BACKGROUND
Renal denervation (RDN) has been introduced as a potential new treatment for patients with treatment-resistant hypertension, defined as a blood pressure above 140/90 mm Hg despite treatment with at least three antihypertensive drugs. We present an overview of this type of treatment, describe the method and discuss its possible future uses.
METHOD
The review is based on a discretionary selection of relevant articles from our archive, our own experience and a literature search in PubMed.
RESULTS
The use of RDN for treatment-resistant hypertension is based on a single randomised study with a total of 104 patients, in which the intervention group experienced a fall in blood pressure of 32/12 mm Hg, while blood pressure in the control group remained unchanged. More than 16,000 patients, particularly in Germany, have been treated on this basis. In the USA, data from a larger randomised study (n = 530) that includes sham surgery are awaited before any decision is made on whether to approve the method for use.
INTERPRETATION
Before RDN can become recommended treatment in Norway, more evidence is required that the method lowers blood pressure, and that this reduces morbidity and mortality.
Dårlig medikamentetterlevelse er en viktig årsak til persisterende høyt blodtrykk. Dette må skilles fra behandlingsresistent hypertensjon, hvor blodtrykket selv ved god pasientetterlevelse av terapien ikke går ned (1). European Society of Hypertension (ESH) definerer resistent hypertensjon som vedvarende høyt blodtrykk på tross av behandling med minst tre blodtrykksmedikamenter i adekvate doser, hvorav ett skal være et diuretikum. Det anslås at ca. 10 % av alle med høyt blodtrykk har terapiresistent hypertensjon (2) – (4) og behov for supplerende terapi. Forekomsten vil variere med hvor godt pasientene er utredet for sekundære årsaker til høyt blodtrykk og om man har utelukket andre årsaker til refraktær hypertensjon, som manglende medikamentetterlevelse og kontorhypertensjon.
Vi ønsker å gi en oversikt over behandlingsmetoden renal denervering (RDN) og diskutere om den kan være aktuell i behandling av terapiresistent hypertensjon.
Kunnskapsgrunnlag
Oversikten er basert på et skjønnsmessig utvalg av litteratur fra eget arkiv og egen erfaring og på artikler funnet etter søk i PubMed, avsluttet 15.9. 2013. Søkeordene var «renal denervation», «treatment resistant hypertension», «effects of treatment hypertension», «hypertensjon cost» og «Norway hypertension». Bare engelskspråklige og norske artikler ble inkludert. I tillegg inkluderes definisjoner og retningslinjer fra større anerkjente, relevante organisasjoner. De omtalte studiene er ansett som grunnleggende og viktige i dette feltet.
Rasjonale for renal denervering
Renal denervering er basert på hypotesen om at nedsatt aktivitet i både afferente og efferente sympatiske nervefibre i nyrearteriene vil kunne senke blodtrykket hos pasienter der vanlig terapi svikter (5). Hypertensive pasienter har en overaktivitet i det sympatiske nervesystemet, noe som blant annet vises med økt renalt utslipp av noradrenalin i plasma og økt sympatisk nerveaktivitet i musklene (6) – (8). Sympatiske nervefibre til og fra nyrene kan derfor være et angrepspunkt for terapi. En nedsatt efferent nerveaktivitet vil øke blodgjennomstrømmingen til nyrene og redusere utslippet av renin, noe som fører til økt natriurese, redusert intravaskulært volum og blodtrykksreduksjon (5, 8).
Nedsatt afferent nerveaktivitet til hjernen leder til redusert sympatisk signalering fra hjernen generelt, slik at perifer kartonus reduseres (9). De postganglionære sympatiske nervene forløper parallelt med nyrearterien i dens adventitia og er derfor tilgjengelig for nerveablasjon via kateter (5).
Perkutan intervensjon
Det er utviklet flere typer intervensjonsmetoder for renal denervering. Den hyppigst brukte i studier er Symplicity Catheter System (10). Ablasjonskateteret, som er koblet til en radiobølgegenerator, føres til nyrearteriene via en perkutan inngang i a. femoralis communis. Ablasjon utføres via en elektrode på enden av kateteret (fig 1). Ablasjonstiden er 2 minutter på hvert punkt i arterien.
For å få best mulig resultat, med optimal nervedestruksjon, gjøres punktvise ablasjoner i spiralform longitudinalt i nyrearterien. Man starter distalt, og etter hver ablasjon trekkes katetret ca. 5 mm og roteres (10). Totalt uføres 4 – 8 ablasjoner per nyrearterie, avhengig av arteriens anatomi og lengde (fig 2). Hvert ablasjonsområde har en diameter på 5 mm, derfor vil en slik gjennomføring med stor sannsynlighet treffe nervefibrene. Umiddelbare komplikasjoner har knapt vært rapportert, men den langsiktige effekten på nyrearteriene er ukjent. Katetre med multiple elektroder samt bruk av ultralyd, nevrotoksiske medikamenter og kryoablasjon er metoder under utvikling som vi kanskje vil se mer av i fremtiden (10).
