En mann i 20-årene med magesmerter og bilyd over hjertet

    ()

    sporsmal_grey_rgb
    Artikkel

    Bilyd over hjertet er ikke uvanlig hos barn. Ventrikkelseptumdefekt er hyppigste medfødte hjertefeil som gir bilyd, men sjeldne tilstander kan også debutere slik.

    En mann i slutten av 20-årene ble innlagt i kirurgisk avdeling ved et lokalsykehus med akutte magesmerter, feber på 38 °C og hyppig oppkast. Han hadde en kjent systolisk bilyd over hjertet og var blitt utredet som barn. Konklusjonen var da en sannsynlig liten ventrikkelseptumdefekt. Det forelå ingen tidligere ekkokardiografi. Ellers var han frisk og i full jobb. Han brukte ingen medisiner fast og hadde vært i god fysisk form inntil innleggelsen.

    Magesmertene var lokalisert under høyre kostalbue, der han også var trykkøm. Blodtrykket var 132/59 mm Hg og pulsen 118 slag per minutt. Respirasjonsmønsteret ble beskrevet som uanstrengt (respirasjonsfrekvens 20/min). Over hele prekordiet ble det hørt en systolisk bilyd, grad 4 av 6.

    Han hadde forhøyet nivå av CRP på 90 mg/l (0,0 – 5,0 mg/l), kreatininnivået var 127 μmol/l (60 – 105 μmol/l) og troponin T-nivået 173 ng/l (0,0 – 14,0 ng/l) ved innleggelsen. Øvrige rutineblodprøver var innenfor referanseverdiene – Hb 14,6 g/100 ml (13,4 – 17,0 g/100 ml), leukocyttpartikkelkonsentrasjonen (LPK) 9,5 g/l (3,5 – 10,0 g/l), ALAT 35 U/l (10 – 70 U/l), ASAT 41 U/l (15 – 45 U/l), amylase 33 U/l (10 – 65 U/l) og CK-Mb 2,6 ug/l (≤ 5 ug/l) – og urinstiks var negativ. EKG-undersøkelse viste sinustakykardi og høyre grenblokksmønster.

    Magesmerter og infeksjonstegn er en vanlig problemstilling ved innleggelse i sykehus. Det kan være mange årsaker – blant annet appendisitt, kolecystitt og gastroenteritt. Kreatininstigning som uttrykk for nyresvikt kan også ses ved pyelonefritt og andre alvorlige infeksjoner, ved immunologiske sykdommer som nefritter og ved obstruksjon av urinveiene.

    Ultralyd abdomen like etter innkomst viste fortykket galleblærevegg og litt fri væske i buken. Det ble ikke påvist gallestein. Levervenene ble ikke beskrevet. Foreløpig diagnose ble kolecystitt, og det ble startet med piperacillin/tazobactam 4 g/0,5 g × 3 intravenøst.

    Dagen etter hadde pasienten mindre magesmerter, var fortsatt hemodynamisk stabil og respiratorisk ubesværet i hvile. Han gikk selv til radiologisk avdeling for å få tatt røntgen thorax. Det fremkom i den forbindelse uttalt funksjonsdyspné. Røntgen thorax viste klare lunger uten tegn til stuvning og normalt stor hjerteskygge.

    Blodgassanalyse viste følgende verdier: pH 7,49 (7,36 – 7,44), pO₂ 13,7 kPa (11,3 – 14,0 kPa), pCO₂ 3,7 kPa (4,7 – 6,0 kPa), baseoverskudd – 3,1 (– 3,0 – 3,0), bikarbonat 20,3 mmol/l (22,0 – 26,0 mmol/l) og p-laktat 2,6 mmol/l (0,5 – 2,2 mmol/l). Samme dag var det en ytterligere stigning av troponin T-nivået til 215 ng/l, og proBNP ble målt til 1 440 pmol/l (0 – 15 pmol/l).

    Dyspné og forhøyede verdier av troponin og proBNP kan ses ved blant annet akutt hjerteinfarkt, kardiomyopati og myokarditt samt ved ekstrakardiale tilstander som lungeembolisme, alvorlige infeksjoner med systempåvirkning, nyresvikt og en rekke andre tilstander. Hos denne pasienten forelå det ingen sikker årsak. Han ble overflyttet til generell medisinsk avdeling for videre utredning og behandling.

    CT thorax i lungeemboliserie viste små mengder bilateral pleuravæske, men ingen tegn til lungeembolisme. Aorta ble ikke vurdert. Ved transtorakal og transøsofageal ekkokardiografi ble det konkludert med en liten trykkskillende perimembranøs ventrikkelseptumdefekt, men ellers var det ingen patologiske funn. Både høyre og venstre ventrikkels diameter var innenfor normalområdet, og det forelå tilnærmet lik blodstrømshastighet målt ved doppler i både aorta ascendens og arteria pulmonalis. Vena cava inferior var lett dilatert (største diameter 3 cm), men hadde normal respirasjonsavhengig diametervariasjon.

