En mann i 50-årene med synkope og hypotensjon

    ()

    sporsmal_grey_rgb
    Abstract

    A man in his fifties was admitted to our hospital because of syncope and hypotension. In the emergency room he reported abdominal pain, but focused assessment with sonography for trauma (FAST) was negative. His systolic blood pressure varied between 60 and 90 mmHg and an arterial blood gas revealed lactic acidosis with normal haemoglobin, which still might indicate acute bleeding. An ECG did not indicate myocardial infarction. In the absence of an obvious bleeding focus, the patient was urgently transported to a CT lab nearby, to identify possible bleeding and rule out other causes of circulatory shock, such as cardiac tamponade. Before radiologic scanning was initiated, the patient lost consciousness and displayed pulseless electrical activity. Resuscitation was initiated and pericardiocentesis was resultless. On vital indication and clinical suspicion of cardiac tamponade, an emergency median sternotomy was performed and a haematoma was evacuated from the pericardial space. The patient was stabilised and immediately taken to the operation theatre where a ruptured ascending aortic aneurysm was identified.

    The operation was successful, but following serious hypoperfusion, the patient suffered acute kidney failure requiring dialysis for several months, gram-negative septicaemia caused by a central venous catheter, cerebral infarction leading to hemiparesis and impaired vision, ventilator-associated pneumonia/acute lung injury and acalculous cholecystitis. This case report describes the findings on admission, the diagnostic process including surgical resuscitation and a complicated course of multi-organ failure. After almost 5 months, the patient was discharged from our hospital to another institution for further rehabilitation. He now has minimal sequelae and lives at home. Our take-home message is that seriously ill patients require fast, resolute and broad examination; they may need immediate surgical treatment including emergency intervention; and a good clinical outcome may be achieved in spite of serious complications.

    Artikkel

    En mann ble innlagt som øyeblikkelig hjelp med diagnosene synkope og hypotensjon. Ved ankomst i akuttmottaket ble han vurdert som indremedisinsk pasient. Det viste seg imidlertid at diagnosen var en annen enn først antatt.

    En middelaldrende transportarbeider fikk et illebefinnende på jobb, stoppet kjøretøyet og besvimte. Ambulansepersonellet var fremme hos ham tre minutter etter påbegynt oppdrag og fant hypotensjon (93/59 mm Hg) og takypné (respirasjonsfrekvens 30/min). Blodsukkernivået var 4,6 mmol/l. Han var delvis kontaktbar og gjentok ordene «luft, luft». I akuttmottaket ca. 20 – 30 minutter etter hendelsen var blodsukkernivået 12,6  mmol/l. Pulsen var regelmessig 120 – 130/min. Blodtrykket var 95/68 mm Hg, senere systolisk mellom 60 og 110, temperaturen 35,8 °C. Han hadde dekliv marmorering og kalde ekstremiteter, men palpable lyskepulser. Pasienten ble oppfattet som uklar og vekslet i våkenhetsgrad. På spørsmålet om han hadde smerter svarte han «magen». CT caput og abdomen ble rekvirert. Av tidligere sykdommer fremkom kun opplysninger om høyt blodtrykk.

    Synkoper kan være sirkulatoriske (redusert cerebral blodtilførsel) eller ikke-sirkulatoriske (som hypoksemi, anemi, hypoglykemi, spasme i cerebrale arterioler og angstanfall). De sirkulatoriske kan skyldes inadekvate vasokonstriktormekanismer (f.eks. postural hypotensjon), hypovolemi, mekanisk reduksjon av venøs tilbakefylling, redusert hjerteminuttvolum (f.eks. aortastenose, lungeemboli, hjertetamponade og pumpesvikt ved hjerteinfarkt) og arytmier (1).

