Atypiske mykobakterier og lady Windermere

    ()

    sporsmal_grey_rgb
    Artikkel

    En tidligere frisk kvinne i 40-årene hadde hatt flere episoder med hemoptyse. Utredning med røntgen thorax og CT thorax ved et privat institutt hadde vist diffust avgrensede sentrilobulære noduli, dels omgitt av løst mettede, alveolære fortetninger (mattglassforandringer) basalt i begge overlapper og en ektatisk bronkialgren basalt i venstre overlapp. Dessuten forelå det en liten kavitet sentralt i høyre overlapp.

    Hemoptysen tiltok og kvinnen ble etter hvert innlagt i lokalsykehus for utredning. Bronkoskopi ved innleggelsen viste et stort koagel i midtlappsostiet og blodrester i alle lungeavsnitt. På CT-undersøkelse dagen etter innkomst var det kommet til mattglassfortetninger, forenlig med diffus alveolær blødning.

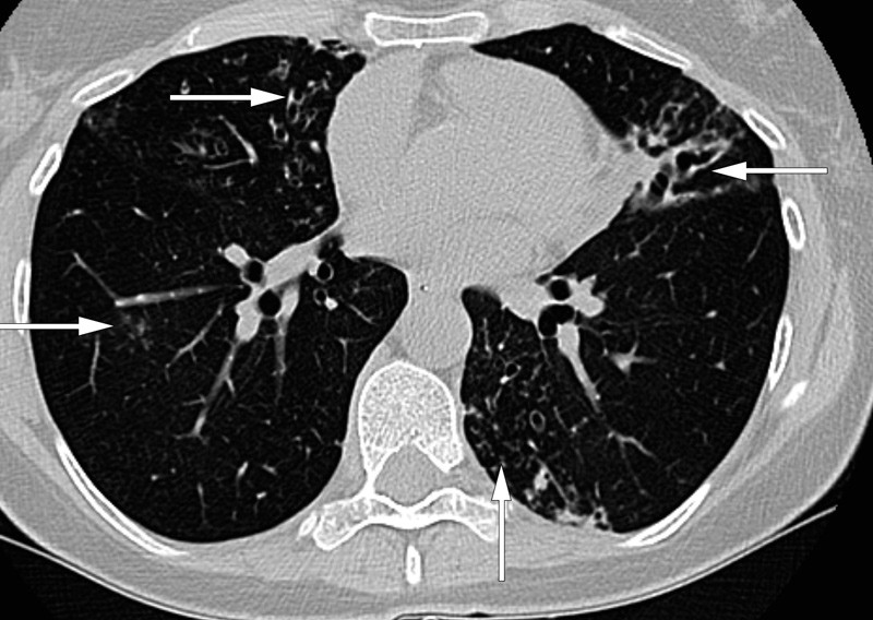
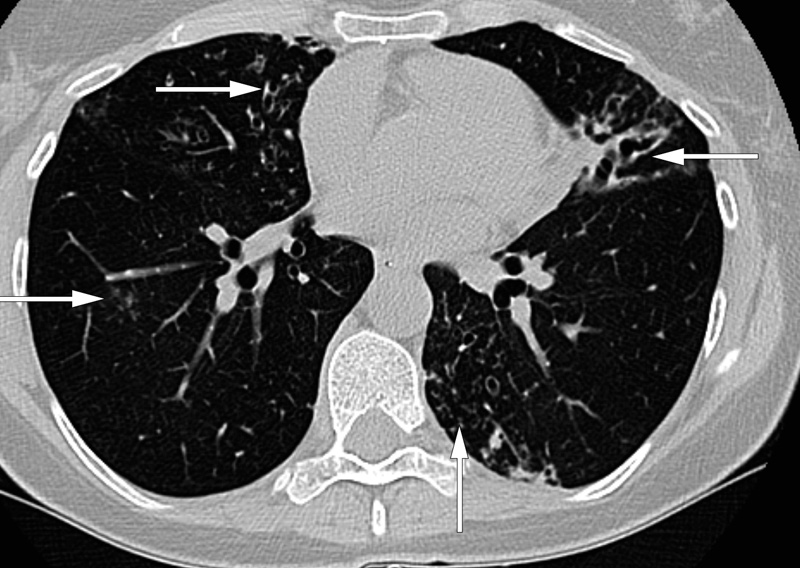
    Det ble utført bakteriologisk undersøkelse og direkte mikroskopi av sputum. Dyrkning viste primært normalflora, men seks uker etter innleggelsen kom det positivt dyrkningssvar for Mycobacterium avium-kompleks (MAC). Pasienten fikk trippelbehandling (klaritromycin, etambutol og rifampicin) i to år, men den ble avsluttet grunnet fortsatt positive dyrkninger og progredierende radiologiske funn. I forløpet frem til seneste CT-kontroll syv år etter første innleggelse er det kommet til gradvis økende, multifokale bronkiektasier samt økt kavitetsdanning i høyre overlapp (bildet). Hun følges fortsatt poliklinisk – det kliniske bildet er relativt stabilt og hun har tilfredsstillende lungefunksjon.

    MAC-komplekset består av Mycobacterium avium og Mycobacterium intracellulare, atypiske mykobaterier som forekommer i jord og vann. Hos mennesker er de de hyppigst forekommende i gruppen ikke-tuberkuløse mykobaterier (NTM) (1). Infeksjonen rammer oftest immunsupprimerte, men bakteriene kan også gi infeksjon hos tidligere friske mennesker uten immundefekter (2). Det er blitt spekulert på om undertrykt hosterefleks medvirker til sykdomsutviklingen, og fenomenet har fått navnet lady Windermeres syndrom etter Oscar Wildes skuespill Lady Windermere’s fan. Datidens sosiale kodeks tilsa at kvinner ikke skulle hoste eller harke (3).

    Typiske radiologiske funn ved MAC-infeksjoner er multiple nodulære fortetninger, multifokale bronkiektasier og kaviteter (4). Tidlig diagnostikk og rask oppstart av behandling kan være av betydning for graden av irreversibel luftveisskade. CT thorax er følsom for tidlige parenkymforandringer, og et nært samarbeid mellom infeksjonsmedisiner og radiolog kan bidra til raskere diagnose.

    Kommentarer  ( 0 )
    PDF
    Skriv ut

    Anbefalte artikler