Resultater – viktige studier på renal denervering
Den første humane studien med renal denervering gjort med perkutan kateter-teknikk og ablasjon med radiobølger ble publisert i 2009 (11). Den var ikke randomisert. Behandlingseffekten ble vurdert hos 45 pasienter. De som ble inkludert, hadde et systolisk blodtrykk på over 160 mm Hg og ble oppfattet å ha behandlingsresistent hypertensjon. Pasienter med sekundær årsak til hypertensjon og med type 1-diabetes ble ekskludert fra studien. Nyrefunksjon med glomerulær filtrasjonshastighet (eGFR) på ≥ 45 ml/min/1,73 m² og normale anatomiske forhold i nyrearteriene var påkrevd.
Pasientene fortsatte å ta sine blodtrykksmedikamenter på tross av intervensjonen. Det var oppfølging etter én, tre, seks, ni og 12 måneder – med kontorblodtrykksmåling, klinisk undersøkelse og blodprøver. Ved målinger etter intervensjonen var både systolisk og diastolisk blodtrykk signifikant redusert (p < 0,001) sammenliknet med blodtrykket før intervensjonen. Gjennomsnittlig fall var 21/10 mm Hg og 27/17 mm Hg etter henholdsvis tre og 12 måneder (11). Det ble ikke rapportert noen alvorlige komplikasjoner ved selve intervensjonen og heller ikke noen senere bivirkninger av behandlingen.
Symplicity HTN-1-studien
Viktige studier gjort etter den første studien er Symplicity Clinical Trial Program-studiene. Symplicity HTN-1 var en ikke-randomisert metodestudie med 153 behandlede pasienter, inkludert de 45 pasientene fra den første metodestudien (11), med intervensjonen utført ved flere behandlingssentre i Australia, Europa og USA (12).
Gjennomsnittlig blodtrykk ved start var 176/98 mm Hg ± 17/14 mm Hg, og pasientene tok gjennomsnittlig 5,1 ± 1,4 antihypertensive medikamenter. Fastlegene fikk beskjed om ikke å endre medikamentregimet, med mindre det var absolutt nødvendig. Gjennomsnittlig reduksjon i blodtrykk var 32/14 mm Hg etter 24 måneder (12) (fig 3). Det er publisert data som viser vedvarende blodtrykkssenkning også etter tre år (13).
Symplicity HTN-2-studien
Symplicity HTN-2 var en randomisert internasjonal studie hvor målet var å se på effekten av renal denervering ved behandlingsresistent hypertensjon (14). De inkluderte pasientene (18 – 85 år) hadde et kontorblodtrykk på over 160 mm Hg (150 mm Hg hos pasienter med type 2-diabetes). 106 pasienter ble randomisert til enten kontrollgruppe (n = 54) eller intervensjonsgruppe (n = 52). Kateterbasert nyrearterieablasjon ble hos intervensjonsgruppen utført med bruk av Symplicity Catheter System, mens kontrollgruppen fortsatte sitt medikamentregime.
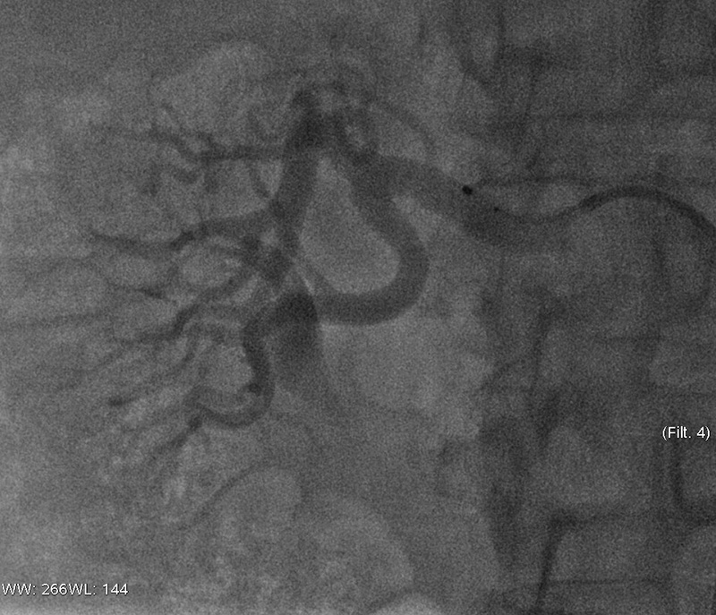
Intervensjonsgruppen hadde et gjennomsnittlig blodtrykk ved start på 178/97 mm Hg, kontrollgruppens startblodtrykk var 178/98 mm Hg. Medikamentbruken var henholdsvis 5,2 og 5,3 antihypertensive midler. Ved seksmånederskontrollen var det i kontrollgruppen ingen endring fra startblodtrykket, mens intervensjonsgruppen hadde en gjennomsnittlig reduksjon på 32/12 mm Hg (fig 4) (14). Nyrefunksjonen var uendret i begge gruppene, også hos dem som hadde eGFR på 45 – 60 ml/min/1,73 m² (14).
