En kvinne i 60-årene med akutte brystsmerter og ST-elevasjoner

    ()

    sporsmal_grey_rgb
    Artikkel

    Akutte brystsmerter med ST-elevasjoner i EKG er en daglig problemstilling i sykehusmottaket. Myokardinfarkt er den vanligste årsaken, men når man ikke finner stenotiske koronarkar, må annen årsak til ST-elevasjon vurderes. Dette kan gi diagnostiske utfordringer.

    En overvektig kvinne i 60-årene med diabetes mellitus type 2, hypertensjon og mulig søvnapné fikk en formiddag akutte, trykkende retrosternale smerter uten ledsagersymptomer. Utover kvelden og natten ble symptomene sterkere. Hun fikk utstrålende smerter mot kjeven og ble innlagt i lokalsykehus.

    EKG tatt på lokalsykehuset kl 0300 samme natt viste ST-elevasjoner i avledning II, III, aVF og V4 – V6, maksimalt 2 mm i III, men uten Q-takker. Ved innleggelsen var O₂-saturasjon 97 % (romluft), respirasjonsfrekvens 24, blodtrykk 143/67 mm Hg og puls 107. Hun røykte ikke, hadde ingen kjent dyslipidemi og det var ikke opphopning av kardiovaskulær sykdom i familien. Fem år tidligere hadde hun vært innlagt med en anemiserende blødning per anum under bruk av acetylsalisylsyre, øvre og nedre endoskopi avdekket den gang ingen blødningskilde.

    Akutte brystsmerter med ledsagende ST-elevasjoner i EKG skyldes oftest et myokardinfarkt (STEMI) forårsaket av en trombotisk okkludert koronararterie (1), men flere ikke-iskemiske årsaker til ST-elevasjon finnes (2). Av de vanligste ikke-iskemiske tilstandene er elektrolyttforstyrrelser (hyperkalemi og hyperkalsemi), aortadisseksjon, myokarditt, perikarditt og takotsubokardiomyopati (stresskardiomyopati).

    Disse pasientene kan også få brystsmerter, noe som gir differensialdiagnostiske utfordringer (2). Noen personer har vedvarende ST-elevasjoner/høy ST-avgang i EKG. Når disse får symptomer forenlig med akutt koronarsyndrom, vil tilstanden ofte bli oppfattet som ST-elevasjonsinfarkt.

    Brystsmertene og EKG-forandringene indikerte ST-elevasjonsinfarkt. Pasienten ble overflyttet akutt for invasiv hjerteutredning ved universitetssykehus. Smertene ble noe lindret av 7,5 mg morfin i lokalsykehuset og ytterligere 7,5 mg morfin gitt i ambulansen. Hun fikk metningsdose med acetylsalisylsyre (300 mg) og klopidogrel (600 mg).

    Ved mistenkt ST-elevasjonsinfarkt er det indikasjon for akutt reperfusjonsbehandling (1). Avhengig av tid fra smertedebut, eventuelle kontraindikasjoner og tidsavstand til invasivt senter skjer dette i form av fibrinolytisk behandling og/eller perkutan koronar intervensjon (PCI).

    I fravær av kontraindikasjoner anbefales fibrinolyse dersom tiden fra første medisinske kontakt til forventet ankomst på PCI-senter overstiger 90 minutter, og indikasjonen styrkes av kort sykehistorie og stort infarkt (1). Fibrinolyse bør i slike tilfeller gis prehospitalt etter at diagnosen ST-elevasjonsinfarkt er verifisert.

    Ved ankomst invasivt senter kl 0405 var det fremdeles retrosternale smerter, men pasienten var hemodynamisk stabil. EKG viste økende ST-elevasjoner og isolert Q-takk i avledning III samt resiproke forandringer i aVR og V1 (fig 1). Koronar angiografi viste kun lette veggforandringer på venstre koronararterie, det utelukket ST-elevasjonsinfarkt. Klinisk undersøkelse var normal, og orienterende ekkokardiografi med håndholdt ultralydapparat avdekket ikke patologisk mengde perikardvæske. Venstre ventrikkels funksjon fremsto som normal. Røntgen thorax og CT thorax utelukket aortadisseksjon og lungeembolisme samt annet patologisk i lungene.

