Perkutan kateterbasert innsetting av kunstig pulmonalklaff ved medfødt hjertefeil

    ()

    sporsmal_grey_rgb
    Abstract
    Bakgrunn.

    Bakgrunn.

    Perkutan kateterbasert innsetting av kunstige hjerteklaffer er en ny teknikk som kan få økende utbredelse i fremtiden og supplere kirurgiske inngrep. Vi rapporterer her våre første erfaringer med innsetting av kunstig pulmonalklaff hos barn med medfødt hjertefeil.

    Materiale og metode.

    Materiale og metode.

    Teknikken vurderes hos pasienter med hjertesviktsymptomer og stenose og/eller insuffisiens i et kunstig utløp fra høyre ventrikkel. Klaffen føres gjennom et kateter fra lyskevene eller halsvene. Behandlingseffekt vurderes ved symptombeskrivelse, ekkokardiografi, invasive målinger og angiografi. Vi rapporterer her våre behandlingsresultater i perioden april 2007 til september 2009.

    Resultater.

    Resultater.

    Materialet består av ti pasienter (sju menn og tre kvinner, median alder 17 år). Prosedyren reduserte trykket i høyre ventrikkel (p = 0,008) og opphevet pulmonalinsuffisiensen hos alle ti pasienter. Median liggetid var to dager. Det oppsto ingen komplikasjoner med direkte forbindelse til innsettelsesprosedyren, men én pasient utviklet et pseudoaneurisme i a. femoralis, og en annen pasient fikk kortvarig feber to dager etter prosedyren. Hos én pasient måtte klaffen fjernes kirurgisk etter ni måneder pga. stentbrudd. Etter seks måneder rapporterte samtlige pasienter en symptombedring, trykkgradienten i høyre ventrikkel-utløp var redusert (p = 0,008) og pulmonalinsuffisiensen var bedret (p = 0,006). Disse resultatene vedvarte hos de fire pasientene som er blitt undersøkt etter 24 måneder.

    Fortolkning.

    Fortolkning.

    Perkutan kateterbasert innsetting av kunstig pulmonalklaff bedrer høyre ventrikkels hemodynamikk hos utvalgte pasienter med medfødt hjertefeil. For sikrere kunnskap bør det imidlertid gjennomføres en randomisert, kontrollert studie.

    Abstract

    Background.

    Percutaneous catheter-based implantation of artificial heart valves is a new technique that may supplement surgery and which may be used more in the future. We here report our first experience with implantation of artificial pulmonary valves in children with congenital heart defects.

    Material and methods.

    Eligible patients were those with symptoms of heart failure combined with stenosis and/or insufficiency in an established artificial right ventricular outflow tract. The valve was inserted through a catheter from a vein in the groin or neck. Symptoms, echocardiography, invasive measurements and angiography were assessed for evaluation of treatment effect. Our treatment results are reported for the period April 2007–September 2009.

    Results.

    Ten patients (seven men and three women, median age 17 years) were assessed. The procedure reduced pressure in the right ventricle (p = 0.008) and resolved the pulmonary insufficiency in all patients. The median time in hospital was two days. No patients had complications that were directly associated with the implantation procedure. One patient developed a pseudoaneurism in the femoral artery, another had a short-lasting fever two days after the procedure and one patient experienced a stent fracture that required surgery 9 months after the implantation. After 6 months all patients had a reduced pressure gradient in the right ventricular outflow tract (p = 0.008), the pulmonary insufficiency had improved (p = 0.006) and they all reported improval of symptoms. These results persisted for at least 24 months for the four patients who were monitored until then.

    Interpretation.

    Percutaneous catheter-based implantation of artificial pulmonary valves improves hemodynamics in the right ventricle of selected patients with congenital heart defects. A randomized controlled study should be undertaken to provide a stronger evidence-base for usefulness of this procedure.

    Main findings
    Tabell

    Hovedbudskap

    • Perkutan kateterbasert innsetting av kunstig pulmonalklaff bedrer hjertefunksjonen hos utvalgte pasienter med medfødt hjertefeil

    • Oppfølgingsresultatene er oppløftende og i samsvar med internasjonale sentre. Det foreligger imidlertid ingen kontrollerte studier

    Artikkel
    Innledning

    I løpet av de siste tiårene har perkutane kateterbaserte behandlingsmetoder vunnet stadig større innpass, ofte som et alternativ til tradisjonelle kirurgiske prosedyrer. Innenfor det kardiologiske fagfeltet er perkutan koronarintervensjon (PCI) det mest fremstående eksempelet. Noen av de vanligste medfødte hjertesykdommene, som atrieseptumdefekt og åpentstående ductus arterious, blir også rutinemessig behandlet med perkutane teknikker i stedet for åpen kirurgi.

