Sjøanemonesvulst

    ()

    sporsmal_grey_rgb
    Artikkel

    En tidligere frisk mann i 30-årene ble i løpet av 17 måneder innlagt tre ganger for ulike nevrologiske utfall. MR viste multiple, mindre infarkter supratentorielt i begge cerebrale hemisfærer og i høyre cerebellare hemisfære. Transtorakal ekkokardiografi ble utført to ganger og viste normale funn. Det ble gjort en omfattende utredning med ultralyd av halskar, CT-, MR- og konvensjonell angiografi, Holter-monitorering, spinalvæske-, vaskulitt- og trombofiliprøver, alle med negativt resultat. Ved siste opphold ble det gjort transøsofageal ekkokardiografi som viste en om lag 1 cm stor svulst på venstre koronare klaffeblad av aortaklaffen helt mot kommissuren til høyre koronare klaffeblad (bilde til venstre, pil mot svulsten). Svulsten var ved ekkokardiografi forenlig med diagnosen fibroelastom (video). Ved operasjon var funnet som kartlagt ekkokardiografisk med svulsten lokalisert på aortasiden av klaffebladet, men med et stilket feste til ventrikkelsiden. Svulsten lot seg fjerne uten rekonstruksjon av klaffebladet. Kontrollekkokardiografi viste patent aortaklaff. Forløpet var ukomplisert. Pasienten har vært fulgt i flere år uten at det har vært nye nevrologiske hendelser.

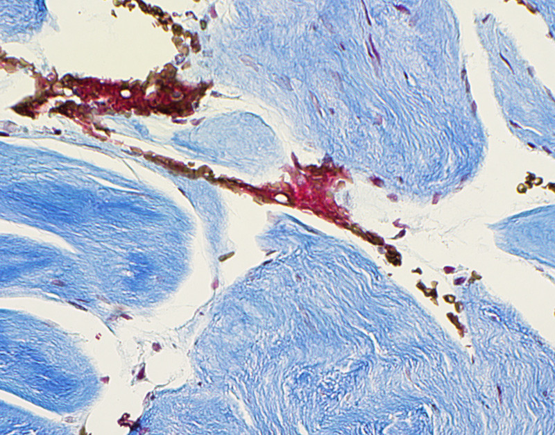
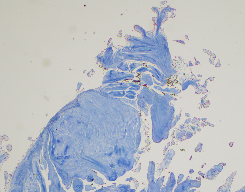
    Histologi viste smale, langstrakte og forgrenede utløpere bestående av avaskulære kollagene drag, kledt av hyperplastiske endotelceller som ved papillært fibroelastom (bilde 1 i nettutgave). Ved spesialfarging (Martius-Scarlet-Blue) for fibrin, som indirekte uttrykk for tromber, kunne slike påvises i rødt (bilde 2 og 3 i nettutgave). Det er få tromber i preparatet som nok skyldes preoperativ behandling mot trombedanning. Årsaken til de cerebrale infarktene er slike mikrotromber som emboliserer (1).

    For å beskrive hvordan et papillært fibroelastom fremtrer i væske har mange brukt analogien sjøanemone (1). Bilde til høyre viser en sjøanemone og er tatt med for illustrasjonens skyld (foto: MAREANO/Havforskningsinstituttet, gjengitt med tillatelse).

    Ved flere hjerneinfarkter med ulik lokalisasjon skal det mistenkes embolikilde i hjertet. Denne pasienthistorien illustrerer også at ved normal transtorakal ekkokardiografi er det nødvendig å gå videre med transøsofageal ekkokardiografi.

    Hjertesvulster er sjeldne. Fibroelastom utgjør 6 %, men av de svulstene som opptrer på hjerteklaffer er imidlertid fibroelastom hyppigst (2).

    Kommentarer  ( 0 )
    PDF
    Skriv ut

    Anbefalte artikler