Epigenetikk i utvikling av testikkelkreft

    ()

    sporsmal_grey_rgb
    Artikkel

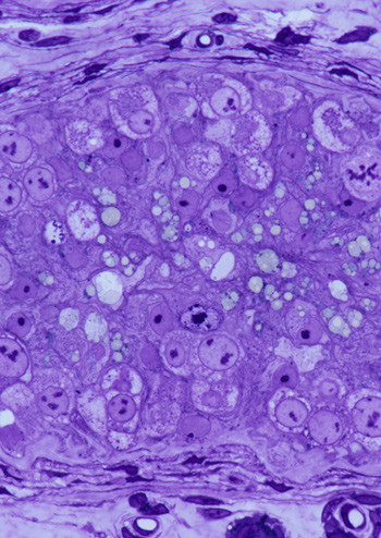
    Demetylering av DNA i carcinoma in situ-celler kan bidra til malign transformasjon i testikkelen.

    Det er tidligere vist at normale føtale germinalceller gjennomgår omfattende epigenetisk reprogrammering; først en fase med DNA-demetylering, deretter en progressiv remetylering før fødselen. Genomet i carcinoma in situ-celler, som er forløpere til testikulær germinalcellekreft, forblir derimot hypometylert, også i den voksne testikkelen.

    Danske forskere som har studert epigenetiske mekanismer i denne type celler, fant svært lave nivåer av 5-metyl-cytosin og 5-hydroksy-metyl-cytosin i DNA fra mikrodissekerte carcinoma in situ-celler (1). Dessuten uttrykte disse cellene mange av de samme proteinene som inngår i DNA-demetylering i humane føtale germinalceller. Dette tyder på at carcinoma in situ-celler har en aktiv demetyleringsmekanisme som opprettholder genomet i en hypometylert og udifferensiert tilstand.

    – Denne studien bidrar til ny kunnskap om utvikling av testikkelkreft, en sykdom som har økt betydelig i forekomst de siste tiårene, sier postdoktor Wenche Kristiansen ved Fakultet for helsefag, Høgskolen i Oslo og Akershus.

    – Et hypometylert genom, som i carcinoma in situ-celler, fremmer celleproliferasjon og kan forårsake genomisk instabilitet og dermed bidra til tumorutvikling. Identifisering av signalveier som opprettholder genomet i en hypometylert tilstand, bidrar til økt forståelse av hvordan testikkelkreft oppstår. Denne kunnskapen kan gi grunnlag for mer målrettet behandling, bl.a. utvikling av selektive inhibitorer for epigenetiske enzymer. Det er imidlertid mye vi fortsatt ikke vet om epigenetiske mekanismer, så dette ligger nok et stykke frem i tid, sier Kristiansen.

    Kommentarer  ( 0 )
    PDF
    Skriv ut

    Anbefalte artikler