Ei kvinne i 50-åra med hovudverk, uklart syn og utslett

    ()

    sporsmal_grey_rgb
    Abstract

    Background.

    Autoimmune hyperlipidemia (AIH) is a rare cause of secondary hyperlipidemia. A few cases of AIH have been reported in multiple myeloma.

    Material and methods.

    A female in her fifties was referred to the outpatient clinic presenting with headache, blurred vision and skin rash. Physical examination with subsequent laboratory and histological examinations revealed severe hyperlipidemia secondary to secretory multiple myeloma with monoclonal IgG kappa protein and erythrocytosis secondary to a erythropoietin secreting adenoma in the liver.

    Results and interpretation.

    Treatment for multiple myeloma (induction treatment and autologous hematological stem cell transplantation) gained partial remission and was associated with normalization of serum lipids. There was no need for further medical treatment of the hyperlipidemia. Three years after the initial treatment, serum concentrations of triglycerides and total cholesterol increased in parallel with monoclonal IgG kappa protein. Total cholesterol and triglycerides decreased and remained within the reference ranges after retreatment with a second autologous stem cell transplantation. Surgical removal of the hepatic adenoma caused normalisation of the erythropoietin concentration and resolution of the erythrocytosis. The present case reports two rare complications (AIH and erythrocytosis) to multiple myeloma and hepatic adenoma, with regression of complaints and normalisation of laboratory tests after adequate treatment of underlying diseases.

    Artikkel

    Kvinna kontakta lege fordi ho var plaga av hovudverk, uklart syn og utslett. Ho fekk påvist sekundær hyperlipidemi og erytrocytose. Behandling med cellegift førte til normalisering av lipidverdiane, medan kirurgisk behandling gav tilbakegang av erytrocytosen.

    Ei kvinne i 50-åra vart av fastlegen sendt til utgreiing ved medisinsk poliklinikk ved eit universitetssjukehus på grunn av eit samansett sjukdomsbilete. Ho hadde fjerna uterus pga. myom og fått diagnosen diskoid lupus med trombocytopeni seks år tidlegare. Hemoglobinnivået hadde i fleire år vore rundt 18 – 19 g/100 ml. Ho hadde i lang tid hatt hovudverk, og det siste året hadde ho vore svært slapp, hadde kjent seg kraftlaus og hatt smerter i ledda. Det siste halve året før konsultasjonen hadde ho hatt uklart syn og rennande og irriterte auge, utan at ho hadde observert puss. Pasienten hadde eitt år tidlegare vore undersøkt ved lokalsjukehuset for erytrocytose. Hjarte- og lungesjukdom var ikkje påvist og beinmargsutstryk var normalt. Ultralyd av buken hadde vist ein tumor i venstre leverlapp. På CT-biletet var storleiken 7,5 × 6,5 × 6 cm. På grunn av lågt trombocyttal var det ikkje teke biopsi, men kontroll-CT to månader seinare ved lokalsjukehuset viste at storleiken ikkje var endra.

    Pasienten hadde eit samansett sjukdomsbilete. På grunn av avvik i hematologiske prøvar var det planlagt å undersøkje beinmargen. Ved erytrocytose (auka tal erytrocyttar i blodet) kan serumnivået av erytropoietin gje nyttig informasjon om etiologien – høg verdi kan tyde at erytrocytosen er sekundær. Vanlegast er hjarte- og lungesjukdom, som gir hypoksi, men leversjukdom, nyresjukdom og einskilde svulsttypar kan òg føre til auka produksjon av erytropoietin.

    Pasienten opplyste at dei naturlege funksjonane var som dei skulle vere. For hovudverken brukte ho ibuprofen tablettar. Ho røykte 10 – 15 sigarettar dagleg. Huda var grov og ru, relativt brunpigmentert. Desse endringane var lokalisert til både rygg, bryst og armar. I ansiktet, som var raudfarga (plethora), var det fleire små lyse, hudfarga heva parti på eit par millimeter i diameter og einskilde små, tydelege kar (teleangiektasi) (fig 1). Det var tydeleg karteikning i conjunctiva, som var tjukkare enn vanleg med nedslag av granulært materiale. Neglesengene og munnslimhinne var blålilla. Trommestikkfingrar (clubbing) vart notert. Blodtrykket var 155/100 mm Hg, pulsen 82. Status elles var utan merknader.

    Endokrine avvik kan føre til hyperpigmentering og slapphet. Hudendringane kunne minne om små xantom, og lipidverdiane vart difor undersøkt. Trommestikkfingrar kunne gje mistanke om lunge- eller hjartesjukdom.

