BACKGROUND
Acute promyelocytic leukaemia (APL) is a subtype of acute myeloid leukaemia (AML) with unique biological and clinical features and unique therapeutic requirements. The article provides a brief description of the development, pathophysiology, diagnosis and treatment of APL.
METHOD
The article is based on the authors' own experience and reviews of key articles and national and international guidelines.
RESULTS
The disease is caused by a single genetic event, namely the translocation t(15;17), which gives rise to the oncoprotein PML-RARA. Clinical and morphological characteristics arouse suspicion of the disease, and the diagnosis is verified by detecting the translocation. At the time of diagnosis most patients have severe coagulopathy and the predominant clinical manifestation is bleeding. Early mortality is due to severe haemorrhage, usually intracranial. Early treatment start with all-trans retinoic acid (ATRA) on suspicion of APL is essential to reduce this early mortality. ATRA is also an important part of continued treatment, in combination with anthracycline-based chemotherapy and possibly arsenic. After this treatment, the prognosis for disease-free long-term survival is > 90 %. There are also safe and effective treatment options for elderly patients with complex comorbidities.
INTERPRETATION
With APL it is particularly important to start disease-targeting therapy in the form of ATRA quickly because of the high risk of serious haemorrhages and high early mortality. If serious haemorrhages are avoided, the prognosis is very good.
Akutt promyelocyttleukemi (APL) blei truleg først omtala av den norske legen Lars K. Hillestad, som i 1957 skreiv om tre pasientar med akutt leukemi med progredierande utvikling, omfattande koagulasjonsdefekt og rask død (1). Tilstanden er i dag kjend som ei undergruppe av akutt myelogen leukemi (2, 3), men skil seg biologisk og klinisk frå andre tilfelle av denne sjukdomen (4) – (6).
Akutt promyelocyttleukemi er eit av dei få tilfella av maligne sjukdomar der såkalla skreddarsydd behandling retta mot det maligne onkoproteinet sterkt bidreg til ein kurativ effekt. I artikkelen blir biologiske, kliniske og behandlingsmessige trekk ved sjukdomen oppsummert.
Kunnskapsgrunnlag
Artikkelen er basert på våre eigne erfaringar og på gjennomgang av sentrale artiklar og nasjonale og internasjonale handlingsprogram. Behandlingsmessige alternativ er drøfta spesielt i samband med nyare publiserte studiar.
Etiologi
Akutt promyelocyttleukemi utgjer 5 – 10 % av alle tilfelle av akutt myelogen leukemi, som svarar til om lag ti ny tilfelle i Noreg årleg. Tilstanden er svært uvanleg hos barn under 15 år (7). Det er ein nesten konstant aldersinsidens frå tenåra til 70 års alder (8, 9).
Årsaka er som regel ukjend, men sannsynlege risikofaktorar er eksponering for ioniserande stråling (10) og tidlegare cytostatikaterapi, spesielt topoisomerase II-hemmarar (11) og mitoksantron (12).
Patogenese
Akutt promyelocyttleukemi er kjenneteikna ved ein translokasjon mellom kromosom 15 og 17; t(15;17)(q22;q21) (13), som involverer promyelocyttleukemigenet (PML-genet) på kromosom 15 og retinsyrereseptor alfa-genet (RARA-genet) på kromosom 17 (14). Dette gjev opphav til eit fusjonsgen som kodar for onkoproteinet PML-RARA (fig 1). I sjeldne tilfelle er det beskrive andre translokasjonar som også involverer RARA (15). RARA er kjernereseptor for retinsyre (vitamin A) og regulerer differensiering og modning av myeloide celler.
PML-proteinet var først oppdaga etter kartlegging av fusjonsproteinet for t(15;17)(q22;q21) (15) og har fått namn etter sjukdomen. Som ved dei fleste kjente translokasjonar gjer det maligne fusjonsproteinet at ein får lågare konsentrasjon av dei to tilsvarande normalproteina RARA og PML (14). Tap av RARA aleine gjev likevel ikkje akutt promyelocyttleukemi i dyremodellar (16), og ein trur derfor at både RARA og PML er viktige for leukemiutviklinga ved at dei blokkerer differensiering og resistens mot apoptose (16, 17). Denne translokalisasjonen synest å vere avgjerande for å gje den maligne fenotypen (4) – (6).