Komplikasjoner ved prosedyren
Alle pasientene hadde diffuse abdominale smerter under ablasjonen, og dette ble behandlet med smertestillende og sedativer intravenøst i de respektive studiene (11, 12, 14). Smertene var forbundet med selve prosedyren og vedvarte ikke etter avsluttet inngrep (11). I metodestudien fra 2009 ble det rapportert ett tilfelle med pseudoaneurisme og ett med nyrearteriedisseksjon ved posisjonering av føringskateteret (11). Komplikasjonene ble behandlet på stedet.
I Symplicity HTN-1-studien fikk 10 % av pasientene bradykardi under inngrepet, og det ble behandlet med atropin. Tre pasienter utviklet pseudoaneurisme i femoralarterien. Disse ble behandlet på stedet uten komplikasjoner (12). Mindre spasmer og ødemer i karveggen ble rapportert rett etter ablasjonen, uten at dette hadde påvirkning på nyregjennomblødning eller nyrefunksjon. I denne studien ble nyrearteriene etter intervensjon undersøkt med angiografi og MR. Man fant ingen tegn til utvikling av nyrearteriestenose grunnet intervensjon. Ingen pasienter utviklet stadium 4-nyresvikt eller ble dialysetrengende i løpet av to års oppfølging. To pasienter i Symplicity HTN-1-studien behandlet med renal denervering døde i løpet av to år. Ingen av dødsfallene ble ansett som relatert til behandlingen (12).
I Symplicity HTN-2-studien ble det ikke rapportert noen alvorlige komplikasjoner. Nyrefunksjonen etter seks måneder var uendret i både intervensjons- og kontrollgruppen (14).
Diskusjon
Renal denervering har i løpet av de siste 2 – 3 år fått stor anvendelse i flere land hos pasienter som oppfattes å ha terapiresistent hypertensjon. Dokumentasjonsgrunnlaget er imidlertid begrenset. Svakheter påpekt av forfatterne av metodestudien (11) var at 13 % av pasientene hadde minimal blodtrykksreduksjon, noe som kan tyde på at sympatisk overaktivitet ikke alltid er årsaken til behandlingsresistent hypertensjon, eventuelt at det ikke ble utført en tilfredsstillende ablasjon. Noen pasienter hadde også skiftet blodtrykksmedikamenter i oppfølgingsperioden. Studien var ikke randomisert og manglet kontrollgruppe (11).
Symplicity HTN-1 har liknende svakheter som den første metodestudien. For eksempel er det så langt et lavt antall pasienter som har møtt til 24-månederskontroll, endringer i medikamentregime under oppfølgingsperioden kan ha forekommet og studien mangler kontrollgruppe.
Siden det i HTN-2-studien ikke var noen kontrollgruppe med intervensjon uten aktiv ablasjon, er placeboeffekten i intervensjonsgruppen ikke kontrollert for. I tillegg var ikke sekundær- eller kontorhypertensjon definert som eksklusjonskriterier, og det manglet kontroll av medikamentetterlevelsen (15).
I Symplicity HTN-3-studien blir det kontrollert for placeboeffekten. Dette er en ny randomisert studie der man ser på effekten av renal denervering hos behandlingsresistente hypertensive pasienter (16). I denne studien er det en blindet kontrollgruppe som får kateterbasert intervensjon, men uten ablasjon. Det er randomisert 530 pasienter fordelt på ca. 90 behandlingssentre i USA. Pasientene vil ikke få mulighet til å forandre medikamentregime de første seks måneder etter inklusjonen, med mindre det er ytterst nødvendig. Inklusjon i denne studien ble avsluttet i mai 2013, og resultatene vil bli klare i mars 2014. Dette vil være avgjørende for om Food and Drug Administration i USA vil godkjenne renal denervering som behandlingsmetode (Suzanne Oparil, personlig meddelelse september 2013).
