Ung mann med sterke ryggsmerter

    ()

    sporsmal_grey_rgb
    Artikkel

    Smerte i korsryggen er et vanlig symptom. Rundt 50 % av befolkningen har hatt slike plager i løpet av de siste 12 månedene. Grundig anamnese og klinisk undersøkelse er avgjørende for å identifisere pasienter med alvorlig underliggende tilstand.

    Pasienten var en mann i 20-årene som var tidligere frisk bortsett fra periodevise ryggplager. Han begynte gradvis å føle seg mer sliten og trett enn tidligere og fikk diffuse smerter i kroppen samt uttalt sårhet i brystvortene som ble forverret av gnissing fra tøy.

    Sårhet i brystvortene kan ha vært uttrykk for gynekomasti, som er en benign proliferasjon av brystvev hos menn. Ved ekte gynekomasti foreligger vev med fast konsistens under brystvortene og areola. Ved pseudogynekomasti, som ofte ses hos overvektige, er det derimot en økning av fettvev i brystene uten vekst av kjertelvev. Gynekomasti kan være bilateral og symmetrisk eller unilateral. I sjeldne tilfeller foreligger det brystkreft. I årene 2005 – 09 ble det meldt inn 14 – 21 nye tilfeller av brystkreft hos menn i Norge per år (1).

    Etter noen måneder utviklet han lumbale ryggsmerter og begynte å hoste opp små mengder friskt blod, etter hvert økende i frekvens og mengde. Smertene i ryggen økte i intensitet. De var lokalisert lumbalt med utstråling til hofte og flanke. Han fikk behandling med ikke-steroide antiinflammatoriske midler (NSAID-midler) som skal ha blitt oppfattet som årsak til hemoptyse. Han ble utredet for mistenkt parkinsonisme hos nevrolog pga. tremor i høyre hånd. Ved undersøkelse var det tannhjulsrigiditet i overekstremiteter samt litt nedsatt tempo og dysdiadokokinesi på høyre side. MR av columna viste degenerative forandringer og et ørlite prolaps i L5/S1, som muligens kunne affisere venstre S1-rot. Ved røntgen thorax var det negative funn. Pasienten ble etter hvert sengeliggende og lå i flere uker hjemme med sterke, nærmest uutholdelige ryggsmerter og hemoptyse.

    Prolaps i L5/S1 ble antatt å være årsaken til pasientens sterke ryggsmerter, men han hadde ikke utstråling til underekstremitet og ble ikke bedre av konservativ smertestillende behandling. Korsryggssmerter har i 1 – 5 % av tilfellene en alvorlig underliggende årsak (2). Aktuelle differensialdiagnoser ved ryggsmerter i hans pasientgruppe er bl.a. infeksjon (osteomyelitt/diskitt), inflammatoriske leddlidelser og neoplasi (lymfom/leukemi/metastatisk karsinom). Imidlertid var det gjort grundig bildediagnostikk av columna som sannsynligvis ville ha påvist disse tilstandene. Diagnoser som ikke var sikkert avklart med MR var sykdom i abdomen/pelvis, slik som prostatitt, pyelonefritt, urolitiasis, abscess, aortaaneurisme og retroperitoneale svulster.

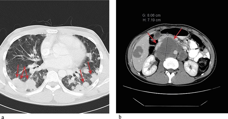
    Pasienten utviklet nattesvette i så stor grad at sengetøyet ble gjennomvått og måtte skiftes. Han ble allment dårligere, fikk i tillegg brystsmerter og ble etter hvert innlagt på lokalsykehuset. CT viste et stort antall rundfortetninger i begge lunger, forandringer i lever, ekspansive prosesser paraaortalt samt forstørrede lymfeknuter i bekkenet. Det forelå tumormasser retroperitonealt, med største diameter 10 cm (fig 1). Han hadde sterke, opiatrefraktære brystsmerter og hadde takypné og lav O₂-metning. Han ble overført til intensivavdeling der det ble lagt inn epiduralkateter, med god symptomlindrende effekt. Han ble oppfattet som svært syk med utbredt kreftsykdom. Det ble derfor raskt tatt kontakt med tertiærsykehus med tanke på overflytting for videre utredning og behandling. Pasienten ble overført til dette sykehuset omkring ett år etter at han første gang søkte lege for mastalgi.