    Det forelå ingen klinisk mistanke om koronarsykdom, og koronar angiografi ble derfor ikke gjennomført. Grunnet høye verdier av troponin T og proBNP uten forklaring ble det utført MR-undersøkelse av hjertet. Ved denne undersøkelsen ble det beskrevet lett dilaterte ventrikler og en liten perimembranøs ventrikkelseptumdefekt. Undersøkelsen ga i tillegg informasjon om at det ikke forelå sent gadoliniumopptak (LGE) i myokard, noe som kan ses ved blant annet gjennomgått hjerteinfarkt og myokarditt.

    Pasienten utviklet etter flere dager økende nyresvikt og tegn på leversvikt – INR-verdi 1,5 (< 1,1) og ALAT 1 269 U/l (10 – 70 U/l) – men var fortsatt respiratorisk ubesværet i hvile og hemodynamisk stabil. Infeksjon med utgangspunkt i galleveiene var fortsatt en tentativ diagnose, og antibiotikabehandlingen fortsatte. I tillegg ble det startet med høydose steroider ut fra en mistanke om autoimmun hepatitt.

    Pasienten hadde nå et svært komplekst symptombilde, og en rekke mulige diagnoser som endokarditt, mikroangiopati, musepest (Puumala-virusinfeksjon), legionellainfeksjon, hiv og maligne blodsykdommer ble vurdert.

    Nærmere to uker etter at han ble innlagt, utviklet han hyponatremi, leversvikt, respirasjonssvikt og nyresvikt. Ny CT thorax viste utbredte bilaterale fortetninger, oppfattet som lungeinfeksjon. Antibiotikabehandlingen ble endret, man skiftet til meropenem 1 g × 3 og azitromycin 0,5 g × 1. Pasienten ble intubert og behandlet i intensivavdeling med blant annet respirasjonsstøtte. Det ble utført nyrebiopsi og leverbiopsi før han ble overflyttet til intensivavdeling i regionsykehus. Der fortsatte man med organunderstøttende behandling, og det ble startet med kontinuerlig hemodialyse.

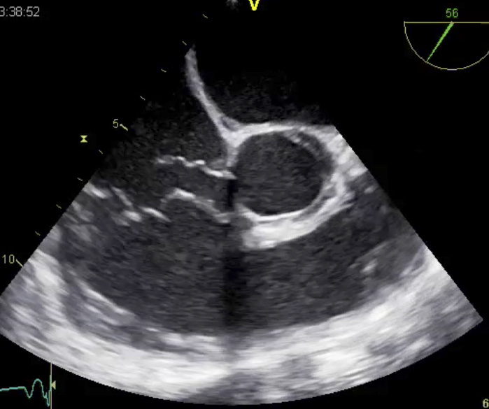
    Man påviste Pneumocystis jiroveci ved hjelp av PCR fra trakealsekret. Underliggende immunopati ble ikke påvist, og funnet hadde sannsynligvis ingen klinisk betydning. Etter fem døgn ble det som ledd i en fornyet, bred utredning utført ny ekkokardiografisk undersøkelse. På det tidspunkt var blodtrykket 138/45 mm Hg, og auskultatorisk forelå det systolisk og diastolisk bilyd. Etter transtorakal og transøsofageal ekkoundersøkelse ble det konkludert med at det ikke forelå ventrikkelseptumdefekt, men et rumpert sinus valsalvae-aneurisme med en stor shunt fra aorta til høyre atrium (fig 1, fig 2).

    Aortaklaffen var bikuspid, med manglende separasjon av høyre og ikke-koronare kusp. Klaffen åpnet seg godt, og det var kun minimal valvulær lekkasje. Aortaroten var ikke dilatert. Pasienten ble operert, og det rumperte aneurismet ble lukket med suturer både på atrie- og aortasiden. Da ble det rask klinisk bedring, med reversering av nyre-, lever- og respirasjonssvikt. Pasienten ble utskrevet etter nærmere to måneders sykehusopphold i tilnærmet normal form.

    Diskusjon

    Diskusjon

    Sinus valsalvae-aneurisme er dilatasjon i en av de tre sinusene i aortaroten, hyppigst i høyre koronare eller ikke-koronare sinus (1, 2). Tilstanden kan være ervervet, men er vanligvis medfødt.

    Medfødt sinus valsalvae-aneurisme kan forekomme sammen med ventrikkelseptumdefekt (30 – 60 %), aortainsuffisiens (40 %), bikuspid aortaklaff (10 %), koarktasjon av aorta og atrieseptumdefekt (2, 3). Tilstanden er sjelden, men eksakt forekomst er ikke kjent (4). Den er vanligere hos menn enn hos kvinner og forekommer hyppigere i asiatiske befolkningsgrupper (2, 5).

    Ervervet sinus valsalvae-aneurisme kan være relatert til infeksjoner (syfilis, endokarditt, tuberkulose), degenerative tilstander (aterosklerose, bindevevssykdommer som Marfans sykdom, Ehlers-Danlos’ syndrom) eller traumer (4).

