En kvinne i 50-årene med nakkesmerter og forhøyet senkningsreaksjon

    ()

    sporsmal_grey_rgb
    Abstract

    BACKGROUND

    Spondylitis in the upper cervical spine can have an insidious onset, with symptoms mimicking low-grade infections or common musculoskeletal disorders. Some patients have neurological symptoms, and if untreated, the outcome may be fatal.

    CASE PRESENTATION

    A woman in her fifties had general malaise, weight loss and neck pain over 6–8 weeks. Her sedimentation rate was elevated, and she developed bulbar symptoms. Biopsy and culture samples were harvested endoscopically from the prevertebral area in the C1–C2 region, and confirmed our preliminary diagnosis of localised infection. She was treated with high-dose antibiotics and rigid collar immobilisation until stability of the cervical spine was ascertained.

    INTERPRETATION

    It is difficult to make a differential diagnosis between spondylitis, rheumatoid inflammation and malignancy in the upper cervical spine. Adequate histologic and bacterial culture samples must if possible be obtained from the prevertebral area. This is best achieved transnasally or transorally, under endoscopic and radiological guidance. The neck must be stabilised and patients must have long-term antibiotic treatment followed by permanent neck fixation if indicated.

    Artikkel

    Både nakkesmerter og uspesifikke infeksjonssymptomer er vanlig i allmennpraksis. Sykdomsbildet hos den aktuelle pasienten var til å begynne med diffust, men etter en noe forsinket utredning identifiserte vi en sjelden tilstand med høy risiko for alvorlige nevrologiske sekveler og plutselig død.

    En kvinne i 50-årene ble innlagt på lokalsykehuset etter at hun seks uker tidligere hadde fått akutte nakkesmerter med utstråling mot halsmuskler fortil i forbindelse med fysisk aktivitet. Hun hadde også hatt pressfølelse og stikkende følelse i tungen, svelgevansker og følelse av tranghet i halsen, men ingen feber. Blodprøver tatt hos fastlegen to uker før innleggelse viste senkningsreaksjon (SR) på 86 mm (3 – 28 mm) og Hb 9,7 g/100 ml (11,5 – 16 g/100 ml). Hun anga et vekttap på 3 – 4 kg på en måned.

    Kvinnen var frisør og hadde kroniske muskel- og skjelettplager i nakken. Før det aktuelle hadde hun vært behandlet for dette hos kiropraktor og fysioterapeut. MR av cervikalcolumna tre måneder før det aktuelle var uten patologiske funn. Ett år tidligere hadde hun fått gjennomført diatermi av neseslimhinne på venstre side på grunn av neseblødningstendens.

    Hun ble innlagt for medisinsk utredning på grunn av langvarig og uavklart, antatt alvorlig tilstand. Ved innleggelsen hadde hun svelgevansker og redusert matlyst. Hun var i god allmenntilstand og afebril. Man fant ved øre-nese-hals-undersøkelse en neseseptumperforasjon, men ellers normale funn. C-reaktivt protein (CRP) var 85 mg/l (< 5 mg/l). Blodkulturer viste ingen oppvekst. Som ledd i utredningen, og på grunn av hennes nevrologiske symptomer, ble det dagen etter innleggelsen rekvirert CT av collum og thorax samt MR av collum. Disse undersøkelsene viste destruksjon av atlasbuene og dens axis, med betydelig omkringliggende bløtdelshevelse og innsnevring av spinalkanalen med kompresjon av medulla (fig 1).

    Funn ved CT- og MR-undersøkelsene kunne være forenlig med ondartet sykdom, uttalt artritt eller lokalisert infeksjon. Destruksjon av øvre cervikalcolumna ville kunne gi en ustabil nakke med risiko for økende nevrologiske symptomer.

    Hun hadde ingen klare nevrologiske utfall. Røntgenbildene ble vurdert av spesialist i revmatologi, som konkluderte med at sannsynligheten for revmatologisk sykdom var liten. Etter å ha konferert med nevrokirurg startet man behandling med metylprednisolon 32 mg × 2 for å dempe lokal inflammasjon og bedre plassforholdene i spinalkanalen. Hun fikk tilpasset stiv nakkekrage og ble overført til universitetssykehus med nevrokirurgisk kompetanse.

