En mann i 40-årene med hevelse i begge øyehuler

    ()

    sporsmal_grey_rgb
    Abstract

    ERDHEIM-CHESTER Disease

    A multi-disiplinary challenge

    The histiocytoses are a diverse, but rare group of disorders with symptoms affecting many organs, varying from self-limiting, localised lesions to disseminated multi-organ disease. The diagnostic challenges are illustrated and discussed in the following case.

    Case report. A man in his forties was admitted to hospital due to pain in his right eye and visual disturbances. MRI imaging detected a mass in his right orbit and a minor mass in his left orbit. The histological results of the mass in his right orbit revealed an inflammatory process with lymphocytes and macrophages and no sign of vasculitis, infection or malignancy. The diagnosis pseudotumor orbita was made and treatment with corticosteroids was initiated. He did not respond to corticosteroids or radiotherapy and increasing symptoms necessitated rehospitalisation. Further tests disclosed a multisystem disease which affected the aorta, skeleton, lung, heart and kidney. The biopsy was reconsidered and the disease was classified as a histiocytosis with CD68 positive and CD1a negative cells. The diagnosis Erdheim-Chester was given, about 14 months after the initial hospitalisation. Treatment with interferon α was started.

    Artikkel

    En mann i 40-årene ble innlagt i revmatologisk avdeling med mistanke om systemsykdom. Han hadde i lengre tid hatt symptomer fra øynene, men utredning viste at flere organer var affisert.

    Mannen ble henvist til revmatolog med mistanke om systemsykdom. Han hadde i flere måneder hatt plager med smerter, hevelse rundt øynene, følelse av utstående øyne og avtakende visus. Ved cerebral MR var det påvist en kontrastoppladende ekspansiv lesjon retrobulbært i høyre øyehule og en tilsvarende, men mindre lesjon på venstre side. Det var tatt biopsi, og under prøvetakingen var det observert at synsnerven lå innleiret i en fast og lite vaskularisert tumor. Det lot seg derfor ikke gjøre å fjerne hele tumoren.

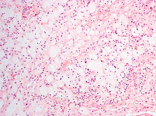
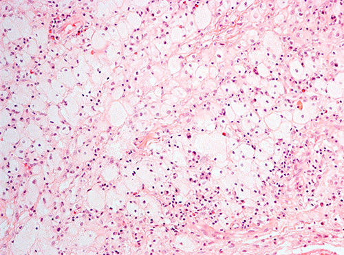
    Histologisk undersøkelse hadde vist inflammatorisk prosess med mange makrofager, spredtliggende og enkelte grupper av lymfoide celler, spredte plasmaceller, nøytrofile og eosinofile granulocytter (fig 1). Atypiske celler, granulomatøs betennelse eller vaskulitt var ikke påvist. Spesialfarging for sopp, bakterier og mykobakterier var negativ. Ved rutinemessig immunhistokjemisk undersøkelse var makrofagene positive for CD68. De små lymfoide cellene var B-celler positive for CD20 samt T-celler positive for CD4 og CD8.

    Man fant ingen holdepunkter for malign eller infeksiøs sykdom i preparatet, og tilstanden ble initialt oppfattet som idiopatisk pseudotumor i orbita (1). Dette er en godartet, betennelsesaktig tilstand av ukjent årsak, som vanligvis responderer godt på behandling med kortikosteroider (2). Det ble derfor startet med prednisolon 100 mg daglig, med avtale om gradvis dosereduksjon.

    Pasienten hadde imidlertid økende plager – en følelse av å ha utstående øyne og avtakende visus – på tross av prednisolonbehandlingen. I et forsøk på å redusere omfanget av oppfyllingen ble det gitt strålebehandling (2 Gy × 15) i tillegg til prednisolon 20 mg daglig (3). Etter strålebehandlingen var det likevel uendret synssvekkelse, vedvarende exophthalmus på høyre side og ingen tilbakegang av forandringene i orbitae på cerebral MR. Pasienten ble etter noen uker innlagt i øyeavdeling med økende smerter rundt høyre øye, redusert syn, tåkesyn, følelse av mer utstående øye samt kvalme, oppkast og diaré. Han hadde på dette tidspunktet måttet seponere predniosolon på grunn av betydelige bivirkninger.

    Ved innleggelsen ble tatt en rekke blodprøver. De viste blant annet senkningsreaksjon på 91 mm/t (< 15 mm/t), CRP 132 g/l (< 5 g/l), negative tester for hiv, hepatitt B og hepatitt C, treponema, borrelia-IgM, ANA (antinukleære antistoffer) og IGRA (Interferon-Gamma Release Assay), det var ingen vekst i blodkultur og normal thyreoideastatus. Det ble funnet svakt positiv MPO-ANCA (myeloperoksidase – antinøytrofilt cytoplasmaantistoff) på 26 IU/ml (< 7 IU/ml), men test for P-ANCA var negativ. Videre ble det påvist en monoklonal komponent i gammasonen (IgG-kappa omkring 1 g/l). Ny cerebral MR viste uendrede funn med bilaterale orbitale tumorer. Utredningen hadde så langt ikke gitt diagnostisk avklaring, men på grunn av positiv MPO-ANCA ble pasienten henvist til revmatolog.