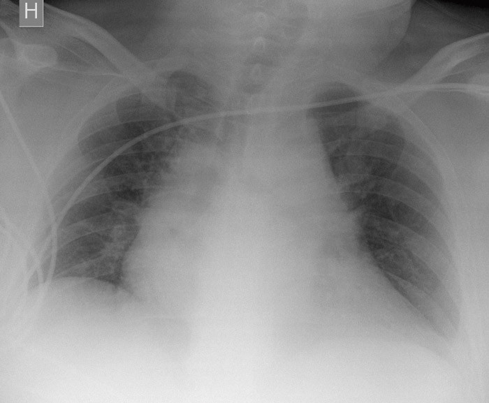
    Flere diagnoser ble vurdert. Pasienten oppfylte tre av kriteriene for systemisk inflammatorisk respons-syndrom (SIRS) (puls > 90/min, temperatur < 36 °C, respirasjonsfrekvens > 20/min), og sepsis kunne ikke utelukkes. Cerebral iskemi ble vurdert, hovedsakelig grunnet uro og uklarhet, så vel som lungeemboli. Det ble gitt intravenøs væske og oksygen på maske, men pasienten tolererte ikke masken og ble tiltakende urolig. Arteriell blodgass viste pH 7,29 (7,350 – 7,450), pCO₂ 3,8 kPa (4,67 – 6,00 kPa), pO₂ 11,5 kPa (10,67 – 13,33 kPa), laktat 10,4 mmol/l (0,4 – 2,2 mmol/l) og Hb 12,6 g/100 ml (11,5 – 17,4 g/100 ml). EKG viste sinustakykardi uten iskemitegn. Pasienten var palpasjonsøm supraumbilikalt og myk i buken, men det hørtes ingen tarmlyder. Gastrokirurg så til pasienten og innkalte radiolog for ultralydundersøkelse av typen «focused assessment with sonography for trauma» (FAST). Undersøkelsen viste ingen åpenbare patologiske tegn, heller ingen perikardvæske. Røntgen thorax viste ikke hemo- eller pneumothorax, men ga mistanke om breddeforøket mediastinum (fig 1). Selv om pasienten var ustabil, ble det rekvirert CT thorax.

    FAST er en ultralydundersøkelse som brukes for å vurdere intraabdominal blødning og hjertetamponade hos traumepasienter. Undersøkelsen kan bidra til å øke den diagnostiske sikkerheten ved blant annet sjokk og hjertestans. Rask påvisning av for eksempel lungeemboli med hemodynamisk påvirkning eller hjertetamponade kan muliggjøre effektiv behandling av disse potensielt reversible tilstandene (2).

    Undersøkelsen er målrettet med henblikk på aorta abdominalis, perikard og bekkenet samt perihepatiske og perispleniske områder. Vår pasient hadde laktacidose og normalt hemoglobinnivå. Ved stor blødning kan laktacidose oppstå som følge av sirkulasjonssvikt før man ser et fall i serum-Hb, som først inntreffer etter hemodilusjon.

    På CT-bordet fikk pasienten 0,1 mg fentanyl intravenøst på grunn av magesmerter. Han utviklet kliniske tegn på hjertetamponade med ytterligere blodtrykksfall og blålig misfarging i ansiktet. Intervensjonsradiolog innfant seg umiddelbart og forsøkte å aspirere blod fra perikard, uten resultat. Tilstanden forverret seg ytterligere. Pasienten ble bevisstløs, og blodtrykket var ikke lenger målbart. Man så QRS-komplekser på skopet, men pasienten var pulsløs. Det var da gått 21 minutter siden han ankom akuttmottaket. Avansert hjerte-lunge-redning ble igangsatt, og pasienten ble intubert.

    På mistanke om hjertetamponade gjorde thoraxkirurg på vital indikasjon median sternotomi usterilt på CT-bordet. Det ble evakuert betydelige mengder koagler og blod fra perikard, og sirkulasjonen ble reetablert. Det var ingen massiv pågående blødning. Man mistenkte aortadisseksjon, og før pasienten ble transportert videre til operasjonsstue ble blodtrykket stabilisert med generell anestesi. Man kanylerte i lysken og la pasienten på hjerte-lunge-maskin. Han hadde vært hypotensiv i ca. 5 – 10 minutter, og det ble utført avansert hjerte-lunge-redning i omtrent 3 – 4 minutter.