    Det ble påvist utbredte tumormasser hos pasienten. De mest nærliggende differensialdiagnosene hos en ung mann med slike funn vil være kimcellesvulst (testikkelkreft), lymfom eller sarkom. Videre utredning må først og fremst rette seg mot disse diagnosene.

    Ved ankomst var han i dårlig forfatning med feber, takykardi og dyspné. Han hadde hemoptyse og store smerter i bryst og rygg, utviklet respirasjonssvikt og ble behandlet på intensivavdeling med ikke-invasiv ventilasjonsstøtte. Palpasjon av testiklene var ikke sikkert patologisk, men ultralyd påviste malignitetssuspekt funn i venstre testikkel. Tumormarkøren humant koriongonadotropin (β-hCG) var over 500 000 IU/l (normalt < 3), mens alfaføtoproteinnivået (AFP) var normalt.

    β-HCG-nivåer > 10 000 IU/l forekommer nesten utelukkende ved hormonproduserende kimcellesvulster (3). Det ble derfor konkludert med at pasienten enten hadde avansert testikkelkreft eller ekstragonadal kimcellesvulst. Omkring 5 % av kimcellesvulstene er ekstragonadale (4). Histologien er som ved testikkelkreft for øvrig, men sykdommen opptrer utenfor testiklene, ofte i midtlinjestrukturer fra hypofysen til halebeinet (4).

    Da ultralyd viste en liten, malignitetssuspekt lesjon i venstre testikkel, ble det utført venstresidig orkidektomi via lyskesnitt. Histologi viste en 0,8 cm stor tumor som ikke inneholdt maligne celler, bare fibrose. Dette kan representere fullstendig regress av kimcellesvulst. Det ble videre planlagt supplerende biopsi av abdominale tumormasser, men pasienten var så syk at man umiddelbart måtte starte kjemoterapi. Pga. skyhøyt β-HCG-nivå og utbredte metastaser ble tilstanden oppfattet som testikkelkreft i form av ikke-seminom med dårlig prognose. CT caput ga ikke holdepunkter for hjernemetastaser.

    Standard behandling for pasienter med dårlig prognose er fire kurer med bleomycin, etoposid og cisplatin (BEP-kurer) (4). Med dette behandlingsregimet har pasienten en mulighet for kurasjon på rundt 50 %. Ofte vil inklusjon i kliniske studier introdusere pasienten for nye og potensielt bedre behandlingsopplegg, samtidig som oppfølgingen under og etter behandlingen gjerne blir tettere. Så lenge samtykkekompetanse foreligger, mener vi at det er i pasientens interesse at tilbud om deltakelse i aktuelle kliniske studier blir formidlet.

    Vår pasient ble etter grundig informasjon, betenkningstid og informert samtykke inkludert i EORTC 30974-studien, en randomisert fase III-studie utgått fra German Testicular Cancer Study Group. I studien sammenliknet man konvensjonell behandling (fire BEP-kurer) med standard VIP-kur (cisplatin, etoposid og ifosfamid), etterfulgt av tre høydose VIP-kurer med autolog stamcellestøtte ved testikkelkreft i gruppe med dårlig prognose (5). Ved massiv lungeaffeksjon, som hos denne pasienten, var det tillatt med en kur med etoposid og cisplatin for å bedre allmenntilstanden før pasienten ble inkludert. Inklusjon kunne således avventes i 2 – 3 uker.

    Studien, der 27 europeiske onkologiske sentre deltok, hadde som mål å forbedre langtidsoverlevelsen for pasienter med dårlig prognose og var godkjent av de respektive sentrenes etiske komiteer (5). Høydose kjemoterapi med stamcellestøtte har dokumentert effekt ved residiv av testikkelkreft, og på den bakgrunn var det logisk å forsøke dette behandlingsregimet hos pasienter som i utgangspunktet har høy risiko for residiv på grunn av avansert sykdom.

