Et barn med kramper og plutselig synstap under cellegiftbehandling

    ()

    sporsmal_grey_rgb
    Artikkel

    Kreftsyke barn som får cellegiftbehandling, har ofte betydelige bivirkninger og komplikasjoner relatert til både grunnsykdommen og behandlingen. Noen av disse bivirkningene er sjeldne, men diagnostisering er viktig for at adekvat behandling ikke skal bli forsinket.

    En 11 år gammel jente med nylig diagnostisert T-lymfoblastisk lymfom, behandlet etter protokoll EURO-LB02, ble innlagt for cellegiftkur svarende til behandlingsprotokollens dag 22 i induksjonsfasen. Medikamenter gitt frem til da inkluderte prednisolon, rasburikase, vinkristin, daunorubicin og PEG-asparaginase samt metotreksat intratekalt. Hun var slapp og trett, men det var normale forhold ved klinisk undersøkelse. Blodtrykket ble ikke målt. Rutineblodprøver viste hyponatremi, med s-natrium på 127 mmol/l (137 – 145 mmol/l), som ble behandlet med natriuminfusjoner.

    Cellegiftkuren ble startet. Fire dager etter innkomst var det planlagt en kortvarig behandlingspause. Pasienten hadde da fått subbete gange, lett nedsatt sensibilitet i distale deler av underekstremitetene og makroskopisk hematuri. Det forelå fremdeles hyponatremi, men allmenntilstanden ble beskrevet som god.

    Det ble gitt pivmecillinam på mistanke om urinveisinfeksjon, selv om det ikke forelå feber, dysuri eller utslag på annet enn hemoglobin på urinstiks. Dagen etter ble det utført ultralydundersøkelse av urinveiene, som var normal, men det ble bemerket litt fri væske i bukhulen. Blodprøver viste lavt s-albuminnivå på 24 g/l (39 – 50 g/l), men klinisk var det ingen ødemer. Hun ble stadig mer trett og klaget over moderate magesmerter, som ble antatt å skyldes forstoppelse.

    Barn under kreftbehandling kan få hyponatremi og andre elektrolyttforstyrrelser. Dette kan være bivirkning av grunnsykdommen eller en følge av behandlingen. Behandlingen kan gi elektrolyttforstyrrelser via kvalme og oppkast, SIADH-syndrom (patologisk økt ADH-utskilling, syndrome of inappropriate antidiuretic hormone secretion), tumorlysesyndrom eller overvæsking (1).

    Risikoen for elektrolyttforstyrrelser er særlig stor under induksjonsfasen av behandlingen. Nevropati er hyppig forekommende, gjerne etter bruk av nevrotoksiske cytostatikatyper, som gir strukturell skade av perifere nerver (2). Lave albuminverdier kan skyldes manglende produksjon i lever, lekkasje av proteiner til det ekstravaskulære rom, katabolisme eller tap via nyrer og tarm. I tillegg kan visse medikamenter, blant annet cytostatika, bidra til reduserte albuminverdier.

    Seks dager etter innkomst fikk pasienten, rett etter infusjon med flukonazol, et rødflammete utslett på halsen, deretter et anfall som startet med forvirring, øyne som rullet bakover og smatting med munnen. Det var rykninger i venstre ansiktshalvdel, men ingen synlige kramper eller stivhet i ekstremitetene. Det ble gitt 10 mg diazepam intravenøst, og anfallet ga seg i løpet av kort tid.

    Krampeanfall er hyppig forekommende hos barn – oftest feberkramper, som først og fremst ses hos førskolebarn. Hos ungdom kan det være enkeltstående krampeanfall, gjerne utløst av stress som alkoholbruk eller søvndeprivasjon, uten at dette gir grunnlag for omfattende utredning eller behandling.

    Differensialdiagnostisk var det naturlig å tenke på intrakraniale prosesser som trykkøkning/ødem, tromboembolisme, blødning eller sentralnervøs manifestasjon av lymfomet. I tillegg kan både peroral steroidbehandling og flukonazol gi krampeanfall som bivirkning.

    Pulsen var høy (140 – 180 slag/min) og blodtrykket forhøyet – det var 130/95 mm Hg i etterkant i anfallet (prosentilverdier for blodtrykk i forhold til høyde, kjønn og alder: 50-prosentil 102/60 mm Hg, 95-prosentil 119/78 mm Hg, 99-prosentil 126/86 mm Hg) (3).

