Uvanlig bivirkning av et vanlig legemiddel

    ()

    sporsmal_grey_rgb
    Artikkel

    En kvinne i 50-årene hadde i mange år hatt jernmangelanemi på grunn av uforklart stort tap av jern i urin (1). Hun hadde fått blodoverføringer og intravenøst jerntilskudd i 15 år, sist i form av jern(III)karboksymaltose i større doser.

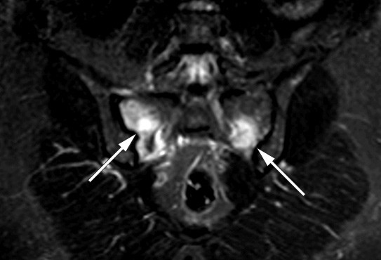
    Kvinnen utviklet så gradvis økende smerter fra korsryggen ut i begge glutealregioner. Blodprøver viste normalt kalsium-, lavt fosfat- og forhøyet ALP-nivå, PTH i øvre normalområde, normale 25-OH-vitamin D og 1,25(OH)2-vitamin D-verdier. MR-undersøkelse (STIR-sekvens) viste høysignalforandringer i begge sakralvingene og etter hvert på ileumsiden, tydende på betydelig knokkelødem (bildet til venstre). Det var oppklaringslinjer i sakralvingene som kunne gi mistanke om insuffisiensfraktur bilateralt. Helkroppsscintigrafi viste økt opptak i fremre del av os frontale på begge sider av midtlinjen, i flere costae, begge ileosakralledd og proksimalt i venstre tibia.

    Hypofosfatemisk osteomalasi sekundært til intravenøst tilskudd av jernsakkarider er tidligere beskrevet (2). De små, elektrisk nesten nøytrale jernsakkaridene filtreres i glomeruli og forstyrrer reabsorbsjon av fosfat i proksimale nyretubuli. I tillegg forstyrrer de 1-alfa-hydroksylaseaktiviteten og forverrer osteomalasien ved direkte hemming av beindanningen.

    Behandlingen består i å seponere tilskudd av jernsakkarider, eventuelt gi tilskudd av peroral fosfat og vitamin D (2). Heldigvis ser det ut til at nyretubulidysfunksjonen og osteomalasien er reversible, men alvorlige beindeformasjoner kan være permanente. Ved kontroll fem måneder etter seponering av alle jerntilskudd, var pasienten i bedring. MR viste regress av patologiske forandringer (bildet til høyre). Pasienten trenger imidlertid fremdeles behandling for jernmangelanemien og får nå en annen type intravenøst jerntilskudd. Transfusjonsbehovet varierer, avhengig av hvor ofte hun får jern.

    Pasienten har gitt samtykke til at artikkelen blir publisert.

    Kommentarer  ( 0 )
    PDF
    Skriv ut

    Anbefalte artikler