    I mangel av diagnostisk avklaring ble pasienten vurdert av øre-nese-hals-spesialist for prøvetaking fra lokale forandringer øverst i cervikalcolumna.

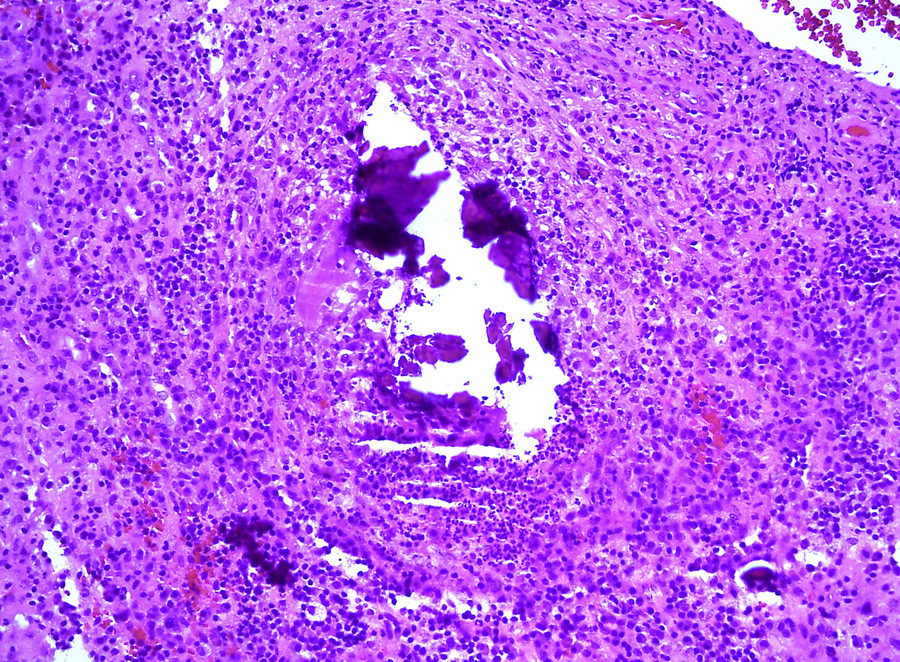
    Åtte dager etter første innleggelse ble det i narkose høstet biopsimateriale og dyrkingsprøver fra prevertebralt område ved C1 – C2. Prøvetaking ble gjort via vertikal incisjon gjennom slimhinne og ligamentum longitudinale anterius. Inngrepet ble gjennomført transnasalt under endoskopisk veiledning (fig 2). Frysesnittundersøkelse og senere endelig histologi viste ikke tegn til malignitet, kun inflammatoriske forandringer med innslag av kalk eller beinrester (fig 3). Svar på dyrking fra prevertebralt område, i tre forskjellige prøver, viste penicillinresistente Staphylococcus aureus.

    På grunn av forholdene rundt prøvetaking og vurdering av radiologiske, histologiske og mikrobiologiske funn ble histologi og dyrkingssvar vurdert som representative. Antibiotikabehandling ble iverksatt etter svar på frysesnittundersøkelsen, samme dag som biopsi ble tatt.

    Hun fikk intravenøs cefotaksim 1 g × 3 og kloksacillin 2 g × 4. Dette ble senere endret til klindamycin 600 mg × 3 og fusidin 500 mg × 3 på grunn av hudreaksjoner. Hun viste klinisk, laboratoriemessig og radiologisk bedring og ble utskrevet i god allmenntilstand til lokalsykehus tre uker etter første innleggelse for fortsatt intravenøs antibiotikabehandling og nedtrapping av metylprednisolon. Hun beholdt nakkekragen i ni måneder, inntil man vurderte at hun hadde utviklet en stabil ankylose av kraniocervikal overgang. Antibiotikabehandling ble gitt i til sammen fire måneder. Etter avsluttet forløp hadde pasienten lite smerter. Hun hadde innskrenket bevegelighet av nakken og ble fulgt videre med fysikalsk behandling.