    Hypertensjon hos barn defineres som blodtrykk over 95-prosentilen i forhold til alder, kjønn og høyde og er uvanlig (4). Dette, i tillegg til at symptomer på hypertensjon som oftest ikke erkjennes av pasienten, gjør det viktig å ha gode rutiner for når man måler blodtrykk hos barn.

    Det er viktig å utelukke sekundær hypertensjon, da dette har store konsekvenser for behandlingsvalget. Det er kjent at særlig systolisk hypertensjon gir endeorganskade. Hos vår pasient ble det ikke initialt igangsatt noen større utredning for å finne årsaken til en eventuell sekundær hypertensjon.

    Blodprøver tatt etter anfallet viste fortsatt hyponatremi, med s-Na på 130 mmol/l, ellers normale elektrolytter og normalt blodsukkernivå. Det forelå lettgradig anemi, med hemoglobinverdi på 10,4 g/100 ml (10,9 – 14,6 g/100 ml). S-albuminverdien var nå nede i 20 g/l, og jenta hadde hatt en vektøkning på over ett kilo de siste dagene, noe man tilskrev væskeretensjon. Urinprøve viste forhøyet urin-albumin-kreatinin-ratio på 15 mg/mmol kreatinin (0,0 – 2,5 mg/mmol).

    Pasienten var afebril. Hun våknet og ga normal kontakt innen en time etter anfallet. Et par timer senere fikk hun et nytt anfall, og det var ikke mulig å få kontakt med henne. Hun hadde rykninger i ansiktet, mest på venstre side. Anfallet ble kupert med 5 mg diazepam intravenøst. CT caput ble bestilt som øyeblikkelig hjelp.

    CT caput uten kontrast viste normalt hjerneparenkym og ga ingen holdepunkter for blødning. Pasienten var etter dette fremdeles slapp, men mentalt adekvat.

    Lav serumverdi av natrium med samtidig vektøkning kunne passe med SIADH-syndrom. Væskerestriksjon ble derfor iverksatt. Mikroalbuminurien kunne ikke alene forklare den lave s-albuminverdien – det var mer naturlig å tenke på sammensatte årsaker, for eksempel tap av kolloider til buk og vev, relativ overvæsking og katabolisme på grunn av dårlig ernæringsstatus.

    Jenta klaget over synet i etterkant av siste anfall og beskrev at det var vanskelig å fokusere,men dette varte kun få timer. Øyelegetilsyn ble ordinert. MR caput med kontrast ble utført med tanke på patologiske forhold intrakranialt, men viste helt normale forhold. Tre dager etter krampeanfallene ble pasienten undersøkt av øyelege, som ikke kunne finne noen okulær årsak til synspåvirkning.

    Allmenntilstanden var bedre, og man fortsatte med cytostatikakuren. Fem dager etter anfallene var s-albuminnivået 28 g/l og elektrolyttverdiene var tilnærmet normale. Pasienten hadde i løpet av de siste tre dagene gått ned over 4 kg. Blodtrykket var vedvarende forhøyet og lå over 95-prosentilen. Steroidbehandlingen var nå under nedtrapping, og håpet var at blodtrykket dermed ville gå ned.

    Sju dager etter krampeanfallene var blodtrykket fortsatt stigende. Det ble målt til 143/108 mm Hg, selv om pasienten lå rolig til sengs. Det ble startet antihypertensiv behandling – propranolol 10 mg (0,3 mg/kg) × 3. Medisineringen hadde begrenset effekt, og til tross for doseøkning lå blodtrykket stabilt over 95-prosentilen. Hun utviklet feber, og antibiotikabehandling ble startet som ved nøytropen feber uten kjent infeksjonsfokus.

    12 dager etter krampeanfallene ble jenta fremdeles behandlet med antibiotika for nøytropen feber. Blodtrykket hadde steget ytterligere. Hun klaget over sterke magesmerter. CRP-nivået var steget til 145 mg/l (< 5 mg/l) etter å ha vært 115 mg/l dagen før. Det ble gjort ultralyd abdomen, som ga mistanke om tyflitt (nekrotiserende enterokolitt som ses hos pasienter under kreftbehandling, spesielt hos barn med hematologisk kreft. Tilstanden affiserer hovedsakelig coecum). Type antibiotika ble forandret fra ampicillin og gentamicin til vankomycin og meropenem. Det ble i tillegg gitt morfin og furosemid intravenøst.