    Sinus valsalvae-aneurisme uten ruptur gir vanligvis ingen symptomer, men arytmier, dyspné, brystsmerter og cerebrovaskulære emboliske hendelser er beskrevet (6, 7). Tilstanden kan også forårsake obstruksjon av høyre ventrikkels utløpsdel (7). Ruptur av aneurismet forekommer hyppigst i 20 – 40 års alder (8). De kliniske følgene av en ruptur avhenger av hvor raskt det skjer, størrelsen på shunten og til hvilket kammer rupturen skjer.

    Et rumpert sinus valsalvae-aneurisme kan gi mange ulike symptomer og representere en diagnostisk utfordring, slik denne kasuistikken illustrerer. En akutt, stor ruptur er svært sjeldent, men kan medføre brystsmerter, dyspné og hemodynamisk kollaps umiddelbart. En mindre ruptur kan være asymptomatisk initialt og gradvis føre til utvikling av hjertesviktsymptomer over lengre tid (2). Ruptur skjer vanligvis til høyre ventrikkel (fra høyre koronare sinus) eller til høyre atrium (fra ikke-koronare sinus), som hos vår pasient (2).

    Volumbelastning på høyre side og derav høyt sentralvenøst trykk kan gi smerter og funksjonsforstyrrelse i abdominale organer på grunn av stuvning og/eller hypoperfusjon, slik at pasientens kliniske symptomer kan bli oppfattet som akutt abdomen. Ruptur til perikardhulen er svært sjeldent.

    Sinus valsalvae-aneurisme med ruptur gir ofte en kontinuerlig bilyd som varierer i styrke mellom systole og diastole. Aneurismet kan vanligvis diagnostiseres med ekkokardiografi, men i en retrospektiv studie fra Mayo-klinikken ble tilstanden hos 35 % av dem som var operert ikke oppdaget ved ekkokardiografi (2).

    Parasternale langakse- og kortaksebilder gir best oversikt over aortaroten, og ruptur kan identifiseres ved hjelp av fargedoppler som et turbulent systolisk og diastolisk shuntsignal fra aorta til mottakende kammer. Ved ventrikkelseptumdefekter ses vanligvis kun shunt i systole. Alle affiserte hjertekamre kan dilatere som uttrykk for volumbelastning ved et rumpert sinus valsalvae-aneurisme.

    Transøsofageal ekkokardiografi gir ofte bedre oversikt over aortaroten enn transtorakal ekkokardiografi og kan være spesielt nyttig for å skille mellom rumpert sinus valsalvae-aneurisme og perimembranøs ventrikkelseptumdefekt. Trykkforskjellen mellom aorta og mottakende kammer i diastolen gir større shunt i diastolen og høyere diastoliske hastigheter enn det man ser ved ventrikkelseptumdefekt. MR-undersøkelse, CT-angiografi eller invasiv aortografi kan benyttes der det er tvil om det foreligger et sinus valsalvae-aneurisme. Denne pasienthistorien viser likevel at diagnosen kan være vanskelig.

    Umiddelbar kirurgisk behandling med lukking av defekten er eneste aktuelle behandling ved rumpert sinus valsalvae-aneurisme, da prognosen ellers er svært dårlig (9). Kateterbasert behandling er beskrevet (10), men har ikke vært utført i Norge. Første operasjon av sinus valsalvae-aneurisme ved hjelp av hjerte-lunge-maskin ble utført av den norskættede kirurgen C.W. Lillehei i Minneapolis i 1956 (11). Kirurgisk behandling av tilstanden er i dag forbundet med lite komplikasjoner og god langtidsoverlevelse (2).

    Indikasjonen for kirurgi ved asymptomatisk, ikke-rumpert sinus valsalvae-aneurisme er ikke like klar. Det foreligger få studier av forløpet ved ubehandlet tilstand. Vanligvis blir det anbefalt å behandle store aneurismer, aneurismer med obstruerende effekt og aneurismer som vokser (4).

    Denne pasienthistorien gir nyttig lærdom på flere vis. For det første bør man hos yngre pasienter med bilyd og hjertesvikt vurdere ruptur av sinus valsalvae-aneurisme som mulig differensialdiagnose. Videre er dette en påminnelse om å være kritisk til tidligere diagnoser og alltid forsøke å gjøre nye undersøkelser uten forutinntatte oppfatninger.

    En retrospektiv gjennomgang av ultralyd- og MR-bilder fra vår pasient viser at det rumperte sinus valsalvae-aneurismet var synlig også på de første bildene og ble feiltolket som en perimembranøs ventrikkelseptumdefekt. Størrelsen på defekten og følgelig shuntvolumet økte imidlertid betydelig fra innleggelsestidspunktet til operasjonstidspunktet. Dette aktualiserer derfor også behovet for en fungerende teknisk løsning for overføring av ekkokardiografiske bilder mellom lokalsykehus og regionsykehus for konferanse om uvanlige og vanskelige kliniske problemstillinger.

    Pasienten har gitt samtykke til at artikkelen blir publisert.

    Kommentarer  ( 0 )
    PDF
    Skriv ut

    Anbefalte artikler