    Tilstedeværelse av positiv MPO-ANCA med negativ P-ANCA er et uspesifikt funn og kan forekomme ved en rekke inflammatoriske og immunologiske tilstander. Positiv MPO- og P-ANCA er særlig assosiert med mikroskopisk polyangiitt, men fraværet av tegn på interstitiell lungesykdom, glomerulonefritt og perifer nevropati gjorde denne diagnosen lite sannsynlig.

    Ved annen ANCA-assosiert sykdom, slik som granulomatose med polyangiitt (Wegeners granulomatose) eller eosinofil granulomatose med polyangiitt (Churg-Strauss’ vaskulitt), ses ofte tilbakevendende betennelser i øvre og nedre luftveier, astma eller allergi, men heller ikke dette hadde vår pasient hatt. Grunnet funnet av en monoklonal komponent ble han vurdert av hematolog. Det ble ikke funnet holdepunkter for malign hematologisk sykdom.

    Videre var det normal serum-IgG4-subklasse på 0,63 g/l (0,03 – 1,35 g/l). Serumkonsentrasjonen av IgG4 er ofte forhøyet ved IgG4-relatert sykdom, men kan være normal. Undersøkelse av tidligere biopsimateriale ga ingen holdepunkter for IgG4-relatert sykdom. Ny gransking av tidligere biopsimateriale ga heller ingen holdepunkter for sarkoidose, malignitet, infeksjon eller endokrin oftalmoplegi.

    Det ble gjort en ny biopsi av tumor, og peroperativt ble det funnet en hard, uregelmessig og gulaktig tumor. Tumormassene var infiltrert i orbita og n. opticus var innleiret i tumor, som ved første biopsitaking. Revmatologen kunne ikke utelukke bakenforliggende systemsykdom, og pasienten ble innlagt i revmatologisk avdeling.

    Ved innleggelsen var pasienten i god allmenntilstand. Han var afebril og hadde ikke utslett eller perifere artritter, og pulsen i a. radialis var sidelik og normal. Blodtrykket var 180/101 mm Hg, pulsen 115 slag/min.

    CT thorax og abdomen viste bløtdelsoppfylling langs aorta i flere nivåer, og i nedre del omkranset vevsfortykkelsen hele aorta. Fra nivå med nedre nyrepol og til bifurkaturen var det utbredelse som ved retroperitoneal fibrose med fortykket perirenale fascie. Innenfor perirenalt fettvev var også begge nyrekapsler fortykket med forandringer vel forenlig med «hairy kidneys» (fig 2). Begge nyrebekkener var dilatert, uten utvidelse av ureter.

    Funn av sykelige prosesser rundt aorta, nyrer og i øyehuler ga sikre holdepunkter for multiorgansykdom, men noen endelig diagnose kunne ikke stilles. Det ble derfor besluttet å foreta en omfattende kartlegging av sykdommens utbredelse.

    18FDG PET-CT viste økt opptak perirenalt, oppfyllinger i begge orbitae, periaortalt, i myokard og i oppfylling rundt hjertet samt i beinmargen i distale deler av begge femora og proksimale tibiae (fig 3, fig 4). I nyrene var det dilatasjon av calyces, men ikke dilatasjon av det ekstrarenale nyrebekken eller uretre. Ultralyddoppler av nyrearterier viste ikke tegn på nyrearteriestenose. I lungene var det lette mattglassfortetninger og sparsom bilateral pleuraeffusjon. Spirometri viste lett redusert belgfunksjon av restriktiv type. Ekkokardiografi viste grensestor venstre ventrikkel med god venstre og høyre ventrikkelfunksjon, i tillegg til lett perikardvæskebrem på 0,5 – 0,6 cm uten hemodynamisk betydning.

    Røntgenundersøkelse av de lange rørknoklene viste symmetrisk utbredt sklerose i diafyser og metafyser, med utsparing av epifysene i radius, ulna, femur og tibia (fig 5). I tillegg var det tegn til periostitt, mest uttalt i femur og i tibia. Ved skjelettscintigrafi var det kraftig aktivitetsopptak i distale del av femur, proksimale og distale del av tibia, distale del av radius og i maksillen bilateralt (fig 6). Endokrinolog fant ikke holdepunkter for diabetes insipidus eller andre endokrine forstyrrelser.