    Pasienten ble trukket ut til høydosebehandling. Pga. store tumormasser ble han forbehandlet med rikelig væske, alkalisering av urinen og allopurinol 600 mg/døgn for å forebygge nyreskade og elektrolyttforstyrrelser ved massivt cytostatikaindusert tumorhenfall. Han fikk innledningsvis en kur med etoposid og cisplatin, deretter en normaldosert VIP-kur som er velegnet til mobilisering av stamceller. Etter stimulering med granulocyttkolonistimulerende faktor (G-CSF) fikk pasienten høstet 17,6 · 10⁶ CD34+ stamceller/kg kroppsvekt. Stamcelleproduktet ble fryst ned i tre porsjoner til bruk i forbindelse med tre planlagte høydosekurer.

    Under stamcellehøstingen er pasienten via et sentralt venekateter koblet til en aferesemaskin. Dette er en «celleseparator» som høster stamceller som på forhånd er mobilisert over i blodet ved hjelp av G-CSF. De andre blodkomponentene returneres direkte tilbake til pasienten.

    Allmenntilstanden ble gradvis bedre. Han ble videre behandlet med tre høydose VIP-kurer etterfulgt av reinfusjon av autologe stamceller. Gradvis fikk han mindre ryggsmerter og avtakende hemoptyse. Etter to cytostatikakurer var skjelvingene i armen borte.

    Pasienten ble initialt utredet for mulig Parkinsons sykdom pga. tremor. Testikkelkreft er assosiert med nevronale antistoffer (anti-Ma2-antistoffer), og pasientene kan utvikle paraneoplastisk encefalitt (6). Symptomene kan være svekket hukommelse, forvirring, kramper, forstyrrede øyebevegelser, ataksi, atypisk parkinsonisme og eksessiv søvnighet (7, 8). De nevrologiske symptomene kommer vanligvis før man stiller kreftdiagnosen. Behandling av underliggende kreftsykdom kan gi bedring av symptomene, som hos vår pasient.

    Høydosebehandlingene ble utført uten komplikasjoner, og han hadde relativt korte aplasifaser på 8 – 9 dager. Aplasifasen er den perioden pasienten er uten immunforsvar før gjenvekst og modning av de infunderte stamcellene. Han hadde som forventet nøytropen feber etter hver høydosekur og ble behandlet empirisk med antibiotika etter standardrutinene ved vår avdeling. Pasienten hadde til dels betydelig diaré, noe som er vanlig under høydosebehandling og som ble oppfattet som kjemoterapiindusert enterokolitt. Under mesteparten av høydosebehandlingen var han i forholdsvis god allmenntilstand, men var en del plaget av kvalme og brekninger.

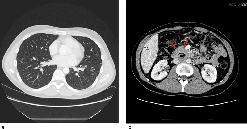
    Fem måneder etter oppstart av kjemoterapi ble det utført bilateralt retroperitonealt glandeltoilette. Histologisk undersøkelse av resektatet viste nekrotiske metastaser og en liten rest av modent teratom. På dette tidspunktet hadde han normale tumormarkører, men over 50 resterende lungelesjoner. Han ble vurdert med tanke på torakotomi og reseksjon av restlesjoner. Operasjon var imidlertid utelukket da lesjonene gjennomgående var små (< 2 cm), og i et høyt antall. Ved gjentatte bildekontroller var det tilbakegang av lungeforandringene, som ble oppfattet som sannsynlig ikke-viabelt restvev med lavt opptak ved FDG-PET-undersøkelser (fig 2).

    Ved ikke-seminomer er det anbefalt å fjerne alt restvev kirurgisk fordi ingen bildediagnostisk metode kan skille sikkert mellom viabelt tumorvev, modent teratom og fibrotisk vev.