I Norge er det nylig startet en studie med renal denervering ved Universitetssykehuset Nord-Norge i Tromsø (17) og en annen ved Oslo universitetssykehus, Ullevål – «Oslo RDN Study» (NCT 01673516) (18). I Oslo-studien randomiseres pasientene til renal denervering eller spesialtilpasset medikamentell behandling etter undersøkelse med impedanskardiografi (19).
Manuelt målt systolisk kontorblodtrykk på > 140 mm Hg og ambulatorisk systolisk dagblodtrykk med gjennomsnitt > 135 mm Hg er valgt som inklusjonskriterium, for å utelukke pasienter med kontorhypertensjon. Grensen for systolisk blodtrykk, på > 140 mm Hg målt manuelt på legekontoret, kunne settes lavere enn i Symplicity-1- og Symplicity-2-studiene fordi man i Oslo RDN Study krever forhøyet ambulatorisk blodtrykk hos alle. Pasientene utredes svært grundig med tanke på sekundære årsaker, som primær hyperaldosteronisme og nyrearteriestenose, og alle kontrolleres for manglende medikamentetterlevelse med ambulatorisk blodtrykksmåling etter bevitnet inntak av morgendosen av blodrykksmedikamentene.
Den første åpne fasen av Oslo RDN Study er publisert (18). Den viser usikker effekt på blodtrykket hos pasienter med dokumentert behandlingsresistent hypertensjon. Slike pasienter er vanskelig å identifisere. Av 18 pasienter som gjennomgikk full utredning inklusive dokumentasjon av forhøyet ambulatorisk dagblodtrykk, var det bare seks som hadde behandlingsresistent hypertensjon og var kvalifisert for renal denervering.
Gode data på langtidseffekten av renal denervering finnes foreløpig ikke. Dette må undersøkes, også med tanke på at renale nervefibre kan regenerere (20). Påvirkningene på nyrefunksjon, hjerte og kar er ikke godt nok kartlagt, og vi kan heller ikke med sikkerhet si om renal denervering beskytter mot hypertensjonsrelatert organskade eller reduserer morbiditet og mortalitet (21).
Renal denervering er foreløpig bare utført hos pasienter som man har ment hadde behandlingsresistent hypertensjon. Med forventet blodtrykkssenkende effekt som i Symplicity-2 (14) er det med kostnad-nytte-analyse beregnet en kostnadsparende effekt av behandlingen. Hvis den blodtrykkssenkende effekten av renal denervering er varig, blir innsparingen større jo yngre pasienten er (22). I tidligere gjennomførte studier med renal nerveablasjon har man etter intervensjonen hatt uforandret medisinering. Kostnaden for renal denervering er lagt til kostnaden for medikamentell behandling, dermed er det ikke blitt noen direkte besparelse.
I Tyskland er renal denervering del av behandlingstilbudet for terapiresistent hypertensjon. Til tross for at det kun er utført én relativt liten randomisert studie (14), blir behandlingen utført ved 200 sentre, og mer enn halvparten av de 16 000 pasientene som er behandlet på verdensbasis, har fått behandlingen i Tyskland (James Hallums, personlig meddelelse juli 2013).
Det foreligger ikke sikre data om langtidseffekten av behandling med renal denervering. De norske studiene vil bidra med kunnskap om hvorvidt renal denervering er et behandlingsalternativ ved terapiresistent hypertensjon. Det er publisert flere oversiktsartikler der det manes til forsiktighet, og det stilles en rekke kritiske spørsmål til dokumentasjon og ukritisk bruk av renal denervering (21, 23, 24). Fra et internasjonalt samarbeidsprosjekt, der studiene i Tromsø og Oslo inngår (17, 18), er det nylig rapportert resultater fra 109 pasienter (25). Den blodtrykkssenkende effekten er langt mer beskjeden enn i Symplicity-1- og Symplicity-2-studiene (12, 14).
Konklusjon
Renal denervering som behandling av pasienter med terapiresistent hypertensjon er foreløpig på eksperimentstadiet. Den blodtrykkssenkende effekten av behandlingen i de første studiene var stor, men den er mer usikker hos pasienter som blir grundigere utredet. Det er flere ubesvarte spørsmål, for eksempel hvilke pasienter som vil kunne respondere på renal denervering.
Renal denervering synes å være en trygg prosedyre, med få umiddelbare komplikasjoner, men langtidsdata foreligger ikke. Vi trenger flere randomiserte studier før denne metoden eventuelt kan innføres som rutinebehandling for terapiresistent hypertensjon ved norske sykehus.
