Tiden teller!

    ()

    sporsmal_grey_rgb
    Artikkel

    Det diagnostiseres ti lungekreftpasienter hver arbeidsdag i Norge, og sykdommen tar liv hver fjerde time. Tre av fire har ikke-kurerbar sykdom på diagnosetidspunktet, hovedsakelig fordi sykdommen sjelden gir symptomer før den har kommet langt. Når mistanken er fattet, er det viktig at utredningen går raskt.

    Utredningen bør skje raskt, for å øke sjansen for kurasjon (1). Mange pasienter er inoperable på grunn av medisinske tilstander, men kan da tilbys stereotaktisk strålebehandling. Dette er en svært presis behandlingsmetode hvor strålingen rettes inn fra mange forskjellige vinkler mot et senter. På denne måten kan man gi høy dose til «målvolumet», mens normalvevet som ligger like inntil får svært liten dose. Resultatene er gode, og den lokale kontrollen tilsvarer det man oppnår med kirurgi (2).

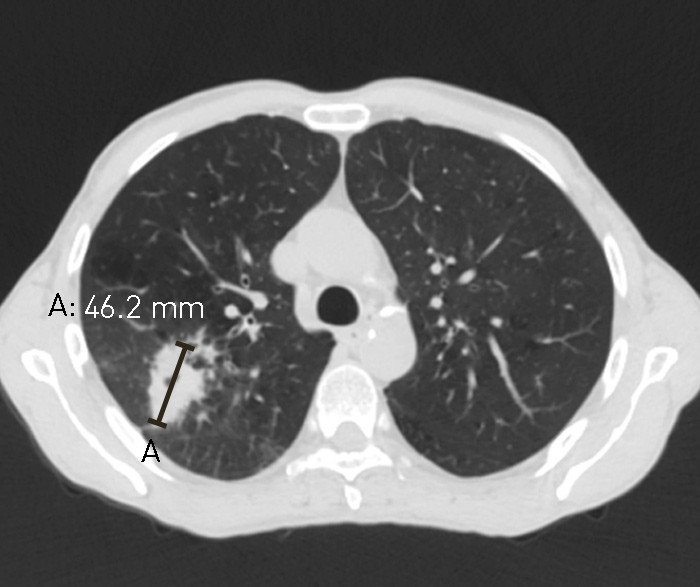
    Hos pasienten disse bildene er fra, var svulsten klart synlig og greit tilgjengelig for behandling med stereotaktisk stråleterapi ved første undersøkelse (fig 1). Av ulike grunner gikk det 2,5 måneder før vedkommende kom til behandling og planlegging av stråleterapi med dedikert CT ble gjort (fig 2). Svulsten var da fordoblet i diameter og var størrelsesmessig på grensen for kurerende stråleterapi.

    Kapasitetsproblem

    Kapasitetsproblem

    En utredningstid på 2 – 3 måneder er ikke uvanlig, både fordi utredningen i seg selv er logistisk utfordrende med mange involverte aktører, men dessverre også fordi tidsbruken kan bli unødig lang på grunn av flere flaskehalser og mangelfull koordinering. Vi finner at det er en rekke kapasitetsmangler ved utredning og behandling av sykdommen, både innen radiologi, patologi, lungemedisin, thoraxkirurgi og onkologi.

    I tillegg til at utredningstiden ofte er lang, er ventetiden fra pasienten er ferdig utredet til behandling blir iverksatt også en vesentlig tidstyv. Dette er, slik vi ser det, i det alt vesentlige et ressursprioriteringsspørsmål og synes ikke å kunne løses kun med endret organisering.

    Årsaken til kapasitetsproblemene er nok bl.a. den raske økningen i lungekreftforekomsten. I løpet av de siste 15 år er insidensen av lungekreft økt med nesten 1 000 (tall hentet fra Kreftregisteret) – dette tilsvarer kreftutredningsaktiviteten ved ti store lungeavdelinger (ved Ullevål diagnostiseres drøyt 100 nye per år (personlig meddelelse Fredrik Borchsenius, Lungeavdelingen, Oslo universitetssykehus, Ullevål)).

    Bildene understreker viktigheten av et raskt utredningsløp og at det motsatte kan influere på pasientens sjanse for kurerende behandling.

    Pasienten har gitt samtykke til at artikkelen blir publisert.

    Publisert først på nett.

    Kommentarer  ( 0 )
    PDF
    Skriv ut

    Anbefalte artikler