    I løpet av det siste tiåret er det utviklet kateterteknikker som gjør det mulig å implantere både kunstig aortaklaff og kunstig pulmonalklaff via kateter ført gjennom blodårene (1, 2). Innsetting av kunstig aortaklaff er særlig aktuelt for pasienter med degenerativ aortaklaffsykdom – en forholdsvis vanlig tilstand hos eldre. Kateterbasert innsetting av kunstig pulmonaklaff har et mer begrenset anvendelsesområde; dette er først og fremst aktuelt for pasienter med ulike typer av medfødte hjertefeil karakterisert av trangt utløp fra høyre ventrikkel til lungearterien. Den viktigste diagnosen er Fallots tetrade – her er det trange utløpet kombinert med ventrikkelseptumdefekt (VSD). Utløpshinderet kan hos endel pasienter repareres ved ulike kirurgiske teknikker, men i alvorlige tilfeller er man tvunget til å erstatte hele utløpet med en protese. Til dette brukes ulike kirurgiske løsninger; alternativene omfatter et graft laget av kunstig materiale (f.eks. goretex), graft av biologisk materiale fra dyr (kalv eller gris) eller et homograft, dvs. en pulmonalklaff med tilhørende stump av lungearterien fra et lik. Alle disse løsningene har imidlertid en begrenset funksjonstid; i løpet av år danner det seg forkalkninger som forstyrrer klaffefunksjonen, og dessuten vil vekst av pasienten (men ikke av graftet) gi opphav til et relativt passasjehinder. Resultatet blir pulmonalstenose og/eller pulmonalinsuffisiens og etter hvert svekket funksjon av høyre ventrikkel, noe som i sin tur gir utvikling av hjertesvikt og økt arytmirisiko (3).

    For å forebygge en slik utvikling har pasientene vært stilt i utsikt gjentatte hjertekirurgiske inngrep med graftrevisjon. Ved vår institusjon har bare 40 – 85 % av pasientene sitt opprinnelige graft i behold etter fem år; den store variasjonen skyldes noe ulik holdbarhet av de ulike graftvariantene. Tilsvarende er kirurgisk graftrevisjon et relativt hyppig inngrep; ved Rikshospitalet ble det i 2005 utført 76 slike operasjoner, mens tallene de siste årene har vært noe lavere, takket være graftløsninger som synes å ha lenger holdbarhet (Christian Neukamm, personlig meddelelse). Med tilgang til perkutane teknikker er målsettingen at mange av disse kirurgiske revisjonene kan utsettes ytterligere.

    Den første vellykkede kateterbaserte innsettingen av kunstig pulmonalklaff på menneske ble utført i 2000 (4). Siden er prosedyren utført ca. 1 600 ganger ved ulike sentre, og det rapporteres om oppløftende resultater på kort og lengre sikt (5, 6). Det har imidlertid ikke vært gjennomført noen randomisert studie. Selve klaffen og tilhørende katetre fremstilles nå industrielt, og er godkjent for markedsføring både i EU/EØS-området og i USA. Ved vår avdeling ble teknikken første gang tatt i bruk i 2007, og vi rapporterer her våre erfaringer med de ti første pasientene.

    Materiale og metode

    Materiale og metode

    Vårt fagmiljø har i praksis landsfunksjon for kirurgisk og intervensjonell behandling av medfødte hjertefeil. Pasienter med kunstig utløp fra høyre ventrikkel følges tett ved sitt lokalsykehus, og henvises rutinemessig til Rikshospitalet ved mistanke om økende utløpshinder/lekkasje eller redusert funksjon av høyre ventrikkel.