    Blodprøvene viste hemoglobinkonsentrasjon på 17,4 g/100 ml (11,5 – 16,0 g/100 ml), hematokrit 53 % (35 – 45 %), leukocyttar 3,8 · 10⁹/l (4,0 – 11,0 · 10⁹/l ) og trombocyttar på 80 · 10⁹/l (150 – 450 · 10⁹/l). Senkingsreaksjonen var 42 mm/t (< 28 mm/t), CRP-nivået < 5 mmol/l (< 5 mmol/l).

    Erytrocytose vart stadfesta med ein hematokritverdi over øvre referansenivå. På grunn av høg senkingsreaksjon vart det gjort serumelektroforese og kvantitering av immunglobulin.

    Blodutstryk viste erytrocytær anisocytose (ulik storleik), normal fordeling av leukocyttar og trombocytopeni. Ved beinmargsaspirasjon vart det funne 25 % plasmaceller. Cristabiopsi viste hypercellulær beinmarg, hyperplasi av megakaryocyttane, men med normal morfologi. Det var rikeleg med normoblastar og forholdet mellom erytropoiese og myelopoiese var anslagsvis 1 : 1. Det var auka tal modne og til dels umodne plasmaceller.

    Beinmargsbiopsien stadfesta funnet av plasmaceller. Vanlegvis dominerer myelopoesen i beinmarg, men hos pasienten vår var erytropoesen tydeleg stimulert. Hyperplasi av megakaryocyttane kunne tyde på auka nedbryting av blodplater. Dette kan ha mange årsaker, hos pasienten vår kunne eventuelt revmatologisk sjukdom, stor tumor i levra (hemangiom) eller immunologisk trombocytopenisk purpura vere aktuelt.

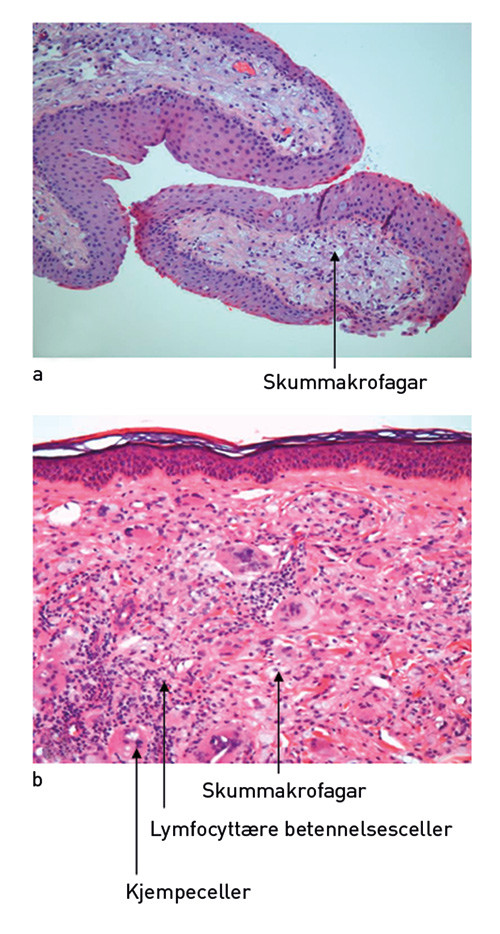
    Kolesterolnivået var 15,7 mmol/l (3,9 – 7,8 mmol/l), triglyseridnivået 31,4 mmol/l (0,5 – 2,6 mmol/l), HDL-kolesterolnivået 1,9 mmol/l (1,0 – 2,7 mmol/l) og LDL-kolesterolnivået 0,5 mmol/l (2,0 – 5,3 mmol/l). Lipidelektroforesen viste eit dominerande diffust avgrensbart band i prebetaregionen som passa best med ein type III-hyperlipidemi. Albuminnivået var 26,8 g/l (36,0 – 45,0 g/l) og totalproteinnivået 82,6 g/l (64,0 – 79,0 g/l). Histologisk undersøking av conjunctiva (fig 2a) viste lipidrike makrofagar, og i hudbiopsien vart det sett kjempeceller, skumceller og betennelsesceller (fig 2b).