    Senere samme dag ble lege tilkalt etter at pasienten rapporterte om synstap som hadde oppstått i løpet av en halv times tid. Hun anga kun lyssans. Hun ble litt senere fulgt på toalettet. Idet hun satte seg, kom synet tilbake i noen sekunder – før det igjen forsvant.

    Årsakene til akutt synstap kan deles inn etter anatomisk opphav: forstyrrelser i øyet utenom netthinnen, i selve netthinnen eller i den nevrovisuelle banen bakover. Hos vår pasient var det liten mistanke om okulær årsak. Når synstapet er bilateralt og varierende, er det naturlig å utrede med tanke på cerebral årsak.

    Cerebrale årsaker til synstap kan være alt fra vaskulær hendelse, neoplasi, pseudotumor cerebri og optikusnevritt til synstap av funksjonell karakter. Forbigående synstap kan ses ved blant annet migrene og epilepsi.

    Ny øyelegeundersøkelse samt klinisk nevrologisk undersøkelse var normal. Vi gjennomgikk medikamentlisten, uten å finne noe medikament med synstap i bivirkningsprofilen. På grunn av manglende effekt av hypertensjonsbehandlingen la vi til enalapril, i tillegg til betablokker og diuretika. Det ble bestilt elektroencefalogram (EEG) med spørsmål om encefalopati, eventuelt oksipitalt epilepsianfall.

    EEG-undersøkelse viste diffuse, langsomme cerebrale funksjonsforstyrrelser, forenlig med encefalopati. Det var ingen fokale avvik svarende til oksipitalområdet, men begrenset undersøkelse oksipitalt på grunn av artefakt. Ingen interiktal aktivitet eller anfallsaktivitet ble bemerket. Undersøkelse av visuelt fremkalt respons (VEP) ble gjort to dager senere og ble tolket som normal.

    Blodprøver viste hypokalemi, med s-kalium mellom 2,3 mmol/l og 3,1 mmol/l (3,5 – 5,0 mmol/l), og hypomagnesemi på 0,59 mmol/l (0,71 – 0,94 mmol/l). S-kalsiumnivået var lavt, 1,73 mmol/l (2,20 – 2,55 mmol/l), men normalt etter korreksjon for lavt s-albuminnivå. Pasienten hadde mye magesmerter, og fikk smertepumpe med kontinuerlig morfintilførsel. Synet kom gradvis tilbake de neste dagene.

    Med synstap, hypertensjon, kramper og varierende grad av bevissthetsnivå ble det nå stilt spørsmål om det kunne være posterior reversibel encefalopati-syndrom (PRES), et heterogent syndrom som preges av hodepine, krampeanfall, synsforstyrrelser, elektrolyttforstyrrelser og typiske funn ved MR-undersøkelse.

    Det ble lagt økt vekt på behandling av hypertensjonen og elektrolyttforstyrrelsene. Doseringen av propranolol og enalapril ble økt til henholdsvis 30 mg × 3 og 2,5 mg × 2, og det ble lagt ned nasogastrisk sonde for å bedre ernæringen og tilførselen av kalium og magnesium.

    Magnesium er essensielt for nevronal eksitabilitet, og lave nivåer kan være en utløsende årsak til krampeanfall (5). Substitusjon av elektrolytter er anbefalt ved lave verdier for å opprettholde normal væske- og elektrolyttbalanse.

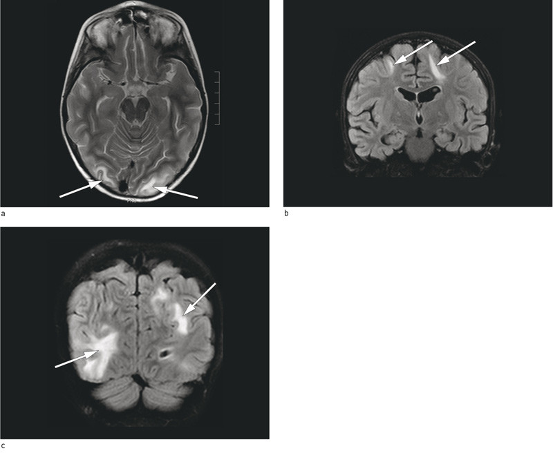
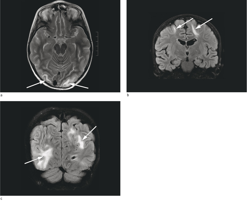
    Det ble gjort ny MR caput med kontrast (fig 1), og det ble beskrevet subkortikalt ødem oksipitalt bilateralt og parietalt venstre side samt mindre områder i vannskilleområdet frontalt. Områdene hadde økt diffusjon. Hemoserie viste multiple små områder oksipitalt, tolket som små blødninger. Det var imidlertid gode plassforhold. Funnene ble beskrevet som forenlig med PRES-diagnosen. Ved ny gjennomgang av de tidligere MR-bildene kunne også de gi mistanke om det samme.

