Fettembolisyndrom

    ()

    sporsmal_grey_rgb
    Artikkel

    En kvinne i 80-årene falt, slo hodet og pådro seg fraktur i distale humerus og i lårhalsen. Ved ankomst til sykehuset var pasienten våken, klar og orientert. Etter noen timer i akuttmottaket fikk hun et fall i Glasgow Coma Scale (GCS)-skår til 14 og svarte kun adekvat på ja- og nei-spørsmål. CT caput-undersøkelsen var normal. De nevrologiske symptomene ble tolket som commotiobetinget.

    Pasienten ble operert i spinalanestesi med en sementert hemiprotese påfølgende dag, men ble postoperativt mer uklar. Hun utviklet gradvis respirasjonssvikt med hypoksi og sekretstagnasjon på grunn av dårlig hostekraft. Blodgass viste at laveste pO2(a) før intubasjon var 6,7 kPa med tre liter oksygen på brillekateter, mens pCO2(a) var normal. Røntgen thorax viste pleuravæske og pneumoniske infiltrater. Ekkodopplerundersøkelse av hjertet kunne ikke påvise åpenstående foramen ovale.

    Hun ble respiratorbehandlet i 4,5 døgn. Etter noen dager med forbigående bedring tilkom på nytt samme type respirasjonssvikt. Da det ikke lenger var utsikt til bedring, ble reintubasjon avstått, og pasienten døde.

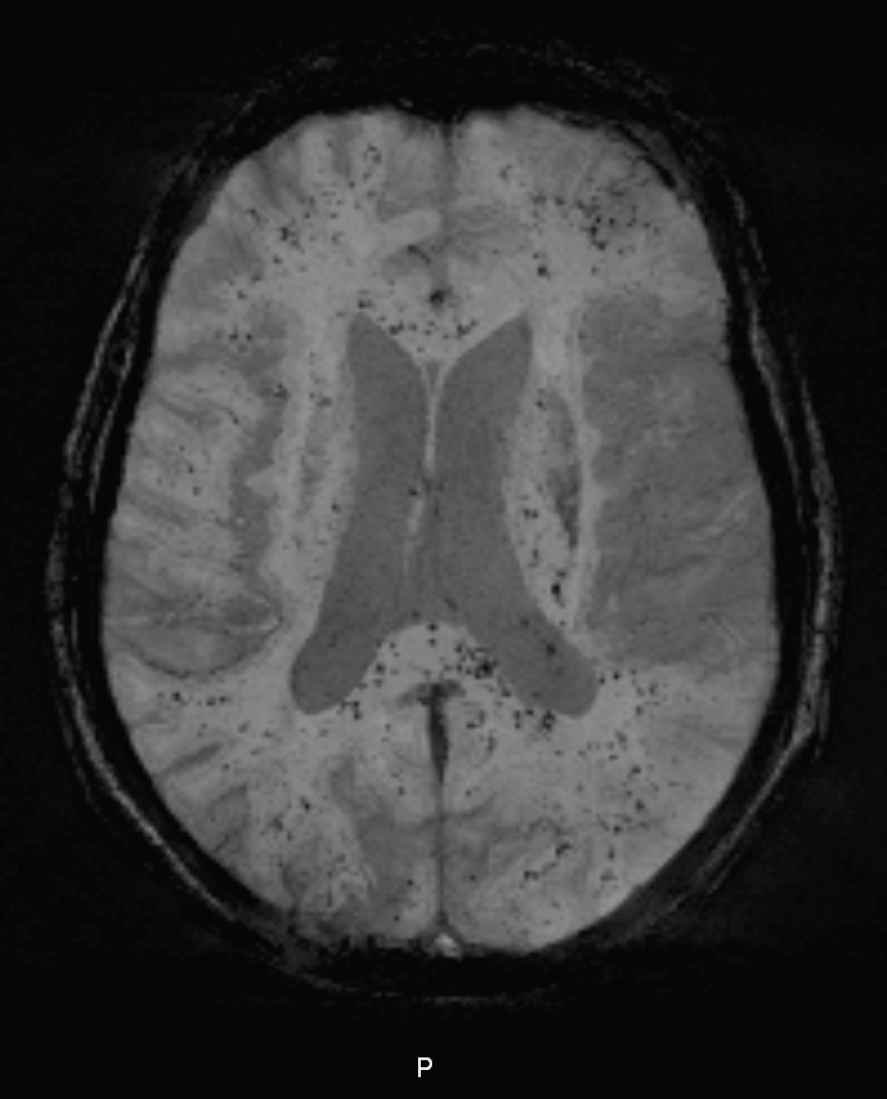
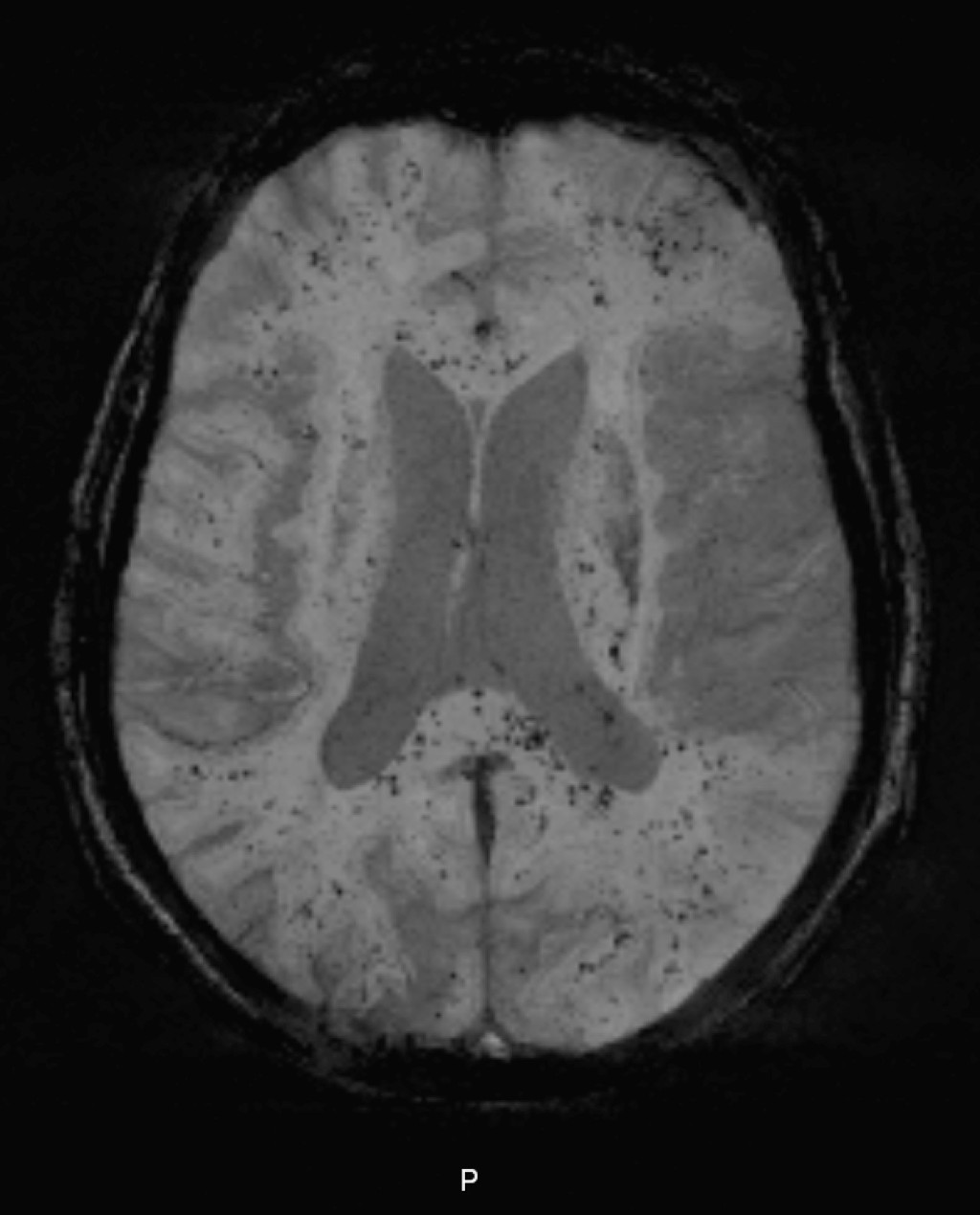
    På dag 5 ble det gjort MR-undersøkelse av hjernen. Suseptibilitetsvektet sekvens (SWI) viste multiple, små mørke lesjoner som gjenspeilet nedbrytningsprodukter fra blod i hvit substans, corpus callosum og pons (gjengitt her). Diffusjonsvektet sekvens (DWI) viste noen små diffusjonsrestriksjoner hovedsakelig i cortex. Det førstnevnte bildet var uttrykk for små hemorrhagier/petekkier og det sistnevnte for små, ferske infarkter. Funnet stemte overens med cerebrale fettembolier (1).

