Ung kvinne med langvarige ryggsmerter

    ()

    sporsmal_grey_rgb
    Artikkel

    En tidligere frisk norsk-pakistansk kvinne i slutten av 20-årene ble innlagt pga. slapphet. Hun hadde hatt korsryggssmerter i ett år og hadde selv oppdaget en kul i flanken. Ved innleggelse hadde hun lett redusert allmenntilstand og var palpasjonsøm over nedre del av columna. Det ble funnet en smertefull tumor i høyre flanke.

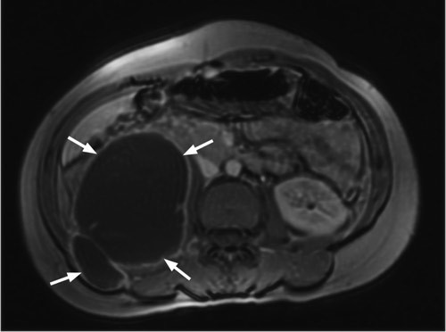
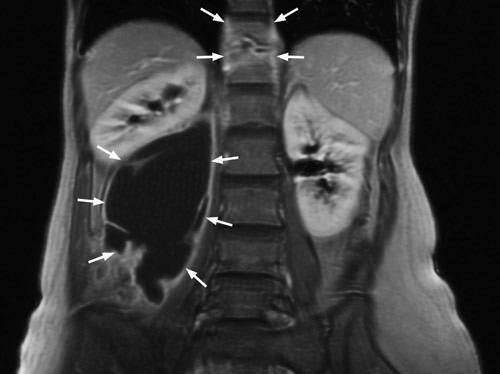
    Hun hadde en senkningsreaksjon på 49 mm/t. Andre orienterende blodprøver, inkludert hivtest, var normale. Røntgen thorax og urindyrking for mykobakterier var negative. MR abdomen viste funn som ved spondylodiskitt i nivå Th11/Th12 med en stor senkningsabscess i høyre m. psoas (til venstre). Abscessen målte ca. 14 cm kraniokaudalt og strakte seg kaudalt i høyde med virvelcorpus L5. Til høyre ses et tverrsnitt av abscessen. Mikroskopi av abscessmaterialet viste ingen funn av syrefaste staver. Dyrking og polymerasekjedereaksjon (PCR) viste funn av Mycobacterium tuberkulosis. Det ble drenert ca. 350 ml puss og startet med langvarig tuberkulostatikabehandling. Kvinnen følges regelmessig med polikliniske kontroller.

    Vertebral affeksjon kan være første manifestasjon av tuberkulose. Dette er en viktig differensialdiagnose, særlig hos en pasient som kommer fra et høyendemisk område, noe som var tilfellet for denne unge kvinnen. Vanlige symptomer ved vertebral tuberkulose er ryggsmerter, vekttap, feber og tretthet.

    Pasienten har gitt samtykke til at artikkelen blir publisert.

    Kommentarer  ( 0 )
    PDF
    Skriv ut

    Anbefalte artikler