    18 dager etter krampeanfallene lå blodtrykket på 130 – 140/100 – 110 mm Hg til tross for adekvat dosering med propranolol og enalapril i tillegg til furosemid. Vi valgte da å flytte pasienten over til intensivavdelingen for oppstart av infusjon med labetalol. Det ble gitt kalium og magnesium intravenøst på grunn av vedvarende hypomagnesemi og hypokalemi. Jenta ble etter fem dager tilbakeflyttet med tilfredsstillende blodtrykk. Hun hadde kvittert 3 – 4 l væske og var kun lett smerteplaget. Matlysten hadde så vidt begynt å komme tilbake, men hun var fremdeles avhengig av sondemat. Ved overflytting sto hun på perorale antihypertensiver i form av enalapril og labetalol.

    På dag 29 etter krampeanfallene ble cytostatikabehandlingen gjenopptatt, ettersom hun var i god allmenntilstand, tilnærmet smertefri, hadde blodtrykk på 102/65 mm Hg, var afebril og uten ødemer. Cytostatikabehandlingen ble gjeninnsatt uten noen form for tilpasset behandlingsregime og uten at PRES-symptomene på noe tidspunkt kom tilbake. Hypertensjonsbehandlingen kunne stadig nedtrappes.

    Jenta ble utskrevet til lokalsykehuset fem uker etter krampeanfallet, fremdeles tilnærmet smertefri og i god form. Den videre behandlingen foregikk uten større komplikasjoner.

    Diskusjon

    Diskusjon

    Posterior reversibel encefalopati-syndrom (PRES) er en klinisk-radiologisk entitet som første gang ble beskrevet i 1996 (6). Tilstanden er også kjent som reversibel posterior leukencefalopati-syndrom (RPLS). Syndromet er karakterisert av kramper, hodepine, endret bevissthet og synstap, inkludert kortikal blindhet. Fokale nevrologiske symptomer er uvanlig, men forekommer. Hypertensjon ses ofte, men det er ikke samsvar mellom alvorlighetsgrad av hypertensjon og syndromets alvorlighetsgrad. Til tross for det navnet antyder, kan det være forandringer også andre steder enn i bakre deler av hjernen – irreversible tilstander som epilepsi forekommer, og grå substans kan være affisert (7, 8).

    Syndromet har en mangefasettert etiologi og ses hos pasienter med kreft, autoimmune sykdommer, nyresykdommer, eklampsi, idiopatisk hypertensjon og porfyri. I tillegg er tilstanden satt i sammenheng med enkelte medikamenter, særlig cytostatika (5). Det er ingen fastsatte diagnostiske kriterier, men nevroradiologisk bildediagnostikk er viktig, helst MR-undersøkelse.

    Det klassiske bildet er symmetrisk ødem i hvit substans baktil i hjernehemisfærene, med parietal- eller oksipitallappene affisert i 98 % av tilfellene (9). Samtidig er det vanlig med affeksjon av andre deler av hjernen: frontallappene er rapportert å være affisert i 68 % av tilfellene, temporallappene i 40 % og cerebellærhemisfærene i 30 %, og mer enn en firedel av lesjonene er asymmetriske (9). Ettersom de tidlige forandringene kan være subtile, bør man beskrive den kliniske mistanken på rekvisjonen, slik at radiologen kan se spesielt etter disse forandringene.

    Det er ikke enighet i litteraturen om patofysiologien ved PRES-syndrom. Én teori er at hypertensjon med sviktende autoregulering gir skade på kapillærsengen og hyperperfusjon med utvikling av vasogent ødem (10). Denne hypotesen innebærer flere problemer: Syndromet ses regelmessig uten hypertensjon, det er ikke overbevisende tegn til hyperperfusjon (ved eklampsi er det i noen serier vist hypoperfusjon) og det er ingen sammenheng mellom alvorlighetsgraden av hypertensjon og vasogent ødem visualisert ved MR – faktisk er det beskrevet mindre ødemforandringer hos dem med alvorlig hypertensjon. En annen mekanisme som er postulert, er en nevrotoksisk reaksjon med endotelskade, hypoperfusjon og vasokonstriksjon som påvirker blod-hjerne-barrieren og som fører til ødemutvikling (10).