    Ved grundig gjennomgang av anamnesen neste dag kom det frem at pasienten var blitt behandlet for antatt bronkitt to uker tidligere. Smertene hennes ble verre når hun pustet inn og når hun lå i høyre sideleie. Hun fikk smertestillende i form av paracetamol kombinert med kodeinpreparat ved behov.

    Ved klinisk undersøkelse fant man nå gnidningslyd langs øvre venstre sternalrand, og ny ultralydundersøkelse viste økende mengde perikardvæske. Transtorakal ekkokardiografi (TTE) viste normal struktur og funksjon biventrikulært og ingen klaffefeil, men det var kommet perikardvæske rundt venstre ventrikkel. Det var en moderat forhøyelse av leukocytter på 17,6 · 10⁹/l (3,7 – 10,0 · 10⁹/l), og CRP-nivået var 50 mg/l (< 5 mg/l), mens det var normalverdier for differensialtelling, troponin T < 10 – 11 ng/l (0 – 14 ng/l) og D-dimer < 0,3 mg/l (0,0 – 0,5 mg/l). ST-elevasjonene var nå oppad konkave i flere avledninger (II, aVF og v6) og mer utbredte (I, II, III, aVF og V3 – V6) enn tidligere.

    Kliniske funn, EKG-forandringer og biokjemiske prøver talte nå for inflammatorisk hjertesykdom, men normale troponinverdier og bevart myokardfunksjon talte imot betydelig myokardaffeksjon. Tilstanden ble følgelig oppfattet som en isolert perikarditt.

    EKG ved ST-elevasjonsinfarkt viser ofte oppad konvekse ST-elevasjoner lokalisert tilsvarende en koronararteries forsyningsområde (1). Ved inflammatorisk hjertesykdom som perikarditt er ST-elevasjonene mer diffust utbredte og ofte oppad konkave. Myoperikarditt har imidlertid, sammenliknet med perikarditt, en mer fokal utbredelse av ST-elevasjoner, oftest inferolateralt (som hos vår pasient) eller anterolateralt. ST-elevasjon i V5 (91 % av myoperikarditt versus 20 % ved ST-elevasjonsinfarkt) og senket PR-segment i flere avledninger av EKG har vist høy nøyaktighet for å differensiere myoperikarditt fra ST-elevasjonsinfarkt (3). Ved akutte brystsmerter og ST-elevasjoner bør pasientene uansett håndteres som om dette er diagnosen, også ved atypiske ST-elevasjoner, inntil det er utelukket.

    Neste døgn fikk hun hoste, feber (39,0 °C) og sinustakykardi (110/min), og O₂-saturasjonen var 90 – 92 % uten oksygentilførsel. Brystsmertene og gnidningslyden avtok. Pasienten ble nå vurdert som klinisk stabil. Imidlertid steg CRP-nivået til 277 mg/l, og røntgen thorax viste mulig infiltrat. På mistanke om pneumoni ble det startet behandling med benzylpenicillin 5 mill. IE × 4 etter sikring av to sett blodkulturer, ekspektorat og nasopharynxsekret til mikrobiologisk analyse.

    Pasienten ble tilbakeført til lokalsykehuset etter i overkant av ett døgn på universitetssykehuset og var innlagt i ytterligere ni døgn der. Daglige ultralydundersøkelser viste økende perikardvæskebrem > 1 cm, men den kliniske tilstanden forble stabil, uten tegn til tamponadeutvikling. Troponin T-nivået steg til maksimalt 540 ng/l tre dager etter symptomdebut. På grunn av økende perikardvæske og fortsatt noe smerter og tungpustethet ble det startet opp med ibuprofen 400 mg × 3, som senere ble redusert til 200 mg × 3 på grunn av samtidig bruk av enalapril og metformin. Tre dager etter symptomdebut ble hun henvist til universitetssykehuset for en kontrastbasert MR-undersøkelse av hjertet for å avklare diagnosen og optimalisere behandlingsstrategien.

    Inflammatorisk hjertesykdom kan omfatte både perikard og myokard. Stigende troponinverdier ved perikarditt indikerer samtidig myokardaffeksjon. Myokarditt diagnostiseres etter histologiske, immunologiske og immunhistokjemiske kriterier (4). På grunn av dens vevskarakteriserende evne og høye romoppløsning har MR-undersøkelse gitt ny innsikt i perikarditt- og myokardittrelaterte skader.

