Tidleg trombocyttransfusjon ved akutt leukemi er best

    ()

    sporsmal_grey_rgb
    Artikkel

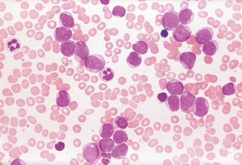
    For å hindre blødingar hos pasientar med akutt leukemi bør trombocyttransfusjon framleis bli gitt profylaktisk. Det viser ein tysk studie.

    Transfusjonar av trombocyttar kan redusere risikoen for alvorlege blødingar og død ved akutte leukemiar. Standardrutine har vore å gi trombocyttransfusjon til pasientar med låge trombocyttverdiar. Det har vore diskutert om den terapeutiske strategien med berre å gi trombocyttransfusjon til pasientar med klinisk verifisert bløding, er like effektiv.

    I ein multisenterstudie vart data frå 391 pasientar analyserte. Pasientar under intensiv kjemoterapi for akutt myelogen leukemi og pasientar som skulle gjennomgå autolog stamcelletransplantasjon vart randomiserte til anten å få trombocyttransfusjon når bløding oppstod (terapeutisk strategi) eller når trombocyttalet var under 10 · 10⁹/l (profylaktisk strategi) (1).

    Den terapeutiske strategien reduserte gjennomsnittleg talet på trombocyttransfusjonar med 33,5 % (95 % KI 22,2 – 43,1) hos alle pasientgruppene. For dei som fekk autolog stamcelletransplantasjon, var det ingen signifikant skilnad i alvorlege blødingar, men for leukemipasientane var det ein signifikant skilnad i talet på blødingar mellom den terapeutiske og den profylaktiske gruppa.

    – Studien viser at ein terapeutisk strategi for trombocyttransfusjonar kan vere mogeleg for utvalde pasientgrupper, men studien gir ikkje grunnlag for å legge om dagens praksis, spesielt ikkje for pasientar med akutte leukemiar, seier overlege Tor Hervig ved Avdeling for immunologi og transfusjonsmedisin, Haukeland universitetssjukehus.

    – Eit sentralt mål ved trombocyttransfusjon er å førebygge alvorlege og livstrugande blødingar hos pasientar med malign hematologisk sjukdom, og da verkar det å vere for risikabelt med ein terapeutisk transfusjonsstrategi. Ein tanke har vore at det kan vere billegare med ein slik strategi enn med profylaktiske trombocyttransfusjonar. Den effekten kan ein truleg oppnå ved å redusere trombocyttmengda ved kvar transfusjon, noko som også er forsøkt i tidlegare studiar, seier Hervig.

    Kommentarer  ( 0 )
    PDF
    Skriv ut

    Anbefalte artikler