    Aortadisseksjon forårsakes av en rift i intima, typisk i høyre laterale vegg i aorta ascendens, der trykket er høyest. Disseksjon mellom intima og media skaper et falskt lumen som vanligvis progredierer videre distalt, men disseksjonen kan også starte i aorta descendens og fortsette i proksimal retning. Insidensen av aortadisseksjon er høyest i aldersgruppen 60 – 80 år, forholdet mellom menn og kvinner er ca. 2 : 1, og ca. 70 % har hypertensjon (3).

    Symptomene er oftest sterke smerter i thorax både fortil og interskapulært. Synkope, dyspné og kraftsvikt forekommer ofte. Pasienten kan ha hyper- eller hypotensjon, pulsløshet, lungeødem og sentralnervøse symptomer, f.eks. uklarhet. Iskemi i tarm og myokard er ikke uvanlig. Vanligvis brukes Stanfords klassifikasjon. Aorta ascendens er affisert ved type A, men ikke ved type B. Hemoperikard og hjertetamponade er fryktede komplikasjoner og er hovedårsak til at tilstanden har en mortalitet på ca. 50 % i akuttfasen (4). Transtorakal ekkokardiografi for å påvise aortadisseksjon har en sensitivitet på 60 – 85 % (3), men CT-aortografi er vår foretrukne undersøkelse hos en stabilisert pasient.

    Under operasjonen fant man et rumpert aneurisme på aorta ascendens, men det var ikke holdepunkt for disseksjon. Aorta ascendens var aneurismatisk utvidet, med betydelig hematom mot pulmonalarterien i tilslutning til rupturstedet. Endotelriften ble lokalisert. Det var ikke forandringer ned mot sinus valsalvae eller opp mot buen. Aneurismet ble recessert og erstattet med et suprakoronart transplantat. Det var mulig å sy distale anastomose uten bruk av sirkulasjonsstans, og inngrepet ble derfor gjennomført ved moderat hypotermi under ekstrakorporeal sirkulasjon. Antegrad sirkulasjon ble reetablert via sidearm på aortatransplantatet.

    Som ledd i forberedelse til eventuell sirkulasjonsstans ved dyp hypotermi ble det gitt mannitol som del av nevroprotektiv behandling. Man erkjente imidlertid raskt at det ikke ville bli nødvendig med sirkulasjonsstans, og steroider ble ikke administrert. Det ble gitt aprotinin (fibrinolysehemmer), som inngikk i avdelingens rutine ved operasjon for type A-aortadisseksjon. Fordi operasjonen ble påbegynt usterilt, valgte man å kontinuere antibiotikaprofylaksen med cefalotin i tre dager.

    Postoperativt utviklet pasienten multiorgansvikt. Andre postoperative døgn oppsto det oligurisk nyresvikt med hyperkalemi og kreatininstigning fra 123 µmol/l til 250 µmol/l (60 – 100 µmol/l), og man startet kontinuerlig venovenøs hemodiafiltrasjon (CVVHD) etter protokoll for gradering av nyresvikt i henhold til risk/injury/failure-kriteriene (RIF) (5). Kontinuerlig venovenøs hemodiafiltrasjon med sitratantikoagulasjon er standardbehandling ved vår kirurgiske intensivavdeling.

    Det ble også mistenkt ventilatorassosiert pneumoni (VAP), og det ble startet behandling med cefuroksim intravenøst. Tredje postoperative døgn hadde CRP-nivået steget til over 300 mg/l, røntgen thorax viste bilateral sløring og bronkoskopi viste purulent slim. Man erstattet cefuroksim med piperacillin/tazobactam. Pasienten fylte kriteriene for akutt lungesviktsyndrom (ARDS) (6) og ble ventilert trykkontrollert med tanke på lungeproteksjon. Man forsøkte også mageleie – med effekt. Antibiotikabehandlingen med tanke på bakteriell pneumoni ble fortsatt.

    Klinisk hadde pasienten fått høyresidig hemiparese. CT caput viste hjerneinfarkt i begge hemisfærer, både i bakre og fremre kretsløp med utvisket overflaterelieff oksipitalt. Fjerde postoperative døgn ble pasienten trakeostomert og vekket. Seks dager etter ankomst anga han nedsatt syn bilateralt. Øyelege konkluderte med at visustapet var betinget i de oksipitale forandringene.

