifikke styrkeøvelser og tilgang på fysioterapi i oppfølgingen av treningen er sentrale faktorer for å oppnå effekt av treningstiltak for pasienter med kneartrose (28). Det har vist seg at muskelstyrketrening bedrer de biomekaniske forholdene i underekstremiteten under aktivitet (29). Muskulaturens evne til å generere nok kraft til riktig tid er viktig for å opprettholde leddstabiliteten under dagliglivets aktiviteter (30).
Det finnes færre studier av effekt av trening og øvelsesbehandling for pasienter med hofteartrose, men konklusjonen er så langt de samme som for kneartrose (24, 31). Videre vet vi ut fra klinisk erfaring at nettopp for mennesker med artrose er det et stort behov for individualiserte og tilpassede øvelser og aktiviteter ut fra de mål den enkelte har for dagliglivets funksjon. I tillegg bør vedkommende lære hvordan han/hun best kan tilpasse belastningen innenfor artrosesykdommens svingninger.
Flere typer av «artroseskoler» (pasientundervisning) har gitt smertereduksjon, bedre funksjon og høyere livskvalitet hos pasienter med kne- og hofteartrose (32). Informasjon om artrosens naturlige forløp og om belastning og trening er grunnleggende for behandlingen av disse pasientgruppene. Treningsoppstart kan medføre smerteøkning hos noen pasienter, men dette vil reduseres med tilpasset trening. Trening i grupper kan øke motivasjonen for å opprettholde aktiviteten over tid (22). Det har vist seg at hjelp-til-selvhjelp-prinsipper og aktiv pasienttilnærming har best effekt (27), og det finnes nå gode og kunnskapsbaserte artroseskoler i Norge (33, 34).
Trening, eventuelt med hjelp av artroseskole, er også viktig i arbeidet for å få ned kroppsvekten. Kontroll med overvekt er viktig for å redusere plager fra muskel- og skjelettsystemet (35), og en vektreduksjon på 5 % i løpet av 20 uker gir mindre smerte og bedret funksjon for pasienter med kneartrose (36).
Eldre kan få bedre funksjonsnivå ved bruk av stokk eller krykker. Ortose (støtteskinne) kan ha en viss effekt for kneartrose (37), men synes mindre effektivt i hånd (38).
Farmakologisk behandling
Vi mangler medikamenter som bremser eller reverserer bruskdegenerasjonen ved artrose. Medikamentell behandling handler derfor om symptomlindring, selv om bevisstheten om inflammatoriske prosesser også ved artrose gjør at immunmodulerende biologisk behandling prøves ut i kliniske studier (39).
Perorale ikke-steroide antiinflammatoriske midler (NSAID) og paracetamol gir effektiv, dog begrenset, smertelindring sammenliknet med placebo. NSAID-midler har muligens litt bedre smertestillende effekt, men på grunn av mindre bivirkninger anbefales paracetamol først, med tillegg av ikke-steroide antiinflammatoriske midler i kombinasjon når effekten av paracetamol (opptil 4 g daglig) er utilstrekkelig (40, 41). Paracetamol har lite bivirkninger i anbefalte doser, men Food and Drug Administration påpeker at 40 % av tilfellene av akutt leversvikt i USA skyldes utilsiktet overdosering av reseptfri paracetamol. De er særlig bekymret for preparater som kombinerer paracetamol med kodein (42).
Virkningen av NSAID-midler ved artrose anses som klasseeffekt, og det er lite som tyder på at ett bestemt preparat, eller selektive ikke-steroide antiinflammatoriske midler (koksiber), er spesielt effektivt (43). Effekt av NSAID-midler eller paracetamol bør tidligst evalueres etter 2 – 4 uker med kontinuerlig behandling. På grunn av mulige bivirkninger bør man over tid tilstrebe intermitterende bruk av ikke-steroide antiinflammatoriske midler og i lavest mulig dose (44) – kontinuerlig langtidsbruk bør unngås (45).
Spesiell bekymring ved bruk av ikke-steroide antiinflammatoriske midler vekker gastrointestinale, kardio- og cerebrovaskulære og renale bivirkninger, ikke minst fordi det i den aktuelle pasientgruppen ofte er mye komorbiditet. Risikoen for gastrointestinale bivirkninger kan reduseres ved å velge et koksib eller ved å kombinere et tradisjonelt NSAID-middel med en protonpumpehemmer (46). Protonpumpehemmer som behandling eller forebygging av NSAID-induserte gastroduodenalsår og/eller -erosjoner, samt ved dyspepsi hos pasienter som trenger kontinuerlig NSAID-behandling, berettiger forskrivning på blåresept. I en metaanalyse fant man at rofekoksib (nå avregistrert), diklofenak og indometacin ga økt risiko for kardiovaskulære komplikasjoner, mens celekoksib, naproksen, piroksikam og ibuprofen i anbefalte doser ikke medførte økt risiko (47). NSAID-midler som topiske preparater (krem eller salve) har i noen studier vist effekt. Lokal applikasjon gir færre gastrointestinale bivirkninger enn bruk av orale midler, men det kan oppstå hudirritasjon (48). Ved manglende effekt av paracetamol og ikke-steroide antiinflammatoriske midler kan man vurdere tillegg av kodein eller tramadol, men dette gir flere bivirkninger. Andre opiater bør forbeholdes spesielle tilfeller (49).