    Indikasjonen for ytterligere kirurgisk eller intervensjonell korreksjon av høyre ventrikkel-utløp baseres hovedsakelig på pasientens symptombeskrivelse i kombinasjon med ekkokardiografisk undersøkelse, i samsvar med internasjonale anbefalinger (5) – (7) og anbefalingene fra produsenten av perkutane kateterbaserte klaffer (8). Måling av blodstrømshastigheter ved ekkokardiografi gir informasjon om det systoliske trykket i høyre ventrikkel og trykkgradienten i høyre ventrikkel-utløp. Dersom det systoliske trykket er mer enn to tredeler av systemblodtrykket og/eller trykkgradienten fra høyre ventrikkel til pulmonalarterien er mer enn 35 mm Hg, har pasienten et alvorlig utløpshinder som krever behandling ved samtidige hjertesviktsymptomer. Er trykket mer enn tre firedeler av systemtrykket og/eller trykkgradienten er mer enn 40 mm Hg, kan det foreligge indikasjon for korreksjon av høyre ventrikkel-utløp, selv uten symptomer. Eventuell pulmonalinsuffisiens kan også vurderes ekkokardiografisk og blir rutinemessig gradert på en skala 0 – 3. Moderat eller alvorlig lekkasje (grad 2 og 3) i kombinasjon med dilatasjon av høyre ventrikkel og/eller hjertesviktsymptomer er indikasjon for behandling. Tilleggsmomenter for indikasjonsstilling er om resultater ved belastningstest (maksimalt oksygenopptak), EKG (QRS-bredde) og MR-undersøkelse av hjertet viser en forverring.

    For at perkutan kateterbasert intervensjon skal være mulig, må pasienten veie mer enn 20 kg, og de anatomiske detaljene i utløpet fra høyre ventrikkel må være egnet for implantasjon av en kunstig klaff (7, 8). Sistnevnte innebærer blant annet at hele høyre ventrikkel-utløp må være kunstig satt inn ved et tidligere hjertekirurgisk inngrep.

    Den endelige avgjørelsen om hvorvidt det foreligger indikasjon for behandling, og i så fall hvilken behandlingsmetode (kirurgi eller kateterintervensjon) som bør benyttes, er basert på tverrfaglig diskusjon mellom barnekardiologer, barnehjertekirurger og barneradiologer – «hjertemøte». For denne studien fantes det altså ingen forhåndsdefinerte inklusjonskriterier; beslutningen om å anbefale perkutan klaffeinnsetting ble basert på «ekspertkonsensus», i likhet med andre klinske beslutninger ved vår avdeling. Mange pasienter har indikasjon for revisjon av et kunstig anlagt utløp fra høyre ventrikkel. De siste årene er det utført ca. 30 slike kirurgiske prosedyrer hvert år. Bare et lite mindretall anses egnet for perkutan klaff. Hovedårsaken til dette har vært at man ved tidligere kirurgiske inngrep ofte har brukt pasientens eget vev i deler av utløpet. Dette vevet forblir tøyelig, og både produsenten og ledende internasjonale fagmiljøer har ansett at stabiliteten i slike tilfeller sannsynligvis ikke er god nok for en klaffebærende stent.

    Pasienten blir grundig informert om behandlingsanbefalingen; dersom pasienten er under 16 år, blir informasjon også gitt til foresatte. Pasienten, ev. foresatte, gir deretter samtykke på tilsvarende måte som ved andre kliniske beslutningssituasjoner. Alle pasientene som har fått tilbud om perkutan klaffeinnsetting, har vært gjennom tidligere hjertekirurgi og har erfaring fra lange sykehusopphold, bruk av smertestillende legemidler og omfattende opptreningsopplegg. De aller fleste har også erfaring fra tidligere hjertekateteriseringer. Ingen av dem som har fått tilbud om perkutan pulmonalklaff, har avslått tilbudet. Ettersom fagmiljøet har betraktet innsetting av kunstig pulmonalklaff som et nytt klinisk tilbud, og ikke som eksperimentell behandling, blir ikke samtykke gitt skriftlig. Av samme grunn ble heller ikke Regional komité for medisinsk forskningsetikk (REK) involvert da denne behandlingsmetoden ble innført. Komiteen er imidlertid blitt konsultert i etterkant, i forbindelse med oppsummeringen av vårt kliniske erfaringsmateriale, og konkluderte i den forbindelse med at det ikke forelå fremleggelsesplikt.