    Pasienten hadde alvorleg hyperlipidemi – med totalkolesterolnivå på 15 mmol/l, triglyseridnivå på 30 mmol/l i serum og fettavleiring i huda. Hypertriglyseridemi (> 11 mmol/l) kan utløyse akutt pankreatitt, slik at tiltak må settast i verk raskt for å redusere nivået. Hyperlipidemi kan vere sekundært til både sjukdom, som diabetes mellitus type 2, nefrotisk syndrom, kronisk nyresvikt, hypotyreose og kolestatisk leversjukdom, og til andre faktorar, som sigarettrøyking, alkoholmisbruk, overvekt og medikamentbruk (tiazid, β-blokkarar og peroral østrogenbehandling). Pasienten hadde røykt i 40 år, men sigarettrøyking kunne ikkje forklare den uttalte dyslipidemien. Sigarettrøyking vil kunne gje moderat reduksjon i serum-HDL-kolesterolnivå og kan indusere insulinresistens. Ingen av dei vanlege årsakene til sekundær dyslipidemi vart funne hos pasienten.

    Kvinna vart lagt inn for vidare undersøking for myelomatose, erytrocytose og hyperlipidemi. Ho fasta og vart sett på behandling med atorvastatin 80 mg (Lipitor) og eikosapentaensyre (EPA) og dokosaheksaensyre (DHA) kapslar (3 kapslar × 2 (Omacor)). I løpet av få dagar fall triglyseridnivået til 13,5 mmol/l, amylasenivået var heile tida i normalområdet. Pasienten fekk etter kvart ete feittfattig kost. Lipoproteinlipaseaktiviteten i postheparinplasma (100 IU heparin/kg kroppsvekt) vart målt til 410 IE/ml (i normalområdet). Genotyping av apolipoprotein E (ApoE) viste at ho var homozygot E3/3.

    EPA og DHA er essensielle feittsyrer som sett ned syntesen av triglyserid og VLDL-kolesterol, medan atorvastatin reduserer nivået av totalkolesterol, LDL-kolesterol, apolipoprotein B og triglyserid. ApoE er essensielt for normal katabolisme av triglyseridrike lipoprotein. Genotypen E2 (homozygot E2/E2) er assosiert med familiær hyperlipoproteinemi type III, som er karakterisert av auka konsentrasjon av kolesterol og triglyserid i serum, medan E3, som vart påvist hos pasienten vår, er den normale varianten.

    Det vart ikkje påvist endokrin sjukdom som eventuelt kunne forklare hyperpigmenteringa. Revmatolog fann ikkje haldepunkt for at det kunne vere inflammatorisk revmatisk sjukdom. Ved serumelektroforese vart det påvist ein monoklonal komponent av IgG-kappatype. Total-IgG vart kvantitert til 34,9 g/l. Beta-2-mikroglobulin var 5,3 mg/l (1,4 – 3,2 mg/l). Bence-Jones’ proteinuri på 834 mg/l vart vist, medan vanleg røntgenundersøking av skjelettet ikkje viste osteolyse. Nyreprøver og elektrolyttar var alle i normalområdet, medan ASAT og ALAT var like over øvre referansegrense. Konsentrasjonen av erytropoietin i serum var på 68,6 IE/l (3,7 – 31,5 IE/l).

    Diagnosen myelomatose vart stadfesta. Både albumin og beta-2-mikroglobulin har prognostisk verdi ved myelomatose, der lågt albuminnivå og høgt nivå av beta-2-mikroglobulin er negative markørar.

    Serum-erytropoietin over øvre referanseområde gav grunn til å tru at erytrocytosen var sekundær. Det var difor grunn til å gjere ny lunge- og hjarteundersøking, som var gjort eitt år tidlegare ved lokalsjukehuset, samt gjere radiologisk diagnostikk med tanke på erytropoietinproduserande tumor. Ved slike tumorar er ofte serumkonsentrasjonen svært høg, men ein tumor kan heller ikkje utelukkast ved ein konsentrajon like over øvre referansegrense, som hos pasienten vår (1).

    CT caput viste ikkje noko patologisk intrakranialt, men små lytiske endringar i kraniet. CT thorax var normal, medan MR-undersøking stadfesta funn av solid tumor i levra, som lada kontrast og var uendra i storleik. Lungemedisinsk vurdering viste god lungefunksjon, med pO2 på 11,8 kPa og nattleg oksygenmetning over 92 %, trass i 40 år med røyking. Ekkokardiografien var normal. Det vart tatt biopsi av tumoren i levra, med spørsmål om mellom anna erytropoietinproduserande tumor, xantom eller adenom. Den histologiske diagnosen var adenom.

    Det er godt dokumentert at hepatocellulære karsinom kan produsere erytropoietin. Det var mindre sannsynleg at pasienten vår hadde malign levertumor, på grunn av langvarig uendra storleik. Vi valde likevel å ta biopsi, mellom anna for å få vurdert produksjonen av erytropoietin. Immunhistokjemisk vart det påvist erytropoietin i adenomet (2).

