Brystkreftscreening ved mammografisk tette bryst

    ()

    sporsmal_grey_rgb
    Artikkel

    Kombinasjonen brystkreftrisiko og mammografisk brysttetthet kan predikere risiko for invasiv brystkreft innen et år etter mammografi.

    Illustrasjonsfoto: Ap/Scanpix
    Illustrasjonsfoto: Ap/Scanpix

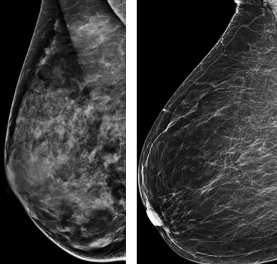
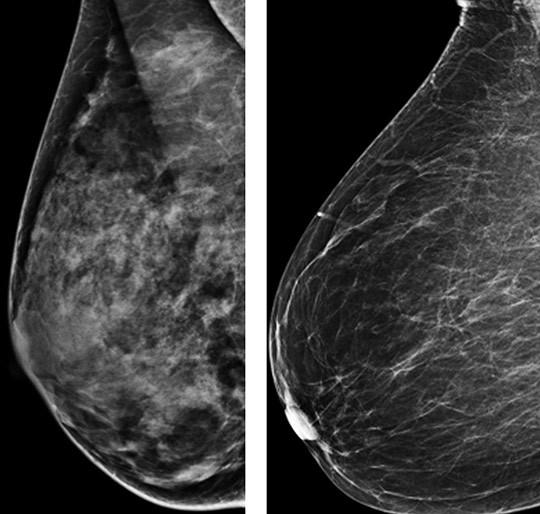
    Høy mammografisk tetthet kan maskere svulster og redusere sensitiviteten ved mammografiscreening. Bruk av andre bildeundesøkelser i tillegg til mammografi er vist å øke deteksjonsraten. Hvordan brystkreftrisiko og mammografisk tetthet er assosiert med diagnose av infiltrerende brystkreft innen 12 måneder etter mammografi (intervallkreft), er nå undersøkt i en prospektiv kohortstudie i USA (1).

    Rundt halvparten av kvinnene hadde mammografisk tette bryst. For disse var risikoen for intervallkreft lav etter negativt screeningresultat og lav fem års brystkreftrisiko. Kvinner med ekstremt tette bryst og middels eller høy fem års brystkreftrisiko, og de med heterogen brysttetthet og høy eller svært høy fem års risiko, hadde høy risiko for å utvikle intervallkreft (> 1 tilfelle/1 000 mammografiundersøkelser).

    – Studier fra det norske mammografiprogrammet viser at kvinner med mammografisk tette bryst har en høyere risiko for å få diagnostisert intervallkreft enn kvinner med fettrike bryst, og at intervallkreft ofte er mer aggressiv og hurtigvoksende enn screeningoppdaget brystkreft, sier leder for Mammografiprogrammet, professor Solveig Hofvind ved Kreftregisteret.

    – Funnene fra den amerikanske studien er interessante, men det er nødvendig med studier som kan relateres til norske forhold, og som kan vise at gevinstene er større enn ulempene for kvinnene og samfunnet, før nye prosedyrer kan vurderes, avslutter Hofvind.

    Kommentarer  ( 0 )
    PDF
    Skriv ut

    Anbefalte artikler