    Kateteriseringsprosedyre

    Kateteriseringsprosedyre

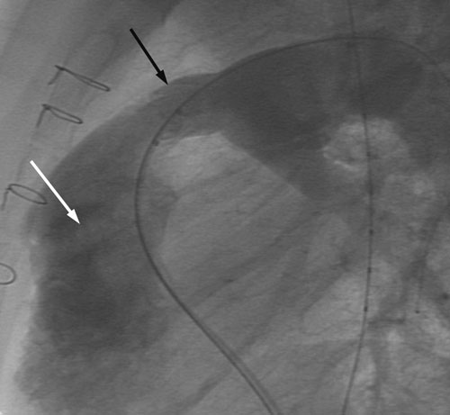
    Kateteriseringsprosedyren blir gjennomført i samsvar med anbefalingene fra ledende internasjonale sentre og fra produsenten av perkutane kateterbaserte klaffer (7, 8). Pasientene er rutinemessig i generell anestesi under hele prosedyren, og det gis heparin intravenøst 100 IE/kg ved oppstart, etterfulgt av mindre påfyllingsdoser dersom prosedyren varer mer enn én time. Det gis antibiotika (Keflin 30 mg/kg) som en engangsdose. Det blir først foretatt en alminnelig høyresidig hjertekateterisering med tilgang fra lyskevene eller halsvene, trykkmålinger i høyre atrium, høyre ventrikkel og lungearterien, og angiografi med kontrastinjeksjon i høyre ventrikkel. Dette gir informasjon om stenose- og insuffisiensgrad i høyre ventrikkel-utløp, og også en detaljert anatomisk fremstilling av det området der den kunstige pulmonalklaffen skal forankres; sistnevnte har stor betydning for at prosedyren skal bli vellykket (fig 1). Med tilgang fra femoralarterie utføres dessuten koronarangiografi for å forsikre at koronararteriene ikke avklemmes når stenten plasseres i pulmonalutløpet.

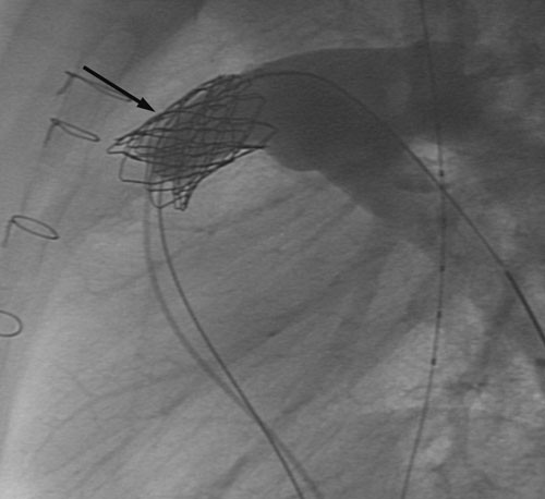
    Den kunstige pulmonalklaffen er fremstilt av halsvene fra kalv; klaffene i disse venene har en trikuspid anatomi som har stor likhet med humane pulmonalklaffer (8). Etter preparering i glutaraldehyd er venestump med klaff montert inn i en metallstent og forankret i denne med tallrike mikroskopiske suturer. Dette produktet (Melody, Medtronic, California, USA) kan komprimeres og føres inn i høyre ventrikkel-utløp gjennom et spesialdesignet kateter. Når rett posisjon oppnås, blir stenten med påsydd klaff ekspandert ved hjelp av ballonger slik at ytterveggene i stenten presses kraftig mot innsiden av høyre ventrikkels utløp. Dermed utvides utløpet, samtidig som stenten med klaff blir forankret. Trykkmålinger og angiografi etter innsetting blir brukt for å evaluere resultatet av prosedyren (fig 2). Alle stegene i denne prosedyren er utført i henhold til retningslinjer utarbeidet gjennom en serie europeiske møter gjennomført i regi av produsenten, og med deltakere fra alle de store sentrene i Europa. Vårt fagmiljø har bidratt aktivt i denne møteserien.

    Mulige prosedyrerelaterte komplikasjoner omfatter avklemming av koronarsirkulasjonen, noe man forsikrer seg mot ved rutinemessig koronar angiografi forut for plassering av klaffen. For øvrig skiller komplikasjonene seg ikke vesentlig fra dem ved andre kateterbaserte intervensjonsprosedyrer og omfatter blant annet perforering av hjertet/store kar, dislokering av den innsatte klaffen, blødning/karskade ved innstikksstedene i lysken og infeksjon. Risikoen for slike komplikasjoner er imidlertid antatt å være noe økt ved denne prosedyren fordi vaiere og katetre har grovere dimensjoner enn ved de fleste andre intervensjonsprosedyrer. Pasientene blir regelmessig observert på sengeavdeling i et døgn etter prosedyren med tanke på slike komplikasjoner.