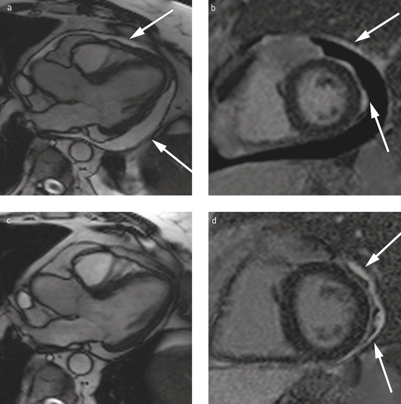
    Kontrastforsterket MR-undersøkelse av hjertet (fig 2) sju dager etter symptomdebut viste perikardial fortykkelse og ujevnt kontrastopptak i perikard, mest lateralt, der det også var mest perikardvæske (15 mm brem). I tillegg påviste man et sannsynlig begrenset epikardialt kontrastopptak i myokard i samme område, som uttrykk for fibrose/nekrose. For øvrig var det normal myokardstruktur og venstre ventrikkel-ejeksjonsfraksjon (EF) > 60 %.

    Funnene passet best med perimyokarditt. Pasienten hadde fortsatt sinustakykardi, var subfebril og hadde episoder med stikkende fornemmelse i brystet. Etter diskusjon med kardiolog ved lokalsykehuset startet man derfor opp med prednisolon (30 mg × 1 i fire dager, deretter 20 mg × 1 frem til poliklinisk kontroll sju dager etter utskrivning) mot antatt inflammatorisk betinget økende perikardeffusjon. Hun fikk i tillegg Nexium 40 mg × 1 fordi hun sto på flere medikamenter som kunne påvirke ventrikkelslimhinnen. Perikardiocentese var ikke på noe tidspunkt indisert, heller ikke for diagnostiske formål (5).

    Ved utreise var de biokjemiske prøvene normalisert (CRP 15 mg/l, troponin T 11 ng/l) og perikardvæskemengden redusert. De mikrobiologiske prøvene som var tatt før oppstart av penicillin mot antatt pneumoni samt autoimmune prøver tatt ut fra hjertesykdom avdekket ikke noe patologisk. På klinisk, biokjemisk og bildemessig grunnlag konkluderte man med perimyokarditt.

    Poliklinisk ekkokardiografisk kontroll sju dager etter utskrivning fra lokalsykehuset viste fortsatt økt mengde perikardvæske og fibrinutfelling utenfor høyre ventrikkel. Prednisolondosen ble økt til 30 mg × 1 og kolkisin 0,5 mg × 2 ble lagt til. Etter ytterligere en uke var det klar regresjon av perikardvæsken, og medikamentene ble gradvis seponert. EKG-undersøkelse viste persisterende små T-inversjoner inferolateralt og lette ST-elevasjoner (< 1 mm) i avledning III og aVF.

    MR-undersøkelse tre måneder etter sykehusoppholdet viste normal venstre ventrikkel-funksjon og tilbakegang av det epikardiale opptaket i myokard, men tillegg av lateral perikardfibrose (fig 2). T1-mapping av myokard var også normal. Ingen nye kontroller ble avtalt, da pasienten også var i god form. Ett år senere hadde hun ikke vært i kontakt med spesialisthelsetjenesten.

    Diskusjon

    Diskusjon

    Ved akutte brystsmerter og ST-elevasjon i EKG mistenkes primært ST-elevasjonsinfarkt. Disse pasientene blir oftest sendt til invasiv hjerteutredning. Ved funn av ikke-stenotiske koronarkar, som hos vår pasient, må annen årsak til ST-elevasjon vurderes. Dette kan gi diagnostiske utfordringer.

    Perikarditt kjennetegnes av stikkende smerter som er avhengig av posisjon og respirasjon. ST-elevasjonene er typisk konkave og omfatter oftest flere avledninger. Diagnosen baseres på to av følgende: typiske smerter, EKG-forandringer, gnidningslyd og perikardeffusjon (5). Vanlige årsaker til tilstanden er pågående eller gjennomgåtte infeksjoner (hyppigst virale), malignitet, metabolsk sykdom eller immunologiske mekanismer. Ofte finnes det ingen sikker årsak.

