Lungebetennelse blant sørafrikanske barn

    ()

    sporsmal_grey_rgb
    Artikkel

    Forekomsten av lungebetennelse synes å være høy blant barn i Sør-Afrika, til tross for et nasjonalt vaksinasjonsprogram med blant annet pneumokokkvaksine.

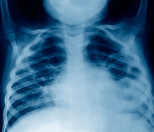
    Lungebetennelse er fortsatt den sykdommen som tar livet av flest barn på verdensbasis. I en kohortstudie fra Sør-Afrika er insidensen, alvorlighetsgraden og risikofaktorer for lungebetennelse i første leveår undersøkt (1). Studien pågikk i perioden 2012 – 14 og omfattet 697 barn rekruttert fra to klinikker i nærheten av Cape Town.

    I løpet av det første leveåret ble det gjennomført flere oppfølgingsmøter med barna og mødrene deres. I tillegg ble det etablert varslingssystemer ved samtlige helsesentre og ved sykehuset i forbindelse med konsultasjoner med barn med lungebetennelse.

    Diagnosen pneumoni ble stilt hos barn med hoste eller pustevansker og aldersspesifikk takypné eller hvis det ble observert respiratoriske inndragninger i brystkassen. Vaksinasjonsdekningen blant deltakerne var høy for vaksiner gitt de første tre levemånedene, men sank til 75 % for den tredje dosen av en 13-valent pneumokokkvaksine som gis ved ni måneders alder.

    Det ble registrert totalt 141 tilfeller av lungebetennelse i første leveår, hos 109 av studiedeltakerne. Av disse var litt under en firedel kategorisert som alvorlige tilfeller. Ut fra dette ble insidensen av lungebetennelse hos barn under ett år beregnet til 0,27 episoder per personår (95 % KI 0,23 – 0,32). To barn døde som følge av lungebetennelse.

    Forskerne fant at hivsmitte hos mor, røyking hos mor, underernæring hos barnet og det å være gutt var assosiert med høyere risiko for lungebetennelse i første leveår. De konkluderer med at forekomsten av lungebetennelse i første leveår var høy og anbefaler sterkere innsats rettet mot risikofaktorene.

    Kommentarer  ( 0 )
    PDF
    Skriv ut

    Anbefalte artikler