Hemifaciale spasmer

    ()

    sporsmal_grey_rgb
    Artikkel

    En 60 år gammel mann henvendte seg til lege etter at han i to år hadde hatt spontane, anfallsvise, ufrivillige bevegelser i venstre del av ansiktet med spasmer i venstre m. orbicularis oculi samtidig som venstre munnvik ble dratt opp og lateralt. Bevegelsene spredte seg ikke til andre kroppsdeler. Det ble ikke påvist nevrologiske utfall. Funksjonen i venstre facialisnerve ble bedømt som normal når han ikke hadde spasmer.

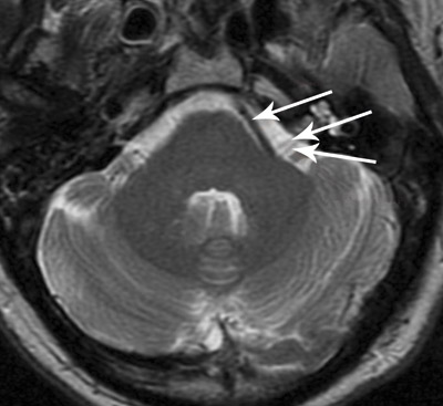
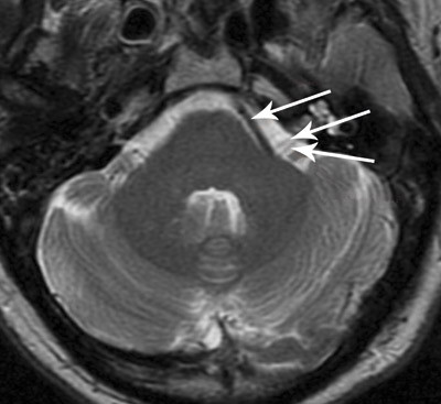
    Pasienten har hemifaciale spasmer. Diagnosen stilles på klinisk grunnlag og er basert på observasjon av anfallsvise, ensidige, oftest kortvarige spasmer som kun ses i muskulatur innervert av n. facialis. Prevalensen hos voksne er ca. 10/100 000. Spasmene skyldes som regel mekanisk irritasjon av et blodkar på facialisnerven intratekalt. Hos pasienten på videoen viste MR en slynget arterie nær venstre n. facialis (bildet). Differensialdiagnose er enkel partiell epilepsi og motoriske tics. Her vil også muskler som ikke er innervert av facialisnerven kontraheres. Ticsene er oftest av kort varighet uten spasme, i motsetning til ved hemifacial spasme.

    De fleste pasienter med hemifacial spasme har god hjelp av gjentatte injeksjoner med botolinumtoksin i affisert muskulatur. Nevrokirurgisk behandling gir oftest varig, godt resultat. Pasienten ønsket kirurgisk behandling og ble symptomfri etter operasjon med mikrovaskulær dekompresjon av nerven.

    Pasienten har gitt samtykke til at artikkelen blir publisert.

    Oppgitte interessekonflikter:

    Ingen

    Kommentarer  ( 0 )
    PDF
    Skriv ut

    Anbefalte artikler