Glukosamin og kondroitin inngår i leddbruskens aggrekanmolekyler, og det er foreslått at man ved å tilføre artrosepasienter disse stoffene peroralt kan påvirke artrosesymptomene eller den patoanatomiske utviklingen. Etter at studier rundt årtusenskiftet viste lovende resultater for gonartrosepasienter (50), var entusiasmen stor. Imidlertid har senere undersøkelser vist liten til moderat effekt på smerter (51, 52) og ingen på bruskdegenerasjonen (53).
Intraartikulære steroidinjeksjoner kan gis ved artrose. Det finnes vitenskapelige holdepunkter for at det gir kortvarig smertereduksjon over 1 – 4 uker, men ingen langtidseffekter er påvist (54). Hyaluroninjeksjoner i kneledd gitt gjentatte ganger har i noen mindre studier vist mulig effekt på smerte, men kostnadene er forholdsvis høye (22) og behandlingen er ikke alminnelig anbefalt.
Kirurgisk behandling
Dette kan være forebyggende inngrep for pasienter med stor fare for å utvikle artrose (som ved grav dysplasi i hofteleddet eller feilstilling i kneet) eller symptomlindrende inngrep for dem som allerede har utviklet plagsom artrose.
Artroskopi er prøvd for artrose i kne og ankel, sjeldnere der hofte og skulder er rammet. Det finnes lite dokumentasjon for effekten av artroskopi i ankel og hofteledd. For kneartrose foreligger det en dobbeltblind randomisert placebokontrollert studie som ikke viser effekt av artroskopi med débridement/lavage (55).
Bruskkirurgi som mikrofraktur, periosttransplantasjon, mosaikkplastikk og autolog kondrocyttimplantasjon er aktuelt ved bruskskader på opptil noen centimeter i størrelse. Kostnadene ved disse behandlingsformene er svært ulike, og i en norsk randomisert studie kunne man ikke finne bedre resultat ved den dyrere behandlingen (56). Disse teknikkene brukes ikke i behandling av artrose som involverer hele leddet.
Korrigerende osteotomier kan gjøres rundt hoften (periacetabulært/proksimale femur), rundt kneet (distale femur/proksimale tibia) og distalt på tibia for ankelleddet. Over 80 % bibehold av eget (nativt) ledd er publisert for medial artrose i kneet etter ti år (57), i hofte opptil 90 % bibehold etter periacetabulær osteotomi (58) eller intertrokantær osteotomi (59).
Artrodese var før hofteprotesene ble gode et vanlig inngrep, nå gjøres det meget sjelden. Fortsatt gjøres en del artrodeser i småledd i hånd/fot, sjelden i ankel.
Bibehold av artrodesehofte (uten konvertering til protese) på over 70 % er rapportert etter 35 – 40 år i to studier (60, 61). Artrodeser i andre ledd er mindre studert.
Protese settes i dag inn i mange ledd som behandling for artrose (fig 5). For albue og skulder er det utført færre proteseinngrep på indikasjonen artrose, og for ankel/fot må leddprotese for artrose anses som eksperimentell behandling. I 2008 registrerte Nasjonalt register for leddproteser 8 569 førstegangsproteser for idiopatisk artrose. Av disse var 5 321 i hofter, 3 094 i knær, 104 i skuldre og 50 i andre ledd (4). Av hofteproteseopererte blir ca. 10 % reoperert (med fjerning/utskiftning av hele eller deler av protesen) i løpet av de første ti årene, ytterligere 20 % blir reoperert 10 – 20 år etter primæroperasjonen (62). En tilsvarende andel av pasientene har et dårlig klinisk resultat, men er ikke reoperert (63). I Arbeids- og inkluderingsdepartementets invaliditetstabell er velfungerende protese i hofte eller kne tilordnet en invaliditet på 15 % (64).
Avslutning
Artrose rammer mange mennesker, og det er mange som blir mye plaget med funksjonssvikt og smerter. Forebyggende tiltak inkluderer vektreduksjon og korrigerende kirurgi. De fleste med etablert artrose får god symptomkontroll ved hjelp av informasjon, hjelpemidler, trening, vektreduksjon og analgetika/antiflogistika. Hvis disse tiltakene ikke er tilstrekkelige, bør kirurgi med kunstig ledd vurderes. Det settes årlig inn mer enn 8 000 leddproteser i Norge på grunn av idiopatisk artrose.
Forfatterne er medlemmer av Forskningsgruppe Helse Sør-Øst Artrose
Oppgitte interessekonflikter:
Ingen
Tabell
| Hovedbudskap |
|
- 1.
Grotle M, Hagen KB, Natvig B et al. Prevalence and burden of osteoarthritis: results from a population survey in Norway. J Rheumatol 2008; 35: 677 – 84. [PubMed]
- 4.