    Oppfølgingsrutiner

    Oppfølgingsrutiner

    Alle pasienter blir rutinemessig kontrollert ved vår avdeling dagen etter prosdyren, etter tre, seks, ni, 12, 18 og 24 måneder, og deretter årlig. Kontrollen omfatter klinisk undersøkelse med spesiell vekt på hjertesviktsymptomer og -tegn, EKG, røntgen thorax (spesielt med tanke på brudd i metallstenten som omgir klaffen) og ekkokardiografi (utført av erfaren lege eller ekkotekniker); ved enkelte anledninger blir det også gjennomført arbeidsbelastning (tredemølletest) med måling av sirkulatoriske og respiratoriske responser. Her presenterer vi oppfølgingsdata fra kontroll dagen etter prosedyren, og fra kontroll etter seks og 24 måneder for alle pasienter som ble behandlet med metoden ved vår avdeling mellom april 2007 og september 2009. Hos voksne er en tallmessig gradering av hjertesviktsymptomer (NYHA-skår) vanlig; det finnes ikke tilsvarende innarbeidede skåringssystemer for barn, og vår vurdering av symptomer er derfor utelukkende basert på pasientens selvrapportering slik dette er dokumentert i den løpende journalen.

    Statistikk

    Statistikk

    Dataene er bearbeidet i Excel regneark og SPSS statistikkprogram. Det er få pasienter og flere av variablene er ikke normalfordelt. Data er derfor presentert med median og variasjonsbredde. Wilcoxons ettutvalgstest er brukt for å sammenlikne utvalgte variabler før og etter intervensjonsprosedyren.

    Resultater

    Resultater

    I studieperioden ble det hos ca. 100 pasienter funnet indikasjon for innsetting av kunstig pulmonalklaff, enten ved kateterbaserte eller ved kirurgiske teknikker (basert på tverrfaglige diskusjoner på «hjertemøte»). Av disse ble ti pasienter (sju menn og tre kvinner, median alder 17 år (tab 1)) funnet egnet for kateterbasert intervensjon; de øvrige 90 gjennomgikk tradisjonell kirurgisk behandling. I forkant av kateteriseringsprosedyren hadde alle pasienter hjertesviktsymptomer, ni av ti hadde ekkokardiografiske tegn på moderat eller alvorlig stenose i høyre ventrikkel-utløp, og samtlige ble bedømt å ha moderat eller alvorlig pulmonalinsuffisiens (tab 2).

    Tabell 1  

    Bakgrunnsdata for ti pasienter behandlet med perkutan kateterbasert innsetting av kunstig pulmonalklaff

    Antall

    Kjønn

     Menn

    7

     Kvinner

    3

    Opprinnelig diagnose

     Fallots tetrade, alle varianter¹

    6

     Truncus arteriosus communis

    3

     Aortastenose, Ross-operert²

    1

    Utløp fra høyre ventrikkel

     Klaffebærende goretexgraft

    6

     Homograft

    3

     Biologisk klaff (Perimount)

    1

    Median (variasjonsbredde)

    Alder (år)

    17 (7 – 30)

    Vekt (kg)

    66 (28 – 98)

    Høyde (cm)

    172 (132 – 177)

    [i]

    [i] 1  Én pasient hadde pulmonalatresi og ventrikkelseptumdefekt; denne diagnosen kan regnes som en ekstrem variant av Fallots tetrade

    ²  Ved Ross-operasjon blir den native pulmonalklaffen flyttet til aortaposisjon; ved samme inngrep må man derfor implantere et kunstig utløp fra høyre ventrikkel

    Tabell 2  

    Ekkokardiografiske data før insetting av kunstig pulmonalklaff og ved kontroll seks måneder senere. Median (variasjonsbredde)

    Før prosedyre

    Kontroll 6 md.¹

    Differanse

    p-verdi

    Trykkgradient i høyre ventrikkels utløp (mm Hg)

    67 (24 – 88)

    31 (7 – 95)

    –28 (–62 – 7)

    0,008

    Pulmonalinsuffisiens (grad 0 – 3)²

    3 (2 – 3)

    0 (0 – 0)

    –3 (–3 – 0)

    0,006

    [i]

    [i] ¹  For én pasient er det ikke gjennomført seksmånederskontroll. I stedet er registreringene fra kontroll etter tre måneder brukt i analysen