    Isolert idiopatisk perikarditt er vanligvis selvbegrensende, og ca. 80 % oppnår komplett tilheling. T-inversjoner kan, som i denne kasuistikken, vare ved i flere måneder (6). Perikardiocentese er aktuelt som behandling ved truende hjertetamponade og som ledd i utredningen dersom man mistenker infeksiøs eller malign perikardeffusjon (5). Hos vår pasient var det imidlertid ikke mistanke om pågående infeksjon i perikard.

    Myokarditt har variabel klinisk presentasjon, fra nær asymptomatisk til kardiogent sjokk og ventrikulære arytmier. Brystsmerter ved myokarditt kan skyldes samtidig perikardaffeksjon (7). Hyppigst påviste årsak til myokarditt er virale infeksjoner. Mer sjelden finnes en immunologisk eller toksisk årsak (4), men ofte konkluderes det med idiopatisk årsak. Prognosen bestemmes hovedsakelig av omfanget av myokardaffeksjon. Mistanken får man ut fra anamnese, klinisk undersøkelse, EKG, ekkokardiografi og blodprøver. Både troponiner og CRP er uspesifikke, men lavt CRP-nivå har høy negativ prediktiv verdi for myokarditt (4, 7).

    I en norsk studie (8) med 1 145 pasienter med mistenkt ST-elevasjonsinfarkt utførte man MR-undersøkelse innen 24 timer etter symptomdebut hos de 49 som hadde ikke-stenotiske koronararterier. Av disse hadde 29 % primær myokarditt, 27 % perikarditt og 10 % takotsubokardiomyopati. Ved bruk av sekvenser for påvisning av henholdsvis myokardødem, hyperemi og nekrose/fibrose ga denne studien en diagnose hos 70 % av dem med mistenkt ST-elevasjonsinfarkt og ikke-stenotiske koronararterier. I en annen studie av pasienter med akutt og kronisk myokarditt hadde 70 % av pasientene positive funn på to av tre nevnte MR-sekvenser (ødem, hyperemi, nekrose) (9).

    Ifølge disse to studiene er MR-undersøkelse velegnet til å påvise forandringer som styrker myokardittdiagnosen og til å vurdere tilhelingsgrad ved myokarditt. Ved troponin T < 0,1 μg/l påvises sjelden myokardskade ved MR (10). En europeisk arbeidsgruppe har anbefalt å bruke diagnostiske kriterier for klinisk mistenkt myokarditt og perimyokarditt (4). Ved symptomer på akutt koronarsyndrom og fravær av signifikante koronarstenoser eller annen forklaring på symptomene kan diagnosen stilles klinisk basert på minst én av fire tilleggskriterier: EKG-forandringer, forhøyede myokardmarkører, strukturell/funksjonell endring ved bildediagnostikk og typiske vevskarakteristika ved kontrastforsterket hjerte-MR (vår pasient hadde alle tilleggskriteriene).

    Begrepene perimyokarditt og myoperikarditt benyttes ofte synonymt i klinisk praksis og beskriver en kombinert inflammatorisk affeksjon av perikard og myokard. Lette tilfeller og blandingstilstander er trolig vanlig. Myoperikarditt indikerer dominerende symptomer og funn som ved perikarditt med ledsagende tegn til myokardaffeksjon, mens perimyokarditt indikerer motsatt klinisk presentasjon (5). Myoperikarditt er vanligst. Indisier på myokardaffeksjon ved perikarditt er forhøyede myokardmarkører, lett endret hjertefunksjon eller endret kontrastopptak ved MR-undersøkelse (5).

    Endomyokardbiopsi (EMB) er gullstandard for etiologisk diagnose ved myokarditt og anbefales i forkant av aggressiv immunsuppressiv eller antiviral behandling (4). Prosedyrekomplikasjoner er sjeldent, og alvorlige komplikasjoner anslås å oppstå hos ca. 1 % hvis operatøren er øvet (7, 11). Prosedyren har sterkest indikasjon ved uforklarlig hjertesvikt eller alvorlige arytmier og samtidig kliniske symptomer av kort varighet (< 3 md) og er kun indisert hos et fåtall av pasientene med myokarditt (11). Ved myoperikarditt der man er uten holdepunkter for hjertesvikt, anbefales ikke hjertebiopsier (5). Hjertebiopsier tas lettest og med lavest komplikasjonsrisiko via transvenøs tilgang fra høyre ventrikkels septum, mens man ved myokarditt oftest ser fokal affeksjon i epikardiale deler av venstre ventrikkels lateralvegg (12).