Nasjonalt kompetansesenter for leddproteser. Rapport 2009. www.haukeland.no/nrl/Rapporter/Rapport2009.pdf (2.9.2010).
- 16.
Dequeker J, Aerssens J, Luyten FP. Osteoarthritis and osteoporosis: clinical and research evidence of inverse relationship. Aging Clin Exp Res 2003; 15: 426 – 39. [PubMed]
- 19.
Jordan KM, Arden NK, Doherty M et al. EULAR Recommendations 2003: an evidence based approach to the management of knee osteoarthritis: Report of a Task Force of the Standing Committee for International Clinical Studies Including Therapeutic Trials (ESCISIT). Ann Rheum Dis 2003; 62: 1145 – 55. [PubMed] [CrossRef]
- 23.
Jamtvedt G, Dahm KT, Christie A et al. Physical therapy interventions for patients with osteoarthritis of the knee: an overview of systematic reviews. Phys Ther 2008; 88: 123 – 36. [PubMed]
- 24.
Moe RH, Haavardsholm EA, Christie A et al. Effectiveness of nonpharmacological and nonsurgical interventions for hip osteoarthritis: an umbrella review of high-quality systematic reviews. Phys Ther 2007; 87: 1716 – 27. [PubMed]
- 26.
Fransen M, McConnell S. Exercise for osteoarthritis of the knee. Cochrane Database Syst Rev 2008; nr. 4: CD004376. [PubMed]
- 28.
Nasjonalt kunnskapssenter for helsetjenesten. Effekt av fysioterapi ved kneleddsartrose, begrenset til elektroterapi og øvelsesbehandling. Rapport nr. 7/2004. www.kunnskapssenteret.no/binary?download=true&id=5251 (2.9.2010).
- 33.
Diakonhjemmet sykehus. Pasientskoler. www.diakonsyk.no/modules/module_123/proxy.asp?D=2&C=591&I=3272 (2.9.2010). [PubMed] [CrossRef]
- 34.
Norsk forskningssenter for aktiv rehabilitering. Hofteskole. www.aktiv-rehab.no/index.php?page=24 (2.9.2010).
- 35.
Anandacoomarasamy A, Caterson I, Sambrook P et al. The impact of obesity on the musculoskeletal system. Int J Obes (Lond) 2008; 32: 211 – 22.
- 38.
Rannou F, Dimet J, Boutron I et al. Splint for base-of-thumb osteoarthritis: a randomized trial. Ann Intern Med 2009; 150: 661 – 9. [PubMed]
- 41.
Wegman A, van der Windt D, van Tulder M et al. Nonsteroidal antiinflammatory drugs or acetaminophen for osteoarthritis of the hip or knee? A systematic review of evidence and guidelines. J Rheumatol 2004; 31: 344 – 54. [PubMed]
- 42.
The Acetaminophen Hepatotoxicity Working Group FDA. Recommendations for FDA Interventions to Decrease the Occurrence of Acetaminophen Hepatotoxicity. www.fda.gov/ohrms/dockets/ac/09/briefing/2009-4429b1-02-FDA.pdf (2.9.2010).
- 43.
Chen YF, Jobanputra P, Barton P et al. Cyclooxygenase-2 selective non-steroidal anti-inflammatory drugs (etodolac, meloxicam, celecoxib, rofecoxib, etoricoxib, valdecoxib and lumiracoxib) for osteoarthritis and rheumatoid arthritis: a systematic review and economic evaluation. Health Technol Assess 2008; 12: 1 – 278. [PubMed]
- 45.
Statens legemiddelverk. Betennelsesdempende midler og mulig risiko for hjerte- og karbivirkninger. www.legemiddelverket.no/templates/InterPage____32960.aspx (2.9.2010).
- 49.
Nüesch E, Rutjes AW, Husni E et al. Oral or transdermal opioids for osteoarthritis of the knee or hip. Cochrane Database Syst Rev 2009; nr. 4: CD003115.
- 51.
Rozendaal RM, Koes BW, van Osch GJ et al. Effect of glucosamine sulfate on hip osteoarthritis: a randomized trial. Ann Intern Med 2008; 148: 268 – 77. [PubMed]
- 54.
Bellamy N, Campbell J, Robinson V et al. Intraarticular corticosteroid for treatment of osteoarthritis of the knee. Cochrane Database Syst Rev 2006; 2: CD005328. [PubMed]
- 60.
Sponseller PD, McBeath AA, Perpich M. Hip arthrodesis in young patients. A long-term follow-up study. J Bone Joint Surg Am 1984; 66: 853 – 9. [PubMed]
- 61.
Callaghan JJ, Brand RA, Pedersen DR. Hip arthrodesis. A long-term follow-up. J Bone Joint Surg Am 1985; 67: 1328 – 35. [PubMed]
- 64.
FOR 1997 – 04 – 21 nr. 373: Forskrift om menerstatning ved yrkesskade. www.lovdata.no/cgi-wift/ldles?doc=/sf/sf/sf-19970421-0373.html.