Jakten på julestjernen

    ()

    sporsmal_grey_rgb
    Artikkel

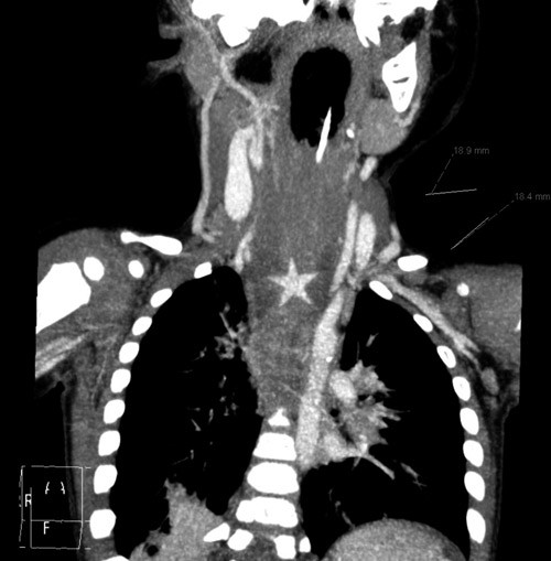
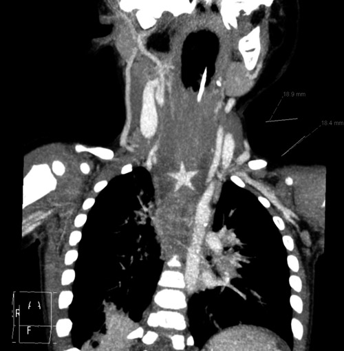
    En sju måneder gammel gutt kom til barneavdelingen grunnet sikling og brekningstendens under et grøtmåltid. Røntgen oesophagus/thorax var normalt. Etter noen observasjonstid ble han bedre og kunne reise hjem. Fire måneder senere kom han til barnepoliklinikken grunnet vedvarende problemer med brekninger av all ikke-most mat. Ved øvre endoskopi fant man et ulcus i oesophagus. Etter avtale med barnekirurg ble det startet med protonpumpehemmer og avtalt kontroll etter fire uker. To uker senere ble pasienten innlagt akutt med tungpusthet. Røntgen thorax viste da breddeforøkt mediastinum og ultralydundersøkelse viste fortykket oeøsophagus med impresjon i trachea. På CT thorax ble det funnet bilaterale infiltrater og store lymfeknuter i hilum. Denne avslørte også et stjerneformet fremmedlegeme i oesophagusveggen forenlig med en 18 mm stor plastikkstjerne fra julepynt. Han ble overflyttet til barnekirurgisk avdeling hvor stjernen ble fjernet endoskopisk. Symptomene forsvant umiddelbart.

    Barn under tre år kan putte det meste i munnen. Havner et fremmedlegeme i luftveiene, gir det oftest dramatiske symptomer som hoste, tungpusthet og cyanose. Havner det i oesophagus kan det gi symptomer som spisevegring, brekninger og sikling eller være asymptomatisk. Blir et fremmedlegeme stående i oesophagus over tid, kan det føre til dårlig vektoppgang og aspirasjonspneumonier. Skarpe objekter kan perforere oesophagus og gi pneumomediastinum (1).

    Diagnosen er ofte klar ut ifra anamnese og klinisk undersøkelse. Røntgenbilder i to plan vil vise røntgentette fremmedlegemer. Ikke-røntgentette objekter kan visualiseres med CT. Øvre endoskopi kan være både diagnostisk og kurativ.

    Pasientens foreldre har gitt samtykke til at artikkelen blir publisert.

    Kommentarer  ( 0 )
    PDF
    Skriv ut

    Anbefalte artikler