    Hos vår pasient, som hos mange kreftpasienter under behandling, oppstår det en del komplikasjoner. Hennes encefalopatitilstand med kramper kan forklares av hennes PRES-tilstand, hypertensjon og elektrolyttforstyrrelser kan tilskrives det samme. Patologisk økt ADH-utskilling ses regelmessig hos svært syke pasienter og regnes her som et bifunn. Både tyflitt og sepsis er vanlig hos onkologiske pasienter under behandling, og ble hos vår pasient ikke satt i sammenheng med PRES-syndrom.

    Behandlingen er avhengig av underliggende årsak. Hos vår pasient var det sannsynlig at tilstanden var knyttet til grunnsykdommen og cytostatikabehandlingen. Forløpet er ofte klinisk dramatisk, men prognosen er god, selv om både nevrologiske sekveler og død forekommer. Tilstanden kan komme gradvis, og ettersom disse pasientene i utgangspunktet oftest har kreftsykdom eller annen alvorlig sykdom, kan man overse symptomer og kliniske funn som peker i retning av diagnosen. Det er derfor viktig at leger som arbeider med risikopasienter, er oppmerksomme på syndromet og aktivt utreder dersom det er grunn til mistanke.

    Hypertensjon skal behandles, og ved malign hypertensjon er det anbefalt å senke blodtrykket hurtig, men tilstanden forekommer også uten signifikant hypertensjon (6, 7). Man må initiere behandling raskt, ettersom permanent skade kan utvikles hvis tilstanden forblir ubehandlet (11).

    Blodtrykksmåling hos barn gjøres sjelden, både fordi hypertensjon er uvanlig og fordi det ofte er tekniske og praktiske problemer knyttet til undersøkelsen. Man kan bruke auskultatorisk blodtrykksmåling (sfygmomanometri) eller oscillometrisk (automatisk) metode. Store deler av referansematerialet for normalverdier hos barn er basert på auskultatorisk blodtrykksmåling med kvikksølvmanometer, mens man ved de fleste barneavdelinger som regel bruker automatisk blodtrykksmåling. Disse målingene synes å korrelere rimelig godt med auskultatoriske målinger (12), forutsatt jevnlig kalibrering og måling med validert apparatur, og er ofte eneste brukbare alternativ hos barn under ett år.

    Det er viktig at apparatet bruker barneprogramvare, og man skal anvende alderstilpasset mansjett. Målingene skal utføres etter standardiserte prosedyrer, med gjentatte registreringer. Blodtrykket er lett påvirkelig, og enkeltmålinger av blodtrykk hos et barn som skriker eller som på annet vis er stresset, bør unngås. Ikke sjelden vil det være nyttig å supplere med 24-timers blodtrykksmåling hvis man er usikker på om det forhøyede blodtrykket er reelt.

    I vår pasients tilfelle ble det ikke målt blodtrykk ved innkomst, noe som er uheldig. Det foreligger anbefalinger om å måle blodtrykk hos alle barn > 3 år som vurderes medisinsk (3), selv om man etter vårt syn bør kunne tillate seg tilpasninger basert på problemstilling og klinisk skjønn. Både europeiske og amerikanske retningslinjer anbefaler auskultatorisk måling med en mansjett som er tilpasset størrelsen på barnets overarm – alternativt kan det måles oscillometrisk, men det bør i så fall verifiseres auskultatorisk hvis resultatet er over 90-prosentilen (3, 13).

    Det er vist at blodtrykksscreening av friske barn ikke er hensiktsmessig (14), men barn som innlegges i sykehus, spesielt ved kreftsykdom eller annen alvorlig og/eller kronisk sykdom, bør rutinemessig få målt blodtrykk ved innkomst. I ettertid ser vi at antihypertensjonsbehandlingen burde vært startet på et tidligere tidspunkt, siden pasienten hadde økt risiko for utvikling av PRES-syndrom og hadde symptomer som kunne gitt mistanke om diagnosen tidligere i forløpet.

    Pasienten og hennes pårørende har gitt samtykke til at artikkelen blir publisert. Vi takker overlege Stein Magnus Aukland for hjelp med MR-bildene.

    Kommentarer  ( 0 )
    PDF
    Skriv ut

    Anbefalte artikler