HOVEDBUDSKAP
Renal denervering er blitt introdusert som ny kateterbasert intervensjonsterapi ved behandlingsresistent hypertensjon
Renal denervering må fortsatt anses som utprøvende behandling
Umiddelbare komplikasjoner ved renal denervering er sjeldent
Det blir i fremtiden viktig å identifisere pasienter som responderer på renal denervering
- 13.
Krum H, Schlaich M, Sobotka P et al. Long-term follow-up of catheter based renal denervation for resistant hypertension confirms durable blood pressure reduction. J Am Coll Cardiol 2012; 60 (suppl 17).
- 17.
Steigen TK, Toft I. Korttidsoppfølging av de første pasientene behandlet med kateterbasert renal denervering i Norge. Hjerteforum 2012; 1: 44 – 9.
I Tidsskriftet nr 1 2014 omtalte vi renal denervering (RDN) ved terapiresistent hypertensjon i en oversiktsartikkel (1). I etterkant har det tilkommet nye studier som ikke viser ønsket effekt av RDN, som vi kort ønsker å oppsummere her.
En studie av 109 pasienter med terapiresistent hypertensjon ble publisert i Lancet for få år siden (2), og den antydet en blodtrykkssenkende effekt av RDN på opptil 32/16 mmHg etter seks måneder. Det tekniske utstyret fikk CE-godkjennelse, og produsenten(e) markedsførte utstyr (ablasjonskatetre) til bruk - også i norske sykehus og på norske pasienter. I Tyskland har 200 sentra utført RDN de siste årene, og i Sveits, Sverige og Nederland har det offentlige refundert utgifter på 7-8.000 Euro per pasient. Opptil 20.000 pasienter har fått gjennomført RDN på verdensbasis.
Flere avdelinger ved Oslo universitetssykehus Ullevål har samarbeidet om RDN ved terapiresistent hypertensjon i en forskningsprotokoll (1). Pasienter med sekundær- og kontorhypertensjon ble ikke inkludert. Før inklusjon måtte pasientene kvalifisere seg med bevitnet inntak av alle blodtrykksenkende medisiner umiddelbart før ambulatorisk blodtrykksmåling. I vår første serie kvalifiserte seks pasienter av de 18 som ble utredet, og blodtrykket var uendret etter RDN (3). I vår andre serie ble 19 pasienter (av 65 henviste) randomisert til henholdsvis RDN vs. forbedring av den medikamentelle behandlingen basert på hemodynamiske målinger (4). I RDN-gruppen var det et mindre fall i kontor- og ambulatorisk blodtrykk etter tre og seks måneder, noe vi tror kan tilskrives placebo, regresjon til middelverdien eller Hawthorneeffekt. Blodtrykket normaliserte seg hos nesten alle i medikamentgruppen, der endringene i hovedsak var økt diuretikadose og mindre betablokkerbehandling. Studien er også kort omtalt av Kari Tveito i Tidsskriftet nr 12/13 2014 (5).
En stor prospektiv, randomisert og sham-kontrollert amerikansk studie som nylig ble publisert, viste omtrent det samme fallet i blodtrykk i både RDN og sham-kontroll gruppen, dvs. ingen sikker blodtrykkssenkende effekt av RDN (6). RDN er derfor ikke «evidence-based medicine» og bør ikke utføres utenfor forskningsprotokoller.
Litteratur
1. Sorensen H, Fadl Elmula FE, Kjeldsen SE et al. Tidsskrift for den Norske laegeforening. 2014;134(1):32-6.
2. Esler MD, Krum H, Sobotka PA et al. Renal sympathetic denervation in patients with treatment-resistant hypertension (The Symplicity HTN-2 Trial): a randomised controlled trial. Lancet. 2010;376(9756):1903-9.
3. Fadl Elmula FE, Hoffmann P, Fossum E et al. Renal sympathetic denervation in patients with treatment-resistant hypertension after witnessed intake of medication before qualifying ambulatory blood pressure. Hypertension. 2013;62(3):526-32.
4. Fadl Elmula FE, Hoffmann P, Larstorp AC et al. Adjusted drug treatment is superior to renal sympathetic denervation in patients with true treatment-resistant hypertension. Hypertension. 2014;63(5):991-9.
5. Tveito K. Justering av legemidler er bedre enn renal denervering. Tidsskrift for den Norske laegeforening. 2014;134(1):1001.
6. Bhatt DL, Kandzari DE, O'Neill WW et al. A controlled trial of renal denervation for resistant hypertension. The New England journal of medicine. 2014;370(15):1393-401.