    Hjerneslag er rapportert som komplikasjon til hjertekirurgi hos om lag 3 % (7, 8). Forhold hos pasienten, slik som aterosklerose på aorta ascendens, kan øke denne risikoen. Det er også kirurgitekniske momenter som kan øke risikoen, for eksempel bruk av sirkulasjonsstans utover 25 – 45 minutter ved dyp hypotermi (9). Hos denne pasienten er det grunn til å tro at den utløsende årsak var perioden med sirkulasjonssvikt og/eller embolisering fra rupturstedet.

    Under operasjonen ble aorta klemt av distalt for trombemassene. Pasienten hadde da retrograd blodstrøm i aorta. Dette taler mot intraoperativ embolisering til hjernen, selv om både embolisering fra en syk aorta ved avklemming og luftemboli kan forekomme under hjertekirurgi (8). Bruk av hjerte-lunge-maskin er forbundet med økt risiko for cerebrale komplikasjoner, sannsynligvis grunnet redusert blodtrykk, men kanskje også grunnet inflammatorisk aktivering og økt kapillær lekkasje (8).

    Hjertekirurgi kort tid etter cerebral hendelse kan tenkes å forverre utfallet (10), selv om dette ikke er tilstrekkelig vitenskapelig dokumentert (11). Under operasjoner på aorta ascendens må hjertet og proksimale aorta settes ut av sirkulasjon. Vår standardmetode er å klemme av distalt på aorta ascendens og stanse hjertet ved infusjon av kardioplegiløsning i aortaroten. Embolisering ved denne prosedyren er det vanskelig å gardere seg mot under et akuttinngrep.

    Pasienten ble høyfebril, 39,4 °C, til tross for antibiotikabehandling med piperacillin og tazobactam. I bronkialskyllevæske var det kun oppvekst av Candida albicans. Pasientens sentralvenøse kateter ble skiftet og sendt til dyrking, og i påvente av svar ble behandling med vancomycin og fluconazol startet. Ny bronkoskopi viste injiserte slimhinner og mulig bronkitt. CRP-nivået steg til  363 mg/l. Blodprøvene viste stigende bilirubinnivå og ultralydundersøkelse viste urenheter (sludge) i galleblæren, uten fortykkelse av galleblæreveggen. Ekkokardiografi viste ingen vegetasjoner. Dyrking av spissen på pasientens sentralvenøse kateter viste gramnegative staver, som ble oppfattet som årsaken til sepsisen.

    I dagene videre steg CRP-nivået til 387 mg/l, nivået av hvite blodceller til 39,5 · 10⁹/l (3,5 – 10 · 10⁹/l) og temperaturen til 40 °C. Bakteriologisk dyrking av kateterspissen viste Enterobacter spesies, følsomme for imipenem, ciprofloksacin, gentamycin og trimetoprim-sulfametoksa. Meropenem ble startet opp i stedet for piperacillin/tazobactam dagen før endelig resistenssvar. Mikroben var resistent mot piperacillin/tazobactam (samt ytterligere fem testede antibiotika). 15. postoperative døgn la man inn et perkutant transhepatisk galleveisdren, fordi ultralydundersøkelse da viste fortykket galleblærevegg, forenlig med akalkuløs kolecystitt. Samme dag gikk man over til vanlig intermitterende hemodialyse (IHD) grunnet problemer med levring i filteret på CVVHD-maskinen. Pasienten hadde fortsatt anuri. Fluconazol ble erstattet med amfotericin B, og CRP-nivået falt gradvis. Det antibiotiske regimet ble endret til kun ciprofloksacin og vancomycin, hvoretter det kom ytterligere fall i CRP-nivået. Det ble ikke vekst i blodkulturene.

    Akutt kolecystitt kan forekomme uten gallestein, spesielt hos kritisk syke og skadede. Ultralydundersøkelse av galleblæren er den mest nøyaktige modaliteten hos en kritisk syk pasient, med veggtykkelse over 3,5 mm og perikolecystisk væske som de to mest pålitelige kriteriene. Kolecystektomi kan være riktig behandling (12).