    Det var indikasjon for behandling av myelomatosen, og pasienten fekk cyklofosfamid og deksametason – med god respons (fall i monoklonal komponent og reduksjon i plasmaceller i beinmargen). Deretter vart det hausta autologe stamceller, og høgdosebehandling med autolog stamcellestøtte (HMAS) vart gjennomført. Totalkolesterolnivået var 3,7 mmol/l og triglyseridnivået 2,1 mmol/l før høgdosebehandlinga. Ved kontroll tre månader etter autolog stamcelletransplantasjon vart all lipidseinkande medikasjon stoppa.

    Pasienten hadde i samband med cellegiftbehandlinga eit kortvarig fall i hemoglobinkonsentrasjonen, og hovudverken vart då borte. Det vart starta med venesectio etter at hemoglobinkonsentrasjonen steig til same nivå som før behandlinga med cellegift.

    Ved kontroll 2,5 år etter høgdosebehandling med autolog stamcellestøtte hadde pasienten ingen plager. Hovudverken vart borte etter oppstart av venesectio med mål om å halde hematokritnivået under 0,45 %. Endringane i huda var nesten borte, ho hadde klart syn og i conjunctiva var det ingen karinjeksjon. Lupusliknande utslett hadde ho heller ikkje hatt.Blodplatetalet har halde seg i underkant av 100 · 10⁹/l. Det var ingen hyperlipidemi, totalkolesterolnivået var 3,0 mmol/l (3,3 – 6,9 mmol/l), HDL-kolesterolnivået 1,1 mmol/l (1,0 – 2,7 mmol/l), LDL-kolesterolnivået 1,8 mmol/l (2,0 – 5,3 mmol/l) og triglyseridnivået 0,5 mmol/l (0,5 – 2,6 mmol/l).Ved serumelektorforese vart framleis monoklonalt IgG-kappa påvist, men totalkonsentrasjonen av IgG på 9,2 g/l var i normalområdet. Det var heller ingen auke av plasmaceller i beinmargen, slik at pasienten hadde ein god partiell respons etter behandlinga.

    Malign transformasjon hos opptil 13 % av pasientane med hepatocellulære adenom er rapportert (3).

    Pasienten ynskte å få fjerna svulsten i levra, og ho vart henvist til operasjon 2,5 år etter at ho fekk høgdosebehandling med autolog stamcellestøtte. Erytropoietinkonsentrasjonen i serum var ved kontrollmåling fire månader etter fjerning av svulsten normalisert, hemoglobinnivået var i normalområdet og det hadde ikkje vore naudsynt å gjere venesectio.

    Ved kontroll tre år etter høgdosebehandlinga var pasienten framleis i god form, men totalkolesterolnivået hadde stige til 7,5 mmol/l og triglyseridnivået til 7,9 mmol/l. Kvantitering av immunoglobulin viste stigande IgG og aukande del plasmaceller i aspirat av beinmargen. Pasienten starta på ny med cytostatika og gjennomgjekk ny høgdosebehandling med autolog stamcellestøtte. Det vart ikkje gjeve lipidseinkande medikasjon. Allereie etter første induksjonskur med cyklofosfamid og deksametason var lipidverdiene fallande, og etter to behandlingssyklusar hadde totalkolesterolnivået falle til 3,6 mmol/l og triglyseridnivået til 1,6 mmol/l. Ved kontroll to år etter andre høgdosebehandling med autolog stamcellestøtte var pasienten framleis i fin form – med total-IgG på 7,8 g/l og totalkolesterol- og triglyseridnivå i nedre del av referanseområdet.

    Diskusjon

    Diskusjon

    Pasienten hadde uttalt dyslipidemi ved første konsultasjon. Ved primær hyperlipidemi med så høge lipidverdiar vil ein vente høg insidens av hjarte- og karsjukdom i familien, men så var ikkje tilfellet hos denne pasienten. Genotyping av ApoE gav heller ikkje grunnlag for å tru at dette var familiært. Dei vanlege årsakene til sekundær hyperlipidemi vart ikkje påvist. Då pasienten hadde erytrocytose og høg senking, vart beinmargen undersøkt og serumelektroforese utført. Diagnosen myelomatose vart stilt på grunnlag av monoklonal komponent av IgG-type i serum, osteolyse i kraniet og over 10 % plasmaceller i beinmargen.

