Pseudartrose etter costafraktur

    ()

    sporsmal_grey_rgb
    Artikkel

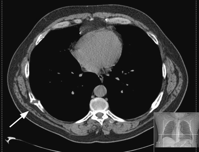
    En 56 år gammel mann hadde i flere måneder vært plaget med smerter fra en lokal hevelse i ryggen. Han ble henvist til kirurgisk poliklinikk med spørsmål om tumor. Ved klinisk undersøkelse fant man en 10 × 10 cm stor tumor lokalisert på høyre side paravertebralt i torakalnivå. CT viste psedartrose dorsolateralt i 7. costa (bildet til venstre). Man valgte å avvente utviklingen. Han var til flere kontroller uten subjektiv eller røntgenologisk (CT) bedring.

    Pga. uutholdelige smerter, selv under behandling med gruppe B- og C-analgetika, ble pasienten henvist til sykehusets smertepoliklinikk. Det ble forsøkt forskjellige medikamentregimer, bl.a. morfinpreparater i høye doser, antidepressiver og antiepileptika. 11 måneder etter første konsultasjon ble han tilbudt operativ behandling. Han hadde på denne tiden gått opp 15 kg i vekt og beskrev sterkt nedsatt livskvalitet.

    Gjennom et lite snitt ble pseudartrosen og tilgrensende friskt bein resecert. Resektatet målte 4 cm (bildet til høyre). Histologisk undersøkelse viste pseudartrose. Det postoperative forløpet var ukomplisert. Halvannen måned etter operasjon hadde pasienten seponert samtlige analgetika og var smertefri.

    Costafraktur er en hyppig skade ved stumpt traume mot thorax. I de aller fleste tilfellene tilheler slik skade spontant under konservativ behandling, og langtidssekvele er uvanlig. Pseudartrose er en sjelden, men kjent komplikasjon.

    Operativ behandling av costafraktur anses som kontroversielt, men ved pseudartrose kommer man vanligvis ikke til mål med konservativ behandling. Det er beskrevet forskjellige operative metoder, som beintransplantasjon i kombinasjon med ulike osteosyntesemetoder, eller reseksjon (1). Vår pasient ble operert med reseksjon av pseudartrosen, og det ga et godt resultat. Metoden er enkel og etter vårt syn å foretrekke.

    Pasienten har gitt samtykke til at artikkelen blir publisert.

    Kommentarer  ( 0 )
    PDF
    Skriv ut

    Anbefalte artikler