    Diskusjon

    Diskusjon

    Hematogen infeksjon i de to øverste nakkevirvlene er en sjelden tilstand, som har vært rapportert som enkelttilfeller i internasjonal medisinsk litteratur (1, 2). Insidens er ikke kjent. Symptomene kan til å begynne med være diffuse, med nakkesmerter, generell sykdomsfølelse og vekttap. Etter hvert kan det tilkomme økende smerter opp mot bakhodet og nevrologiske utfall (2). Vår pasient fikk en relativt tidlig diagnose på grunn av funn ved CT- og MR-undersøkelsene. Tidlig diagnostikk er vanskelig, og konsekvensene av forsinket diagnose og behandling kan være alvorlige. Tilstanden medfører destruksjon av columna og vevsekspansjon inn mot hjernestamme og ryggmarg, med risiko for tverrsnittslesjon, respirasjonsstans og plutselig død. Ved fatalt forløp er det usikkert om korrekt dødsårsak vil erkjennes, da øvre cervikalcolumna ikke rutinemessig omfattes av obduksjon.

    I litteraturen benevnes dette sykdomsbildet som spondylodiskitt, spondylitt eller osteomyelitt av første og andre nakkevirvel. Da det ikke finnes mellomvirvelskive mellom C1 og C2, og begge virvler vanligvis er angrepet, mener vi det er mest korrekt å kategorisere denne tilstanden som akutt hematogen spondylitt i C1 – C2. Det finnes holdepunkter for at rundt halvparten av tilfellene er forårsaket av S. aureus (3). Mulig primærfokus for hematogen spredning av S. aureus kan da identifiseres i noen, men ikke alle, tilfellene (3). Pasienten vår hadde bestående perforasjon av neseseptum, sannsynligvis etter tidligere elektrokoagulering av neseseptum. Man kan mistenke at kolonisering med kronisk lavgradig inflammasjon her kan ha medført hematogen spredning av S. aureus. Tuberkuløs spondylitt er fortsatt en viktig differensialdiagnose ved akutt spondylitt i C1 – C2 (4), også i vårt land, selv om det nok var mer vanlig i tidligere tider. Klinisk forløp ved tuberkuløs spondylitt i C1 – C2 beskrives som mer langvarig og subakutt enn ved akutte infeksjoner av ikke-granulomatøs type. Vår pasient hadde et relativt akutt forløp, der funn ved utredning og effekt av behandlingen bekreftet mistanken om akutt hematogen spondylitt av ikke-granulomatøs type.

    Differensialdiagnostisk er det i begynnelsen av det kliniske forløpet vanskelig å skille akutt hematogen spondylitt fra ondartet sykdom eller revmatoid inflammasjon med destruksjon av C1 – C2. Aagaard og medarbeidere fant at blodkultur var positiv i rundt 70 % av tilfellene (3). Biopsitaking og dyrkningsprøve fra prevertebralt område er likevel ønskelig for å øke den diagnostiske presisjonen. Det er påkrevd med rask diagnostisering, da forsinkelse kan gi livstruende komplikasjoner (5). Spesialister i øre-nese-hals-sykdommer, i nevrokirurgi og i radiologi er sentrale i diagnostikk av denne tilstanden. Prøvetaking fra prevertebralt område gjøres best fra pharynx, gjennom en transnasal eller transoral tilgang (6). Behandling er i første rekke konservativ, med stiv nakkekrage og langvarig antibiotikabehandling. Ved radiologisk progrediering eller økende nevrologiske symptomer må kirurgisk dekompresjon og eventuell fiksasjon vurderes (3).

    Oppsummering

    Oppsummering

    Vi beskriver en pasient med akutt hematogen spondylitt i C1 – C2. Denne sjeldne og livstruende tilstanden kan mistenkes ved akutte og svært kraftige smerter i øvre del av nakken eller bakhodet, dersom pasienten i tillegg har infeksjonssymptomer og nedsatt allmenntilstand med vekttap, og spesielt ved nevrologiske følgesymptomer. CT eller MR av cervikalcolumna er nødvendig for å stille diagnosen og bør vurderes ved slike symptombilder.

    Pasienten har samtykket til at artikkelen blir publisert. Forfatterne takker Tore Wold, Universitetssykehuset Nord-Norge, Harstad for kommentarer knyttet til CT cervikalcolumna (figur 1).

    Kommentarer  ( 0 )
    PDF
    Skriv ut

    Anbefalte artikler