Sekundær demens

    ()

    sporsmal_grey_rgb
    Artikkel

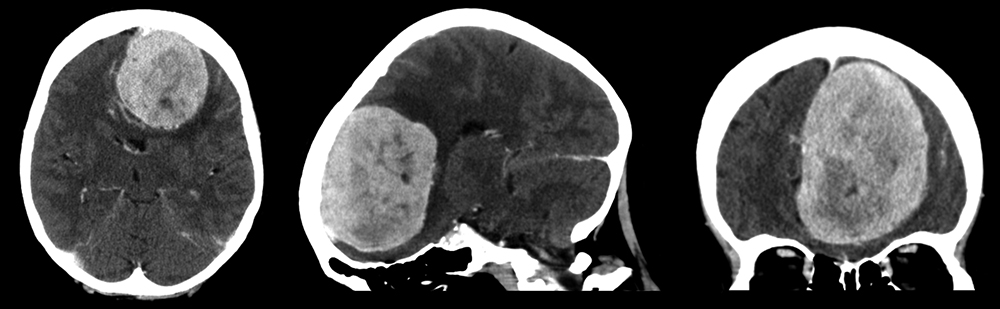
    En kvinne i slutten av 70-årene ble innlagt på medisinsk avdeling grunnet manglende evne til egenomsorg. Hun fremsto som apatisk, mimikkfattig og svært ordknapp, men somatisk og nevrologisk undersøkelse viste ellers normale funn. Pasienten hadde ikke hatt urgeinkontinens eller ukritisk atferd. Pårørende bemerket at hun var blitt økende glemsk i løpet av det siste året. Demensutredning var startet, men det var ennå ikke gjort bildediagnostikk. Ved innleggelsen ble det derfor gjort en CT-undersøkelse av hjernen med kontrast (bildene). Denne viste en 5 × 6 × 8 cm stor velavgrenset kontrastladende tumor med midtlinjeforskyvning og omkringliggende ødem i venstre frontallapp, best forenlig med et stort parasagittalt meningeom. Videre MR-undersøkelser forsterket denne mistanken.

    En operasjon ble vurdert som potensielt risikabel, alder og tumorstørrelse tatt i betraktning, men ubehandlet ville hun hatt en svært dyster prognose. I samråd med pasienten og pårørende ble det derfor besluttet å gjøre en kraniotomi med ekstirpasjon av svulsten. Operasjonen forløp ukomplisert, og tumoren ble fjernet in toto. Histologiske undersøkelser bekreftet et atypisk meningeom, WHO-grad 2.

    Det ble ikke påvist nytilkomne nevrologiske utfall postoperativt, og kognitivt ble det bemerket en bedring ved utskrivning. Ved kontroll fire uker senere fant man en tilnærmet normal kognitiv status. Hun hadde da flyttet til en omsorgsbolig og var stort sett selvhjulpen.

    Pasienten har gitt samtykke til at artikkelen blir publisert.

    Kommentarer  ( 0 )
    PDF
    Skriv ut

    Anbefalte artikler