    2  Data mangler for én pasient. Dette er ikke den pasienten som på et senere tidspunkt fikk påvist stentfraktur

    Innsetting av kunstig pulmonalklaff medførte signifikant lavere systolisk trykk i høyre ventrikkel hos samtlige pasenter; medianverdien ble redusert fra 60 mm Hg til 38 mm Hg (tab 3). Samtidig steg det diastoliske trykket i pulmonalarterien etter prosedyren hos et flertall av pasientene (tab 3, medianverdien er likevel den samme pga. liten spredning i materialet), og kontrastinjeksjon viste ingen eller minimal pulmonalinsuffisiens (fig 1 og 2). Median liggetid i avdelingen var to dager (maksimal liggetid fire dager for én person); pasientene ble deretter skrevet ut til hjemmet.

    Tabell 3  

    Trykkforhold i høyre ventrikkel og a. pulmonalis før og etter innsetting av kunstig pulmonalklaff. Median (variasjonsbredde)¹

    Før prosedyre

    Etter prosedyre

    Endringene hos hver pasient

    P-verdi

    Høyre ventrikkel, systolisk trykk (mm Hg)

    60 (35 – 69)

    38 (29 – 54)

    –17 (–32– –2)

    0,008

    A. pulmonalis, diastolisk trykk (mm Hg)

    10 (5 – 11)

    10 (8 – 16)

    2 (0 – 5)

    0,027

    [i]

    [i] 1  Data mangler for én pasient. Dette er ikke den pasienten som på et senere tidspunkt fikk påvist stentfraktur

    Én pasient utviklet et pseudoaneurisme i relasjon til a. femoralis, noe som krevde kirurgisk revisjon tre uker etter innsetting av klaffen. En annen pasient fikk kortvarig feber to dager etter prosedyren, uten at det ble påvist noe sikkert infeksjonsfokus. Det ble likevel gitt kortvarig, intravenøs antibiotikabehandling da en bakteriell infeksjon ikke kunne utelukkes initialt; total liggetid for denne pasienten var fire dager. For øvrig registrerte vi ingen prosedyrerelaterte komplikasjoner.

    Ved kontroll etter seks måneder hadde samtlige pasienter opplevd symptombedring sammenliknet med status før prosedyren. Ekkokardiografi indikerte en signifikant nedgang i trykkgradienten i høyre ventrikkels utløp hos ni av ti pasienter, og samtlige ble bedømt å ha ingen eller liten pulmonalinsuffisiens (grad 0 – 1) (tab 2). For én pasient ble det påvist en uventet økning av trykkgradienten i høyre ventrikkels utløp. På røntgen thorax ble det sett multiple stentbrudd. Ved ny kontroll ni måneder etter prosedyren hadde tilstanden forverret seg ytterligere. Han gjennomgikk da et hjertekirurgisk inngrep der den perkutant innsatte klaffen ble erstattet med en mekanisk klaff. Patologisk-anatomisk undersøkelse av den perkutane klaffen etter operasjonen avslørte tallrike brudd i stenten med betydelig reduksjon av stentens radiale styrke og et sammenbrudd av dens sylindriske form. Stentbrudd ble ikke påvist hos noen av de andre pasientene ved seksmånederskontroll (røntgen thorax).

    24-månederskontroll er foreløpig gjennomført hos fire pasienter. Symptomer og ekkokardiografiske funn er i hovedsak uendret hos disse pasientene sammeliknet med verdiene ved seksmånederskontroll. Røntgen thorax påviste et minimalt stentbrudd hos én av pasientene uten hemodynamiske konsekvenser; denne komplikasjonen er ikke behandlingstrengende og medførte ingen endring i oppfølgingsrutinene. For øvrig ble det ikke påvist noen senkomplikasjoner.