    Siden emboliske fettpartikler fører til okklusjon av kapillærer i hjerneparenkymet ville man forvente å se ferske, mikroemboliske infarkter med diffusjonsrestriksjon. De fleste av lesjonene var ikke ferske infarkter, men derimot primære petekkiale blødninger. Ellers hadde vi sett flere lesjoner med diffusjonsrestriksjon på samme lokalisasjon som hemorrhagier. En av teoriene for primære cerebrale petekkiale blødninger er at kapillarveggen ryker på grunn av økt trykk, forårsaket av emboli (1).

    Blant de radiologiske differensialdiagnosene er diffus aksonal skade (diffuse axonal injury, DAI) og amyloid angiopati. Ved diffus aksonal skade ville man forvente mikrohemorrhagier hovedsakelig i grensesnitt mellom grå og hvit substans, men også i corpus callosum og pons. Pasienter med diffus aksonal skade har nevrologiske symptomer umiddelbart etter traume. Vår pasient hadde upåfallende MR-undersøkelse med SWI-sekvens fra 2010, noe som talte imot amyloid angiopati.

    Hele 90% av dem som får brudd i lange rørknokler, får fettemboli uten at dette gir symptomer (2). Fettembolisyndrom utvikles hos 0,5-3% av disse, med en mortalitet mellom 7% og 15% (3). Det er kjent at oppboring av margkanalen og sementering av proteser også kan gi fettemboli (4). Fett fra benmargen går via venene til lungen og gir hypoksi. Både en mekanisk og en immunologisk mekanisme kan bidra (4). Fettemboliene går så over til arteriell side via shunt i lungene og åpenstående foramen ovale.

    Verken små, ferske infarkter eller mikroblødninger kan oppdages ved CT-undersøkelse. Vår pasient hadde normal CT caput-undersøkelse. Det er kjent at SWI-sekvens har mye høyere sensitivitet for mikrohemorrhagier enn ”T2-stjerne”-sekvens eller såkalt hemosekvens. I motsetning til cerebral mikroemboli, på grunn av arteriosklerotiske plakk eller atrieflimmer, er cerebralt fettembolisyndrom et sjeldent MR-funn. Som hovedregel burde bildediagnostikken bare bestilles hvis det finnes terapeutisk eller prognostisk konsekvens.

    Pasientens pårørende har gitt samtykke til at artikkelen blir publisert.

    Kommentarer  ( 0 )
    PDF
    Skriv ut

    Anbefalte artikler