Det kliniske biletet
Symptoma ved akutt promyelocyttleukemi skil seg ofte ikkje frå andre former for akutt leukemi og gjev sviktande beinmargsfunksjon med pancytopeni. Dette fører til nedsett allmenntilstand og dyspné, grunna anemi, og feber og infeksjonstendens, grunna granulocytopeni. Ein kan ha abdominalt ubehag på grunn av splenomegali.
Det spesielle ved akutt promyelocyttleukemi er koagulopati, som ein påviser hos dei fleste pasientane ved diagnosetidspunktet, og spesielt blødingskomplikasjonar var tidlegare årsaka til høg tidlegmortalitet (1). Framleis er alvorlege blødingar ved diagnosetidspunkt ei viktig dødsårsak (18). Koagulopatien har eit bilete som minner om disseminert intravaskulær koagulopati (DIK) (18). Ein ser typisk aktivering av koagulasjonskaskaden, lågt fibrinogen, høg D-dimer og trombocytopeni, men ved akutt promyelocyttleukemi synest det å vere ei overvekt av hyperfibrinolyse, som kan gje alvorlege blødingar (18). Hjerne og lunge er dei organa som er hyppigast ramma, men det kan også vere bløding frå viscerale overflater (18). Ein kan sjå trombosar hos om lag 10 % ved diagnosetidspunktet (19), noko som er høgare enn ved andre former for akutt myelogen leukemi (19).
Diagnostikk
Ved akutt leukemi med samtidig teikn til koagulopati bør den diagnostiske mistanken rettast mot tilstanden. Blodprøver med tanke på disseminert intravaskulær koagulopati (trombocyttar, INR, APTT, fibrinogen og D-dimer) skal alltid undersøkast dersom det er mistanke om tilstanden. Det typiske biletet ved akutt promyelocyttleukemi er låge tal for plater og fibrinogen, medan tala for INR, APTT og D-dimer er høge. Leukocyttalet på diagnosetidspunktet er ein viktig prognostisk markør – skiljet mellom låg- og høgrisikopasientar går då ved 10 · 10⁹/l (10).
Diagnosen byggjer på cellemorfolgi, påvising av ein spesifikk membranmolekylprofil (immunfenotype) og molekylærgenetisk diagnostikk med påvising av PML-RARA-transkript ved polymerasekjedereaksjon (PCR) eller genfusjonen ved fluorescens in situ-hybridisering (FISH) eller karyotyping (20) (fig 2). Det er fleire transkriptvariantar, og translokasjonen kan bli oversett ved konvensjonell karyotyping (21). I tillegg er det andre RARA-rearrangement som også kan gje akutt promyelocyttleukemi (15), og desse kan det undersøkast for med FISH.
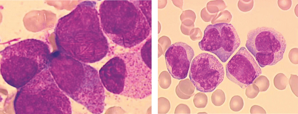
Utstryk av både beinmargsaspirat og blod med May-Grünwald-Giemsa-farging bør alltid gjerast straks ved mistanke om akutt promyelocyttleukemi. Morfologisk kan sjukdomen delast i to hovudklassar – ein hypergranulær variant, som utgjer 80 % av tilfella og viser typisk tung granulering i dei umodne maligne cellene, og ein atypisk hypogranulær variant (fig 3).
Ved den hypergranulære forma ser ein ofte rikeleg med promyelocyttar som har cytoplasma med rikeleg granula og gjerne mange Auer-stavar, ofte i tette klynger. Den hypogranulære varianten har mindre og finare granula og gjerne folda kjerne, slik at han kan vere vanskeleg å skilje frå andre former for akutt myelogen leukemi (10). Immunfenotyping blir gjort med væskestraumscytometri, og APL-cellene vil typisk vere positive for CD9, CD13, CD33 og CD117 og negative for HLA-DR og CD34 (9).
