Malignt hjerneinfarkt

    ()

    sporsmal_grey_rgb
    Artikkel

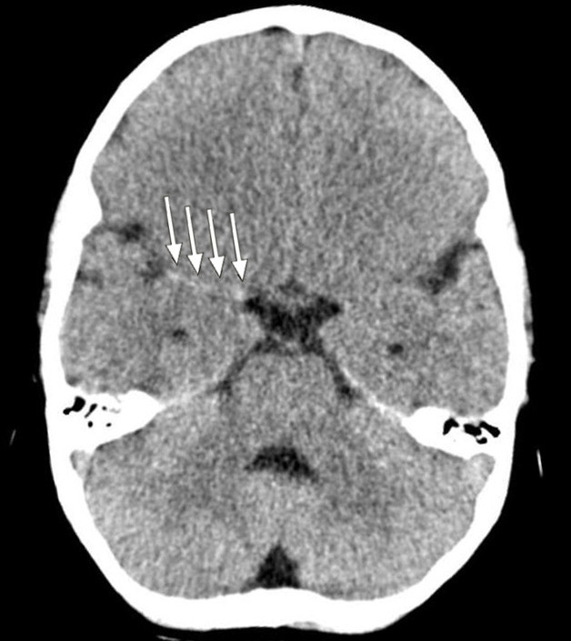
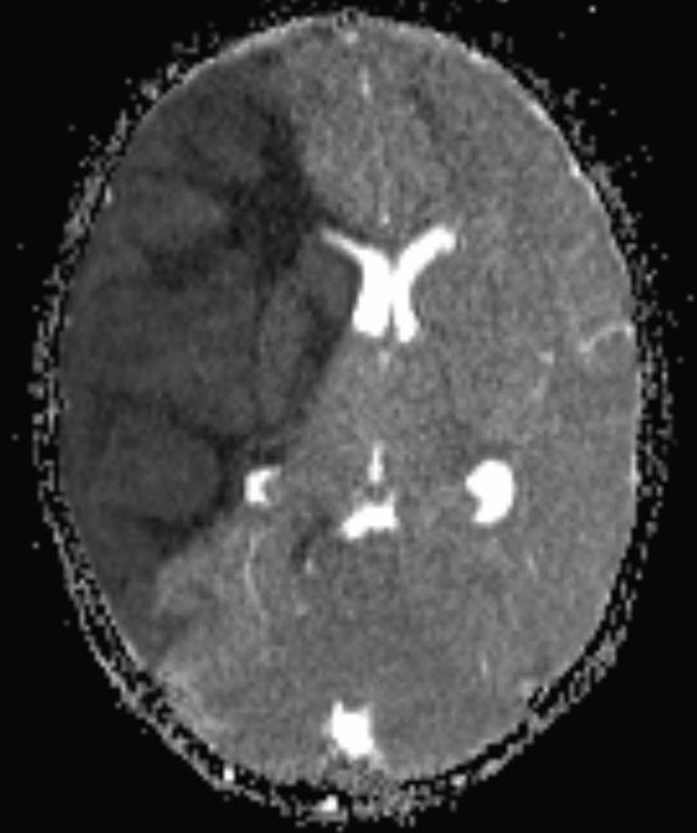
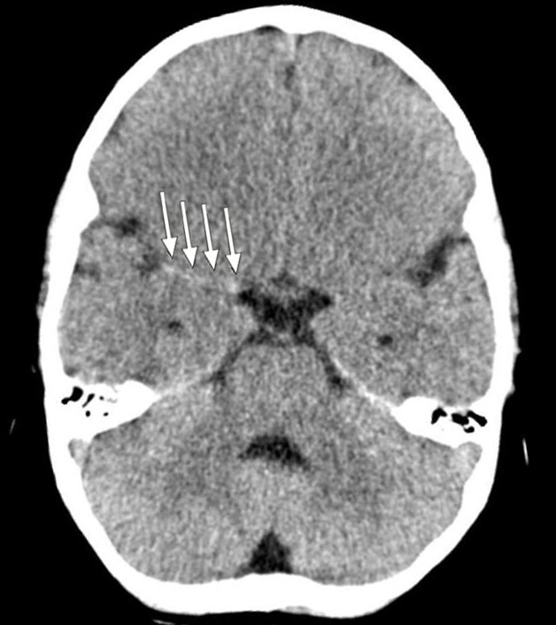
    Et barn ble innlagt med en nyoppstått venstresidig hemiparese. CT caput ved innkomst viste «tett media-tegn» (dense media sign) (piler), noe som ga mistanke om en langstrakt trombe i høyre a. cerebri media (bildet til venstre). Pasienten fikk gradvis fallende bevissthetsnivå, og det ble gjort MR-undersøkelse. Denne viste nedsatt diffusjon som tegn på ferskt infarkt i hele forsyningsområdet til a. cerebri media samt begynnende ødem (bildet til høyre).

    Nevrokirurgisk avdeling ble kontaktet, og på vital indikasjon ble det utført en trykkavlastende hemikraniektomi. På tross av kirurgisk intervensjon og medikamentell behandling lyktes man ikke med å kontrollere det intrakraniale trykket, og pasienten døde tre dager senere.

    Malignt hjerneinfarkt defineres som et infarkt med påfølgende romoppfyllende, livstruende ødem. Mortaliteten kan være så høy som 80 % med konservativ behandling (1). Det foreligger tre randomiserte, kontrollerte studier som har vist at trykkavlastende hemikraniektomi innen 48 timer gir redusert mortalitet og bedrer utfallet hos voksne under 60 år (1). Trykkavlastende hemikraniektomi ved malignt hjerneinfarkt hos barn er en svært sjelden prosedyre, men studier har vist at tidlig intervensjon kan føre til et godt funksjonsnivå (2).

    Barnets foreldre har gitt samtykke til at artikkelen blir publisert.

    Kommentarer  ( 0 )
    PDF
    Skriv ut

    Anbefalte artikler