Sommerfugl-gliom

    ()

    sporsmal_grey_rgb
    Artikkel

    Et sommerfugl-gliom er et gliom som involverer begge hjernehalvdelene ved at det vokser gjennom corpus callosum, nervebanene som krysser midtlinjen i storhjernen. Når svulsten vokser symmetrisk i de to hjernehalvdelene, får man et karakteristisk bilde som minner om en sommerfugl. Differensialdiagnoser ved sommerfugllesjoner i corpus callosum er lymfom i sentralnervesystemet, tumefaktiv multippel sklerose og toksoplasmose.

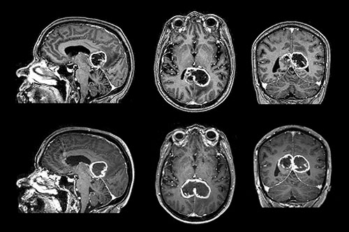
    Figuren viser kontrastforsterkede T₁-vektede MR-bilder av et sommerfugl-gliom med kraftig perifer kontrastoppladning og sentral nekrose, typisk for et glioblastom. Sommerfugl-gliomer infiltrerer oftere fremre del av corpus callosum (≈ 60  %), mens midtre del (≈ 30  %) og bakre del (≈ 10  %) er sjeldnere (1). Symptomatisk kan slike svulster ofte resultere i såkalte frakoblingssyndromer som aleksi, agrafi og apraksi, i stedet for ordinære sensomotoriske utfall. Ensidig apraksi kan for eksempel ses dersom språkområdene på venstre side ikke lenger er forbundet med de motoriske områdene i høyre hjernehalvdel. Pasienten klarer da ikke å utføre kommandoer med venstre hånd, men klarer det godt med høyre hånd.

    Sommerfugl-gliomer er oftest høygradige gliomer, som regel WHO-grad IV (glioblastom). Glioblastomer er den mest maligne svulsten som går ut fra hjernens støtteceller og samtidig den hyppigste primære intrakraniale svulsten, med en årlig insidens på rundt 3 – 4 per 100 000 innbyggere. Sommerfugl-glioblastomer utgjør anslagsvis 3  % av glioblastomene (1). Den betydelige innveksten i corpus callosum indikerer en aggressiv tumor, og lokaliseringen gjør kirurgi utfordrende. De regnes derfor ofte som inoperable, mens noen mener at det likevel bør gjøres en så stor reseksjon som mulig (1, 2).

    Nederste del av figuren viser den samme svulsten etter 16 dager, der den har vokst fra 27,4 cm³ til 37,6 cm³, en vekst på 37  %. Dette tilsvarer en doblingstid på 32 dager, forutsatt eksponentiell vekst. I litteraturen er det få systematiske undersøkelser av veksthastighet og doblingstid av glioblastomer in vivo. De få studiene som finnes angir doblingstider på 10 – 95 dager.

    Kommentarer  ( 0 )
    PDF
    Skriv ut

    Anbefalte artikler