Behandling
På grunn av koagulopatien skal akutt promyelocyttleukemi alltid oppfattast som ein livstrugande tilstand som krev behandling med alltransretinsyre (ATRA) straks, seinare med cytostatika.
ATRA
Alltransretinsyre er eit derivat av vitamin A som bind seg til RARA-delen av fusjonsproteinet PML-RARA og fører til at dette proteinet blir brote ned (fig 1), slik at ein får differensiering av APL-cellene (22). På grunn av koagulopatien skal ein alltid starte med ATRA-behandling så raskt som mogeleg ved mistanke om akutt promyelocyttleukemi, og behandlinga skal halde fram inntil sikker diagnostisk avklaring.
Alltransretinsyre er vidare ein obligatorisk del av både induksjonsbehandlinga og vedlikehaldsbehandling. Tidleg ATRA-terapi reduserer koagulopatien og kan dermed hindre dei alvorlege tidlegkomplikasjonane, først og fremst alvorleg bløding (10). Behandlinga har ikkje negative effektar ved andre former for akutt myelogen leukemi (10). Anbefalt dosering er 45 mg/m² dagleg. ATRA-behandling må vere tilgjengeleg ved alle avdelingar som initialt tar hand om pasientar med akutt leukemi. Der det er alternative spleiseformer for RARA, kan det vere dårlegare effekt av ATRA-behandling (15).
Arsenikk
Arsenikk bind seg til PML-delen av fusjonsproteinet (fig 1) og fører til nedbryting av PML-RARA. Vanlegvis har arsenikk vore tilrådd som andrelinjebehandling ved tilbakefall av akutt promyelocyttleukemi etter ATRA-behandling kombinert med kjemoterapi, men alltransretinsyre saman med arsenikk kan kanskje bli ei framtidig førstelinjebehandling (23). Arsenikk i terapeutisk dose er vanlegvis godt tolerert (10).
Konvensjonelle cytostatika
Cytostatika blir i prinsippet gjeve som ved andre former for akutt leukemi – 1 – 2 induksjonskurar for å oppnå remisjon, så 1 – 3 konsolideringskurar (24, 25). Kjemoterapi er basert på antrasyklin med tillegg av cytarabin og alltransretinsyre.
I tidligare studiar vart det synt effekt av vedlikehaldsbehandling med alltransretinsyre og lågdose kjemoterapi, slik ein tilrår i Noreg (25). Denne effekten synest likevel å vere sparsam, slik at enkelte senter no heller monitorerer pasientane for minimal restsjukdom utan vedlikehaldsbehandling (26).
Differensieringssyndrom
Differensieringssyndrom ser ein hos inntil 25 % av pasientane ved behandling med både alltransretinsyre og arsenikk. Ved starten av behandlinga får ein indusert differensiering og auka frisetjing av myeloide celler, noko som gjev stor cytokinfrigjering og celleinfiltrasjon i perifere organ (27).
Dette fører til eit klinisk bilete med dyspné, feber, vektauke, perifere ødem, hypotensjon og eventuelt hjarte- og/eller nyresvikt. Tilstanden kan vere dødeleg – rask behandling med deksametason 10 mg to gonger dagleg er tilrådd dersom det er mistanke om differensieringssyndrom (10).
Spesifikk behandling av koagulopati
Viktigast er rask start av ATRA-behandling (10). Blodplatetalet skal haldast over 30 – 40 · 10⁹/l med blodplatetransfusjonar. Enkelte tilrår også bruk av plasmaprodukt eller fibrinogenkonsentrat for å halde serum-fibrinogen over 1,0 – 1,5 g/l (18).
Stamcelletransplantasjon
Allogen stamcelletransplantasjon blir sjeldan nytta som primærbehandling fordi resultata av behandling med kjemoterapi/ATRA/arsenikk er svært gode, men kan vurderast ved tilbakefall (28).