    Diskusjon

    Diskusjon

    Vårt kliniske erfaringsmateriale tyder på at perkutan kateterbasert innsetting av kunstig pulmonalklaff er en effektiv behandlingsform hos utvalgte pasienter med stenose og/eller insuffisiens i et kunstig høyre ventrikkel-utløp innsatt ved tidligere hjertekirurgi. De invasive målingene før og etter prosedyren (tab 3) dokumenterer en signifikant reduksjon i stenosegraden (vist ved reduksjon av det systoliske trykket i høyre ventrikkel) og en signifikant bedring av insuffisiensgraden (vist ved kontrastinjeksjon og ved økning av det diastoliske trykket i pulmonalarterien). Trykkgradienten etter prosedyren er likevel fortsatt betydelig for samtlige pasienter, til forskjell for hva man for eksempel ser ved kateterbasert implantasjon av kunstig aortaklaff hos voksne, og man kan spørre seg om behandlingsresultatet er akseptabelt. Dette spørsmålet må vurderes opp mot det faktum at disse pasientene – i kontrast til pasienter med degenerative klaffelidelser – har langt mer omfattende patologisk-anatomiske forandringer i ventrikkelutløpet: Alle pasientene har tidligere fått operert inn et graft, noe som medfører minst to suturrekker med tilhørende arrdannelse og strikur; tilsvarende er det omkringliggende vevet preget av stivhet og arrdannelse. I selve graftet er det en klaff som på ulike måter er degenerert og medfører dels stenose og dels insuffisiens. I tillegg er høyre ventrikkel hos alle pasientene hypertrof, noe som gjennomgående gir opphav til dynamiske stenoser proksimalt for graftet. Med dette utgangspunktet er det å forvente at det vil gjenstå en viss grad av stenose i området etter perkutan klaffeinnsetting. Vi har derfor ansett reduksjon av trykkgradienten og opphevelse av insuffisiensen som tilstrekkelig til å anse behandlingsmålet for oppfylt. Dette vil ha stor betydning for høyre ventrikkels funksjon på lang sikt, og dermed utsette behovet for kirurgisk graftrevisjon.

    Oppfølgingsdata indikerer at bedringen vedvarer hos et stort flertall av pasientene, både med hensyn til ekkokardiografiske funn (tab 2) og til subjektive symptomer. Samtidig var forekomsten av komplikasjoner liten og rekonvalesenstiden kort i vårt materiale. Én pasient utviklet riktignok et behandlingskrevende pseudoaneurisme i a. femoralis; denne komplikasjonen, som skyldes mangelfull hemostase ved innstikksstedet i arterien, er imidlertid en generell (og forholdsvis sjelden) komplikasjon til hjertekateterisering, og ikke spesifikt knyttet til den aktuelle prosedyren. Det er derfor godt håp om at perkutan kateterbasert innsetting av kunstig pulmonalklaff vil kunne spare pasientene for gjentatte hjertekirurgiske inngrep med de farer/komplikasjoner dette medfører.

    Våre resultater er helt i samsvar med nylig publiserte data fra store internasjonale sentre (5, 6). Den største oppfølgingsstudien (155 pasienter) rapporterte at 70 % ikke hadde hatt behov for kirurgi etter seks års oppfølgingstid (6). I samme studie påviste man stentbrudd hos 21 %; dette kan, som hos vår ene pasient, føre til økende stenose, uten at det nødvendigvis oppstår en klaffelekkasje. Flertallet av de rapporte stentbruddene var små og betydningsløse, men hos ni pasienter var det nødvendig med rekateterisering eller reoperasjon, på tilsvarende måte som i vårt tilfelle. Denne komplikasjonen skyldes spesielle mekaniske belastninger i høyre ventrikkel-utløp, og vil sannsynligvis langt på vei kunne unngåes med tekniske forbedringer (9, 10). Ikke i noen av de to undersøkelsene ble det rapportert om dødsfall som kunne tilskrives klaffeinnsettingen.

    Den ekkokardiografiske evalueringen av høyre ventrikkel representerer en metologisk svakhet ved denne studien. En reduksjon av trykkgradienten i høyre ventrikkel-utløp, slik vi har dokumentert for pasientene ved seksmånederskontroll, kan i teorien forklares av redusert systolisk funksjon i stedet for redusert utløpsmotstand. En nærmere kartlegging av høyre ventrikkel-funksjon ville derfor ha vært av verdi, men her er tradisjonell ekkokardiografi beheftet med stor grad av usikkerhet. Ideelt sett burde derfor pasientene blitt evaluert med MR-undersøkelse av høyre ventrikkel før og etter behandlingsprosedyren.