    Pasientens multiorgansykdom affiserte vevet i øyehulene, aorta, perikard, perirenale områder og de lange rørknoklene. Erdheim-Chesters sykdom ble mistenkt, og det ble bedt om ny gransking av biopsiene fra orbita.

    Ved ny gransking ble det poengtert at makrofagene hadde rikelig med lyst skummende cytoplasma, forenlig med skummakrofager. Immunfenotyping viste at de CD68-positive makrofagene var negative for CD1a og S100. Patolog konkluderte med at det morfologiske bildet passet med Erdheim-Chesters sykdom.

    Den nye granskingen av biopsimaterialet sammenholdt med det kliniske bildet førte til at vi konkluderte med Erdheim-Chesters sykdom, en sjelden form for histiocytose med affeksjon av en rekke organer. Det ble derfor startet behandling med pegylert interferon-α.

    Diskusjon

    Diskusjon

    Erdheim-Chesters sykdom er en sjelden ikke-langerhanscelleform for histiocytose av ukjent etiologi. Sykdommen ble beskrevet første gang av Jakob Erdheims elev Wiliam Chester i 1930 (4). Histiocytose er en gruppebetegnelse på en rekke sykdommer som histologisk karakteriseres av infiltrasjon og akkumulering av monocytter, makrofager og dendrittiske celler i affisert vev.

    Ved immunhistokjemiske undersøkelser finner man ved Erdheim-Chesters sykdom CD68-positive og CD1a-negative histiocytter, mens man ved langerhanscellehistiocytose påviser CD1a-positive histiocytter. I de fleste tilfellene av Erdheim-Chesters sykdom (80  %) er farging for S100-protein negativ. Diagnosen Erdheim-Chesters sykdom settes ut fra en kombinasjon av kliniske, bildediagnostiske og histologiske funn.

    Sykdommen rammer menn hyppigere enn kvinner, og gjennomsnittlig debutalder er 55 år (16 – 80 år) (5). Mange organer kan bli affisert av sykdommen (tab 1) (5, 6). Nesten alle pasienter med Erdheim-Chesters sykdom har affeksjon av skjelettet, men bare omkring halvparten har symptomer på dette og da som oftest som smerter i knær og ankler. Typiske radiologiske funn er bilateral og symmetrisk osteosklerose i diafysen og metafysen til de lange rørknoklene, oftest i underekstremitetene. 99technetiumskjelettscintigrafi og 18FDG PET-skann vil vise økt opptak i disse områdene (7) – (9).

    Tabell 1  

    Kliniske og radiologiske funn ved Erdheim-Chesters sykdom, etter Haroche og medarbeidere (5) og Arnaud og medarbeidere (6)

    Kliniske og radiologiske funn

    Andel funn (%)

    Hos pasienten

    Patologiske funn i skjelett ved røntgen eller scintigrafi

    95

    Til stede

    Skjelettsmerter

    50

    Til stede

    Retroorbital infiltrasjon

    25

    Til stede

    Periaortal infiltrasjon (coated aorta)

    30

    Til stede

    «Hairy kidneys»

    68

    Til stede

    Perikard

    45

    Til stede

    Lunge

    22 – 54

    Til stede

    Diabetes insipidus

    27

    Ikke til stede

    Xantelasmer

    19

    Ikke til stede

    Sentralnervesystemet

    15 – 51

    Ikke til stede

    Til forskjell fra langerhanscellehistiocytose ser man vanligvis ikke affeksjon av det aksiale skjelettet ved Erdheim-Chesters sykdom (7). Ved langerhanscellehistiocytose er det som regel osteolytiske lesjoner i skjelettet og sjelden affeksjon av de lange rørknoklene (7). Vår pasient hadde typiske funn i skjelettet, påvist ved både scintigrafi, røntgenundersøkelse og PET-skann.

    Erdheim-Chesters sykdom er en kronisk lidelse hvor forløp og sykdomsutfall er avhengig av hvilke organer som er affisert. Oftest ses et sykdomsforløp med affeksjon av flere organer over tid, uten spontan remisjon. Før oppstart og valg av medikamentell behandling er det nødvendig med en bred utredning for å kartlegge hvilke organer som er affisert. Både røntgen-, CT- og MR-undersøkelse kan vise sykdomsaffeksjon, men for vurdering av sykdomsaktivitet og evaluering av terapirespons er PET-skann angitt å være et godt hjelpemiddel (8).

    Ved hjerteaffeksjon affiseres perikard hyppig, det kan føre til komplikasjoner som hjertetamponade (10). Ved aortaaffeksjon ses oftest sirkumferensiell infiltrasjon rundt torakal- og/eller abdominalaorta. Dette har fått betegnelsen «coated aorta» (5) og ble funnet hos vår pasient. Infiltrasjonen rundt aorta ved Erdheim-Chesters sykdom rammer også den bakre del av aorta, mens ved idiopatisk retroperiotoneal fibrose, som vi først mistenkte at pasienten hadde, affiseres som regel bare den fremre og laterale del av aorta. Infiltrasjonen rundt aorta kan spre seg til større avgangskar og medføre stenoser.