    Pasienten er blitt fulgt videre poliklinisk i årene etter, uten holdepunkter for residiv snart fem år etter avsluttet behandling. Han har imidlertid en del plager etter intensiv kjemoterapi med bl.a. tinnitus, nevropati i form av snubletendens på ujevnt underlag, putefølelse under føttene og nummenhet i fingrene. Han har også konsentrasjonsproblemer og tretthet (fatigue). Han har ingen symptomer fra lungene og lungefunksjonen er normal. Til tross for nevnte sekveler lever han i dag et aktivt liv, men må hvile mer og blir fortere sliten enn andre på samme alder.

    Diskusjon

    Diskusjon

    Testikkelkreft er den hyppigste kreftformen blant norske menn i alderen 15 – 40 år, og forekomsten er økende (9). Det påvises ca. 300 nye tilfeller i Norge i året. Den klassiske presentasjonsformen er en smertefri svulst som pasienten selv oppdager i testikkelen. En del pasienter debuterer imidlertid med smerter eller symptomer som ved epididymoorchitt. Gynekomasti kan forekomme, og rygg- og flankesmerter er til stede hos ca. 11 % av pasientene (4). Enkelte pasienter har hemoptyse. Kryptorkisme, Klinefelters syndrom, infertilitet og testisatrofi gir økt risiko for testikkelkreft. Når det gjelder familiær genetisk risiko, øker relativ risiko for å få testikkelkreft 8 – 10 ganger for brødre og 4 – 6 ganger for sønner (4). Vanligvis vil palpasjon av scrotum gi en nokså klar mistanke om at det foreligger kreft. Svulsten er imidlertid ikke alltid palpabel, som i dette tilfellet da det kun forelå fibrotisk vev. Skrotal ultralyd er standard undersøkelsesmetode og har en sensitivitet på nær 100 % til å påvise tumor i testikkelen (10).

    Kimcellesvulster utgjør 95 % av svulster i testikkelen og deles inn i to undergrupper, rene seminomer og ikke-seminomer, som hver utgjør ca. 50 % (11). Ikke-seminomene består gjerne av flere typer histologisk vev og omfatter embryonalt karsinom, plommesekktumor, koriokarsinom, teratom og blandingstyper. Kimcellesvulster vil kunne avsløres med en enkelt blodprøve, da disse ofte produserer tumormarkørene AFP og HCG. Rene seminomer produserer ikke AFP, men opp til 30 % av seminompasientene kan ha forhøyet HCG-nivå i sykdomsforløpet (4). HCG-verdier over 200 IE/l indikerer tilstedeværelse av ikke-seminomkomponenter. Laktatdehydrogenase (LD) brukes også som tumormarkør, men er lite spesifikk. Nivået er tilnærmet proporsjonalt med tumorvolumet. Samlet sett har omtrent halvparten av pasientene med testikkelkreft økning av én eller flere tumormarkører (4).

    Orkidektomi, dvs. kirurgisk fjerning av testikkelen via lyskesnitt, er første behandlingstiltak. Deretter vil histologisk diagnose, funn av metastaser og eventuelt forhøyede tumormarkører avgjøre hvorvidt pasienten skal ha supplerende behandling. I avanserte tilfeller kan orkidektomi utsettes for ikke å forsinke oppstarten av kjemoterapi. Cisplatinbasert kjemoterapi, som ble innført i Norge i begynnelsen av 1980-årene, har ført til at kreftrelatert overlevelse for alle pasienter er minst 95 %, og over 80 % av pasientene med metastaserende sykdom blir friske når alle prognosegrupper ses under ett (9). Det er imidlertid fremdeles en del pasienter som ikke blir helbredet, og noen lever med senskader etter intensiv kjemoterapi.