Prognose
Med den behandlinga vi kan gje i dag, er sjansen for sjukdomsfri langtidsoverleving over 90 % (23, 25). Sjølv tilbakefall har god prognose fordi ein har effektiv alternativ behandling, først og fremst arsenikk (20). Ein har godt dokumenterte behandlingsregime når det gjeld toksisitet og antileukemisk effekt som kan nyttast for å oppnå sjukdomsfri langtidsoverleving også hos eldre og ved komorbiditet (29).
Konklusjon
Akutt promyelocyttleukemi er ein aggressiv malign blodsjukdom med alvorleg koagulopati og stor blødingsrisiko på diagnosetidspunktet. Rask diagnostikk og oppstart med ATRA-behandling på mistanke reduserer tidlegmortaliteten. Dersom ein får rask kontroll med koagulopatien, vil pasientane ha svært gode moglegheiter for sjukdomsfri langtidsoverleving.
Tilstanden er såleis eit eksempel på at behandling retta mot den malignitetsinduserande mutasjonen bidreg sterkt til den kurative effekten (30).
Forfattarane takkar for støtte til forskinga frå Helse Vest, Kreftforeningen, Caroline Musæus Aarsvolds fond og Eivind Møllbach Pedersens fond.
Hovudbodskap
Akutt promyelocyttleukemi (APL) er ein akutt leukemi med opphoping av maligne promyelocyttar i beinmarg og eventuelt blod
Uttalt koagulopati og stor blødingsrisiko er eit nærast obligat funn ved diagnose
Koagulopatien krev rask start av behandling med peroral alltransretinsyre (ATRA) dersom ein har den minste mistanke om akutt promyelocyttleukemi
Etter initial behandling er mogelegheitene for leukemifri langtidsoverleving svært god
- 3.
World Health Organization Classification of Tumors of Haematopoietic and Lymphoid Tissues. 4. utg. Lyon: International Agency for Cancer, WHO, 2008.
- 15.
Grimwade D, Biondi A, Mozziconacci MJ et al. Characterization of acute promyelocytic leukemia cases lacking the classic t(15;17): results of the European Working Party. Groupe Français de Cytogénétique Hématologique, Groupe de Français d’Hematologie Cellulaire, UK Cancer Cytogenetics Group and BIOMED 1 European Community-Concerted Action «Molecular Cytogenetic Diagnosis in Haematological Malignancies». Blood 2000; 96: 1297 – 308. [PubMed]
- 20.
Nasjonalt handlingsprogram med retningslinjer for diagnostikk, behandling og oppfølging av maligne blodsykdommer. https://legeforeningen.no/Fagmed/Norsk-selskap-for-hematologi/Handlingsprogrammer/ (21.3.2014).
- 21.
Park TS, Kim JS, Song J et al. Acute promyelocytic leukemia with insertion of PML exon 7a and partial deletion of exon 3 of RARA: a novel variant transcript related to aggressive course and not detected with real-time polymerase chain reaction analysis. Cancer Genet Cytogenet 2009; 188: 103 – 7. [PubMed] [CrossRef]
- 22.
Huang ME, Ye YC, Chen SR et al. Use of all-trans retinoic acid in the treatment of acute promyelocytic leukemia. Blood 1988; 72: 567 – 72. [PubMed]
- 25.
Tangen JM, Fløisand Y, Foss-Abrahamsen J et al. Overlevelse hos voksne med akutt myelogen leukemi. Tidsskr Nor Legeforen 2008; 128: 1164 – 7. [PubMed]
Dette var en fin og kortfatta oversikt. Jeg vil bare kommentere at det cytogenetiske avviket nå er klassifisert som translokasjon (15;17) (q24.1, q21.1) PML-RARA, ikke lenger translokasjon (q22, q21), som artikkelen angir. Dette er korrigert i den oppdaterte versjonen av WHO-klassifikasjonen (2).
Litteratur
1. Reikvam H, Hovland R, Bruserud Ø. Akutt promyelocyttleukemi. Tidsskr Nor Legeforen 2014; 134:1052 – 5
2. Swerdlow SH, Campo E, Harris NL, et al. World Health Organization Classification of Tumours of Haematopoietic and Lymphoid Tissues, IARC Press, Lyon 2008.