Vertebral osteomyelitt

    ()

    sporsmal_grey_rgb
    Artikkel

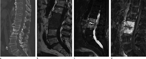
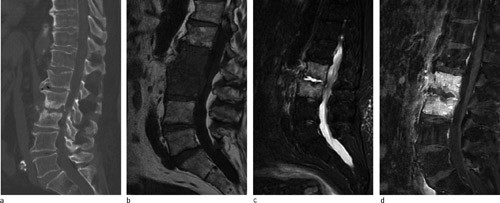
    En mann i 70-årene ble lagt inn på Medisinsk avdeling med sepsis forårsaket av Streptococcus pneumoniae og ryggsmerter, tolket som lungebetennelse. Han ble initialt behandlet med intravenøs penicillin og gentamicin og utskrevet med perorale antibiotika. En uke senere ble han på ny innlagt med økende ryggsmerter, feber og stigende infeksjonsparametre. Det var ingen nevrologiske utfall. På bakgrunn av sykehistorien og sparsomme funn ved auskultasjon og røntgen thorax, ble CT columna, så MR rekvirert. CT viste uregelmessig kontur av nedre og øvre dekkplater i L2/L3, subkondrale destruksjoner og nedsatt skivehøyde (a). På standard T1-vektede (b) og STIR (short τ inversion recovery)-bilder på MR (c) ses utbredt ødem i L2, L3 og i det paravertebrale bløtvevet. På serien med kontrast med fettsuppresjon ses randkontrastoppladning i selve skiven (d). Disse funnene sammen med de kliniske funnene er forenlig med bakteriell spondylodiskitt.

    Infeksjon i ryggvirvlene og mellomvirvelskivene er sjelden, men kan ubehandlet medføre høy risiko for død. Den vanligste årsaken er hematogen spredning av bakterier i blodbanen som slår rot i den rikt vaskulariserte beinmargen i ryggvirvlene. Mellomvirvelskivene er lite vaskulariserte og infiseres som oftest som følge av sekundær spredning fra nærliggende ryggvirvler. Den vanligste bakterien er Staphylococcus aureus, men en rekke andre patogener kan også forårsake tilstanden. Behandlingen består av langvarig intravenøs antibiotikabehandling etterfulgt av peroral behandling.

    Pasienten har gitt tillatelse til at artikkelen blir publisert.

    Kommentarer  ( 0 )
    PDF
    Skriv ut

    Anbefalte artikler