    Galledrenet ble fjernet, pasienten ble bedre klinisk, og betennelses- og levermarkørene ble normalisert. Imidlertid ble han igjen raskt septisk, med antatt fokus i galleveiene, og fikk en papillestent etter endoskopisk retrograd kolangiopankreatikografi (ERCP). Stenten vandret senere ut spontant. Man startet igjen med piperacillin/tazobactam, meropenem og flukonazol, og pasienten måtte igjen få kontinuerlig venovenøs hemodiafiltrasjon grunnet sirkulatorisk instabilitet. Etter ERCP-prosedyren fikk han pankreatitt.

    To måneder og 11 dager etter innleggelsen hadde pasienten ikke lenger behov for dialyse. Han ble flyttet til slagenheten, der han fikk tverrfaglig rehabilitering. Han var da sengeliggende med uttalt høyresidig parese, hemianopsi og neglekt. Han hadde også lette hukommelsesproblemer og noe vansker med ordflyten, men ingen afasi. Etter nesten fem måneder ble han utskrevet til videre rehabilitering. Han kunne da løfte høyre arm mot tyngdekraften, men hadde dårlig håndfunksjon. Han kunne gå ca. 50 meter med prekestol og det var betydelig bedring når det gjaldt neglekt, men han trengte fortsatt hjelp til stell, påkledning og toalettbesøk.

    Kreatininnivået hadde falt til 146 µmol/l, med estimert glomerulær filtrasjonsrate (eGFR) (etter MDRD-formelen) på 43 ml/min/1,73 m², hvilket tilsvarer nyresvikt i stadium 3. Blodtrykket var adekvat. Pasienten hadde gått ned i vekt fra ca. 130 kg til 105 kg. Han fikk en depresjon i forløpet, men hadde god effekt av citalopram.

    Fem måneder etter utskrivningen kunne han gå uten støtte. Ved kontroll etter 11 måneder, etter at han hadde vært på to ukers utenlandsferie, hadde han fremdeles moderat parese av høyre arm og skåret 29 av 30 på MMS og 3 – 4 av 5 på klokketest. Et drøyt år etter innleggelsen hadde pasienten godt nok syn til å inneha førerkort klasse B. Han oppga stor glede over å være i live og rapporterte høy livskvalitet.

    Diskusjon

    Diskusjon

    Pasienten ble innlagt med to vanlige symptomer ved en indremedisinsk avdeling: synkope og hypotensjon. Det viste seg at han hadde en svært alvorlig diagnose, med høy mortalitet. Han ble innlagt i et sykehus med akuttkirurgisk beredskap og traumeberedskap med thoraxkirurgisk tilstedevakt. Grunnet raskt tverrfaglig samarbeid ble nødvendige tiltak gjort uten at sikker etiologisk diagnose forelå. Det er overveiende sannsynlig at pasienten ikke hadde overlevd dersom han var blitt innlagt i et sykehus uten de samme ressursene og den samme beredskapen.

    Tolkingen av symptomene var initialt vanskelig. Pasienten hadde abdominale symptomer og ga aldri uttrykk for smerter i thorax. Vakthavende leger i mottak er i norsk tradisjon som regel legestabens yngste og minst erfarne. Diagnostikk og håndtering kan være vanskelig også ved akutte og umiddelbart livstruende tilstander. Selv om vi i ettertid ser at pasientens debutsymptomer og kliniske tegn er typiske for en vaskulær katastrofe, var det ingen klare tegn på at dette var et rumpert aneurisme på aorta ascendens. Pasienten ble oppfattet som kritisk syk og raskt prioritert til umiddelbar CT-undersøkelse.

    Det ble initialt ikke erkjent at pasienten hadde sirkulasjonssvikt. Pasienter med sirkulasjonssvikt bør ikke til CT-undersøkelse, men stabiliserende tiltak og målrettede undersøkelser må iverksettes umiddelbart. Ekkokardiografi er indisert ved mistanke om kardiogent sjokk. Ved hjertetamponade er avlastning det stabiliserende tiltak, imidlertid ble det hos vår pasient ikke påvist perikardvæske ved den første ultralydundersøkelsen.

