Trombolytisk behandling og trombektomi ved ukjent slagdebut

    ()

    sporsmal_grey_rgb
    Artikkel

    Kan man gi trombolytisk behandling eller utføre trombektomi hvis pasienten våkner med slagsymptomer? Opptil en firedel av alle hjerneinfarkt skjer under søvn, men trombolytisk behandling er kontraindisert hvis det har gått mer enn 4,5 timer fra symptomdebut (1).

    En kvinne i 80-årene våknet med lammelse i venstre side av kroppen. Hun ble innlagt i akuttmottak klokken 0820, hvor man fant uttalt hemiparese med sentral facialisparese og neglekt på venstre side. NIHSS-skår var 17. En NIHSS-skår (National Institute of Health Stroke Scale) på ≥ 15 blir regnet som et alvorlig hjerneslag.

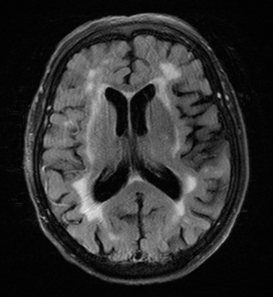
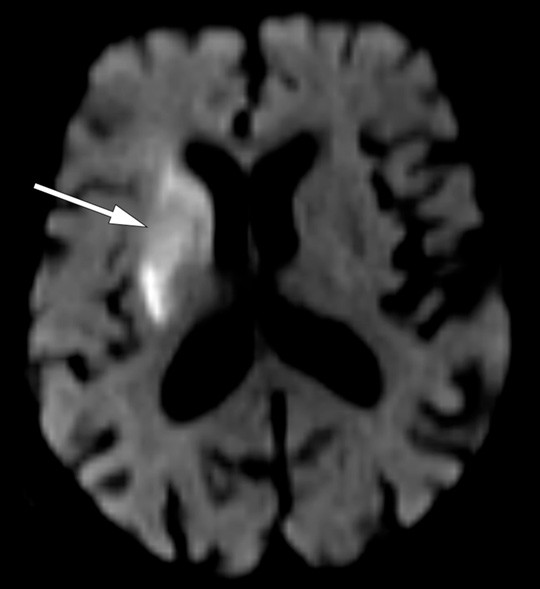
    Pasienten hadde våknet med symptomene klokken 0625, og symptomdebut var ukjent. Det ble utført MR-caput etter oppvåkningsslag-protokoll («wake-up stroke») (DWI- og FLAIR-sekvens). Diffusjonsvektede bilder viste diffusjonsrestriksjon i høyre basalganglieregion og corona radiata (fig 1) med korrelerende lavsignal på ADC-kartet. FLAIR-sekvensen viste ingen sikre signalavvik i det affiserte området (fig 2). Dette tydet på at infarktforandringene var ferske, og klokken 0850 ble det derfor gitt intravenøs trombolytisk behandling. Etter at trombolytisk behandling var satt i gang ble det utført CT-angiografi av pre- og intracerebrale kar, som viste en okklusjon i proksimale del av arteria cerebri media (ACM) på høyre side. Pasienten ble raskt overflyttet til angiografilaben hvor det klokken 0940 ble igangsatt trombektomi, som var teknisk vellykket.

    Pasientens kliniske tilstand forbedret seg dramatisk, og hun ble utskrevet fire dager senere, med kun en lettgradig venstresidig hemiparese. NIHSS-skår var 2. Årsaken til hjerneinfarktet var atrieflimmer.

    I dette tilfellet hadde man holdepunkter for at symptomene hadde startet innenfor trombolysegrensen på 4,5 timer, siden MR-undersøkelse viste iskemi på de diffusjonsvektede bildene, mens FLAIR-sekvensen ikke viste korrelerende signalavvik (diffusion-flair-mismatch). Rask diagnostikk bidro til at man kunne gi trombolytisk behandling og trombektomi, noe som trolig førte til et godt utfall for denne pasienten. Studier viser lovende resultater ved å identifisere de riktige pasientene for trombolytisk behandling, med bruk av MR etter oppvåkningsslagprotokoll (2).

    Kommentarer  ( 0 )
    PDF
    Skriv ut

    Anbefalte artikler