    Ved mistenkt perimyokarditt og symptomer forenlig med akutt koronarsyndrom anbefales koronar angiografi (5). Kontrastforsterket hjerte-MR har de siste årene fått en større plass i utredning og oppfølging av myokarditt. Funn ved MR kan guide eventuell biopsitakning når dette er aktuelt. Hjerte-MR har variabel tilgjengelighet i Norge og krever erfarent personell, men teleradiologi har de siste årene utvidet muligheten til å få kompetent tolkning av slike undersøkelser. Hjerte-MR er derfor en aktuell undersøkelse hos pasienter med uavklart årsak til ST-elevasjoner, brystsmerter og troponinutslipp (8). MR-undersøkelse bør i disse sammenhenger gjøres tidligst mulig i forløpet. Hjerte-MR anbefales ved mistenkt perimyokarditt for å bekrefte myokardaffeksjon og utelukke infarkt, da dette har kliniske og terapeutiske implikasjoner (5).

    Det er også andre viktige differensialdiagnoser ved mistenkt ST-elevasjonsinfarkt og ikke-stenotiske koronarkar. Aortadisseksjon kan debutere som ST-elevasjonsinfarkt ved at disseksjonsmembranen avklemmer et koronarostium. Diagnosen avklares oftest med kontrastforsterket CT aorta, eventuelt ekkokardiografi (1). Takotsubokardiomyopati innebærer oftest EKG-forandringer, inkludert ST-elevasjoner, og rammer typisk postmenopausale kvinner som nylig har vært utsatt for en akutt fysisk eller psykisk belastning. Ved takotsubokardiomyopati blir et område av venstre ventrikkel, oftest apikale del, plutselig stillestående. Dette er som regel forbigående, men kan i det akutte forløpet dokumenteres ved bildediagnostiske metoder (1).

    Lungeembolisme er klinisk en viktig differensialdiagnose, men innebærer sjelden ST-elevasjoner på EKG. Endelig diagnose avklares med kontrastforsterket CT av lungearterier og/eller scintigrafi (13). Ved disse tilstandene samt for perikarditt er hjerte-MR sjelden aktuelt for diagnostikk.

    Behandlingen av både myokarditt og perikarditt varierer fra land til land, og det foreligger ikke kunnskapsbaserte anbefalinger for behandling av myoperikarditt (5). Ikke-steroide antiinflammatoriske midler er førstevalget ved medisinsk behandling av isolert perikarditt, kolkisin forebygger residiv (6). Slike midler kan imidlertid være ugunstig ved myokarditt (7), med unntak av ved samtidig perikardaffeksjon, der de kan være nyttige sammen med kolkisin for å forebygge residiv (6), som hos vår pasient.

    Kortikosteroider i høye doser anbefales ved kjempecellemyokarditt og eosinofil myokarditt samt der det er et klinisk bilde av fulminant myokarditt (7). Ved isolert perikarditt er dokumentasjonen for steroider svakere. Steroider kan brukes ved residiv på tross av behandling med ibuprofen og kolkisin (6,14). Vår pasient hadde økende mengde perikardeffusjon til tross for behandling med ibuprofen, og det ble derfor startet steroidbehandling (5).

    I etterkant av myokarditt frarådes trening og konkurranseliknende idrett i minst seks måneder. Langvarig oppfølging med klinisk kontroll, EKG-undersøkelse og ekkokardiografi anbefales (4) – femårsoppfølging av histologisk verifisert myokarditt har vist nær 20 % totaldødelighet og 10 % plutselig hjertedød. Ved manglende kontrastopptak på MR har man ikke sett plutselig hjertedød (7), og myoperikarditt har ikke vist økt mortalitet (5). Vår pasient hadde kun beskjeden myokardaffeksjon (myoperikarditt) og kontrastopptaket på MR gikk tilbake ved kontroll. Hun ble derfor ikke fulgt videre etter oppnådd klinisk remisjon.

    Pasienten har gitt samtykke til at artikkelen blir publisert.

    Kommentarer  ( 0 )
    PDF
    Skriv ut

    Anbefalte artikler