    Innsetting av kunstig pulmonalklaff har ikke vært gjenstand for noen randomisert kontrollert studie, verken ved vårt senter eller ved andre institusjoner. Dette svekker sikkerheten i konklusjonene. Fraværet av kontrollerte kliniske forsøk ved innføring av ny medisinsk teknologi står i kontrast til de veletablerte normene for innføring av ny farmakologisk behandling, og reiser flere viktig prinsipielle spørsmål som nylig ble oppsummert på lederplass i Tidsskriftet (11). Idealet om en randomisert, kontrollert design bør etterstrebes, men et klinisk erfaringsmateriale – som denne artikkelen bygger på – blir ikke dermed verdiløst, like lite som en enkeltkasuistikk eller registerdata blir det. I alle tre tilfellene mangler en kontrollgruppe, likevel kan publikasjoner basert på slike materialer gi viktig innsikt. Idealet kan dessuten være vanskelig å etterleve i praksis. I vårt tilfelle er det blant annet utfordrende å finne et endepunkt som både er relevant og som kan undersøkes på en gjennomførbar måte. For eksempel ville langtidsoverlevelse etter innsetting av kunstig pulmonalklaff vært et relevant endepunkt, men dette forutsetter en oppfølgingstid på mange tiår og et mye større antall pasienter enn hva det vil være mulig å rekruttere, selv med multisentersamarbeid.

    Videre er det i vårt tilfelle viktig at det faktisk foreligger resultater fra flere andre kliniske erfaringsmaterialer; selv om denne kunnskapen er usikker, er det likevel sannsynlighetsovervekt for at perkutan innsetting av pulmonalklaff er en fordelaktig metode. Gitt en slik sannsynlighetsovervekt kan det være etisk betenkelig å gjennomføre en kontrollert studie, ettersom dette i så fall vil innebære at halvparten av pasientene sannsynligvis får et dårligere behandlingstilbud. Endelig foreligger det et mer pragmatisk hensyn: det er et faktum at teknologiske nyvinninger stadig innføres i helsevesenet, til tross for mangelen på kontrollerte studier. Da er det tross alt bedre at det publiseres kliniske erfaringsmaterialer i etterkant enn at den nye metoden ikke underkastes noen systematisk evaluering overhodet.

    Indikasjonen for kateterbasert innsetting av kunstig pulmonalklaff er foreløpig begrenset til enkelte spesielle tilfeller av medfødte hjertefeil der det tidligere er konstruert et kunstig utløp fra høyre ventrikkel. Det er imidlertid godt håp om at teknikken etter hvert kan få en bredere anvendelse. I første omgang er den aktuell for pasienter med dysfunksjon i et nativt høyre ventrikkel-utløp; her er det allerede publisert en liten pasientserie (12).

    Etablering av nye behandlingsformer representerer en vanskelig balansegang mellom flere hensyn: Det handler om å vurdere nytte og risiko for den enkelte pasienten, om å henge med i den internasjonale utviklingen uten å la seg fange av bestemte «moteretninger», om å opparbeide tilstrekkelige tekniske ferdigheter osv. Når det gjelder våre erfaringer med perkutan kateterbasert innsetting av kunstig pulmonalklaff, vil vi trekke frem følgende forhold som særlig viktige:

    • Behandlingsformen ble etablert i et fagmiljø som har lang erfaring med intervensjonelle hjertekateteriseringer hos barn og voksne, som har tett kontakt med ledende internasjonale behandlingssentre og som har bred vitenskapelig kompetanse.

    • Thoraxkirurgisk avdeling ved Rikshospitalet, har vært tett involvert: Dels i forbindelse med indikasjonsstilling hos hver enkelt pasient, og dels som et «sikkerhetsnett» dersom det skulle oppstå prosedyrekomplikasjoner med behov for akutt kirurgisk intervensjon.

    • Samtlige kateteriseringer er blitt utført av én person (GD) som har vært ansatt ett år ved Hospital for Sick Children i Toronto, Canada for å lære faget hjertekateteriseringer hos barn og voksne med medfødte hjertefeil. I denne opplæringstiden var han assistent ved innsettelse av fem pulmonalklaffer. Ved oppstart av programmet i Norge ble han veiledet av dr. Lee Benson, leder av kateteriseringsvirksomheten i Toronto, ved de første fem prosedyrene. Slik «sentralisering» sikrer læring, noe som kan ha direkte betydning for et godt behandlingsresultat (6).

    Vi takker dr. Lee Benson, Hospital for Sick Children, Toronto, Canada, som ga praktisk veiledning i forbindelse med de første prosedyrene, og Erik Fosse, Intervensjonssenteret, Rikshospitalet som har gitt viktig hjelp og støtte til oppstart av nye behandlingsmetoder.

    Kommentarer  ( 0 )
    PDF
    Skriv ut

    Anbefalte artikler