    Det er mulig at hjerneskaden hos vår pasient var blitt større dersom man hadde sydd distale anastomose i sirkulasjonsstans, ettersom cerebral hypoperfusjon kort tid etter hjerneslag kan tenkes å føre til økt utbredelse av infarktet (13). Aortadisseksjon opereres som regel med sirkulasjonsstans ved dyp hypotermi og medfører ofte lang tid med ekstrakorporeal sirkulasjon. Dette medfører koagulopati, og blødning er en vanlig komplikasjon. Fibrinolysehemmeren aprotinin var inntil nylig mye brukt for å redusere blødningskomplikasjoner ved hjertekirurgi. Etter rapporter om økt dødelighet er denne blitt trukket fra markedet (14, 15). Det har vært foreslått at aprotinin kan bidra til nyresvikt, hjerteinfarkt, hjerneslag og encefalopati ved hjertekirurgi (7). Selv om bruk av midlet ikke har vært undersøkt hos pasienter som gjennomgår akutte hjerteinngrep, kan man tenke seg at det kan ha bidratt til det kompliserte forløpet hos vår pasient.

    Pasienten utviklet raskt dialysekrevende nyresvikt og det vi oppfattet som ventilatorassosiert pneumoni. Røntgenforandringene ble beskrevet som bilateral basal sløring, i tillegg til stuvning og atelektaser. Vi kan ikke utelukke at det i alle fall delvis kunne dreie seg om akutt lungeskade (acute lung injury, ALI), og på det mest akutte oppfylte han kriteriene for akutt lungesviktsyndrom. Pasienten ble tiltakende septisk med alvorlig nyresvikt, og aminoglykosidbehandling var derfor kontraindisert. Sent i forløpet ble han behandlet med meropenem, noe som nok bidro til at han ble infeksjonsfri. Meropenem er dialyserbart, har effekt mot pseudomonas og kan brukes som monoterapi ved sepsis. Hadde man startet med midlet tidligere, ville trolig tiden pasienten var septisk blitt kortet ned og multiorgansvikten kanskje mindre uttalt.

    Man kunne antakelig ha forsøkt å drenere galleblæren to dager tidligere, men det ble på dette tidspunkt kun funnet urenheter, og det er usikkert om drenering tidligere ville ha påvirket forløpet. Pasienten fikk utført endoskopisk retrograd kolangiopankreatikografi med innleggelse av papillestent og utviklet deretter pankreatitt. Det er mulig dette kunne ha vært unngått dersom vi hadde valgt å avvente dette og i stedet foretrukket antibiotikabehandling alene eller med perkutan drenasje.

    Vår pasient fikk kontinuerlig venovenøs hemodiafiltrasjon, men det er ikke vist at dette er overlegent kontinuerlig venovenøs hemodialyse ved akutt nyresvikt eller sepsis. Det er heller ikke vist at kontinuerlig venovenøs hemofiltrasjon gir bedre overlevelse eller nyrefunksjon enn intermitterende hemodialyse hos akutt kritisk syke pasienter med akutt nyresvikt (16). Det kan virke som om intermitterende og kontinuerlig nyreerstattende behandling gir like gode resultater ved akutt nyresvikt (17).

    Denne kasuistikken beskriver et komplisert, langvarig postoperativt forløp med multiorgansvikt og sepsis, og illustrerer behovet for kompetanse fra flere medisinske subspesialiteter samt behandling og omsorg på flere nivåer. Behandlingssløyfen for akutte tilstander krever et velfungerende akuttmottak og god tverrfaglig samhandling med umiddelbar radiologisk service, akuttkirurgisk beredskap og mulighet for langvarig intensivbehandling og rehabilitering.

    Pasienten har gitt samtykke til at artikkelen blir publisert. Vi takker Dag Jacobsen, Torgeir Bruun Wyller, Øystein Arild Vengen og Jorunn Skattum for viktige bidrag og gode innspill.

    Kommentarer  ( 0 )
    PDF
    Skriv ut

    Anbefalte artikler