Invasiv soppinfeksjon

    ()

    sporsmal_grey_rgb
    Artikkel

    En mann i 50-årene ble innlagt med akutt myelomonocyttleukemi. Han fikk standard induksjonsbehandling og ytterligere tre induksjonskurer, med langvarig beinmargssvikt. Det ble gitt bredspektret antimikrobiell dekning under hele aplasiperioden.

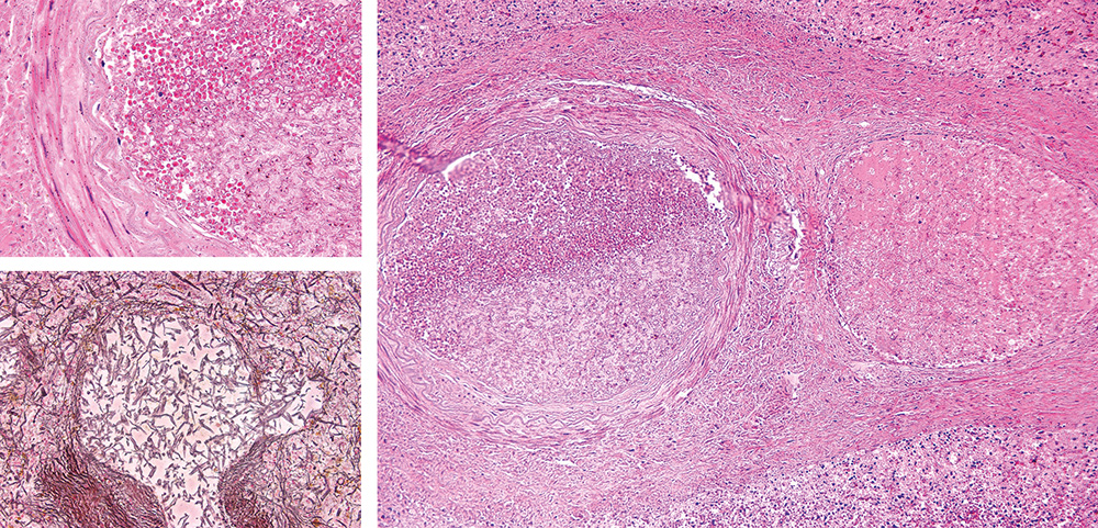
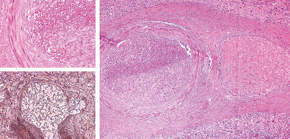
    Etter tre måneder med langvarig beinmargssvikt utviklet han lungeinfiltrater. En bronkoalveolær lavage avdekket ingen mikrobielle agenser. Kort tid etter utviklet han høyresidig hemiparese og afasi. CT-undersøkelse viste akutte infarkter flere steder i venstre hjernehalvdel. De nevrologiske symptomene tiltok, og pasienten døde to dager senere. Obduksjonen viste omfattende invasiv soppinfeksjon med sopptromber i kar i sentralnervesystemet, lungene, nyrene og milten, med diffuse hemoragiske infarkter. Soppartene Rhizomucor og Candida glabrata ble påvist i lesjonene

    Bildene viser miltarterie og vene med soppelementer, trombedanning, hemoragisk infarsering (til høyre og øverst til venstre), invasjon og gjennombrudd av karveggen (nederst til venstre).

    Disse bildene illustrerer tendensen til karveggsinvasjon, som er typisk for invasive soppinfeksjoner og som fører til uttalt vevsskade og hemoragiske infarkter – med påfølgende høy dødelighet. Pasienten fikk bredspektret soppbehandling med et echinocandin, men utviklet en infeksjon med svært resistente soppspesies (Mucor), resistente for de fleste antimykotiske midler. Økende bruk av intensiv kjemoterapi gjør det viktig å være bevisst på muligheten for slike gjennombruddsinfeksjoner. Årvåkenhet og tidlig diagnostikk er essensielt for å redusere dødeligheten som er assosiert med invasive soppinfeksjoner.

    Pasientens pårørende har gitt samtykke til at artikkelen blir publisert.

    Kommentarer  ( 0 )
    PDF
    Skriv ut

    Anbefalte artikler