Tidlig kirurgi ved hjerneblødning?

    ()

    sporsmal_grey_rgb
    Artikkel

    Tidlig kirurgi etter mellomstore hjerneblødninger gir ikke bedre funksjonsnivå etter seks måneder enn konservativ behandling.

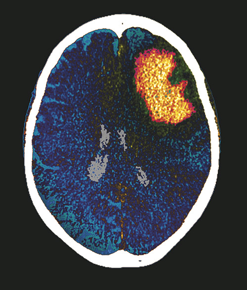
    Hjerneblødninger som gir forhøyet intrakranialt trykk ledsaget av fallende bevissthet behandles gjerne operativt på vital indikasjon, mens små blødninger hos våkne pasienter behandles konservativt. Hvordan de som faller mellom disse kliniske ytterpunktene skal behandles, har lenge vært omdiskutert. I multisenterstudien STICH II ble over 600 våkne pasienter med overflatiske, mellomstore hjerneblødninger randomisert til enten tidlig kirurgi eller konservativ behandling (1). Etter seks måneder var det ingen gevinst av tidlig kirurgi når det gjaldt funksjonsnivå. Det var en ikke-signifikant forskjell i overlevelse, idet henholdsvis 18 % og 24 % i hver gruppe på det tidspunkt var døde (p = 0,095).

    – Selv om forskjellen i overlevelse ikke er statistisk signifikant, er 6 % absolutt reduksjon i dødelighet ikke dårlig sammenliknet med andre behandlingsmodaliteter ved hjerneslag, sier overlege Ole Solheim ved nevrokirurgisk avdeling, St. Olavs hospital.

    – I likhet med det som er tilfellet i mange randomiserte studier innen kirurgi, er den statistiske styrken nokså marginal, noe forfatterne også tilkjennegir. Av etiske grunner var ikke pasienter der kirurgen fant operasjonsindikasjon inkludert, og dette må tas med i fortolkningen. I tillegg ble mange av dem som ble behandlet konservativt, operert senere. Det er også verdt å merke seg at det var best effekt av kirurgi hos de dårligste, altså de som var mer like de pasientene som som oftest opereres i dag, sier Solheim.

    Kommentarer  ( 0 )
    PDF
    Skriv ut

    Anbefalte artikler