    Vår pasient hadde langvarige og til dels alvorlige symptomer før han fikk diagnosen testikkelkreft og var svært medtatt da han kom til behandling. Hans første symptom var sårhet i brystvortene, sannsynligvis som uttrykk for gynekomasti. Gynekomasti er vanligvis asymptomatisk og er en vanlig fysiologisk tilstand hos nyfødte, ungdommer og eldre menn. Tilstanden skyldes økt østrogeneffekt i forhold til androgeneffekt på brystvevet. Symptomatisk gynekomasti er betydelig sjeldnere. En rekke medisinske tilstander samt en del medikamenter og alkohol kan gi gynekomasti, bl.a. gonadesvikt, kronisk leversvikt og hypertyreose. Initialfasen er preget av aktiv danning av nytt kjertelvev og er ofte ledsaget av smerte og ømhet. Symptomene vil vanligvis forsvinne av seg selv over tid etter hvert som nydanning av kjertelvev avtar og vevet blir mer fibrotisk (12). I en studie av 81 pasienter med avansert testikkelkreft hadde 10 % gynekomasti eller ømhet i brystvevet ved diagnosetidspunktet (13). Sekresjon av HCG fra tumorcellene fører via påvirkning av leydigcellene til økt produksjon av østradiol i forhold til testosteron (14).

    I vårt tilfelle ble et lite prolaps i L5/S1 oppfattet å være årsaken til pasientens ryggsmerter. Imidlertid hadde han ikke utstråling forenlig med rotaffeksjon. Smertene var lokalisert i korsrygg/hofteområdet og strålte ikke ned i underekstremitet. Når man undersøker pasienter med ryggsmerter med MR, vil mange ha patologiske funn som ikke er relatert til aktuelle smerter (15). Ved undersøkelse av pasienten skal man være ute etter symptomer på underliggende, alvorlig sykdom bl.a. i form av generell sykdomsfølelse, feber eller vekttap (2). Lumbale ryggsmerter ved testikkelkreft forårsakes av plassoppfyllende retroperitoneale glandelmetastaser som kan involvere psoasmusklene og perifere nerver, eller det kan foreligge knokkelinfiltrasjon. Ved persisterende ryggsmerter hos yngre menn hører det med å palpere testiklene og eventuelt supplere med ultralyd av testikler og bildediagnostikk av abdomen/bekken.

    Pasienten hadde hemoptyse over tid. Metastaser fra testikkelkreft kan være lettblødende og gi hemoptyse, særlig når det foreligger ikke-seminom med koriokarsinomkomponent (16). Koriokarsinomene karakteriseres av høye HCG-verdier og metastaserer tidlig både til lymfeknuter og hematogent, først og fremst til lunge, lever og sentralnervesystemet. Ved denne formen for testikkelkreft kan palpasjon av testiklene være tilnærmet normal fordi primærtumor er liten eller har gått i regress (16).

    Denne kasuistikken illustrerer tydelig farene ved forsinket diagnostikk av testikkelkreft, men også hvilke diagnostiske utfordringer som kan foreligge hos en ung mann med ryggsmerter. Det er vist at sykdomsstadium og prognose har direkte sammenheng med tidlig diagnose (4). Det er viktig å tenke på diagnosen testikkelkreft også hos menn med andre symptomer enn hevelse i testikkelen. Retningslinjer for diagnostikk, behandling og oppfølging av testikkelkreft er nylig beskrevet i et nasjonalt handlingsprogram utgitt av Helsedirektoratet (4). Primær orkidektomi skjer vanligvis på lokalsykehus, mens videre utredning og behandling skal skje ved regionsykehus. Et tett samarbeid mellom høyspesialiserte urologer, patologer, radiologer og onkologer ved samme enhet som i dette tilfellet, muliggjør effektiv informasjonsflyt og rask håndtering av kritisk syke pasienter med et komplekst sykdomsbilde. Vi mener at en slik integrert, multidisiplinær og forskningsbasert virksomhet har de beste forutsetninger for å håndtere de utfordringene som denne kasuistikken belyser.

    Pasienten har gitt samtykke til at artikkelen blir publisert.

    Kommentarer  ( 0 )
    PDF
    Skriv ut

    Anbefalte artikler