    Et karakteristisk funn ved Erdheim-Chesters sykdom er infiltrasjon av perirenalt vev, som på CT kan ses som «hairy kidneys». Dette kan påvises hos opptil 68  % av pasientene (5), og ble også funnet hos vår pasient.

    Pleura og lungeparenkym kan også angripes ved Erdheim-Chesters sykdom (11) og gir symptomer som dyspné og hoste. Vår pasient hadde mattglassforandringer ved HRCT-undersøkelse (High Resolution Computed Tomography), men ingen uttalte lungesymptomer. Til forskjell fra sarkoidose vil man som regel ikke se mediastinal lymfadenopati ved Erdheim-Chesters sykdom (12). Progredierende lungesykdom med respirasjonssvikt er sjelden.

    Videre kan man se infiltrasjon av hypofysen, med påfølgende endokrine forstyrrelser, hos opptil 25  % av pasientene, og hudmanifestasjoner med xantelasmer på øyelokk opptrer hos 28  % (5).

    De dominerende manifestasjonene hos vår pasient var smerter og hevelse i begge øyehuler. Infiltrasjon i orbita er beskrevet hos opptil 25  % av pasientene (13). Infiltrasjonen kan bli massiv, er ofte refraktær overfor medikamentell behandling og kan kreve kirurgisk behandling.

    Patogenesen til Erdheim-Chesters sykdom er ikke kjent, og det er uklart om sykdommen skal klassifiseres som en reaktiv inflammatorisk eller en malign neoplastisk prosess (14, 15). Det er funnet høye nivåer av proinflammatoriske cytokiner som interferon-α, IL-7, IL-12 og MCP-1 og nedsatt IL-4 (6). Høye nivåer av IL-1, IL-6, RANKL (reseptoraktivator av nukleær faktor kappaB) og oppregulering av platederivert vekst faktor i de histiocyttiske infiltratene er også beskrevet (16). Dette styrker hypotesen om at sykdommen forårsakes av en forstyrret immunologisk reaksjon med overvekt av Th1-respons. Det er nylig vist at mange pasienter med Erdheim-Chesters sykdom har en mutasjon i BRAF V600-genet (17). BRAF er et protein i MAPK-signalveien (mitogenaktivert proteinkinase) som er viktig for regulering av celledeling, og aktiverte BRAF V600-mutasjoner finnes i varierende grad ved flere kreftformer.

    Standardbehandlingen av Erdheim-Chesters sykdom har vært perorale kortikosteroider. Det er imidlertid bare halvparten av pasientene som har effekt av dette (7), og hos vår pasient ble det ikke registret noen behandlingsgevinst. Hos pasienter som ikke responderer på kortikosteroider kan interferon-α forsøkes (18) – (20). Det gir stabilisering eller bedring av sykdommen hos omkring to tredeler av pasientene (20). Behandlingseffekten kommer imidlertid ofte sent, og hos nærmere en tredel ser man effekt først etter 12 måneders behandling.

    I tillegg er det vist at behandling med interferon-α er en uavhengig faktor for bedret overlevelse (21). Pegylert interferon-α tolereres ofte bedre enn interferon-α og er angitt til å være førstevalg ved Erdheim-Chesters sykdom med alvorlig organaffeksjon (5). Av andre medikamenter er det rapportert effekt av tyrosinkinasehemmeren imatinibmesylat, interleukin-1-reseptorantagonisten anakinra og cellegiften kladribin og av autolog stamcelletransplantasjon (22) – (25). Vemurafenib er et medikament som inaktiverer muterte BRAF-proteiner, og kasuistiske meddelelser har vist lovende effekt ved Erdheim-Chesters sykdom (26). Lokal strålebehandling kan også forsøkes (27), men Erdheim-Chesters sykdom er mindre følsom for strålebehandling enn langerhanscellehistiocytose (28).

    Vi valgte å påbegynne behandling med pegylert interferon-α, 180 μg ukentlig, men på grunn av bivirkninger ble dosen redusert til 135 μg ukentlig. Etter 22 måneders behandling med pegylert interferon-α har det ikke kommet nye organmanifestasjoner vurdert ved PET-CT, men pasienten er fremdeles plaget med smerter i fra skjelettet og vedvarende synsforstyrrelser og har nedsatt allmenntilstand. Det er påvist mutasjon BRAF V600-genet hos pasienten og det vurderes å starte behandling med vemurafenib.

    Pasienten har gitt samtykke til at artikkelen blir publisert.

    Kommentarer  ( 2 )
    PDF
    Skriv ut

    Anbefalte artikler