    Ved myelomatose er lipidverdiane vanlegvis i normalområdet (4) eller reduserte (5, 6). Ut frå litteraturen kan ein ved myelomatose sjå flate xantom trass i normale lipidverdiar (7). Ved litteratursøk vart det funne fleire kasuistikkar der det vart rapportert om monoklonal komponent som grunnen til hyperlipidemi (7) – (12).

    Pasienten fekk behandling med lipidsenkande medikasjon og feittfattig kosthald. Om lipidseinkande medikasjon åleine ville hatt særleg effekt hjå henne er usikkert, då det er rapportert om behandlingsresistens for lipidsenkande medikasjon ved denne tilstanden (7). Ho starta med cellegift kort tid etter at diagnosen myelomatose vart stilt, og totalkolesterol- og triglyseridnivå fell parallelt med reduksjonen i den monoklonale komponenten. Låge lipidverdiar i stabil fase av myelomatosen og stigande verdiar ved progrediering av sjukdommen tre år etter høgdosebehandling med autolog stamcellestøtte, med nytt fall etter start med cytostatika, gjev grunn til å tru at det var ein kausal samanheng mellom den monoklonale komponenten og endringa i lipidomsetninga hos pasienten.

    Omgrepet autoimmun hyperlipidemi (AIH) er brukt for å forklare denne tilstanden (13). Autoimmun hyperlipidemi vart definert som ein metabolsk sjukdom der antistoff bind seg til molekyl som tek del i transport og fjerning av plasmalipider. Fleire mekanismar er moglege: Redusert lipoproteinlipaseaktivitet er rapportert (14), men hos pasienten vår vart det målt normal lipoproteinlipaseaktivitet. Dette kunne tyde på at hyperlipidemien skuldast manglande opptak av triglyseridrike lipoprotein i levra. Monoklonalt immunglobulin kan via binding til lipoproteinpartiklar hindre binding til reseptor på levercellene (7, 15). Alternativt kan ein tenkje seg at antistoffa kan binde seg til reseptoren på levercellene og blokkere denne. Det er også rapportert om redusert hepatisk triglyseridlipaseaktivitet ved denne tilstanden (11). Pasienten vår hadde ikkje svært høgt nivå av monoklonal komponent. Trass i vedvarande lågt nivå av monoklonal komponent etter avslutta cellegiftbehandling normaliserte lipidverdiane seg. Det kan tyde på at ein må over ein viss konsentrasjon av monoklonal komponent for å få ein blokkerande effekt. Denne konsentrasjonen vil truleg variere med affiniteten til antistoffet for det molekylet som antistoffet bind seg til.

    Erytrocytosen var eit resultat av auka produksjon av erytropoietin. Det er rapportert at både nyrecellekarsinom, levercellekarsinom, leiomyom og cerebellare tumorar kan produsere erytropoietin. Vi har berre funne ein kasuistikk om erytropoietinproduserande adenom i lever (1). Dette var hos eit barn der erytropoietinkonsentrasjonen var like over øvre referansegrense. Etter fjerning av adenomet normaliserte hemoglobinkonsentrasjonen seg. Vår myelomatosepasient hadde ingen plager relatert til erytrocytose så lenge venesectio vart gjennomført. Eit par år etter at ho hadde fått høgdosebehandling med autolog stamcellestøtte ynskte ho å få fjerna leversvulsten. Hemoglobinkonsentrasjonen har etter dette vore i normalområdet.

    Trombocytopenien har vore stabil. Megakaryocytthyperplasi kunne tyde på auka nedbryting av blodplater. Det vart påvist eit adenom i levra, ikkje eit hemangiom, som teoretisk kunne gje trombocytopeni. Ved immunologisk trombocytopenisk purpura finn ein ofte megakaryocytthyperplasi i beinmargsbiopsi. I samband med cellegiftbehandlinga vart det også gjeve deksametason. Vi har ingen målingar av platetalet etter innleiande kurar med cyklofosfamid og deksametason. Derimot var platetalet over 130 · 10⁹/lto døgn etter høgdosebehandlinga med melfalan. Deksametason vart her nytta som kvalmestillande medikasjon. Dette kan eventuelt tyde på at trombocytopenien hadde immunologisk grunnlag.

    Median alder ved myelomatose er omtrent 70 år, men det er stor variasjonsbreidd. Hyperlipidemi er ein sjeldan komplikasjon til myelomatose, men kasuistikken viser at hos menneske med mistenkt sekundær hyperlipidemi bør serumelektroforese gjerast dersom ein ikkje påviser ein av dei meir vanlege årsakene.

    Pasienten har samtykka til publisering.

    Kommentarer  ( 0 )
    PDF
    Skriv ut

    Anbefalte artikler